Cartas científicas
Proliferación osteocondromatosa parostal bizarra como simulador de osteosarcoma parostal
Bizarre parosteal osteochondromatous proliferation mimicking parosteal osteosarcoma
Proliferación osteocondromatosa parostal bizarra como simulador de osteosarcoma parostal
Revista Argentina de Radiología, vol. 81, núm. 3, pp. 224-226, 2017
Sociedad Argentina de Radiología Asociación Civil
La proliferación osteocondromatosa parostal bizarra (POPB) o enfermedad de Nora, llamada así en honor al patólogo que la describió por primera vez en 1983, se trata de una tumoración ósea benigna muy infrecuente. Consiste en el crecimiento exofítico del tejido óseo, cartilaginoso y fibroso a partir del periostio1.
Los lugares más comunes de aparición son los huesos de las manos y los pies (75%), siendo rara la localización en los huesos largos y el cráneo2,3. Ocurre frecuentemente entre la tercera y la cuarta década de la vida, sin predilección de sexos2. Presenta características de benignidad, aunque por su crecimiento rápido, alta tasa de recidiva local y, en algunas ocasiones, hallazgos por imagen atípicos, puede confundirse con lesiones malignas como el osteosarcoma parostal.
Presentamos una breve revisión de las características de la POPB, junto con dos casos diagnosticados en nuestro hospital, uno de ellos con manifestación típica y otro, atípica.
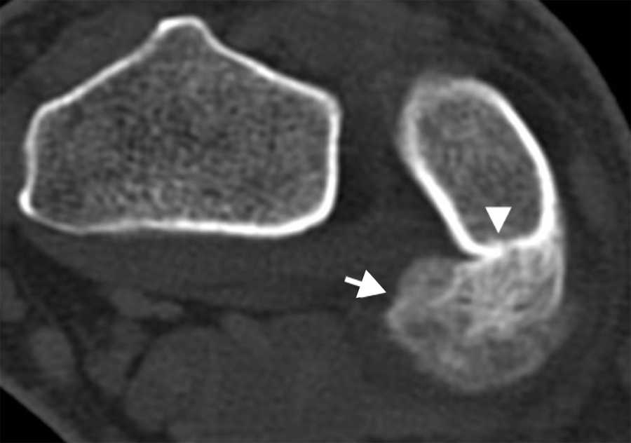
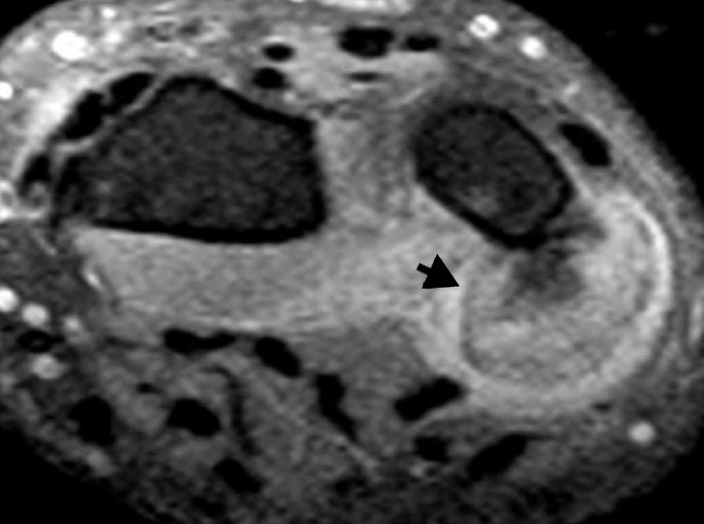
El primer caso se trató de un varón de 35 años con una tumoración en la cara volar de la muñeca derecha, presente desde hacía 2 años, pero que había crecido en los últimos meses. El paciente refería dolor en la muñeca e historia de traumatismo. La radiografía simple mostró una calcificación adyacente al extremo distal del cúbito, sin clara dependencia ósea (no mostrada); mientras que la tomografía computada (TC) corroboró la presencia de una lesión de localización metafisodiafisaria, que evidenciaba continuidad con la cortical ósea cubital posterior, sin afectación medular evidente. La lesión tenía márgenes bien definidos y matriz osteoide (fig. 1). La resonancia magnética (RM) constató la ausencia de afectación de la medular ósea (fig. 2) y el resultado de la biopsia confirmó la POPB.


El segundo caso fue otro varón de 23 años con una tumoración dolorosa en el hueco poplíteo, que había crecido en el último mes. El paciente no tenía antecedente traumático ni fiebre o síndrome constitucional. A la palpación la tumoración era firme y no móvil. La radiografía simple mostró una lesión de localización metafisodiafisaria, dependiente de la cortical femoral y de dudosa continuidad con la medular, con morfología irregular y matriz osteoide (fig. 3). En la TC se confirmaron los hallazgos (fig. 4a) y, además, se detectó un área de posible afectación de la medular periférica (fig. 4b). Se completó el estudio con RM y gammagrafía ósea (no mostradas) y, ante la sospecha de malignidad, se realizó una biopsia con resultado de POPB.


La POPB es un tumor benigno poco frecuente, localmente agresivo y de etiología desconocida. La teoría más aceptada sugiere que se trata de una fase intermedia dentro del proceso reactivo continuo entre la periostitis florida y la exóstosis en torreta4–6. Sin embargo, no existen suficientes datos que comprueben con certeza esta hipótesis, ya que las lesiones suelen biopsiarse en la segunda etapa (POPB), alterando el proceso. Debido a que su etiología, historia natural y curso clínico no son bien conocidos, el manejo debe ser llevado a cabo por un comité multidisciplinario7.
La lesión tiene una consistencia dura y un crecimiento lento, con o sin dolor dependiendo del efecto de masa que ejerza1. En más del 50% de los casos, los pacientes refieren historia previa de traumatismo, aunque no es un dato común7.
El mayor reto para el radiólogo consiste en diferenciar esta entidad del osteosarcoma parostal, dada su relación con el periostio. Es muy importante también la distinción con otras entidades benignas, como el osteocondroma, el condroma perióstico y la miositis osificante, ya que la POPB requiere una resección amplia y hasta en el 55% de los casos presenta recidiva4.
Su localización típica puede ayudar al diagnóstico diferencial, en tanto el osteocondroma y el osteosarcoma parostal son extremadamente raros en los huesos pequeños de las manos y los pies (siendo esta la localización más frecuente en la POPB). Al respecto, la miositis osificante suele localizarse de forma adyacente a los huesos largos, con mayor asociación a traumatismo previo y un patrón de osificación centrípeto7.
En imágenes la POPB se identifica como una masa osificada, bien delimitada y de localización yuxtacortical, con una base amplia de implantación afectando al periostio8. El hueso subyacente presenta apariencia normal, sin afectación medular, esclerosis reactiva o periostitis2. Existe algún caso descrito en el que la POPB muestra continuidad con la medular ósea, por lo que la ausencia de este hallazgo típico no descarta la enfermedad2.
La RM es muy útil para una mejor caracterización. Revela una lesión hipointensa en secuencias potenciadas en T1 e hiperintensa de forma variable en secuencias potenciadas en T2 y recuperación de inversión en tiempo corto (STIR), mostrando realce homogéneo tras la administración de contraste9.
La POPB no requiere realización de biopsia en casos típicos, ya que la imagen y las características clínicas son suficientes para establecer el diagnóstico. Se recomienda un seguimiento de 6 meses9. En casos atípicos, es obligatoria la biopsia y el estudio anatomopatológico para establecer el diagnóstico y descartar el osteosarcoma parostal, ya que las manifestaciones raras, como la continuidad con la medular ósea o la afectación de la cortical, deben ser diferenciadas de la patología maligna.
Saludos cordiales,
Los autores
Confidencialidad de los datos
Los autores declaran que han seguido los protocolos de su centro de trabajo sobre la publicación de datos de pacientes y que todos los pacientes incluidos en el estudio han recibido información suficiente y han dado su consentimiento informado por escrito para participar en dicho estudio.
Conflicto de intereses
Los autores del trabajo declaran no tener ningún conflicto de intereses.
Bibliografía
Chaabane S, Chelli-Bouaziz M, Ben-Ghars K.H, Abid L, Jaafoura M.H, Ladeb M.F. Bizarre parosteal osteochondromatous proliferation: Nora's lesion. Iran J Radiol. 2011; 8:119-25
Rybak L.D, Abramovici L, Kenan S, Posner M.A, Bonar F, Steiner G.C. Cortico-medullary continuity in bizarre parosteal osteochondromatous proliferation mimicking osteochondroma on imaging. Skeletal Radiol. 2007; 36:829-34
Abramovici L, Steiner G.C. Bizarre parosteal osteochondromatous proliferation (Nora's lesion): a retrospective study of 12 cases, 2 arising in longbones. Hum Pathol. 2002; 33:1205-10
Yuen M, Friedman L, Orr W, Cockshott W.P. Proliferative periosteal processes of phalanges: a unitary hypothesis. Skeletal Radiol. 1992; 21:301-3
Dhondt E, Oudenhoven L, Khan S, Kroon H.M, Hogendoom P.C, Nieborg A, et al. Nora's lesion, a distinct radiological entity. Skeletal Radiol. 2006; 35:497-502
Dorfman H.D, Czerniak B. Bone tumors. St. Louis, MO: Mosby; 1998.
Kershen L.M, Schucany W.G, Gilbert N.F. Nora's lesion: bizarre parosteal osteochondromatous proliferation of the tibia. Proc (Bayl Univ Med Cent). 2012; 25:369-71
Barrera-Ochoa S, Lluch A, Gargallo-Margarit A, Pérez M, Vélez R. Bizarre parosteal osteochondromatous proliferation (Nora's lesion) of the hand: a report of two atypical cases. Case Rep Med. 2012; Epub 2012
Torreggiani W.C, Munk P.L, Al-Ismail K, O’Connell J.X, Nicolaou S, Lee M.J, et al. MR imaging features of bizarre parosteal osteochondromatous proliferation of bone (Nora's lesion). Eur J Radiol. 2001; 40:224-31
Notas de autor
Autor para correspondencia. jadegarciaespinosa@gmail.com