Original Article | Artículo Original
Complicaciones vasculares durante la trombectomía mecánica en el ictus agudo, una experiencia multicéntrica en España
Vascular Complications during Mechanical Thrombectomy in Acute Stroke, a Multicentric Experience in Spain
Complicaciones vasculares durante la trombectomía mecánica en el ictus agudo, una experiencia multicéntrica en España
Revista Argentina de Radiología, vol. 82, núm. 3, pp. 107-113, 2018
Sociedad Argentina de Radiología

Recepción: 19 Enero 2018
Aprobación: 17 Junio 2018
Publicación: 18 Julio 2018
Resumen:
Objetivo Determinar la frecuencia de las complicaciones observadas durante la trombectomía en el ictus isquémico agudo.
Materiales y Métodos Se revisó de forma retrospectiva las trombectomías realizadas en nuestra institución cuando los ictus isquémicos tuvieron una indicación de tratamiento endovascular. Se registraron los diferentes dispositivos utilizados en ese periodo de tiempo y si presentaron relación con el desarrollo de las complicaciones inmediatas mediante arteriografía.
Resultados De un total de 228 casos, se registraron complicaciones en el 16,6% de los casos. Se identificaron embolias (n ¼ 31), hemorragias subaracnoideas (n ¼ 2), hemorragia gangliobasal (n ¼ 1), vasoespasmo (n ¼ 1), disección (n ¼ 1) y peusoaneurismas (n ¼ 2). La embolia a nuevos territorios se presentó solo en 5 casos.
Discusión El tratamiento endovascular ha demostrado ser efectivo para la recanalización en oclusión de gran vaso. El uso de dispositivos presume un riesgo por la manipulación de los vasos.
Conclusión La embolia fue la complicación más frecuente. El tratamiento endovascular en el ictus genera un desenlace clínico favorable de los pacientes, al mismo tiempo, el bajo porcentaje de complicaciones que encontramos no suponen una afectación negativa en el desenlace final.
Palabras clave: Accidente Cerebrovascular, Trombectomía, Embolia, Hemorragia Cerebral.
Abstract:
Purpose To determine the complications we observed during thrombectomy in acute ischemic stroke.
Materials and Methods We reviewed retrospectively thrombectomies performed in our institution when endovascular treatment for stroke was done. The different devices used in this period of time were recorded and we determined if these were related to the development of immediate complications duringthe procedure visualized in arteriography.
Results We had 228 cases, complications were found in 16.6% of the cases. Embolisms (n ¼ 31), subarachnoid hemorrhages (n ¼ 2), gangliobasal hemorrhage (n ¼ 1), vasospasm (n ¼ 1), dissection (n ¼ 1) and peusoaneurysms (n ¼ 2) were identified. 5 embolisms happened to new territories during thrombectomy.
Discussion Endovascular treatment has been shown to be effective for recanalization in large vessel occlusion. The use of devices presumes a risk for the manipulation of the vessels.
Conclusion Embolism was the most frequent complication. The endovascular treatment in the acute stroke produces a favorable clinical outcome of the patients and we found a low percentage of complications that would not suppose a negative affectation in the final outcome.
Keywords: Stroke, Thrombectomy, Embolism, Cerebral Hemorrhage.
Introducción
La trombectomía mecánica es un método de recanalización endovascular, efectivo para conseguir la repermeabilización de un vaso de gran calibre ocluido durante un ictus agudo, incluso ha mostrado superioridad a la trombolisis intravenosa o intra-arterial, tanto en morbilidad y mortalidad en varios estudios realizados durante el 2015.1,2,3 El tratamiento fibrinolítico endovenoso más el tratamiento endovascular han demostrado ser superiores cuando se comparan con la fibrinólisis sola para conseguir la restauración del flujo sanguíneo cerebral. Se han desarrollado técnicas avanzadas que mejoran la eficiencia de la recanalización y que ofrecen una ventana terapéutica más extensa de hasta 8 horas para la circulación anterior y hasta 24 horas para la circulación posterior, comparada con la ventana de 4,5 horas de la fibrinolisis.4,5
Existen varias técnicas para la trombectomía mecánica, entre las que se encuentran la técnica directa de aspiración en primer paso (ADAPT)6 mediante sistema de aspiración o manual (MAT)7 y stent-retrievers.4 Asimismo, se pueden utilizar los stent-retrievers sumado a un catéter de acceso distal para realizar aspiración sobre la superficie del coágulo (Solumbra) y asistir esas maniobras bajo el uso de catéter balón, como maniobras adicionales para prevenir las posibles complicaciones durante la extracción del trombo, siendo la embolia una de las más comunes.8 También se han descrito técnicas de trombectomías multimodales, en donde se combinan diferentes técnicas para conseguir la recanalización.9 Dada la variabilidad de técnicas y dispositivos que existen para realizar la trombectomía, decidimos presentar los dispositivos y técnicas que se utilizan para este procedimiento, así como las complicaciones. Los objetivos del presente trabajo son describir las diferentes técnicas de trombectomías que se realizan en centros clínicos de España y sus complicaciones.
Materiales y Métodos
Realizamos un estudio multicéntrico y revisamos de forma retrospectiva los aspectos técnicos de la trombectomía para establecer la relación de los dispositivos con las diferentes complicaciones, desde el 1 de febrero de 2017, hasta el 30 de junio de 2017 en 5 centros clínicos en España en hospitales de IV nivel de complejidad (Hospital Clinic, Barcelona; Hospital Vall D'hebrón, Barcelona; Hospital Bellvitge, Barcelona; Hospital Germans Trias i Pujol, Badalona; Hospital Clínico San Carlos, Madrid). El registro incluyó variables como: uso de balón, catéter de acceso distal, técnica ADAPT, stent retriever y sitio de oclusión, así como la medición de los dispositivos y las técnicas de captura.
Se incluyeron pacientes con los siguientes criterios: oclusión en la arteria carótida interna, T carotídea, M1 o M2 cuando fuera factible o afectación elocuencial, puntaje de 6 o mayor en la escala del National Institute of Health Stroke (NIHSS); edad superior a 18 años, ASPECTS 6 o más, mismatch mayor al 20% en la perfusión por tomografía computada (PTC) cuando el paciente arribaba 8 horas después del inicio de los síntomas o 12 horas para la circulación posterior. Los criterios de exclusión fueron: transformación hemorrágica y ausencia de mismatch cuando se realizaba PTC.
Analizamos diversas variables, como la técnica y los dispositivos para identificar que dispositivos o combinación se relacionaba con mayor incidencia de complicaciones (►Tabla 1).
Se incluyeron complicaciones derivadas del sitio de la punción. Las variables fueron introducidas a la base de datos por los neurointervencionistas que practicaron las trombectomías al finalizar el procedimiento. Todos los pacientes recibieron activadores recombinantes del plasminógeno tisular (r-TPA) tan pronto como fue posible en el hospital, a menos que contasen con alguna contraindicación para su administración.

Descripción de la Técnica
Las opciones de anestesia general, sedación o sin sedación, se dejaron a criterio del neurointervencionista. Los neurointervencionistas contaban con más de 5 años de experiencia. Se realizó abordaje transfemoral o acceso carotídeo directo cuando no se logró el cateterismo por arteria femoral. A través de un introductor vascular corto, un catéter balón 8F-9F (Cello, EV3 o Merci, Medical Concentric) o introductor largo (Neuronmax 088; Penumbra) se avanzó hacia la arteria carótida interna o vertebral. En los casos en los que se realizó la técnica ADAPT, se colocó un catéter de aspiración distal (ACE 68, 64; Penumbra) lo más cerca posible del trombo con un microcatéter en el interior, (5 MAX, 4 MAX o 3 MAX; penumbra), luego se procedió a realizar la aspiración con sistema de aspiración de penumbra. En el caso de la técnica de stent-retriever, orion, EV3, rebar 18, EV3 y headway 21, microvention se usó como microcatéter y microguía Syncro 0,014," Stryker. Ese último se colocó 1 o 2 cm más allá del trombo y stent-retriever como trevo, Stryker, solitaire, EV3, capture, EV3, erik, microvention, stream, Perflow medical, aperio, Acandis, catch, Balt o embotrap, Neuravi / Codman se desplegó utilizando un catéter de aspiración distal (Navien, EV3, Sofia, microvention, Revive, Codman) a través de un introductor largo en la arteria carótida interna (ACI) con diferentes tamaños y longitudes según el diámetro de los vasos. Se prefirió un stent grande (4 mm o más) en arteria recta, proximal y grande, mientras que el stent pequeño se usó para arterias tortuosas o distales. En cuanto a la longitud, se prefirió uno que superaba la longitud estimada del trombo. Los introductores vasculares, catéteres guía y microcatéteres fueron conectados a perfusión continua de suero fisiológico sin heparina. El cierre percutáneo se realizó mediante dispositivos de cierre intra y extravasculares.
Resultados
El 49,5% fueron mujeres y el 50,5% fueron hombres. El 37,8% fueron pacientes menores de 70 años, el 32,0% fueron entre 70-80 años y el 30,3% fueron mayores de 80 años. El NIHSS promedio de ingreso fue de 17,1. La localización de la oclusión fue de un 14,5% en la ACI intracraneal, de un 63,5% en la arteria cerebral media en su segmento esfenoidal (M1), de un 15,8% en su segmento insular (M2) y de un 5,7%. para vetebrobasilar o arteria cerebral anterior (ACA). No se realizó ningún abordaje humeral o radial. El acceso carotídeo se realizó en el 3,0% de los casos. El tiempo promedio de recanalización desde el momento de la punción hasta la recanalización fue de 31,2 minutos. La técnica utilizando stent-retriever se realizó en el 81,1% de los pacientes (n ¼ 185) y la técnica de aspiración sola en el 18,9% restante (n ¼ 43).
El Solitaire fue el stent más utilizado dentro de su grupo (58,3%), seguido por el Trevo (24,6%), Stream (6,4%), catch (5,9%), capture (3,2%), erick (1,1%), y embotrap (0,5%). De esos stents, las medidas más usadas fueron más de 4 mm en el 56,1% y de 4 mm o menos en el 43,1%. En cuanto a la longitud, su frecuencia fue un 31,2% en el grupo de 20-29 mm, 46,2% en el grupo de 30-39 mm y del 22,5% más de 40 mm.
El catéter de aspiración distal fue utilizado en el 64,0% de los pacientes (n ¼ 146) y consiguió una tasa de recanalización satisfactoria en el 78,1%.
Se realizaron técnicas combinadas con catéter balón, obteniendo diferentes grados de recanalización, donde se documentan mejores grados de recanalización tres en la escala de Thrombolysis in cerebral infarction (TICI), con el uso de stent-retriever y catéter balón tras el primer pase de 42,9% (►Tabla 2). Se consiguieron tasas de recanalización satisfactoria final (TICI 2B o mas) con stent en el 84,8% y con aspiración en el 69,8% de los pacientes.

De nuestra serie de casos (n ¼ 228), solo se encontraron complicaciones en el 16,6%: hemorragias subaracnoideas secundarias a perforación (n ¼ 2) (►Fig. 1), hemorragia gangliobasal (n ¼ 1) (►Fig. 2), vasoespasmo (n ¼ 1), disección (n ¼ 1) (►Fig. 3), embolias (n ¼ 31) y pseudoaneurismas (n ¼ 2) (►Fig. 4) en el sitio de la punción. Cuando se detectó oclusión intracraneal (►Fig. 5), tras la trombectomía, dentro del grupo de las embolias, solo el 16,1% se presentaron hacia nuevo territorio vascular (arteria cerebral anterior) (►Fig. 6) o embolias distales. Debido al bajo número de complicaciones, se realizó un análisis mediante Fisher que da un resultado no significativo (►Tabla 3). Las hemorragias fueron subaracnoideas detectadas durante las trombectomías como la extravasación activa del contraste y corroborada mediante tomografía computada (TC) al finalizar el procedimiento. El vasoespasmo que se presentó fue moderado en arteria cerebral media izquierda que cedió tras la infusión intra-arterial de 0,2 mg nimodipino.

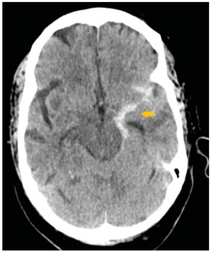
En tomografía computada de cráneo simple de control. La flecha señala ocupación del valle silviano izquierdo por contenido hemático posterior a trombectomía.

Proyección lateral de la arteriografía durante la trombectomía donde se evidencia extravasación activa del medio de contraste (flecha amarilla), en una rama de M2 en relación a la ruptura de vaso posterior a la trombectomía con dispositivo ERIC 3 (3 mm x 15 mm) con disección arterial proximal (flecha azul), con ausencia en flujo cortical parietal ipsilateral (área con círculo negro).

Arteriografía durante el acceso vascular del segmento cervical de la arteria carótida interna (ACI), extracraneal donde se evidencia disección oclusiva de la carótida interna cervical proximal.

Tras hematoma púlsatil en el sitio de la punción femoral se realiza ultrasonido doppler que confirma la presencia de pseudoaneurisma (flecha azul), de la arteria femoral parenteral (flecha amarilla).

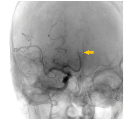
La flecha señala el sitio de la oclusión en el origen de la arteria cerebral media (ACM) derecha en arteriografía convencional.

Arteriografía convencional. La flecha amarilla señala embolia postrombectomía en la ACM por fragmentación hacia el segmento A2 de la arteria cerebral anterior (ACA) ipsilateral, con restauración parcial del flujo a nivel de M1 del mismo lado.

Del total de embolias el mayor porcentaje se encontró en el grupo de stent-retriever, (►Tabla 4), sin embargo, no se encontró relación estadísticamente significativa entre la técnica y la aparición de embolia distal (Chi-cuadrado: X2 ¼ , 862 p ¼ ,353).

Dentro del grupo de embolias distales, el 61% registraron 1 embolia, el 22% registraron 2 embolias, el 3% registró 3 embolias y el 14% registraron más de 3 embolias (►Gráfico 1). Los 2 pseudoaneurismas fueron femorales, ambos pacientes habían recibido r-TPA, 1 recibía anticoagulación por fibrilación auricular y el de mayor tamaño no superaba los 30 mm de diámetro mayor, ambos tratados mediante inyección ecoguiada de trombina.

Discusión
No hay consenso respecto del método ideal para realizar la trombectomía. Sin embargo, existen numerosos estudios que demuestran la efectividad del uso de stent-retrievers y de técnicas de aspiración.
El stent-retriever es un dispositivo que permite la integración del trombo a través de sus celdas y, tras su incorporación, permite la extracción del mismo durante la tracción. Existen tasas de recanalización del 92 al 94%10,11 con tasas de complicación del 7%.12
Algunos autores12 recomiendan el uso de aspiración distal, ya que proporciona una presión negativa durante la extracción del stent y por ende, presume un riesgo menor de tromboembolia. La trombectomía con ADAPT consigue tasas de recanalización entre el 82% y el 95% con disminución de los costos y desenlace clínico comparable con stents.13,14
Es pertinente mencionar que, a pesar de los grandes avances en la tecnología de los dispositivos utilizados para la trombectomía, no son inocuos, y pueden existir complicaciones por injuria vascular, tales como disección o vasoespasmo, hemorragias intracraneales, o complicaciones isquémicas derivadas de la embolia por fragmentación del trombo.11,12
Algunos estudios han comparado la eficacia y las complicaciones utilizando el Merci15 (Concentric medical) con Solitaire (EV3), sin encontrar diferencias significativas entre la edad, síntomas o tipo de stent-retriever. En el studio TREVO 2, encontraron una tasa ligeramente mayor de perforación en el grupo Merci, sin embargo, no hubo otras diferencias significativas cuando se compararon con disección, hemorragia o derivadas de la punción.16
En algunas series hay descritas hemorragias desde el 1,1% al 15%, embolias en el 1% y disecciones del 1,5% al 4,5%, en rangos muy similares a los obtenidos en nuestro estudio.17,18,19,20
Dentro de las complicaciones, las de tipo hemorrágico incrementan la morbilidad y la mortalidad. En nuestro reporte solo encontramos hemorragia en el 0,9%, inferior al de las tasas reportadas por algunos autores,21,22,23 probablemente debido a la inflamación del vaso o sobredimensión del stent para el vaso. Las mismas fueron controladas mediante la inflación de catéter balón y control de la tensión arterial. El estudio ECASSII demostró que solo las hemorragias parenquimatosas que afectan más del 30% de la zona infartada o con efecto de masa, generan deterioro clínico o un impacto negativo en el pronóstico.24 Ninguna de las hemorragias registradas se encontraron en esta categoría. La trombectomía puede ocasionar disección intracraneal o extracraneal por la manipulación de los dispositivos sobre el endotelio del vaso. Con el uso de guías gruesas o rígidas aumenta el riesgo de disección.25 Pueden ser inocuas si el paciente posee buena circulación colateral o sintomáticas si no la poseen.21 Esas disecciones suelen ser extracraneales y comprometer el segmento cervical de las carotídas o vertebrales.26 En nuestra serie se presentaron a nivel extracraneal en un 0,9% y fueron resueltas con el uso de stents extracraneales.
Las complicaciones isquémicas incluyen embolización de una placa, nueva embolia en otra localización o vasoespasmo. El riesgo de migración del trombo existirá siempre que se trate de retirar el trombo mediante la manipulación del mismo mediante aspiración o uso de stent. Inferimos que en el mecanismo de la fragmentación influyen factores como el tiempo de evolución, el porcentaje de fibrina y el coeficiente de fricción con la pared de la arteria, que varían de trombo a trombo y juegan un papel importante en la generación de embolias, sin importar el método que se use para su extracción. El vasoespasmo resulta de la manipulación del vaso mediante la guía o el catéter, sin embargo, solo es sintomático en raras ocasiones. La embolia en nuestro estudio fue detectada en el 11,8% y vasoespasmo en el 0,9% de los casos. Las técnicas de trombectomías no mostraron diferencias en la generación de embolias.
Las complicaciones del sitio de la punción son poco frecuentes en el contexto de la trombectomía. Con el advenimiento de dispositivos de cierre intra o extravascular han demostrado no ser inferior a la compresión manual.27 Algunos factores como la poca colaboración del paciente, anticoagulación y obesidad presentan un riesgo más elevado. Se ha demostrado que introductores mayores a 6Fr son un factor predictor independiente de complicación en el sitio de la punción28,29,30 y mayor de 8Fr con la presencia de hematomas retroperitoneales.31 Sin embargo, en nuestro estudio solo se presentaron en el 0,9% de los casos.
Este estudio consideró las complicaciones con los diferentes dispositivos como desenlace primario. No hay ningún estudio en la literatura que mencione las complicaciones como objetivo primario de los dispositivos utilizados en la actualidad. Consideramos que el tratamiento endovascular es seguro y su eficacia depende de varias características las cuales incluyen el tiempo de recanalización y factores propios de cada paciente.
Limitación
Nuestro estudio es retrospectivo. La mayor limitación fue la falta de asociación de las complicaciones angiográficas visualizadas en el momento de la trombectomía por el neurointervencionista entrenado y su correlación en el desenlace clínico del paciente.
Conclusión
En nuestro estudio retrospectivo, la embolia fue la complicación más frecuente. Sin embargo, el tratamiento endovascular proporciona una importante mejoría en la recanalización con buenos resultados angiográficos y consideramos que las complicaciones vasculares no suponen un riesgo significativo que contraindique dicho procedimiento. Con el incremento progresivo en el número de trombectomías, es pertinente reconocer las complicaciones periprocedimiento para poder planificar major el tratamiento de las mismas y manejar de manera más eficaz sus consecuencias clínicas en los pacientes.
Responsabilidades Éticas
Protección de personas y animales. Los autores declaran que para esta investigación no se han realizado experimentos en seres humanos ni en animales.
Confidencialidad de los datos. Los autores declaran que han seguido los protocolos de su centro de trabajo sobre la publicación de datos de pacientes.
Derecho a la privacidad y consentimiento informado. Los autores declaran que en este artículo no aparecen datos de pacientes.
Conflicto de Intereses
Los autores declaran no tener ningún conflicto de interés.
Bibliografía
1 Goyal M, Demchuk AM, Menon BK, et al; ESCAPE Trial Investigators. Randomized assessment of rapid endovascular treatment of ischemic stroke. N Engl J Med 2015;372(11): 1019-1030
2 Campbell BCV, Mitchell PJ, Kleinig TJ, et al; EXTEND-IA Investigators. Endovascular therapy for ischemic stroke with perfusion-imaging selection. N Engl J Med 2015;372(11):1009-1018
3 Berkhemer OA, Fransen PS, Beumer D, et al; MR CLEAN Investigators. A randomized trial of intraarterial treatment for acute ischemic stroke. N Engl J Med 2015;372(01):11-20
4 Saver JL, Goyal M, Bonafe A, et al; SWIFT PRIME Investigators. Stent-retriever thrombectomy after intravenous t-PA vs. t-PA alone in stroke. N Engl J Med 2015;372(24):2285-2295
5 Jovin TG, Chamorro A, Cobo E, et al; REVASCAT Trial Investigators. Thrombectomy within 8 hours after symptom onset in ischemic stroke. N Engl J Med 2015;372(24):2296-2306
6 Turk AS, Spiotta A, Frei D, et al. Initial clinical experience with the ADAPT technique: a direct aspiration first pass technique for stroke thrombectomy. J Neurointerv Surg 2014;6(03):231-237
7 Jankowitz B, Grandhi R, Horev A, et al. Primary manual aspiration thrombectomy (MAT) for acute ischemic stroke: safety, feasibility and outcomes in 112 consecutive patients. J Neurointerv Surg 2015;7(01):27-31
8 Humphries W, Hoit D, Doss VT, et al. Distal aspiration with retrievable stent assisted thrombectomy for the treatment of acute ischemic stroke. J Neurointerv Surg 2015;7(02):90-94
9 Lee JS, Hong JM, Lee SJ, Joo IS, Lim YC, Kim SY. The combined use of mechanical thrombectomy devices is feasible for treating acute carotid terminus occlusion. Acta Neurochir (Wien) 2013;155(04): 635-641
10 Hussain SI, Zaidat OO, Fitzsimmons BF. The Penumbra system for mechanical thrombectomy in endovascular acute ischemic stroke therapy. Neurology 2012;79(13, Suppl 1):S135-S141
11 Saver JL, Jahan R, Levy EI, et al; SWIFT Trialists. Solitaire flow restoration device versus the Merci Retriever in patients with acute ischaemic stroke (SWIFT): a randomised, parallel-group, non-inferiority trial. Lancet 2012;380(9849):1241-1249
12 Pereira VM, Gralla J, Davalos A, et al. Prospective, multicenter, single-arm study of mechanical thrombectomy using Solitaire Flow Restoration in acute ischemic stroke. Stroke 2013;44(10): 2802-2807
13 Turk AS, Turner R, Spiotta A, et al. Comparison of endovascular treatment approaches for acute ischemic stroke: cost effectiveness, technical success, and clinical outcomes. J Neurointerv Surg 2015;7 (09):666-670
14 Lapergue B, Blanc R, Guedin P, et al. A Direct Aspiration, First Pass Technique (ADAPT) versus Stent Retrievers for Acute Stroke Therapy: An Observational Comparative Study. AJNR Am J Neuroradiol 2016; [Epub ahead of print]
15 Akins PT, Amar AP, Pakbaz RS, Fields JD; SWIFT Investigators. Complications of endovascular treatment for acute stroke in the SWIFT trial with solitaire and Merci devices. AJNR Am J Neuroradiol 2014;35(03):524-528
16 Nogueira RG, Lutsep HL, Gupta R, et al; TREVO 2 Trialists. Trevo versus Merci retrievers for thrombectomy revascularisation of large vessel occlusions in acute ischaemic stroke (TREVO 2): a randomised trial. Lancet 2012;380(9849):1231-1240
17 Zaidat OO, Castonguay AC, Gupta R, et al. North American Solitaire Stent Retriever Acute Stroke registry: post-marketing revascularization and clinical outcome results. J Neurointerv Surg 2014;6(08):584-588
18 Broderick JP, Palesch YY, Demchuk AM, et al; Interventional Management of Stroke (IMS) III Investigators. Endovascular therapy after intravenous t-PA versus t-PA alone for stroke. N Engl J Med 2013;368(10):893-903
19 Mokin M, Dumont TM, Veznedaroglu E, et al. Solitaire Flow Restoration thrombectomy for acute ischemic stroke: retrospective multicenter analysis of early postmarket experience after FDA approval. Neurosurgery 2013;73(01):19-25, discussion 25-26
20 Soize S, Barbe C, Kadziolka K, Estrade L, Serre I, Pierot L. Predictive factors of outcome and hemorrhage after acute ischemic stroke treated by mechanical thrombectomy with a stent-retriever. Neuroradiology 2013;55(08):977-987
21 Gascou G, Lobotesis K, Machi P, et al. Stent retrievers in acute ischemic stroke: complications and failures during the perioperative period. AJNR Am J Neuroradiol 2014;35(04):734-740
22 Soize S, Barbe C, Kadziolka K, Estrade L, Serre I, Pierot L. Predictive factors of outcome and hemorrhage after acute ischemic stroke treated by mechanical thrombectomy with a stent-retriever. Neuroradiology 2013;55(08):977-987
23 Gratz PP, Jung S, Schroth G, et al. Outcome of standard and high- risk patients with acute anterior circulation stroke after stent retriever thrombectomy. Stroke 2014;45(01):152-158
24 Berger C, Fiorelli M, Steiner T, et al. Hemorrhagic transformation of ischemic brain tissue: asymptomatic or symptomatic? Stroke 2001;32(06):1330-1335
25 Darkhabani Z, Nguyen T, Lazzaro MA, et al. Complications of endovascular therapy for acute ischemic stroke and proposed management approach. Neurology 2012;79(13, Suppl 1):S192-S198
26 Soize S, Kadziolka K, Estrade L, Serre I, Bakchine S, Pierot L. Mechanical thrombectomy in acute stroke: prospective pilot trial of the solitaire FR device while under conscious sedation. AJNR Am J Neuroradiol 2013;34(02):360-365
27 Schulz-Schüpke S, Helde S, Gewalt S, et al; Instrumental Sealing of Arterial Puncture SiteCLOSURE Device vs Manual Compression (ISAR-CLOSURE) Trial Investigators. Comparison of vascular closure devices vs manual compression after femoral artery puncture: the ISAR-CLOSURE randomized clinical trial. JAMA 2014;312(19):1981-1987
28 Smilowitz NR, Kirtane AJ, Guiry M, et al. Practices and complications of vascular closure devices and manual compression in patients undergoing elective transfemoral coronary procedures. Am J Cardiol 2012;110(02):177-182
29 Ahmed B, Piper WD, Malenka D, et al. Significantly improved vascular complications among women undergoing percutaneous coronary intervention: a report from the Northern New England Percutaneous Coronary Intervention Registry. Circ Cardiovasc Interv 2009;2(05):423-429
30 Doyle BJ, Ting HH, Bell MR, et al. Major femoral bleeding complications after percutaneous coronary intervention: incidence, predictors, and impact on long-term survival among 17,901 patients treated at the Mayo Clinic from 1994 to 2005. JACC Cardiovasc Interv 2008;1(02):202-209
31 Trimarchi S, Smith DE, Share D, et al; BMC2 Registry. Retroperitoneal hematoma after percutaneous coronary intervention: prevalence, risk factors, management, outcomes, and predictors of mortality: a report from the BMC2 (Blue Cross Blue Shield of Michigan Cardiovascular Consortium) registry. JACC Cardiovasc Interv 2010;3(08):845-850
Notas de autor
Dr. Fernando José Meléndez Negrette, Radiólogo Neurointervencionista, Servicio de Neurointervencionismo, Hospital Vall D’Hebron, Barcelona, España