PRESENTACIÓN DE CASO
Tumor odontogénico adenomatoide extrafolicular de localización mandibular
Mandibular extrafollicular adenomatoid odontogenic tumor
Tumor odontogénico adenomatoide extrafolicular de localización mandibular
Revista Cubana de Estomatología, vol. 55, núm. 3, pp. 62-68, 2018
Centro Nacional de Información de Ciencias Médicas
Recepción: 11 Diciembre 2017
Aprobación: 03 Mayo 2018
Resumen:
Introducción: el tumor odontogénico adenomatoide es un tumor odontogénico benigno compuesto por epitelio odontogénico con estroma fibroso maduro sin participación del ectomesénquima. Representa entre el 2 % y el 7 % de estos tumores. Más del 90 % aparecen antes de los 30 años con tres variantes clínicas: folicular, extrafolicular y periférica. Su aspecto clínico-radiográfico varía y puede ser confundido con otras lesiones quísticas o neoplásicas de la cavidad bucal, por lo que es necesario el diagnóstico anatomopatológico. Objetivo: presentar un caso de un tumor odontogénico adenomatoide extrafolicular mandibular. Presentación del caso: paciente femenina de 12 años de edad, con aumento de volumen asintomático en la encía mandibular del lado izquierdo, sin antecedentes patológicos de interés, de tiempo de evolución no precisado. Al examen físico se observó aumento de volumen de forma redondeada de 1,5 cm que desplazaba la encía mandibular izquierda entre incisivo lateral y canino. La radiografía reveló una lesión radiolúcida unilocular entre 42 y 43 que expandía la cortical ósea. Se detectó ausencia de vitalidad pulpar de estos dientes. Con el diagnóstico clínico de quiste periapical se realizó excisión quirúrgica, se envió la muestra al laboratorio de Anatomía Patológica, y se concluyó el diagnóstico de tumor odontogénico adenomatoide extrafolicular.
Conclusiones: el tumor odontogénico adenomatoide, más común en la maxila, puede presentarse en la mandíbula. Los hallazgos clínico-radiográficos semejan otras lesiones odontogénicas como quistes dentígeros, otras neoplasias y lesiones periapicales inflamatorias, siendo el diagnóstico anatomopatológico el concluyente.
Palabras clave: tumor odontogénico adenomatoide, extrafolicular, mandíbula, quiste periapical.
Abstract: Introduction: adenomatoid odontogenic tumor is a benign odontogenic tumor composed of odontogenic epithelium with mature fibrous stroma without ectomesenchymal involvement. It represents between 2 % and 7 % of these tumors. More than 90 % appear before age 30, with three clinical variants: follicular, extrafollicular and peripheral. Its clinical-radiographic aspect may vary, and it may be confused with other cystic or neoplastic lesions of the oral cavity, hence the need for an anatomo-pathological diagnosis. Objective: present a case of mandibular extrafollicular adenomatoid odontogenic tumor. Case presentation: afemale 12-year-old patient presents with asymptomatic left mandibular gum swelling, with no pathological antecedents of interest and an imprecise time of evolution. Physical examination found a round 1.5 cm swelling displacing the left mandibular gum between the lateral incisor and the canine. Radiography revealed a unilocular radiolucent lesion between teeth 42 and 43 expanding the cortical bone. The teeth involved showed no pulpal vitality. Upon reaching a clinical diagnosis of periapical cyst, surgical excision was performed and a sample was submitted to the Anatomical Pathology laboratory. The anatomo-pathological diagnosis was extrafollicular adenomatoid odontogenic tumor. Conclusions: though more common in the maxilla, adenomatoid odontogenic tumors may also occur in the mandible. Clinical and radiological features may be similar to those of other odontogenic lesions, such as dentigerous cysts, other neoplasms and periapical inflammatory lesions; therefore, the final diagnosis should be provided by anatomo-pathological evaluation.
Keywords: adenomatoid odontogenic tumor, extrafollicular, mandible, periapical cyst.
INTRODUCCIÓN
El tumor odontogénico adenomatoide, es una lesión clasificada por la OMS. dentro de los tumores odontogénicos benignos compuestos por epitelio odontogénico con estroma fibroso maduro sin participación del ectomesénquima. Se debate mucho acerca de la verdadera clasificación de este tumor, si se trata de un hamartoma o de una verdadera neoplasia. Los seguidores de la categoría de hamartoma justifican su planteamiento basados en el restringido potencial de crecimiento y tamaño limitado, así como la ausencia de una capacidad de recurrencia inherente. Por el contrario, los que sostienen la teoría de su origen neoplásico señalan que la lesión es de crecimiento lento y su remoción temprana previene que esta alcance tamaños significativos y también plantean que muchos casos que han permanecido sin tratar han alcanzado dimensiones considerables, causando asimetría facial. Además plantean que el espectro histopatológico observado en el tumor odontogénico adenomatoide es inconsistente con las variaciones que se observan en las anomalías de desarrollo.
La idea del origen de esta lesión a partir del epitelio reducido del órgano del esmalte se ha reforzado por muchos estudios ultraestructurales e inmunohistoquímicos. Representa entre el 2 y el 7 % de todos los tumores odontogénicos.1,2 El rango de edades de presentación fluctúa entre los 3 y los 80 años, aunque más de dos tercios se diagnostican en la segunda década de la vida y más del 90 % antes de los 30 años de edad con una proporción hombre-mujer de 1:1,9. Más de la mitad de los casos se presenta en adolescentes.
La gran mayoría de estos tumores tienen una localización intraósea, preferentemente en la maxila con respecto a la mandíbula (proporción de 2,1:1). Según Sethi3es llamado por algunos como el tumor de los "dos tercios", pues: "dos tercios" ocurren en la maxila, "dos tercios" se ven en el sexo femenino, "dos tercios" se asocian con dientes retenidos y "dos tercios" de los dientes afectados son los caninos.
Se describen tres variantes: la folicular, que es la más frecuente, con una localización central, asociada a un diente retenido, de ahí que se confunda con un quiste dentígero; la extrafolicular, también intraósea, pero sin relación con una estructura dentaria, lo cual hace que se confunda con otras lesiones quísticas y tumorales de los maxilares; y la periférica, la más infrecuente, de localización extraósea, que afecta la mucosa gingival y simula un épulis fibroso o fibroma gingival. Su crecimiento es lentamente expansivo, sin infiltrar ni destruir las estructuras adyacentes, lo cual hace que su pronóstico sea excelente, luego de la excisión quirúrgica, de ahí la importancia de tenerlo en cuenta en el diagnóstico diferencial de otras lesiones de los maxilares que pueden tener un comportamiento más agresivo. ¿La localización de este tumor en sitios no habituales puede llevar a confusiones diagnósticas? ¿Las diversas variantes clínicas presentan patrones histomorfológicos diferentes? ¿El conocimiento de su existencia por parte del estomatólogo puede servir como orientación a la hora de decidir una conducta terapéutica más o menos agresiva?
El objetivo es presentar un caso de un tumor odontogénico adenomatoide extrafolicular de localización mandibular diagnosticado clínicamente como un quiste periapical.
PRESENTACIÓN DEL CASO
Paciente femenina de 12 años de edad, que acudió a consulta de Cirugía Maxilofacial por presentar aumento de volumen en la encía mandibular del lado izquierdo. Al interrogatorio no se refirieron antecedentes patológicos personales ni familiares de interés. La paciente no pudo precisar con exactitud el tiempo de evolución de la lesión, la cual fue detectada desde hacía varios días al provocarle molestias al cepillado dental de la zona, momento en el cual se percató de la existencia de esta, siendo totalmente asintomática hasta ese momento. Al examen físico se observó aumento de volumen localizado de forma redondeada, de 1,5 cm de diámetro que desplazaba la encía mandibular izquierda en la zona correspondiente a incisivo lateral y canino.
El estudio radiográfico reveló la presencia de una lesión radiolúcida unilocular situada entre el 42 y el 43 que expandía la cortical ósea. Entre otros datos de interés se detectó ausencia de vitalidad pulpar de estos dientes.
Dada sus características clínico-radiográficas se planteó el diagnóstico clínico de quiste periapical.
Se realizó excisión quirúrgica de la lesión, la cual fue enviada al laboratorio de Anatomía Patológica para su estudio.
Descripción macroscópica de la muestra. Pieza quirúrgica de forma redondeada, encapsulada, que medía 1,5 cm de diámetro, de color pardo claro, de consistencia blanda, superficie de corte de color blanco parduzco con pequeñísimos espacios quísticos.
Descripción microscópica. Se observaron nódulos de tamaño variable compuestos por células cuboidales o columnares de epitelio odontogénico que forman nidos o estructuras en forma de rosetas en cuyo centro se observó un material eosinófilo amorfo con muy escaso estroma conectivo. Entre las células epiteliales se observó el crecimiento nodular de células fusiformes, en el espesor de los cuales, se observaron estructuras ductiformes revestidas por células cilíndricas altas con calcificaciones aisladas. Diagnóstico anatomopatológico: tumor odontogénico adenomatoide de localización extrafolicular.
La evolución posterior al tratamiento fue satisfactoria, sin evidencias de recurrencia al año de la intervención.
DISCUSIÓN
El tumor odontogénico adenomatoide es una lesión odontogénica no frecuente con una histogénesis aún no bien precisada, por lo cual se discute sobre su verdadera naturaleza neoplásica o hamartomatosa. Su tendencia es a afectar a personas jóvenes con una aparente inclinación a presentarse más en el sexo femenino y asociación a caninos e incisivos laterales retenidos. No obstante, cada vez se informan más casos de este tipo de tumor que difieren de los canones establecidos en lo que respecta a su localización, predilección de sexo e incluso características clínico-radiográficas que hacen que se confunda con otras lesiones quísticas e incluso neoplásicas de los maxilares. Sethi y otros3 en una revisión de datos publicados sobre este tumor, entre el 2000 y el 2014 con respecto a su evolución, presentación clínica, histología y hallazgos inmunohistoquímicos, informan, mediante del estudio de 255 casos, un cambio en cuanto a la incidencia del sitio involucrado, en que el 42 % presentó ubicación en el cuadrante anterior mandibular, más del 20 % en la parte posterior de la mandíbula, es decir que más del 60 % de todos los tumores se ubicaban en la mandíbula y no en la maxila como tradicionalmente se ha informado.Nuestro caso, en cuanto a su ubicación coincide con lo planteado por estos autores.
El predominio del sexo femenino sí es un hallazgo coincidente en el estudio de Seith3 y Seo y otros,4 no así con lo presentado por Shavaliet al5;. Saluja, Kaur y Singh;6Bhatt y otros,7 quienes refieren casos del sexo masculino y de localización mandibular. Desde el punto de vista radiográfico existe coincidencia en presentar la lesión como un área radiolúcida unilocular, bien delimitada, en la que pueden observarse pequeñas radiopacidades sugestivas de calcificaciones.1,3,5,7,8 Esta es la imagen radiográfica clásica, generalmente asociada a la corona de un diente retenido, en el caso específico de la variante folicular, en que puede confundirse con un quiste dentígero.
La variante intraósea extrafolicular, si bien mantiene las mismas características, al no estar asociada a la corona de un diente retenido, en dependencia de su localización y relación con los dientes vecinos, puede dar lugar a confusión sobre el diagnóstico diferencial pues puede tratarse de diversas entidades, pudiendo estar más próxima a las raíces dentarias, donde puede provocar desplazamiento de estas o incluso reabsorción radicular o hasta semejar procesos inflamatorios periapicales.9 En nuestro caso, por tratarse del tipo extrafolicular, la zona radiolúcida se ubicaba entre las raíces de los dientes involucrados y la ausencia de vitalidad de los mismos inclinaba al diagnóstico de un quiste periodontal, es decir, a partir de un proceso pulpar. Comparada con la variante folicular, el origen de la variante extrafolicular que nos ocupa permanece poco esclarecido. Los datos actuales en la literatura sugieren que algunos tumores odontogénicos adenomatoides extrafoliculares pueden originarse como un fenómeno secundario en quistes odontogénicos preexistentes, en estos casos a partir del revestimiento epitelial de ellos.9 Avinash, Prashanth Shenai y Chatra10 informan la existencia de una subvariante que califican de rara la cual, al igual que en nuestra presentación, poseía características semejantes a una afección inflamatoria periapical. Según Suk Keun y Yeon Sook9 se trata de una variante muy rara, existiendo solo doce casos informados en la literatura.
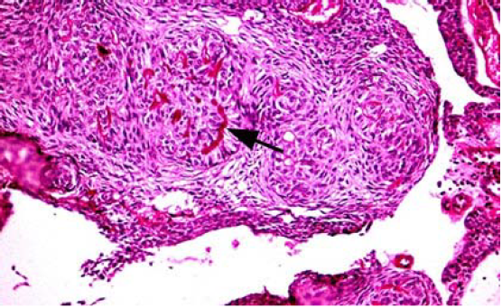
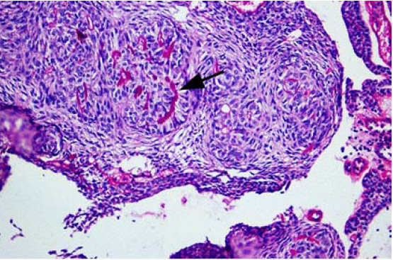
Microscópicamente, a pequeño aumento el patrón histomorfológico más destacado está dado por la presencia de nódulos de tamaños variados, compuestos por células cuboidales o columnares de epitelio odontogénico, formando nidos o estructuras en forma de "rosetas" con poco estroma de tejido conectivo. Entre estas células y en el centro de las rosetas se observa el depósito de un material eosinofílico amorfo PAS positivo (gotas tumorales) (Fig. 1 y Fig. 2).


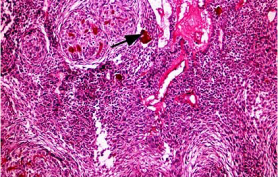
Dentro de estas áreas celulares pueden observarse o no, estructuras tubulares con aspecto de seudo-conductos, revestidos de una hilera simple de células epiteliales columnares con el núcleo polarizado hacia la capa basal, y la luz de estos puede encontrarse vacía o contener un material eosinofílico o restos celulares. Adicionalmente, las células columnares pueden formar cordones en patrones complicados que a menudo exhiben invaginaciones. Otro patrón celular característico está dado por la presencia de nódulos formados por células poliédricas eosinofílicas, de aspecto escamoso con bordes bien definidos y puentes intercelulares prominentes. Los núcleos, en ocasiones, pueden exhibir ligero pleomorfismo (de origen degenerativo). Estos nódulos pueden contener agrupaciones de material amiloideo y masas de calcificación distrófica. El estroma conectivo contiene vasos sanguíneos de paredes delgadas (Fig. 3). Pueden verse áreas microquísticas.

CONCLUSIONES
El tumor odontogénico adenomatoide, aunque preferentemente de localización en la maxila puede presentarse en la mandíbula, lo cual se corrobora por el incremento de notificaciones en la literatura en esta localización. De acuerdo con la variante presentada, los signos clínico-radiográficos varían. La variante extrafolicular, al no estar asociada con un diente retenido puede ser confundida con otras lesiones, incluyendo los quistes inflamatorios periapicales, como es el caso que presentamos. Es importante que el estomatólogo tenga presente este tumor en el diagnóstico diferencial de lesiones radiolúcidas de los maxilares asociadas o no con diente retenidos. El diagnóstico anatomopatológico es el único concluyente.
REFERENCIAS BIBLIOGRÁFICAS
1. Barnes, L, Eveson, JW, Reichart, P, Sidransky, D (Eds): World Health Organization Classification of Tumours. Pathology and Genetics of Head and Neck Tumours. Lyon: IARC Press; 2005.
2. Contreras, D, Dellán, A, Granadillo, K, Tinoco, P, Salazar, N, Villarroel-Dorrego, M. Estudio clínico transversal de tumores odontogénicos: análisis clínico patológico de 450 casos. Acta Bioclínica. 2013;5(3):98-115.
3. Sethi, S. A case report and short review on changing trends in the site of occurrence of adenomatoid odontogenic tumor: Unravelling the past 15 years. Dent Res J (Isfahan). 2016 Sep;13(5):462-71.
4. Seo, WG. Adenomatoid odontogenic tumor associated with an unerupted mandibular lateral incisor: a case report. J Korean Assoc Oral Maxillofac Surg. 2015 Dec;41(6):342-5. Published Online 2015 Dec 17. doi: 10.5125/jkaoms.2015.41.6.342.
5. Shivali, V. A Rare Case of Extrafollicular Adenomatoid Odontogenic Tumour in the Posterior Region of the Mandible: Misdiagnosed as Residual Cyst. J Int Oral Health 2013;5(5):124-8.
6. Saluja, R, Kaur, G, Singh, P. Aggressive adenomatoid odontogenic tumor of mandible showing root resorption: A histological case report. Dent Res J (Isfahan). 2013 Mar-Apr;10(2):279-82.
7. Bhatt, R, Jay Dave, J, Nalawade, TM, Mallikarjuna, R. Adenomatoid odontogenic tumour in mandible in a 14-year-old boy. BMJ Case Rep. 2013; 2013: bcr2013010287. Published online 2013 Jul 8. doi: 10.1136/bcr-2013-010287.
8. Reddy Kundoor, VK, Maloth, KN, Guguloth, NN, Kesidi, S. Extrafollicular Adenomatoid Odontogenic Tumor: An Unusual Case Presentation. J Dent (Shiraz). 2016 Dec;17(4):370-4.
9. Suk Keun, L, Yeon Sook, K. Current Concepts and Occurrence of Epithelial Odontogenic Tumors: I. Ameloblastoma and Adenomatoid Odontogenic Tumor. Korean J Pathol. 2013 Jun;47(3):191-202.
10. Avinash Tejasvi, ML, Prashanth Shenai, K, Chatra, L. Atypical case of periapical adenomatoid odontogenic tumour. J Maxillofac Oral Surg. 2010;9:99-101.