Resumo: Introdução: o transplante dentário autógeno é uma alternativa às terapias protética, ortodôntica e/ou implantodôntica para a reabilitação dentária; consiste na extração do órgão dentário e reposicionamento imediato em outro alvéolo. O sucesso é determinado pela adaptação tecidual; na ausência desta ou presença de sintomas é necessária a terapia endodôntica. Objetivo: descrever o tratamento endodôntico em dentes transplantados, destacando as peculiaridades da terapia apropriada e a importância do tratamento multidisciplinar. Relato de caso clínico: trata-se do dente pré-molar inferior esquerdo que foi transplantado na posição do incisivo central superior esquerdo em indivíduo de 11 anos, com fissura labiopalatina. Após 2 meses do transplante, a paciente referiu dor espontânea, sendo encaminhada para avaliação endodôntica. Radiograficamente observou-se imagem sugestiva de lesão periapical, realizados os testes diagnósticos, planejou-se o tratamento endodôntico, biomecânica associada à medicação intracanal com hidróxido de cálcio. Foram realizadas 3 trocas de medicação bimestralmente; frente a ausência de sinais e sintomas, os canais foram obturados. Exames de proservação foram realizados a cada 6 meses no primeiro ano e depois, anualmente. Após 17 anos, se observou ausência de sintomatologia e de alterações periapicais, indicando o sucesso da terapia. Conclusões: nos casos de transplante dentário autógeno onde existe elevada ocorrência de reabsorção externa, o tratamento endodôntico associado à medicação com hidróxido de cálcio, é uma conduta clínica adequada para o sucesso da terapia instituída.
Palavras-chave:Reabsorção da raizReabsorção da raiz,endodontiaendodontia,tratamento do canal radiculartratamento do canal radicular,reimplante dentárioreimplante dentário.
Resumen: Introducción: el reimplante dental autógeno es una alternativa de las terapias protésica, ortodóntica y/o implantología para rehabilitación dental; consiste en la extracción del órgano dentario y reposición inmediata en otro alvéolo. El éxito es determinado por la adaptación de los tejidos; en ausencia de esta o presencia de síntomas es necesaria la terapia endodóntica. Objetivo: describir el tratamiento endodóntico en diente reimplantado, destacando las peculiaridades de la terapia apropiada y la importancia del tratamiento multidisciplinar. Presentación del caso: se trata de un diente premolar inferior izquierdo que fue reimplantado en la posición del incisivo central superior izquierdo en un individuo de 11 años, con labio y paladar hendido. Después de 2 meses del reimplante, la paciente refirió dolor espontáneo, quien fue referida para evaluación endodóntica. Radiográficamente se observó imagen sugestiva de lesión periapical. Una vez realizadas las pruebas diagnósticas, se planeó el tratamiento endodóntico, preparo biomecánico asociado a medicación intraconducto con hidróxido de calcio. Fueron realizados tres cambios de medicación bimestralmente; frente a ausencia de señales y síntomas, los conductos fueron obturados. Exámenes de controles clínicos fueron realizados cada 6 meses en el primer año y después, anualmente. Luego de 17 años de control, se observa ausencia de sintomatología y de alteraciones periapicales, lo que indica el éxito del tratamiento. Conclusiones:en los casos de reimplante dental autógeno donde existe elevada ocurrencia de resorción externa, el tratamiento endodóntico asociado a medicación con hidróxido de calcio, es una conducta clínica adecuada para el éxito da terapia ejecutada.
Palabras clave: Resorción radicular, endodoncia, tratamiento del conducto radicular, reimplante dental.
Abstract: Introduction: autogenous dental reimplantation is an alternative of prosthetic, orthodontic and/or implantologic therapies for dental rehabilitation; it consists in the extraction of the dental organ and its immediate replacement into another alveolus. Success is determined by the adaptation of tissues; in the absence of this or the presence of symptoms, endodontic therapy is necessary. Objective:to describe the endodontic treatment in reimplanted tooth, highlighting the peculiarities of the appropriate therapy and the importance of the multidisciplinary treatment. Case presentation: this is a lower left premolar tooth that was reimplanted at the position of the upper left central incisor in an 11-year-old individual with cleft lip and palate. After two months of reimplantation, the patient reported spontaneous pain, and who was referred for endodontic evaluation. An image suggestive of periapical lesion was radiographically observed. Once the diagnostic tests were performed, the endodontic treatment was planned, a biomechanical preparation associated with intraconductive medication with calcium hydroxide. Three medication changes were made bimonthly; in the absence of signs and symptoms, the ducts were blocked. Clinical control exams were performed every six months in the first year and then annually. After 17 years of control, there is an absence of symptoms and periapical alterations, which indicates the success of the treatment. Conclusions: in cases of autogenous dental reimplantation where there is high occurrence of external resorption, the endodontic treatment associated with medication with calcium hydroxide is an appropriate clinical behavior for the success of the therapy performed.
Keywords: Radicular resorption, endodontics, root canal treatment, dental reimplantation.
Presentación de caso
Abordagem endodôntica em transplante dentário autógeno em indivíduo com fissura labiopalatina
Abordaje endodóntica en reimplante dental autógeno en individuo con labio-paladar hendido
Endodontic approach for an autogenous dental reimplantation in an individual with cleft palate and lip

Recepção: 22 Junho 2017
Aprovação: 08 Agosto 2017
Os indivíduos com fissura labiopalatina apresentam maior incidência de anomalias dentárias com frequência aumentada nos dentes adjacentes à área da fissura,1,2,3apresentando alterações que englobam anomalias de número, forma, tamanho, posição e distúrbios de irrupção,4 associadas etiologicamente a tendência genética e hereditária.5 Consequentemente, podendo criar modificações nas arcadas dentárias como por exemplo, espaços edêntulos, más oclusões entre outros, submetendo estes indivíduos a um protocolo de tratamento extenso e interdisciplinar e assim, dificultando a reabilitação dos mesmos.
Um dos objetivos da odontologia é a reposição de dentes perdidos, restaurando a função mastigatória e estética. Convencionalmente, dentes perdidos eram substituídos por próteses removíveis, que muitas vezes causavam desconforto ao indivíduo, ou próteses fixas que envolviam a preparação de um ou mais dentes saudáveis como pilares. Uma opção para a reabilitação de espaços edêntulos são os transplantes dentários autógenos, os quais são definidos como a transferência de um dente (doador) da sua posição de origem para um alvéolo realizado cirurgicamente ou no alvéolo criado pela extração de um dente do mesmo indivíduo.6,7 São opções específicas para a solução temporária ou definitiva nos casos de perda dentária causada por traumatismos ou anodontia.8 Apfel e Andreasen publicaram os primeiros trabalhos sobre transplante dentário autógeno, relatando sucesso na realização desta técnica, utilizando germes de caninos, prémolares e terceiros molares para o transplante; e Slagsvold e Bjercke estabeleceram um protocolo de tratamento para transplante dentário autógenos.9,10,11
Atualmente, esta técnica é ainda considerada válida, porém menos indicada após o advento dos implantes.12,13 O sucesso dependerá de requisitos individual e específico de cada paciente relacionados ao dente doador e ao local receptor,14 assim como, o quanto atraumática foi a extração do germe, o tempo de permanência extra-bucal do mesmo e das condições cirúrgicas de execução do tratamento.15,16 Biologicamente, o sucesso do transplante autógeno é determinado pela revascularização e reinervação do elemento dentário,11,12 sendo importantes para a manutenção da vitalidade dentária, prevenindo a inflamação periapical.17 Frequentemente, é descrito que quando o germe transplantado se apresenta com rizogênese incompleta ocorre esta regeneração do tecido apical e do ligamento periodontal;12 já nos casos de germe transplantado com formação apical completa é mais difícil alcançar a regeneração,17 havendo a necessidade da intervenção endodôntica. O tratamento endodôntico é executado para prevenir processos infecciosos periapicais ou reabsorções radiculares, pode ser realizado antes, durante o ato cirúrgico (extra-bucal) ou pós-operatório.18
O presente relato de caso clínico tem como objetivo descrever a conduta clínica adotada para a realização do tratamento endodôntico de um elemento dentário transplantado onde ocorreu a necrose pulpar, enfatizando suas peculiaridades e a importância do atendimento multidisciplinar.
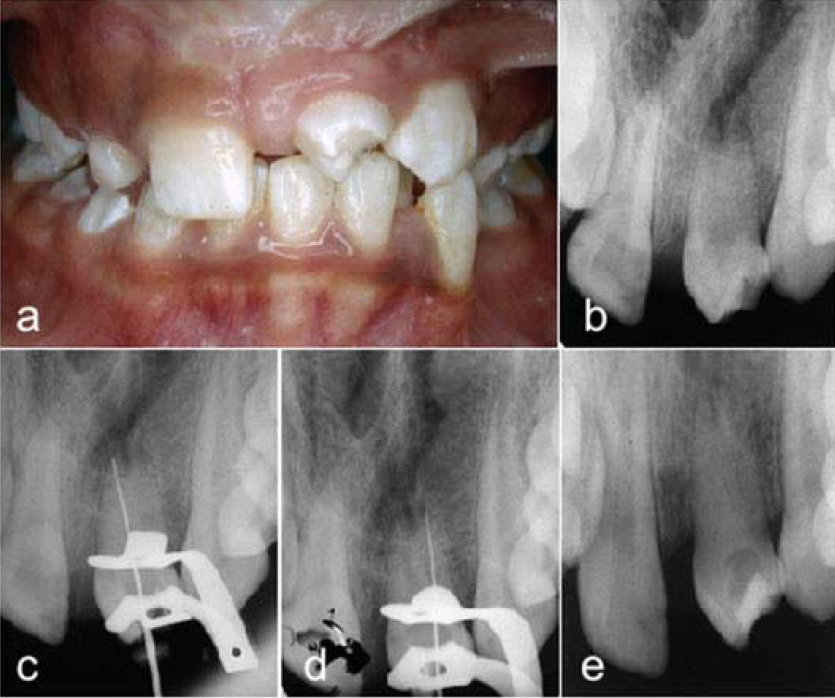
Indivíduo do gênero feminino de 11 anos de idade, com fissura pré-forame incisivo unilateral completa, matriculada no Hospital de Reabilitação de Anomalias Craniofaciais da Universidade de São Paulo (HRAC/USP), apresentava o pré-molar inferior esquerdo transplantado na posição do incisivo central superior esquerdo (Fig. 1, a), extraído anteriormente devido a processo de reabsorção externa avançado. A história clínica revelou que após 2 meses da realização do transplante dentário autógeno, a paciente referenciou dor espontânea no dente transplantado, sendo necessária a avaliação endodôntica. A radiografia de diagnóstico foi realizada com o aparelho radiográfico Dabi Atlante modelo Spectro 70X (Dabi Atlante Ind. São Paulo, Brasil) (Fig. 1, b), onde se observou imagem sugestiva de lesão periapical e ao teste de sensibilidade realizado com Endo-Ice (Coltène/Whaledent Inc., Langenau, Alemanha) houve resposta negativa, confirmando a necessidade da intervenção endodôntica. Após o bloqueio anestésico troncular e isolamento absoluto com lençol de borracha Hygenic Dental Dam (Coltène/Whaledent Inc., Langenau, Alemanha) e grampo 00 (SS White Artigos dentários Ltda, Rio de Janeiro, Brasil) foi realizado o acesso à câmara pulpar utilizando-se a broca diamantada no 1014 (KG Sorensen Ind. Com. Ltda, Barueri, Brasil); a forma de contorno e o desgaste compensatório das paredes foram realizados com a broca diamantada tronco-cônica de ponta inativa no 3082 (KG Sorensen Ind. Com. Ltda, Barueri, Brasil). Foram identificados dois canais um mesial e um distal, sendo a exploração inicial realizada com limas tipo K (Dentsply Maillefer, Ballaigues, Suiça) de pequeno diâmetro, em seguida foi realizada irrigação dos canais radiculares com hipoclorito de sódio (NaOCl) a 2,5 %.

a) Pré-molar inferior esquerdo transplantado na posição do incisivo central superior esquerdo. b) Radiografia de diagnóstico pré-molar inferior esquerdo transplantado na posição do incisivo central superior esquerdo. c) Confirmação da odontometria canal mesial. d) Confirmação da odontometria canal distal. e) Colocação da medicação Intracanal.
Para o preparo biomecânico dos canais radiculares, foi selecionada a técnica de Oregon Modificada, o instrumento inicial ajustado na embocadura dos canais foi a lima tipo K 55, na sequência foram utilizadas as limas tipo K 50, 45, 40, em seguida foram empregadas as brocas Gates Glidden (Dentsply, Maillefer, Ballaigues, Suiça) no 2 e 3, irrigação com hipoclorito de sódio (NaOCl) a 2,5 % a cada troca de instrumento. A seguir, foram determinados os comprimentos de trabalho com auxílio do localizador foraminal Root ZX (J. Morita, Tokyo, Japan) confirmados com a radiografia periapical para cada conduto (Fig. 1, c, d) e com a lima K 15 foi realizado o desbridamento foraminal.
Obtido o comprimento real de trabalho foi confeccionado o batente apical com limas tipo K 35 e escalonamento regressivo com limas tipo K 40, 45, 50 e 55 alternando a lima tipo K 35 entre o uso da cada uma das limas do escalonamento. Foi realizada irrigação final com hipoclorito de sódio (NaOCl) a 2,5 % com uma ponta de ultrassom acionada com o aparelho ENAC (Osada Eletric Co, Ltd, Tokyo Japan), os canais foram aspirados com cânula de sucção e novamente inundados com solução de E.D.T.A. trissódico 17 % (Biodinamica, Ibiporã, Brasil) agitada com a mesma ponta de ultrassom por um minuto. Os canais radiculares foram lavados com solução salina estéril, aspirados e secos com pontas de papel absorvente estéril tamanho 40 Tanari (Tanariman industrial Ltda. Manacapuru, Brasil); colocação da medicação intracanal com hidróxido de Cálcio (Calen PMCC, S.S White Artigos Dentários Ltda. Rio de Janiero, Brasil) (Fig. 1, e) e restauração provisória com ionômero de vidro Maxxion R (FGM Produtos Odontológicos, Joinville, Brasil). Foram realizadas 3 trocas da medicação a cada 2 meses; frente a ausência de sinais e sintomas os canais radiculares foram obturados com cones de guta-percha de diâmetro 40 com conicidade 0.04 Tanari (Tanariman industrial Ltda. Manacapuru, Brasil), os quais foram colocados nos canais respeitando os comprimentos de trabalho de cada um e confirmados mediante a tomada de uma radiografia periapical (Fig. 2, a). Os canais foram preenchidos com o cimento AHPlus (Dentsply DeTrey GmbH, Konstanz, Alemanha) com auxílio da lima K 30 (Dentsply-Maillefer, Ballaigues, Suíça) abriu-se espaço para a colocação dos cones secundários, realizou-se a radiografia comprobatória para confirmar o correto preenchimento do material obturador (Fig. 2, b). Os cones foram cortados utilizando calcador Paiva (Golgran, São Caetano do Sul, Brasil) aquecido e em seguida realizou-se a limpeza da câmara pulpar com bolinhas de algodão embebido em álcool absoluto, sendo o elemento dentário selado provisoriamente com cimento de ionômero de vidro Maxxion R (FGM Produtos Odontológicos, Joinville, Brasil) cor A3 Universal. Foi realizada a radiografia periapical final do tratamento, onde contatou-se imagem radiopaca no periápice da raiz distal relacionado ao extravasamento de cimento endodôntico (Fig. 2, c). A paciente foi submetida ao tratamento ortodôntico para alinhamento e nivelamento dos dentes e encaminhada para a execução da reabilitação definitiva do elemento dentário. Exames clínicos e radiográficos de controle foram realizados a cada 6 meses no primeiro ano e depois, anualmente (Fig. 2, d, e, f) até o presente.
Após a proservação sequencial durante vários anos (4, 8, 13 e 17 anos) (Fig. 3, a, b, c) obeservou-se o dente funcional (Fig. 3, e), a paciente não apresentou sintomatologia e radiograficamente os tecidos periapicais apresentaram aspecto de normalidade, indicando o sucesso da terapia instituída.

a) Radiografia da prova de cones. b) Comprovação da obturação. c) Radiografia final da obturação. d) Radiografia controle 1 ano. e) Radiografia controle 2 anos.

a) Radiografia controle 4 anos. b) Radiografia controle 8 anos. c) Radiografia controle 13 anos. d) Radiografia controle 17 anos. e) Foto clínica de controle 17 anos.
Um número significante de indivíduos perde prematuramente os dentes por cáries extensas, doença periodontal, trauma ou insucesso endodôntico. No entanto, estes indivíduos nem sempre são candidatos aos implantes dentários, pela precoce idade ou por falta de recursos econômicos.19 Em relação aos indivíduos com fissuras labiopalatinas, a literatura aponta aumento na presença de reabsorções radiculares nos dentes próximos a área da fissura, sendo esta patologia associada aos diversos procedimentos cirúrgicos aos quais estes indivíduos são submetidos, como queiloplastia, palatoplastia, enxerto ósseo alveolar e cirurgia ortognática entre outros; sendo procedimentos necessários para a sua completa reabilitação.20,21 Dependendo de fatores tais como: tamanho, agente causal, localização e classificação, as reabsorções dentárias podem trazer como resultados a perda dentária. No caso em questão, o dente incisivo central superior esquerdo apresentava um processo avançado de reabsorção externa, impossibilitando a execussão da terapia convencional, portanto, foi indicado a extração do mesmo e posteriormente a necessidade de tratamento reabilitador capaz de preencher o espaço edêntulo resultante.21 Nestes casos, o implante dentário representa uma possível alternativa de tratamento, porém, para obter o sucesso clínico, estético e funcional deste tratamento é necessária a completa maturação óssea.22,23 No presente caso clínico a paciente tinha 11 anos de idade e a possibilidade da colocação do implante dentário foi descartada, sendo assim, indicado o transplante dentário autógeno, por ser considerado uma alternativa razoável na reabilitação e substituição protética de dentes extraídos e/ou espaços edêntulos. Segundo o estudo de Zufía e colaboradores,24 a taxa de sobrevivência dos transplante é aproximadamente de 90 % e Lundberg and Isaksson25 reportaram 94 % de sucesso em casos com ápice em desenvolvimento ou aberto e 84 % de sucesso com ápice completamente formados.
A reabsorção radicular é a complicação mais importante que deve ser avaliada nos controles após a realização dos transplantes dentários em dentes humanos.26 Esta pode ser causada por diversos fatores como por exemplo, a infecção/necrose da polpa dentária, pela atrofia do ligamento periodontal na manobra cirúrgica devido ao trauma causado na camada cementária, ao tempo de permanência extraalveolar e condição no reimplante; sendo determinantes no futuro do tratamento;27 porém, devido a esses fatores que podem afetar a viabilidade do tecido pulpar, levando-o à necrose, recomenda-se o tratamento endodôntico associado a medicação com hidróxido de cálcio como foi instituído no caso clínico descrito, já que o mesmo atua de maneira ativa através da criação de um microambiente alcalino inibindo a atividade dos osteoclastos no local da agressão e estimulando a deposição de tecido mineralizado para o reparo.28
Desta forma, a medicação com hidróxido de cálcio favorece a reparação óssea influenciada pela liberação de íons hidroxila e ação da fosfatase alcalina, contribuindo para a mineralização do dente transplantado e ainda, devido ao seu elevado pH proporciona atividade antimicrobiana.29,30
Idealmente, o material de obturação deve ficar restrito ao interior do canal radicular, mas em algumas circunstâncias não é possível controlar a extrusão do cimento endodôntico, como neste caso. O destino do material extruído dependerá de sua solubilidade e suscetibilidade à fagocitose, enquanto que a sua influência sobre o resultado do tratamento dependerá da biocompatibilidade do cimento.31 O cimento endodôntico AHPlus (Dentsply DeTrey, Konstanz, Germany) é um cimento considerado como "Gold Standard",32composto por um polímero de resina epóxi hidrofóbica, que oferece biocompatibilidade, radiopacidade, estabilidade de cor, fácil remoção, fluidez adequada com baixa contração e solubilidade.32,33Ricucci e colaboradores, relataram que a permanência do cimento extravasado não interfere no sucesso do tratamento.30
Neste caso clínico obtivemos o sucesso do transplante autógeno após a terapia endodôntica realizada com trocas de medicação intracanal com pasta de hidróxido de cálcio, sucesso este confirmado pelo acompanhamento clínico de 17 anos. Concluímos que, o transplante dentário pode ser uma alternativa na reabilitação bucal de espaços edêntulos e a conduta clínica instituída, baseada na literatura corrente, ofereceu resultados favoráveis.
Não foi relatado nenhum conflito potencial de interesse relevante para este artigo.

a) Pré-molar inferior esquerdo transplantado na posição do incisivo central superior esquerdo. b) Radiografia de diagnóstico pré-molar inferior esquerdo transplantado na posição do incisivo central superior esquerdo. c) Confirmação da odontometria canal mesial. d) Confirmação da odontometria canal distal. e) Colocação da medicação Intracanal.

a) Radiografia da prova de cones. b) Comprovação da obturação. c) Radiografia final da obturação. d) Radiografia controle 1 ano. e) Radiografia controle 2 anos.

a) Radiografia controle 4 anos. b) Radiografia controle 8 anos. c) Radiografia controle 13 anos. d) Radiografia controle 17 anos. e) Foto clínica de controle 17 anos.