PRESENTACIÓN DE CASO
Amelogénesis imperfecta en una familia
Amelogenesis imperfecta in a family
Amelogénesis imperfecta en una familia
Revista Cubana de Estomatología, vol. 55, núm. 2, pp. 36-41, 2018
Centro Nacional de Información de Ciencias Médicas

Recepción: 10 Mayo 2017
Aprobación: 03 Marzo 2018
Resumen: Introducción: la amelogénesis imperfecta consiste en un grupo de desórdenes hereditarios que afectan el desarrollo del esmalte dental, de tal forma que se ve comprometida la apariencia clínica de todos o casi todos los dientes, tanto temporales como permanentes. Objetivo: informar las características y condiciones clínicas de la dentición de tres individuos de una misma familia con diagnóstico presuntivo de amelogénesis imperfecta. Presentación de casos: se realizó examen intrabucal a tres individuos con rango de consanguinidad de primer grado (madre y dos hijos) quienes presentaban alterado estructuralmente el esmalte de los dientes. De acuerdo con las características clínicas dentales y el método de Witkop, los individuos fueron diagnosticados de forma presuntiva con amelogénesis imperfecta hipomadura tipo II (madre), caracterizada por hipomaduración del esmalte y fragmentación por desgaste en los bordes incisales; amelogénesis imperfecta hipoplásica tipo I (hijo mayor), con amplias zonas de dentina expuesta opaca y con manchas pardas generalizadas; y amelogénesis imperfecta hipomadura tipo II (hijo menor), con predominio de lesiones en forma de copo de nieve o motas de algodón. Conclusiones: el diagnóstico clínico de la amelogénesis imperfecta basado en métodos fenotípicos resulta impreciso debido a la imposibilidad de establecer el origen de las alteraciones macroestructurales del esmalte. Sin embargo, de acuerdo con la descripción de los tres casos, son las afecciones en la cantidad y calidad del esmalte las que permiten realizar un diagnóstico clínico presuntivo, que guía la implementación de un tratamiento odontológico direccionado a la solución del compromiso estético y a la prevención del compromiso del órgano dentino-pulpar. En esta presentación de casos, la manifestación fenotípica de la enfermedad pasó de la madre a ambos hijos, siendo la amelogénesis imperfecta hipomadura dominante en el hijo menor.
Palabras clave: amelogénesis imperfecta, esmalte dental, amelogénesis.
Abstract: Introduction: amelogenesis imperfecta consists of a group of hereditary disorders that affect the development of the dental enamel in such a way that the clinical appearance of all or almost all primary and permanent teeth is compromised. Objective: report the clinical characteristics and conditions of the dentition of three individuals from the same family with a presumptive diagnosis of amelogenesis imperfecta. Case presentation: intraoral examination was performed of three first-degree relatives (mother and two children) with structurally altered tooth enamel. Based on their clinical dental characteristics and the results of the Witkop method, the individuals were presumptively diagnosed with hypomaturation amelogenesis imperfecta type II (mother), characterized by enamel hypomaturation and fragmentation by wear on the incisal edges; hypoplastic amelogenesis imperfecta type I (elder son), with large areas of opaque exposed dentin and generalized brown spots; and hypomaturation amelogenesis imperfecta type II (younger son), with a predominance of lesions in the shape of snowflakes or cotton wads. Conclusions: clinical diagnosis of amelogenesis imperfecta based on phenotypic methods is imprecise, since it is not possible to establish the origin of the macrostructural alterations of the enamel. However, according to the description of the three cases, quantitative and qualitative damage to the enamel makes it possible to establish a presumptive clinical diagnosis which will guide the implementation of a dental treatment aimed at resolving the aesthetic commitment and preventing involvement of the dentine-pulp complex. In this case presentation, the phenotypic manifestation of the disease passed from the mother to both children, and hypomaturation amelogenesis imperfecta was dominant in the younger son.
Keywords: amelogenesis imperfecta, tooth enamel, amelogenesis.
INTRODUCCIÓN
La amelogénesis imperfecta (AI) constituye un grupo desórdenes hereditarios que afectan el desarrollo del esmalte, lo que altera su cantidad (macroestructura anatómica) y calidad (microestructura histológica),1 afectando el aspecto clínico de todos o casi todos los dientes, tanto deciduos como permanentes.2 Fue descrita inicialmente por Weinmann en 1945 (citado por Belmont y López en 1998)3 como una anomalía de desarrollo del esmalte dental de origen ectodérmico, debido a que los tejidos dentales de origen mesodérmico (dentina, cemento y pulpa) se encuentran normales. En la actualidad, se sabe que el origen de esta condición patológica se produce por una alteración a nivel genético durante la amelogénesis.4
La AI ha sido descrita como una alteración dominante o recesiva, tanto autosómica como ligada al cromosoma X, por lo que es considerada como un desorden genético heterogéneo en el que están envueltas diferentes mutaciones en uno o diferentes genes.5-7 En los seres humanos, defectos en el gen AMELX causan AI ligada al cromosoma X, mientras que mutaciones en el gen ENAM provocan AI autosómica dominante.8,9 Asimismo, se han identificado otros genes que pueden participar activamente en el desarrollo de este síndrome, entre los que se encuentra DLX3, FAM83H, MMP-20, KLK4 y WDR72.10 Si bien en un inicio los estudios se centraron en la descripción de la alteración histológica del esmalte, una vez determinado su origen genético surgió el interés por la identificación de los genes implicados en procura de definir la etiología. Hoy en día la investigación se ha redireccionado a la asociación de la AI con otras alteraciones en diferentes regiones del cuerpo, sin embargo, al revisar la literatura disponible (en su mayoría presentaciones de casos), se deduce que la AI es una condición de rara aparición, siendo la proporción de 1:700 a 1:16.000 casos,11-13 con alguna prevalencia hacia poblaciones de origen caucasoide.14,15
Por tanto, el objetivo de este artículo es informar las características y condiciones clínicas de la dentición de tres individuos de una misma familia con diagnóstico presuntivo de amelogénesis imperfecta.
PRESENTACIÓN DE CASOS
Se estudiaron tres pacientes con rango de consanguinidad en primer grado, residentes de un sector de estrato socio-económico bajo de Cali (Colombia) y que asistieron a las clínicas odontológicas de una institución universitaria de Cali para examen clínico y tratamiento odontológico. Para la participación en el estudio se contó con el aval de un Comité de Ética en Investigación y con la firma del consentimiento informado por parte de los individuos. El motivo de la consulta fue la preocupación de la madre por sus dientes amarillos y la presencia de esta misma característica en sus hijos. Reporta que continuamente se les realizaron restauraciones dentales que en pocos días se desalojaban de su cavidad dental. El diagnóstico clínico de la AI se realizó con ayuda de varios especialistas en odontopediatría, teniendo en cuenta los posibles sesgos entre hipomaduración del esmalte y pérdida del esmalte, debido a la edad de los pacientes. Para la clasificación de la AI se empleó el método de Witkop de 1998.14
CASO 1
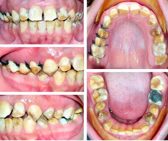
Paciente femenino de 35 años de edad, que corresponde a la madre y que al examen clínico presenta zonas de dentina expuesta en los tercios incisales de los dientes anteriores inferiores asociadas a hipomaduración del esmalte y fragmentación por desgaste en los bordes incisales. En los dientes posteriores se observa exposición de la dentina asociada a hipomaduración y fragmentación del esmalte en la zona oclusal. En los dientes anteriores, el esmalte se observa blanco y con pérdida de brillo por hipomaduración; mientras que en los posteriores se observa amarillo, con pérdida de brillo y de aspecto rugoso por descalcificación. Se presumen que las fragmentaciones ocurren a nivel de la unión amelodentinaria (falla adhesiva), bien porque el esmalte no se formó; o si lo hizo, no desarrolló un patrón de unión festoneado adecuado, por lo que posteriormente se fragmentó durante la función masticatoria exponiendo la dentina al desgaste. Diagnóstico presuntivo: amelogénesis imperfecta del tipo hipomadura Tipo II (Fig. 1).

CASO 2
Paciente masculino de 13 años de edad, que corresponde al hijo mayor y que al examen clínico presenta el esmalte de todos los dientes superiores e inferiores permanentes afectados de alguna forma. Existe ausencia de desarrollo del esmalte con amplias zonas de dentina expuesta, esta última opaca y con manchas pardas generalizadas. En algunos casos en donde el esmalte persiste se observa blanco y brillante, mientras que otras veces se observa opaco, rugoso y discontinuo por descalcificación. Se presumen que la ausencia, fragmentación y perforaciones del esmalte ocurren a nivel de la unión amelodentinaria (falla adhesiva), sin involucrar a la dentina. Es posible identificar lesiones de esmalte hipomaduro e hipomineralizado. Se pueden observar diastemas dentales asociados a fragmentación del esmalte interproximal por disminución de su resistencia en la distribución de las fuerzas transversales durante la función de masticación y disminución del volumen de la corona por excesivo desgaste. Diagnóstico presuntivo: amelogénesis imperfecta del tipo hipoplásica Tipo I (Fig. 2).

CASO 3
Paciente masculino de 9 años de edad, que corresponde al hijo menor y que al examen clínico presenta el esmalte de todos los dientes permanentes afectados de alguna forma, asociados a lesiones de hipocalcificación. Predominan las lesiones en forma de copo de nieve o motas de algodón, sobre todo en las superficies vestibulares, con perforaciones asociadas a hipoplasias puntuales que traslucen la dentina subyacente de color amarillo pardo. Diagnóstico presuntivo: amelogénesis imperfecta del tipo hipomadura Tipo II (Fig. 3).

DISCUSIÓN
La descripción de las lesiones aquí presentadas resulta compatible con descripciones encontradas en la literatura. El análisis clínico permitió identificar lesiones hipocalcificantes evidentes en los casos 1 y 3 (esmalte blando, rugoso y de color pardo); aunque en el primero, dada la edad de la paciente, la ausencia del esmalte en algunas regiones se puede asociar a fragmentación y desgaste durante la función masticatoria y el cepillado; y una serie de lesiones hipoplásicas del esmalte en los tres casos en donde el esmalte evidencia alteración en el espesor y textura irregular con presencia de hoyos. Sin embargo, la dureza y transparencia son normales. Lesiones compatibles con esmalte hipomaduro se relacionan con manchas blancas opacas.1,16 Algunos reportes concluyen que los diferentes fenotipos de AI pueden combinarse y dificultar el diagnóstico, para lo cual se requiere definir los patrones de herencia6.
PATRONES MORFOGENÉTICOS
Genéticamente, la AI ligada al cromosoma X se transmite de forma autosómica dominante o recesiva.1,9 Cuando se encuentran ligadas al cromosoma X se asocian a mutaciones en el gen AMEL, las cuales afectan la cantidad de esmalte (hipoplasia) y/o defectos en su mineralización (hipomaduración).6,17 De esta forma, el diagnóstico que corresponde a AI hipoplásica o combinada, es transmitida por la madre portadora de AI en un 50 % a sus hijos de ambos géneros, siendo mayor el compromiso del esmalte afectado en los individuos masculinos.16 En este caso, la manifestación fenotípica de la enfermedad pasó de la madre a ambos hijos, siendo la AI hipomadura dominante en el individuo de 9 años de edad.
En la AI transmitida de forma autosómica dominante, la alteración ocurre en el gen ENAM del cromosoma cuatro, afectando el proceso de mineralización del esmalte en las primeras etapas de la amelogénesis. Los diagnósticos que resultan puede ser AI hipoplásica generalizada en la que el aspecto del esmalte es liso, delgado, con bandas horizontales y hoyos en la superficie, similar al caso 2 de AI hipoplásica localizada, caracterizada por bandas horizontales de hoyos que abarcan parte del diente afectado.6,9 La AI autosómica dominante se corresponde clínicamente con las formas hipoplásica, hipoplásica con hipocalcificación o hipomadurativa, la cual afecta a uno o más individuos en cada generación de una misma familia con compromiso del esmalte variable6. En el caso de la AI autosómica recesiva, la alteración ocurre en el gen de la MMP-20 y en el gen de la KLK-4, los cuales participan en las fases de secreción y maduración de la amelogénesis.16Las mutaciones en estas proteasas se asocian con AI hipomadura e hipomadura pigmentada, caracterizadas por un esmalte de espesor normal, desmineralizado y con pigmentaciones de color amarillo-café, similar a los casos 1 y 3 de esta presentación.
En la actualidad, el avance en el conocimiento y la comprensión de la fisiopatología de la AI se ve limitado por la diversidad genética y la baja prevalencia. Además, debido al costo del análisis genético como método diagnóstico, resulta imposible aplicarlo de forma rutinaria. Sin embargo, es posible deducir en la revisión de la literatura, que se están estableciendo correlaciones fenotipo-genotipo a través del estudio clínico y el análisis genético molecular de familias afectadas1.
SEPARACIÓN DEL ESMALTE A NIVEL DE LA UNIÓN AMELODENTINARIA
Durante la odontogénesis, la unión amelodentinaria (UAD) se comporta como la plataforma de inicio de la amelogénesis y de la dentinogénesis configurando una interfase festoneada entre el esmalte y la dentina, mucho más imbricada en la región de las cúspides.18,19 Esta UAD disipa las fuerzas generadas durante la masticación, optimizando el comportamiento microestructural de ambos tejidos.20 Por tanto, si hay una alteración genética en la síntesis de los componentes de la matriz extracelular desde el inicio de la amelogénesis, la UAD no quedará conformada de forma adecuada, lo que afecta el patrón festoneado y ocasiona que ante la función masticatoria se venza el escaso límite de resistencia y se fragmente el esmalte en la unión con la dentina. Esto asociado a que la microdureza del esmalte se ve afectada, mucho más en el fenotipo hipocalcificado que en el hipomaduro,21 tal como se puede observar en las figuras 1 y 2.
Dicha fragmentación resulta evidente en las superficies vestibulares y linguales donde la UAD morfológicamente es menos festoneada en los bordes incisales y vértices cuspídeos por la atrición y en la región cervical ante el cambio dirección y menor longitud de los prismas de esmalte por abfracción. En contraste, en los pacientes con fenotipo hipomaduro que mantienen el esmalte afectado poroso y adherido a la dentina, como se observa en la figura 3, la alteración de los prismas ocurre en la superficie, por lo que se considera que la AI ocurrió en la fase de maduración, razón por la cual los defectos estructurales ocasionados por la constitución de un esmalte aprismático se asocian con la disminución de actividad de los ameloblastos y el deterioro del proceso de Tomes durante el ensamblaje final del prisma.21
CONSIDERACIONES CLÍNICAS
Si bien es cierto que las alteraciones del esmalte en la AI no implican un riesgo vital de los pacientes, estas pueden impactar su calidad de vida debido al compromiso estético. Por lo general, la descripción clínica de un paciente portador de AI incluye una estética dental deficiente, sensibilidad térmica alta, desgaste dentario extenso, caries secundaria, decoloración dentaria, maloclusiones y compromiso periodontal; además de alteraciones psicosociales asociadas por fenotipos con mayor compromiso estético. De allí la importancia del manejo integral y multidisciplinario de los pacientes, del diagnóstico temprano y de un tratamiento restaurador y rehabilitador adecuado. Sin embargo, es la atención preventiva —teniendo en cuenta el riesgo de caries, la fragmentación posteruptiva del esmalte y exposición de la dentina, la presencia de sensibilidad dental, la etiología de la enfermedad y la gravedad (color y presencia, tamaño y profundidad de las fracturas en el esmalte) y extensión (número de dientes afectados)—, la que permitirá adaptar el plan de tratamiento a cada caso en particular, con el objetivo de mejorar la estética (operatoria dental), reducir la sensibilidad (aplicación tópica de flúor), corregir o mantener la dimensión vertical (rehabilitación bucal u ortodoncia) y restablecer las diferentes funciones del sistema estomatognático, incluida la masticación.22-25
Se concluye que la AI es un desorden hereditario que afecta el desarrollo del esmalte de tal forma que altera la cantidad y calidad macro y microestructural. Las alteraciones permiten realizar un diagnóstico presuntivo que guiará hacia la implementación de un tratamiento odontológico que solucione de mejor manera el compromiso estético y el compromiso del órgano dentino-pulpar. Las clasificaciones actuales, incluida la de Witkop, se basan fundamentalmente en el fenotipo,14,15lo genera dificultades al momento del diagnóstico, dado que las alteraciones clínicas del esmalte como la hipoplasia, hipomaduración e hipocalcificación, se pueden presentar de forma específica o generalizada en los diferentes grupos de dientes, desarrollando una amplia variabilidad de compromisos morfofuncionales que dificultan la clasificación y, por ende, el pronóstico del plan de tratamiento odontológico. Es por ello que se deben emplear métodos diagnósticos basados en el genotipo para confirmar el origen genético de la AI, lo que permitiría valorar fehacientemente la naturaleza de las lesiones del esmalte y lograr un pronóstico favorable, a partir del manejo integral de los pacientes desde la asesoría genética hasta los tratamientos odontológicos oportunos y acertados.
Agradecimientos
Esta presentación de casos fue desarrollada dentro del proyecto de investigación "Análisis genético, clínico y molecular de una familia afectada con amelogénesis imperfecta" financiado por la Convocatoria Interna 2013-2014 de la Pontificia Universidad Javeriana Cali.
REFERENCIAS BIBLIOGRÁFICAS
1. Prasad, MK, Laouina, S, El Alloussi, M, Dollfus, H, Bloch-Zupan, A. Amelogenesis Imperfecta: 1 Family, 2 Phenotypes, and 2 Mutated Genes. J Dent Res. 2016;95(13):1457-63.
2. Oliveira, FV, Gurgel, CV, Kobayashi, TY, Dionísio, TJ, Neves, LT, Santos, CF, et al. Amelogenesis imperfecta and screening of mutation in amelogenin gene. Case Rep Dent. 2014;2014:319680.
3. Belmont, C, López, PM. Amelogénesis imperfecta del tipo hipomaduración-hipoplasia con taurodontismo. Rev División de Estudios de Posgrado e Investigación. 1998;2(8):18-22.
4. Sabandal, MM, Schäfer, E. Amelogenesis imperfecta: Review of diagnostic findings and treatment concepts. Odontology. 2016;104(3):245-56.
5. Wright, JT, Hart, PS, Aldred, MJ, Seow, K, Crawford, PJM, Hong, SP, et al. Relationship of phenotype and genotype in X-Linked amelogenesis imperfecta. Connect Tissue Res. 2003;44(1):72-8.
6. Wright, JT. The molecular etiologies and associated phenotypes of amelogenesis imperfecta. Am J Med Genet A. 2006;140(23):2547-55.
7. Crawford, PJ, Aldred, M, Bloch-Zupan, A. Amelogenesis imperfecta. Orphanet J Rare Dis. 2007;2(17):1-11.
8. Kim, YJ, Kim, YJ, Kang, J, Shin, TJ, Hyun, HK, Lee, SH, et al. A novel AMELX mutation causes hypoplastic amelogenesis imperfecta. Arch Oral Biol. 2017;76:61-5.
9. Stephanopoulos, G, Garefalaki, ME, Lyroudia, K. Genes and related proteins involved in amelogenesis imperfecta. J Dent Res. 2005;84:1117-26.
10. Urzúa, B, Ortega-Pinto, A, Morales-Bozo, I, Rojas-Alcayaga, G, Cifuentes, V. Defining a new candidate gene for amelogenesis imperfecta: From molecular genetics to biochemistry. Biochem Genet. 2011;49(1-2):104-21.
11. Mehta, DN, Shah, J, Thakkar, B. Amelogenesis imperfecta: Four case reports. J Nat Sci Biol Med. 2013;4(2):462-5.
12. Gopinath, V, Al-Salihi, K, Yean Yean, C, Chan, M, Li, A, Ravichandran M. Amelogenesis imperfecta: Enamel ultrastructure and molecular studies. J Clin Pediatr Dent. 2004;28(4):319-22.
13. Leme, MC, Peres, SR. The genetics of amelogenesis imperfecta: A review of the literature. J App Oral Sci. 2005;13(3):212-7.
14. Witkop, CJ. Amelogenesis imperfecta, dentinogenesis imperfecta and dentin dysplasia revisited: Problems in classifications. J Oral Pathol. 1998;17:547-53.
15. Hurtado, PM, Tobar-Tosse, F, Osorio, J, Orozco, L, Moreno, F. Amelogénesis imperfecta: Revisión de la literatura. Rev Estomatol. 2015;23(1):32-41.
16. Harryparsad, A, Rahman, L, Bunn, BK. Amelogenesis imperfecta: a diagnostic and pathological review with case illustration. SADJ. 2013;68(9):404-7.
17. Büchi, D, Fehmer, V, Sailer, I, Wolleb, K, Jung, R. Minimally invasive rehabilitation of a patient with amelogenesis imperfecta. Int J Esthet Dent. 2014;9(2):134-45.
18. Sa, Y, Liang, S, Ma, X, Lu, S, Wang, Z, Jiang, T, et al. Compositional, structural and mechanical comparisons of normal enamel and hypomaturation enamel. Acta Biomater. 2014;10(12):5169-77.
19. Radlanski, RJ, Renz, H. Insular dentin formation pattern in human odontogenesis in relation to the scalloped dentino-enamel junction. Ann Anat. 2007;189:243-50.
20. Moreno, F, Ortiz, M, Mejía, C. Métodos de separación y técnicas de observación microscópica de la unión amelodentinaria: revisión sistemática de la literatura. Univ Odontol. 2013;32(69):19-34.
21. Wright, JT, Hall, KI, Yamauch, M. The enamel proteins in human amelogenesis imperfecta. Arch Oral Biol. 1997;42(2):149-59.
22. Marquezin, MC, Zancopé, BR, Pacheco, LF, Gavião, MB, Pascon, FM. Aesthetic and functional rehabilitation of the primary dentition affected by amelogenesis imperfecta. Case Rep Dent. 2015;2015:790890.
23. Ergun, G, Kaya, BM, Egilmez, F, Cekic-Nagas, I. Functional and esthetic rehabilitation of a patient with amelogenesis imperfecta. J Can Dent Assoc. 2013;79:d38.
24. Pousette Lundgren, G, Wickström, A, Hasselblad, T, Dahllöf, G. Amelogenesis imperfecta and early restorative crown therapy: An interview study with adolescents and young adults on their experiences. PLoS One. 2016;11(6):e0156879
25. Moura, CDVS, Pontes, AS, Lopes, TSP, Moura, LFAD, Lima, MDM. Functional and esthetic rehabilitation of a child with amelogenesis imperfecta: A case report. Gen Dent. 2017;65(3):18-20.