Cartas científicas
Necrosis grasa epicárdica: una causa infrecuente de dolor torácico
Epicardial fat necrosis: an unusual cause of chest pain
Necrosis grasa epicárdica: una causa infrecuente de dolor torácico
Revista Argentina de Radiología, vol. 81, núm. 3, pp. 221-223, 2017
Sociedad Argentina de Radiología Asociación Civil
La necrosis grasa epic??rdica es una entidad infrecuente, que se presenta con dolor tor??cico pleur??tico s??bito y autolimitado en pacientes anteriormente sanos1. La tomograf??a computada (TC) permite una evaluaci??n anat??mica precisa del espacio cardiofr??nico y la caracterizaci??n de las lesiones que lo comprometen, como la necrosis grasa epic??rdica, que evidencia los hallazgos t??picos de la entidad, consistentes en una lesi??n ovoide con atenuaci??n grasa y compromiso del tejido adiposo epic??rdico adyacente2,3. La fisiopatolog??a se ha relacionado con da??o en el tejido graso epic??rdico, secundario a torsi??n vascular, trauma o sangrado microvascular4.
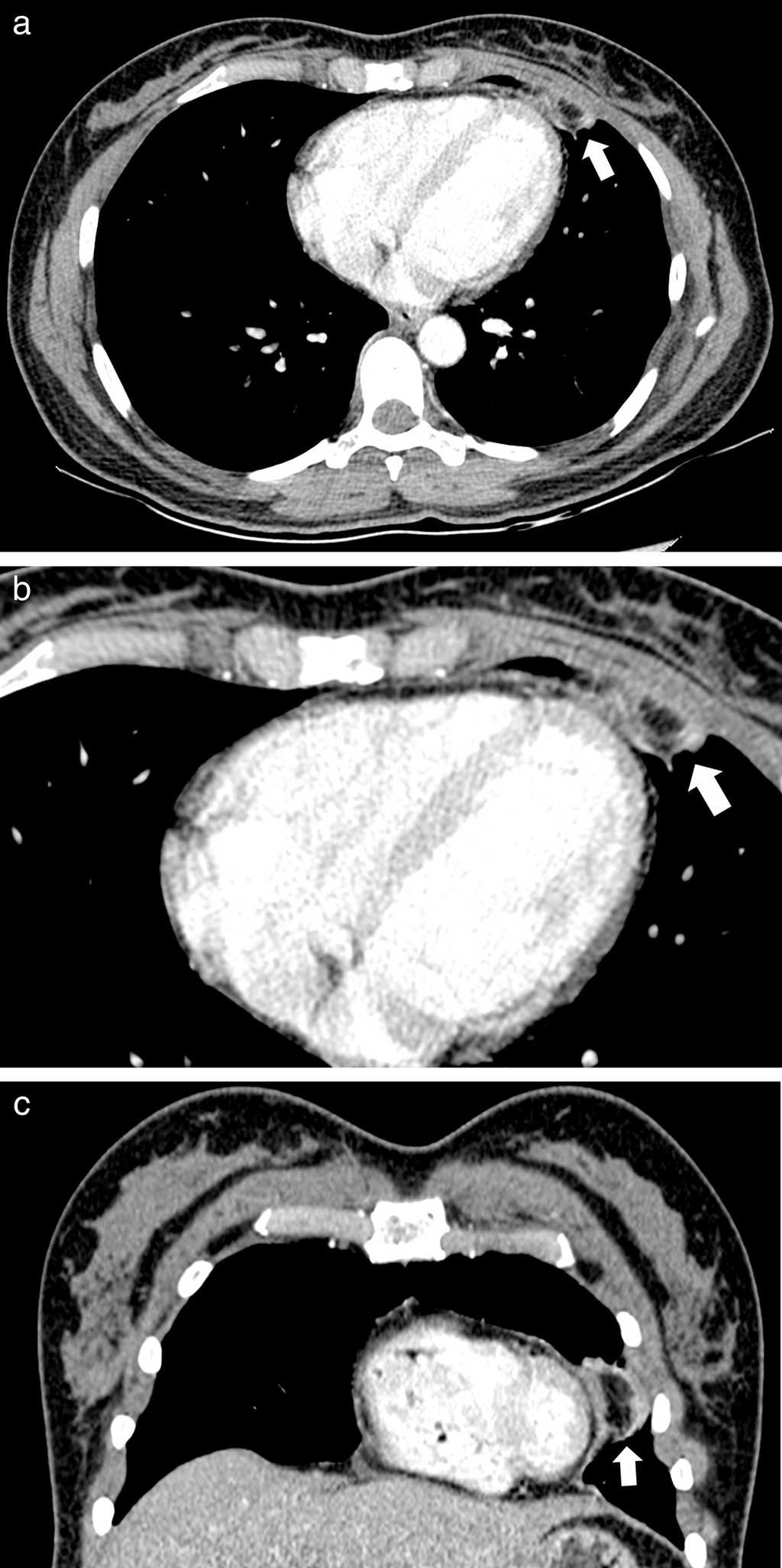
Comunicamos dos casos de necrosis grasa epic??rdica diagnosticados por TC. El primero consisti?? en una mujer de 35 a??os de edad, anteriormente sana, que consult?? al servicio de urgencias por un dolor precordial intenso y s??bito. A su ingreso el examen f??sico result?? normal, con electrocardiograma sin evidencia de alteraciones. Dada la persistencia e intensidad del dolor, se realiz?? una TC de t??rax contrastada, en la que se observ?? una lesi??n ovoidea encapsulada, con atenuaci??n grasa y presencia de anillo de tejido blando, con aumento en la atenuaci??n de la grasa adyacente, localizada en la regi??n epic??rdica anterior izquierda (fig. 1).

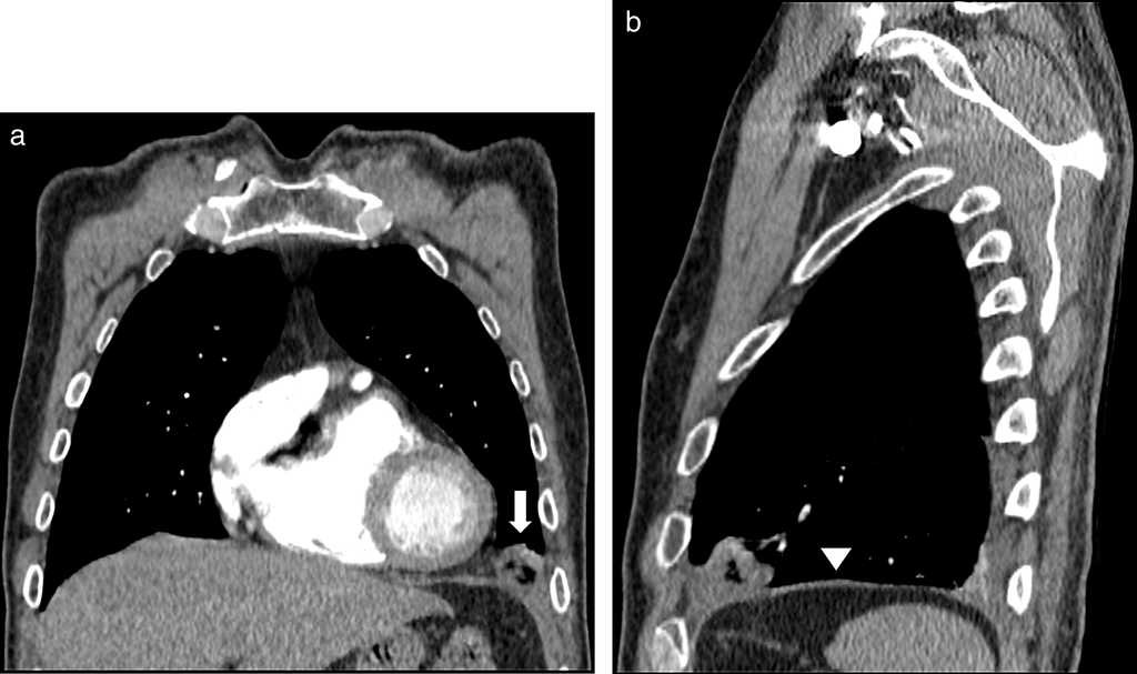
El segundo caso fue un var??n de 67 a??os de edad, sin antecedentes patol??gicos, que consult?? a urgencias por un cuadro de dolor tor??cico opresivo e intenso, de una hora de evoluci??n, que se irradiaba al hemit??rax izquierdo y se asociaba a n??useas y disnea. El electrocardiograma y troponinas fueron normales. Se realiz?? una angiograf??a por TC de t??rax que evidenci?? una lesi??n redondeada con atenuaci??n central grasa y de mayor densidad perif??rica, localizada en la grasa epic??rdica anterior hacia el ??ngulo cardiofr??nico izquierdo (fig. 2). Esto se relacionaba con una torsi??n del cojinete graso epic??rdico con infarto. No se encontr?? tromboembolismo pulmonar ni alteraciones del par??nquima.

En ambos pacientes se realiz?? el diagn??stico de necrosis grasa epic??rdica con base en la historia cl??nica y los hallazgos imagenol??gicos t??picos en la TC, descart??ndose otras posibilidades diagn??sticas del cuadro cl??nico. Los dos recibieron manejo con analg??sicos orales, sin requerir ninguna intervenci??n quir??rgica ni otros estudios invasivos, con adecuada evoluci??n y resoluci??n de la sintomatolog??a.
La necrosis grasa epic??rdica, condici??n benigna y poco frecuente, fue descrita por primera vez por Jackson et al. en 19571,5,6. Hasta el momento solo existen 35 casos reportados en la literatura mundial4. La fisiopatolog??a es desconocida y se asocia a torsi??n e isquemia aguda de la grasa epic??rdica, anormalidades estructurales preexistentes del tejido adiposo (como lipomas, hamartomas o lipomatosis) e incremento de la presi??n intrator??cica relacionada con la maniobra de Valsalva1,5.
La presentaci??n cl??nica es el dolor tor??cico pleur??tico, s??bito e intenso, que puede estar asociado a mareos, s??ncope, disnea, taquicardia y diaforesis. El examen f??sico, el eco y el electrocardiograma, as?? como las pruebas de laboratorio, suelen ser normales4,5.
En cuanto al diagn??stico por imagen, la radiograf??a de t??rax puede ser normal o evidenciar un aumento en la opacidad del espacio paracard??aco, usualmente del lado izquierdo, con o sin derrame pleural concomitante5,7. Por ello, la TC es considerada la t??cnica de elecci??n ante la sospecha de necrosis grasa epic??rdica. Esta permite una excelente visualizaci??n del espacio cardiofr??nico y la caracterizaci??n de sus lesiones2. El hallazgo t??pico es la presencia de una lesi??n encapsulada de atenuaci??n grasa que se localiza en el tejido adiposo paracard??aco del mediastino anterior, adyacente al pericardio y se rodea de cambios inflamatorios, como filamentos densos, engrosamiento pleural o peric??rdico y ocasionalmente derrame pleural2,5,7. En los casos de alta sospecha cl??nica y hallazgos sutiles o no concluyentes en la TC, la resonancia magn??tica (RM) puede confirmar el contenido graso de la lesi??n1.
Entre los diagn??sticos diferenciales deben incluirse las masas de contenido graso ubicadas en el pericardio (como lipomas, liposarcomas, mesoteliomas peric??rdicos, teratomas y timolipomas) y las infecciones (como mediastinitis y absceso mediastinal), a pesar de que son entidades acompa??adas de otros hallazgos imagenol??gicos que orientan el diagn??stico. De igual manera, las hernias diafragm??ticas con contenido de grasa abdominal ocupando el espacio cardiofr??nico pueden descartarse a trav??s de las reconstrucciones multiplanares de la TC, ya que evidencian el defecto en el diafragma y la continuidad de la lesi??n con la grasa infradiafragm??tica5.
Desde el 2005, a??o de la primera descripci??n de un caso de necrosis grasa epic??rdica con manejo conservador exitoso, la TC ha jugado un papel fundamental en el diagn??stico y control3. Esta entidad no requiere intervenci??n quir??rgica y en la mayor??a de los casos es suficiente el tratamiento con analg??sicos1,2. El seguimiento imagenol??gico evidencia la resoluci??n de los hallazgos de manera espont??nea.
Confidencialidad de los datos
Los autores declaran que han seguido los protocolos de su centro de trabajo sobre la publicaci??n de datos de pacientes y que todos los pacientes incluidos en el estudio han recibido informaci??n suficiente y han dado su consentimiento informado por escrito para participar en dicho estudio.
Conflicto de intereses
Los autores del trabajo declaran no tener ning??n conflicto de intereses.
Bibliografía
Lee H.H, Ryu D.S, Jung S.S, Jung S.M, Choi S.J, Shin D.H. MRI findings of pericardial fat necrosis: case report. Korean J Radiol. 2011; 12:390-4
Pineda V, Andreu J, Cáceres J, Merino X, Varona D, Dominguez-Oronoz R. Lesions of the cardiophrenic space: findings at cross-sectional imaging. Radiographics. 2007; 27:19-32
Pineda V, Cáceres J, Andreu J, Vilar J, Domingo M.L. Epipericardial fat necrosis: radiologic diagnosis and follow-up. AJR Am J Roentgenol. 2005; 185:1234-6
Giassi Kde S, Costa A.N, Apanavicius A, Bachion G.H, Musolino R.S, Kairalla R.A. Epipericardial fat necrosis: an unusual cause of chest pain. J Bras Pneumol. 2013; 39:627-9
Hernandez D, Galimany J, Pernas J.C, Llauger J. Case 170: Pericardial fat necrosis. Radiology. 2011; 259:919-22
Lee B.Y, Song K.S. Calcified chronic pericardial fat necrosis in localized lipomatosis of pericardium. AJR Am J Roentgenol. 2007; 188:21-4
van den Heuvel D.A, van Es H.W, Cirkel G.A, Bos W.J. Acute chest pain caused by pericardial fat necrosis. Thorax. 2010; 65:188
Notas de autor
Autor para correspondencia. patriciagil16@hotmail.com