Cartas científicas
Hallazgos imagenológicos de la displasia cleidocraneal
Imaging findings in cleidocranial dysplasia
Hallazgos imagenológicos de la displasia cleidocraneal
Revista Argentina de Radiología, vol. 81, núm. 3, pp. 229-231, 2017
Sociedad Argentina de Radiología Asociación Civil
La displasia cleidocraneal (DC) es una rara enfermedad caracterizada por ausencia o hipoplasia de las clavículas, persistencia de las fontanelas abiertas y existencia de anormalidades dentales múltiples1–3. Su prevalencia se ha estimado en 1 por cada millón de habitantes alrededor del mundo3.
Usualmente se origina por herencia autosómica dominante, con alta penetrancia y grado variable de expresión, y se debe a una mutación del gen RUNX 2, localizado en el brazo corto del cromosoma 6 (6p21), el cual codifica una proteína necesaria para el correcto funcionamiento de los osteoclastos1,3–5. Sin embargo, hasta el 40% de los casos de DC aparece de forma espontánea, sin una clara asociación genética5.
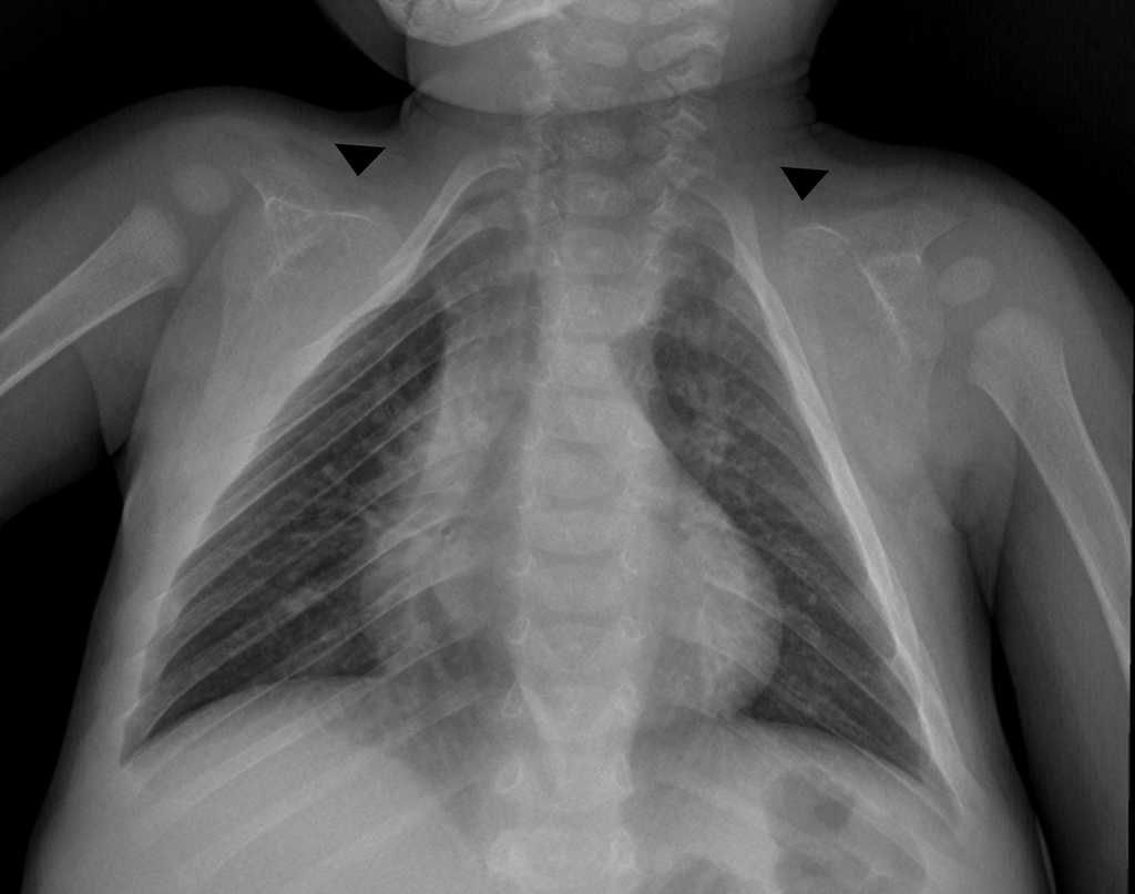
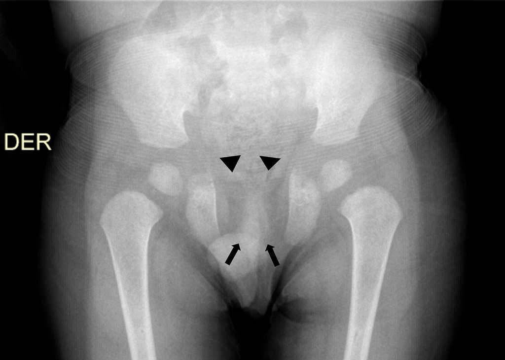
A pesar de su baja prevalencia, se considera necesario el conocimiento de esta entidad por parte del médico radiólogo para realizar un diagnóstico adecuado y oportuno. Por ello, comunicamos el caso de un niño de 3 años que consultó inicialmente por una caída desde aproximadamente 1 metro de altura, con trauma en miembro superior derecho. En la radiografía (Rx) se evidenció una fractura del cóndilo lateral humeral. No obstante, en el examen físico se encontró talla baja, hipertelorismo y alteraciones óseas craneales, consistentes en diastasis de suturas y persistencia de fontanela anterior abierta, además de macroglosia, paladar ojival, dismorfismo dentario (se sospechó diagnóstico de Síndrome de Pierre Marie Sainton en su forma esporádica), ausencia de clavículas y pectus excavatum. La Rx convencional de tórax anteroposterior demostró apariencia triangular del tórax y ausencia congénita de ambas clavículas (fig. 1), mientras que la Rx anteroposterior de pelvis reveló ausencia de osificación de las ramas iliopúbicas y osificación parcial del isquion, con ausencia de las ramas isquiopúbicas (fig. 2). No se ampliaron estudios para detectar anormalidades en el desarrollo óseo de manos y columna vertebral.


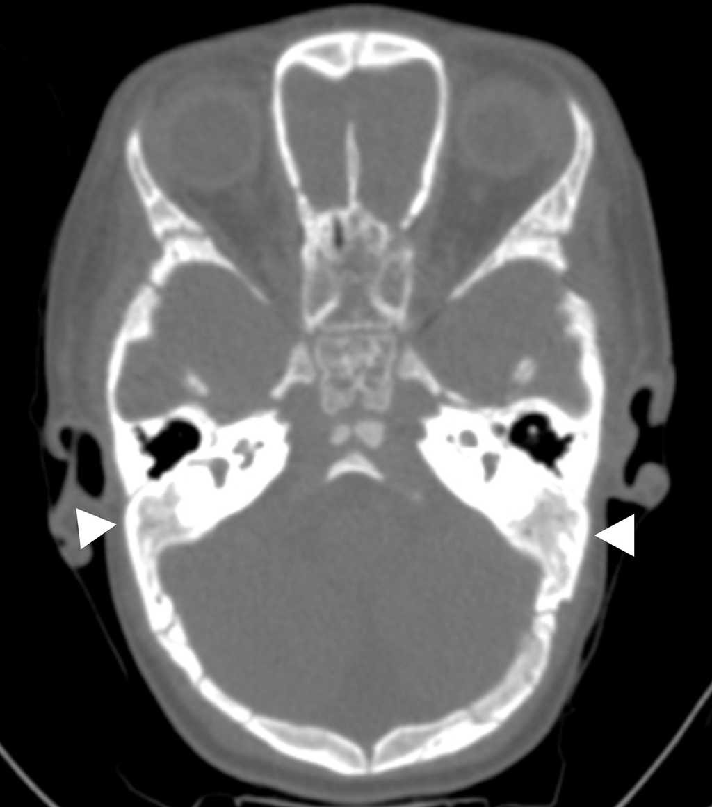
En la tomografía computada (TC) de cráneo se evidenció diastasis de la sutura sagital de las fontanelas anteriores y posteriores, con aumento en el número de los huesos wormianos parietales, temporales y occipitales en ambos lados (fig. 3), más ausencia de neumatización de las celdillas mastoideas (fig. 4).


El paciente presentó la tríada conformada por dientes supernumerarios, agenesia completa de las clavículas y alteraciones craneales, como suturas y fontanelas sagitales abiertas, lo cual permitió realizar el diagnóstico5.
Las principales características de la DC son la ausencia completa o parcial de las clavículas, los dientes supernumerarios, la retención de dientes deciduos y los dientes permanentes impactados. El retraso en el cierre de las fontanelas sagitales, las cuales pueden permanecer abiertas durante toda la vida, es uno de los hallazgos clínicos más evidentes. Se pueden encontrar anomalías en las manos, como la braquidactilia, y aproximadamente el 38% de los pacientes presenta hipoacusia1–8.
Los individuos con DC tiene una estatura menor que sus hermanos no afectados y son más propensos a tener otros problemas esqueléticos u ortopédicos, como pie plano, genu valgo y escoliosis. Otras alteraciones asociadas incluyen infecciones de vías respiratorias superiores, alta incidencia de cesáreas y leve retraso motor en los niños menores de 5 años. No obstante, la mayoría de los casos se presentan asintomáticos o en formas leves3.
El diagnóstico de la enfermedad se realiza en base a los hallazgos clínicos enunciados en conjunto con los hallazgos imagenológicos, que generalmente se identifican por medio de radiografías. Si bien la TC no es necesaria para llevar a cabo el diagnóstico, se puede requerir para comprender mejor las malformaciones de la columna vertebral e identificar alteraciones craneales, como las de los huesos temporales (en relación con la patología aural y otológica)9,10.
Los hallazgos sugestivos de DC, según la región involucrada, son3:
*Cráneo y columna vertebral
-Diastasis de suturas, fontanelas permeables y presencia de huesos wormianos1,10
-Retraso en la osificación del cráneo
-Neumatización pobre o ausente de los senos frontales, paranasales y mastoideos
-Apófisis odontoides hipoplásica y agenesia del arco anterior del atlas9
-Dientes mal alineados e impactados, o dientes supernumerarios
-Fusión del estribo a la trompa de Eustaquio y el retrotímpano10
-Escoliosis y cifoescoliosis9
*Tórax
-Tórax en forma de cono
-Anormalidades claviculares (hipoplasia o aplasia de las clavículas, y clavículas discontinuas), siendo los tercios lateral y medio de la clavícula los más comúnmente afectados7
-Escápulas hipoplásicas
*Pelvis
-Retraso en la osificación del hueso púbico, con sínfisis púbica amplia
-Hipoplasia de los alerones ilíacos
-Articulaciones sacroilíacas amplias
*Manos y pies
-Pseudoepífisis de los metacarpianos y metatarsianos. Alargamiento característico del segundo metacarpiano
-Hipoplasia de falanges distales
-Falanges medias cortas y deformadas del tercero, cuarto y quinto dedo, con epífisis en forma de cono
*Otro
-Osteopenia
En conclusión, el presente caso indica que la DC es una enfermedad poco común que debe considerarse en pacientes con desarrollo anormal de los huesos del cráneo, las clavículas y los dientes. Requiere conocimiento del tema por parte del radiólogo, para poder ofrecer un adecuado diagnóstico.
Confidencialidad de los datos
Los autores declaran que han seguido los protocolos de su centro de trabajo sobre la publicación de datos de pacientes y que todos los pacientes incluidos en el estudio han recibido información suficiente y han dado su consentimiento informado por escrito para participar en dicho estudio.
Conflicto de intereses
Los autores del trabajo declaran no tener ningún conflicto de intereses.
Bibliografía
Glass R.B, Fernbach S.K, Norton K.I, Choi P.S, Naidich T.P. The infant skull: a vault of information. Radiographics. 2004; 24:507-22
Shen W.C. A case of cleidocranial dysplasia confirmed by 3D CT of the cranium. AJNR Am J Neuroradiol. 2000; 21:609
Mendoza-Londono R, Lee B. Cleidocranial Dysplasia. 2006 Jan 3 [Actualizado en agosto de 2013]. In: Pagon RA, Adam MP, Ardinger HH, eds. GeneReviews?? [Internet]. Seattle (WA): University of Washington, Seattle; 1993-2017. Available from: https://www.ncbi.nlm.nih.gov/books/NBK1513/
Dighe M, Fligner C, Cheng E, Warren B, Dubinsky T. Fetal skeletal dysplasia: an approach to diagnosis with illustrative cases. Radiographics. 2008; 28:1061-77
Tanaka J.L, Ono E, Filho E.M, Castilho J.C, Moraes L.C, Moraes M.E. Cleidocranial dysplasia: importance of radiographic images in diagnosis of the condition. J Oral Sci. 2006; 48:161-6
Glass R.B, Norton K.I, Mitre S.A, Kang E. Pediatric ribs: a spectrum of abnormalities. Radiographics. 2002; 22:87-104
Kumar R, Madewell J.E, Swischuk L.E, Lindell M.M, David R. The clavicle: normal and abnormal. Radiographics. 1989; 9:677-706
Fernandes D.D, Marshall G.B, Frizzell J.B. Answer to case of the month #111: cleidocranial dysostosis. Can Assoc Radiol J. 2006; 57:246-8
Al Kaissi A, Ben Chehida F, Kenis V, Ganger R, Radler C, Hofstaetter J.G, et al. Broad spectrum of skeletal malformation complex in patients with cleidocranial dysplasia syndrome: radiographic and tomographic study. Clin Med Insights Arthritis Musculoskelet Disord. 2013; 6:45-55
Gonzalez G.E, Caruso P.A, Small J.E, Jyung R.W, Troulis M.J, Curtin H.D. Craniofacial and temporal bone CT findings in cleidocranial dysplasia. Pediatr Radiol. 2008; 38:892-7
Notas de autor
Autor para correspondencia. germanacastrillon@gmail.com