Signo Radiológico
Signo del anillo tubario
Tubal ring sign
Signo del anillo tubario
Revista Argentina de Radiología, vol. 81, núm. 1, pp. 59-61, 2017
Sociedad Argentina de Radiología Asociación Civil
Introducci??n
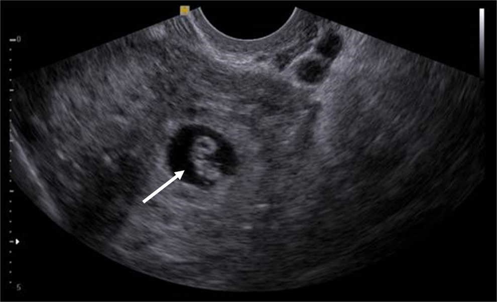
El signo del anillo tubario (tubal ring sign), descrito por primera vez por Timor-Tritsch y Rottem en el a??o 1987, corresponde a un hallazgo ecogr??fico observable en casos de embarazo ect??pico de localizaci??n tubaria1. Se define como una formaci??n anular hiperecog??nica (reacci??n trofobl??stica) que rodea al saco gestacional implantado fuera de la cavidad uterina (fig. 1). Su importancia radica en la alta especificidad y valor predictivo positivo para el diagn??stico de embarazo ect??pico tubario2.

Caracter??sticas fisiopatol??gicas
El signo del anillo tubario se debe a la implantaci??n ect??pica del cigoto en la trompa de Falopio debido a su detenci??n durante la migraci??n. Esta situaci??n se encuentra determinada por factores tubarios y ovulares, siendo los m??s frecuentes la enfermedad pelviana inflamatoria (EPI), el embarazo ect??pico previo, la cirug??a tub??rica, la endometriosis, las t??cnicas de reproducci??n asistida y la insuficiencia del cuerpo l??teo.
La implantaci??n se produce hacia el sexto d??a, resultado de la invasi??n de las c??lulas trofobl??sticas del cigoto entre las c??lulas epiteliales del endosalpinx3. Debido a la penetraci??n trofobl??stica, aumenta el espesor parietal de la trompa de Falopio, que intenta contener y mantener viable al producto de la concepci??n.
El 45% de las pacientes con gestaci??n ect??pica se presenta con la cl??sica tr??ada cl??nica de dolor, sangrado vaginal y masa anexial palpable. No obstante, signos y s??ntomas como amenorrea, dolor ante la excitaci??n cervical y sensibilidad ov??rica tambi??n deben tenerse en cuenta4.
Hallazgos imagenol??gicos
El signo del anillo tubario tiene una frecuencia del 40-68%, siendo la segunda forma de presentaci??n ecogr??fica del embarazo ect??pico, luego de la presencia de una masa anexial2.
Las diferentes caracter??sticas ultrasonogr??ficas permiten clasificar a la entidad en tres categor??as de acuerdo con el tipo de contenido embrionario o extraembrionario4.
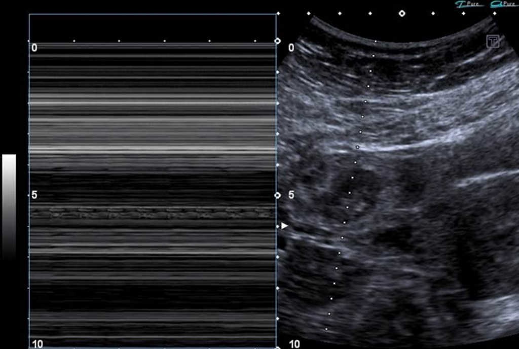
Tipo I: estructuras embrionarias o extraembrionarias dentro de un anillo tubario bien definido. El embri??n puede detectarse con o sin latidos card??acos positivos (figs. 2 y 3).


Tipo II: trompa de Falopio dilatada que presenta frecuentemente un anillo tubario delgado con centro hipoecog??nico o ligeramente hiperecog??nico, pero sin saco gestacional o estructura embrionaria en su interior.
Tipo III: la trompa de Falopio no logra demostrarse, aunque se reconoce l??quido libre en el fondo de saco de Douglas, ausencia de estructuras embrionarias o extraembrionarias intrauterinas y subunidad beta de gonadotrofina cori??nica humana (hCG) s??rica positiva.
La diferenciaci??n ecogr??fica puede realizarse tanto por v??a suprap??bica como endovaginal, siendo esta ??ltima la de elecci??n por su mayor resoluci??n imagenol??gica. Es importante determinar que la masa anexial es extraov??rica, ya que en la mayor??a de los casos la gestaci??n ect??pica se localiza en la porci??n ampular de la trompa. Con esta finalidad puede utilizarse el sliding sign, consistente en demostrar el libre movimiento entre el ovario y la masa, al realizar el estudio ultrasonogr??fico endocavitario combinado con una suave palpaci??n abdominal4,5.
Dentro de los tres tipos de anillo tubario descritos, el tipo I es el m??s frecuente (49,7%)4.
Diagn??sticos diferenciales
El signo del anillo tubario plantea como principales diagn??sticos diferenciales otras masas anexiales, como el cuerpo l??teo, el hematosalpinx y el hematoma p??lvico.
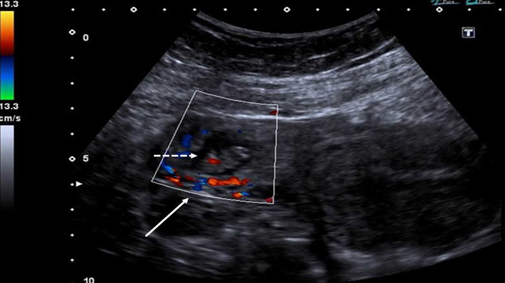
Es posible diferenciar el anillo tubario del hematosalpinx y del hematoma p??lvico debido a que los dos ??ltimos carecen de flujo ante la evaluaci??n mediante ecograf??a Doppler color.
Tanto el anillo tubario como el cuerpo l??teo presentan una corona hipervascular en la evaluaci??n Doppler color que se comporta como un hallazgo poco espec??fico, pero muy sensible2,5 (fig. 4).

Conclusi??n
La importancia del reconocimiento y detecci??n del signo del anillo tubario radica en la posibilidad de arribar al diagn??stico temprano de embarazo ect??pico en su localizaci??n m??s frecuente de manera no invasiva.
Confidencialidad de los datos
Los autores declaran que han seguido los protocolos de su centro de trabajo sobre la publicaci??n de datos de pacientes y que todos los pacientes incluidos en el estudio han recibido informaci??n suficiente y han dado su consentimiento informado por escrito.
Conflicto de intereses
Los autores declaran no tener ning??n conflicto de intereses.
Agradecimientos
A la Dra. Jimena Mariano.
Bibliografía
Timor-Tritsh I.E, Rottem S. Transvaginal ultrasonographic study of the fallopian tube. Obstet Gynecol. 1987; 70:424-8
Bolaji I, Singh M, Goddard R. Sonographic signs in ectopic pregnancy: update. Ultrasound. 2012; 20:192-210
Zenteno G. Fisiopatología del embarazo ectópico. Ginecol Obstet Mex. 2002; 70:36-47
Rottem S, Thaler I, Timor-Tritsch I.E. Classification of tubal gestations by transvaginal sonography. Ultrasound Obstet Gynecol. 1991; 1:197-201
Jurkovic D, Mavrelos D. Catch me if you scan: ultrasound diagnosis of ectopic pregnancy. Ultrasound Obstet Gynecol. 2007; 30:1-7
Notas de autor
Autor para correspondencia. mfsisu@hotmail.com