Signo Radiológico
Signo de la doble línea
The double-line sign
Signo de la doble línea
Revista Argentina de Radiología, vol. 81, núm. 3, pp. 240-241, 2017
Sociedad Argentina de Radiología Asociación Civil
Recepción: 21 Julio 2016
Aprobación: 31 Octubre 2016
El signo de la doble l??nea fue reportado por Mitchell et al. en 19871. Es caracter??stico de la osteonecrosis o la necrosis avascular ??sea, y si bien inicialmente fue descrito para la afectaci??n de la cadera (localizaci??n m??s frecuente), puede comprometer cualquier hueso, con predilecci??n por la ep??fisis y la met??fisis de los huesos largos (rodilla, hombro, huesos del carpo, metatarsos, etc.).
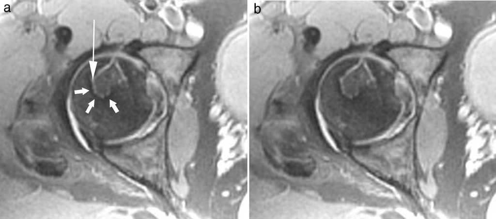
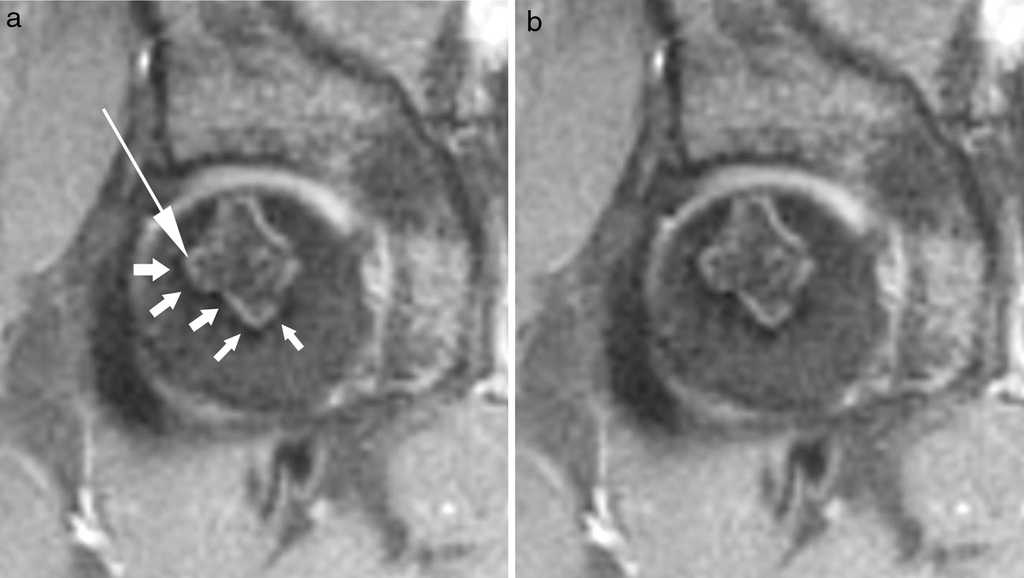
Este signo se observa, mediante la resonancia magn??tica (RM) con tiempo de repetici??n largo, como dos im??genes lineales adyacentes entre s??, de trazo serpiginoso, delimitando la interfase entre el hueso necr??tico y el normal: una banda hipointensa externa define el hueso normal y corresponde a tejido fibr??tico y esclerosis, mientras que la otra banda, hiperintensa, tiene una localizaci??n interna, delimita el hueso necr??tico y representa tejido de granulaci??n hipervascular de reparaci??n de la zona de necrosis2,3 (figs. 1 y 2).


Se han comunicado m??ltiples causas de necrosis avascular. Entre las m??s habituales se encuentran los traumatismos, idiop??tico, el tratamiento con corticoides, las hemoglobinopat??as, las enfermedades del col??geno y el alcoholismo. Todas tienen en com??n la interrupci??n del aporte sangu??neo al hueso medular, que acaba necros??ndose. Por ello, existe predilecci??n por la met??fisis y ep??fisis de los huesos largos (puesto que son zonas con vascularizaci??n arterial y venosa m??s precaria). La epidemiolog??a var??a en funci??n de la localizaci??n y los factores implicados3.
El signo de la doble l??nea es importante en el diagn??stico de la necrosis avascular. A pesar de que existen otros signos descritos por radiolog??a simple, tomograf??a computada y RM, este es el de mayor especificidad. Una vez diagnosticado el proceso, dado que el signo permite diferenciar claramente el hueso necr??tico del normal, resulta esencial en la clasificaci??n, planificaci??n terap??utica y seguimiento. Su presencia permite valorar la localizaci??n, extensi??n, morfolog??a y volumen del hueso necr??tico, susceptible de tratamiento y control.
Adem??s, al ser un hallazgo relativamente precoz (ya hay reparaci??n ??sea), su existencia, junto con otros patrones de representaci??n en RM, posibilita el diagn??stico en pacientes con sospecha cl??nica, pero con otras pruebas de imagen sin alteraciones significativas (estadio I)3.
Como conclusi??n, el signo de la doble l??nea es caracter??stico de la osteonecrosis y permite diferenciar claramente el hueso necr??tico del normal. Por este motivo, su presencia es fundamental en el diagn??stico, despistaje, planificaci??n terap??utica y seguimiento.
Confidencialidad de los datos
Los autores declaran que han seguido los protocolos de su centro de trabajo sobre la publicaci??n de datos de pacientes y que todos los pacientes incluidos en el estudio han recibido informaci??n suficiente y han dado su consentimiento informado por escrito.
Conflicto de intereses
Los autores declaran no tener ning??n conflicto de intereses.
Bibliografía
Mitchell D.G, Kressel H.Y, Rao V.M. The unique MRI appearance of the reactiva interface in avascular necrosis: the double-line sign. Magn Reson Imaging. 1987; 5:41
Zurlo J.V. The double-line sign. Radiology. 1999; 212:541-2
Murphey M.D, Foreman K.L, Klassen-Fischer M.K, Fox M.G, Chung E.M, Kransdorf M.J. From the radiologic pathology archives imaging of osteonecrosis: radiologic-pathologic correlation. Radiographics. 2014; 34:1003-28
Notas de autor
Autor para correspondencia. radcuenca@gmail.com