Presentación de caso
Manejo de exacerbación en endodoncia REPORTE DE UN CASO CLÍNICO
Exacerbation management in endodontics. A CASE REPORT
Manejo de exacerbación en endodoncia REPORTE DE UN CASO CLÍNICO
Revista Cubana de Estomatología, vol. 54, núm. 3, pp. 1-7, 2017
Centro Nacional de Información de Ciencias Médicas

Resumen: Introducción: la exacerbación endodóntica es un problema con bajo reporte de incidencia que puede ocurrir después de un tratamiento de endodoncia como producto de la agudización de una condición pulpar asintomática, así como por una afección perirradicular. Lesiones mecánicas y químicas se asocian con frecuencia con su aparición, sin embargo, la lesión causada por microorganismos y sus productos es la causa principal y más común de ellas. Puede presentarse posterior a la realización del tratamiento en una cita o entre sesiones. Objetivo: reportar un caso de exacerbación en endodoncia y el manejo de esta. Presentación del caso: paciente femenina de 49 años que acude a consulta por dolor e inflamación luego de haber iniciado tratamiento de endodoncia. Se llevó a cabo el manejo clínico y farmacológico de la exacerbación en un diente con diagnóstico de periodontitis apical asintomática. Luego de 5 días se termina el tratamiento de conducto usando mineral trióxido agregado y gutapercha. Posteriormente el diente es restaurado y se realizan controles clínicos y radiográficos. Conclusiones: es posible prevenir este tipo de complicaciones de causa variable identificando factores de riesgo, así como por medio de la experiencia del clínico e instauración de protocolos de atención adecuados.
Palabras clave: exacerbación, endodoncia, dolor agudo.
Abstract: Introduction: Endodontic exacerbation is an underreported incidence problem that may occur after a root canal treatment as a result of the worsening of an asymptomatic condition of the tooth pulp and as well as a periradicular condition. Mechanical and chemical injuries are often associated with its appearance; however, the lesion caused by microorganisms and their products is the main cause and most common of them. It can occur after the completion of treatment in an appointment or between sessions. Goal: In this paper we report a case of endodontic exacerbation and how to manage it. Main facts of the case report study: A forty-nine -year-old female patient who comes to the Endodontic Clinic with pain and inflammation after the endodontic treatment was initiated. The clinical and pharmacological treatment were started for the exacerbation in a tooth diagnosed with Asymptomatic Apical Periodontitis. Main comments: After five days of treatment and management of the condition, the root canal is completed using Aggregate Trioxide Mineral (MTA) and gutta- percha. Subsequently, the tooth is restored and clinical and radiologic controls are made. Conclusion: It is possible to prevent such complications of varying etiology identifying risk factors as well as through clinical experience and establishing appropriate care protocols.
Keywords: symptom flare up, endodontics, acute pain (MeSH).
INTRODUCCIÓN
La exacerbación endodóntica es una complicación definida como la aparición de dolor e inflamación severa después de una cita de tratamiento endodóntico, lo que requiere de una visita no programada y la reactivación del tratamiento. Lesiones mecánicas y químicas a menudo se asocian con factores iatrogénicos. Sin embargo, la lesión causada por microorganismos y sus productos es la causa principal y más común de exacerbaciones entre sesiones 1. Una exacerbación de origen infeccioso en ocasiones puede ocurrir a pesar de que los procedimientos en el conducto radicular se han realizado adecuadamente y con cuidado. Independientemente del tipo de injuria, las intensidades de las respuestas inflamatorias son directamente proporcional a la intensidad de tejido lesionado que causa exacerbaciones entre sesiones2,3.
De acuerdo con Sipavičiūtė y Manelienė, síntomas como dolor y/o inflamación de los tejidos blandos de la cara y la mucosa oral en la zona del diente tratado endodónticamente, ocurren dentro de unas horas o unos pocos días después del tratamiento de conducto 4,5. Algunos estudios muestran que el desarrollo de la excerbación es causado por dos grupos de factores de riesgo después de procedimientos extensos: 1) los factores de riesgo en función del paciente como la demografía, estado general de salud, condición de la pulpa y tejido periodontal apical, síntomas clínicos, diente tratado; 2) factores de riesgo asociados con los procedimientos terapéuticos que son una y/o varias visitas durante el tratamiento, tratamiento endodóntico primario/repetición del tratamiento y medicamentos intracanal 6.
Debido a su poca presentación y/o escasos reportes en la literatura el objetivo del presente manuscrito es reportar un caso de exacerbación en endodoncia y el tratamiento para ello.
PRESENTACIÓN DEL CASO
Paciente femenina y 49 años de edad que acude a la clínica de endodoncia de la Universidad de Cartagena refiriendo necesitar tratamiento de conducto en diente antero inferior derecho. No refiere sintomatología dolorosa y responde negativamente a las pruebas de sensibilidad, la radiografía periapical revela zona radiolucida a nivel apical de aproximadamente 9mm de diámetro, así mismo se aprecia ápice en pico de flauta compatible con reabsorción apical de los últimos 3mm del mismo. Clínicamente se observa atrición dental y vestibularización de dicho diente, así como leve cambio de color de la corona. Se realiza el diagnóstico de Periodontitis Apical Asintomática y se planifica el tratamiento de endodoncia con preparación invertida que se inicia en la misma cita.
Previo diligenciamiento de la historia clínica y consentimiento informado, se anestesia al paciente usando solución de Roxicaina al 2% con Epinefrina 1:80.000, se realiza cavidad de acceso y aislamiento absoluto; la exploración revela un solo conducto, se procede a irrigar profusa y repetidamente con Hipoclorito de Sodio al 5% para eliminar el tejido necrótico y microorganismos. La longitud de trabajo fue establecida usando localizador apical Raypex®6 (VDW GmbH, Munich, Alemania) y se tomó una radiografía periapical.
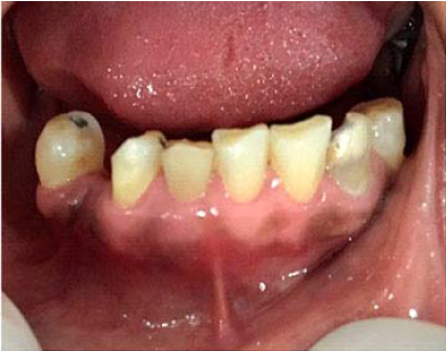
Se realizó instrumentación del sistema de conductos hasta longitud de trabajo y se colocó hidróxido de calcio como medicación intracanal, se programa una próxima cita a los 7 días después, no obstante la paciente acude 48 horas después refiriendo dolor severo alrededor de 24 horas posteriores a la intervención, al examen clínico se aprecia inflamación y perdida de contorno gingival a nivel dientes anteroinferiores derechos (Figura 1).

Por tal motivo se retoma el tratamiento previa anestesia e irrigación con hipoclorito de sodio y se formula a la paciente analgésicos y antibióticos, así como una inyección intramuscular de 4mg de dexametasona, una vez controlado el dolor se programa nueva cita en 5 días; en esta se anestesia nuevamente, se realiza aislamiento absoluto, no se aprecia contenido purulento dentro del conducto por lo cual se procede a instrumentar hasta longitud de trabajo, al no encontrarse tope apical, se decide colocar Mineral Trióxido Agregado (MTA) para crear tapón apical en los últimos 4mm de la raíz y posteriormente se obtura el resto del conducto con gutapercha en otra cita y el diente es restaurado (Figura 2).

Se realiza un control clínico y radiográfico a los 15 días y se observa disminución de la lesión, además la paciente se encuentra asintomática (Figura 3).

DISCUSIÓN
Se reportan variaciones en la incidencia de la exacerbación con valores que oscilan entre 1,5%-45% para esta complicación posterior a un tratamiento independientemente de si se realiza en una o en dos citas. 7,8,9Sin embargo en este caso la exacerbación ocurrió luego de una cita en un diente no vital tal como lo muestran varios estudios previos. Algunos autores reportan que no existe diferencia significativa si se manda profilaxis antibiótica con amoxicilina antes del procedimiento en dientes no vitales.10
En el caso presentado la agudización se presentó entre citas a pesar de haberse colocado medicación intracanal con hidróxido de calcio 11, según Mittal 12 no hay diferencias significativas en episodios de exacerbación con previa medicación en comparación con canales completamente instrumentados sin medicación.
Para el tratamiento de la exacerbación varias citas fueron necesarias para llevar a cabo una terapéutica adecuada y en concordancia con Walton 6se instauró un tratamiento que incluye tres fases: psicológica, de tratamiento localizado y farmacéutico. La paciente aceptó el tratamiento y la exacerbación no causó efecto perjudicial en cuanto a la relación paciente-odontólogo que en algunos casos se reportado como afectada.13,14
Cuando la paciente refirió dolor producto de la exacerbación, se formuló una ampolla de 4mg de dexametasona intramuscular, esto redujo considerablemente el dolor y la inflamación, estos resultados concuerdan con los de trabajos de Marshall y Walton.15
La exacerbación y los síntomas molestos que esta genera para el paciente, puede poner en tela de juicio la habilidad del clínico, tal como lo expresa Onay et al 16, por esta razón es necesario que esta sea manejada de forma apropiada y eficaz para su pronta resolución.
Se puede concluir que las exacerbaciones posteriores a un tratamiento de conducto se constituyen como un problema en endodoncia. Sin embargo, esta complicación es evitable si se logran identificar factores de riesgo de la misma y mediante la combinación de la experiencia del clínico y la implementación de protocolos de atención adecuados. Por otra parte, la relación entre la aparición de esta complicación y el número de citas en que se realice el tratamiento sigue siendo controversial y materia de estudio.
REFERENCIAS
1. Goncalves SH, de Vasconcelos RA, Cavalcanti B, Camargo CH. Persistent infection by Staphylococcus epidermidis in endodontic flare-up: a case report. General dentistry. 2016;64(2):e18-21.
2. Jayakodi H, Kailasam S, Kumaravadivel K, Thangavelu B, Mathew S. Clinical and pharmacological management of endodontic flare-up. Journal of pharmacy & bioallied sciences. 2012;4(Suppl 2):S294-8.
3. Vera CLM, Ballesteros LR, Caballero AD. Exacerbación apical posterior a tratamiento endodontico. UstaSalud. 2012;11(2):130-4.
4. Sipaviciute E, Maneliene R. Pain and flare-up after endodontic treatment procedures. Stomatologija / issued by public institution "Odontologijos studija" [et al]. 2014;16(1):25-30.
5. Yu VSH, Messer HH, Yee R, Shen L. Incidence and impact of painful exacerbations in a cohort with post-treatment persistent endodontic lesions. Journal of endodontics. 2012;38(1):41-6.
6. Walton RE. Interappointment flare‐ups: incidence, related factors, prevention, and management. Endodontic Topics. 2002;3(1):67-76.
7. Pando JAG, Crespo EG, Chico JAG, Socorro AA, Camargo JFM. Agudizaciones endodónticas al concluir diferentes variantes técnicas de tratamiento pulporadicular/Incidence of endodontic acuteness when concluding the different technical variants in the pulp-radicular treatment. Revista de Ciencias Médicas de Pinar del Río. 2009;13(4).
8. Shahi S, Asghari V, Rahimi S, Lotfi M, Samiei M, Yavari H, et al. Postoperative Pain after Endodontic Treatment of Asymptomatic Teeth Using Rotary Instruments: A Randomized Clinical Trial. Iranian endodontic journal. 2016;11(1):38-43.
9. Patil AA, Joshi SB, Bhagwat SV, Patil SA. Incidence of Postoperative Pain after Single Visit and Two Visit Root Canal Therapy: A Randomized Controlled Trial. Journal of clinical and diagnostic research : JCDR. 2016;10(5):ZC09-12.
10. Akbar I. Efficacy of Prophylactic use of Antibiotics to Avoid Flare up During Root Canal Treatment of Nonvital Teeth: A Randomized Clinical Trial. Journal of clinical and diagnostic research : JCDR. 2015;9(3):ZC08-11.
11. Jalali P, Hasselgren G. Endodontic inter-appointment flare-ups: An example of chaos? Dental Hypotheses. 2015;6(2):44.
12. Mittal R. Endodontic flare-ups: an overview. J Oral Health Comm Dent. 2010;4(3):67-71.
13. Mor C, Rotstein I, Friedman S. Incidence of interappointment emergency associated with endodontic therapy. Journal of endodontics. 1992;18(10):509-11.
14. Albashaireh ZS, Alnegrish AS. Postobturation pain after single- and multiple- visit endodontic therapy. A prospective study. Journal of dentistry. 1998;26(3):227-32.
15. Marshall JG, Walton RE. The effect of intramuscular injection of steroid on posttreatment endodontic pain. Journal of endodontics. 1984;10(12):584-8.
16. Onay EO, Ungor M, Yazici AC. The evaluation of endodontic flare-ups and their relationship to various risk factors. BMC oral health. 2015;15(1):142.
Notas de autor
Redactó el documento aportó y recolectó la información relativa al caso clínico así mismo realizó la búsqueda en la literatura referente al tema. Autor de correspondencia.
Evaluador y revisor de los articulos encontrados en la busqueda.
Participó como asesor disciplinar revisando el documento, haciendo aportes y correcciones relativas al tema.
Información adicional
Conflicto de interés : Los autores no declaran conflictos de intereses.