Resumen: La presentación de una imagen de apariencia quística durante el estudio del encéfalo constituye un hallazgo incidental cada vez más frecuente, pudiendo encontrarse en el espacio extra o intraaxial. Las mismas pueden ser de naturaleza congénita o adquirida, benigna o maligna, ocupantes de espacio con desplazamiento de la línea media o simplemente presentarse sin efecto compresivo alguno. De localización supra o infratentorial, esas imágenes constituyen un desafío diagnóstico, siendo imprescindible su reconocimiento para no solicitar estudios o tratamientos innecesarios. Valoraremos las imágenes de apariencia quística más frecuentes empleando tomografía computada o imágenes de resonancia magnética.
Palabras clave:quistesquistes, encéfalo encéfalo, TC TC, RM RM.
Abstract: Presence of a cystic formation in brain examination is frequently an incidental finding. They can be intra or extra-axial in location, congenital or acquired, benign or malignant with or without mass effect. Intracranial cysts can be a diagnostic challenge and we should know them to avoid unnecessary exams or treatment. We will analyze the most common cystic formations seen in computed tomography and magnetic resonance.
Keywords: cysts, brain, CT, MRI.
Pictorial Essay | Ensayo Iconográfico
Tomografía computada y resonancia magnética de variantes normales/congénitas de apariencia quística y presentación frecuente en el encéfalo
CT and MRI of Normal/Congenital Variables with Cystic Appearance and Frequent Presence in the Brain

Recepción: 17 Abril 2018
Aprobación: 22 Octubre 2018
Publicación: 10 Diciembre 2018
Una imagen quística puede definirse como una estructura redondeada rellena de líquido o de contenido semisólido fluido, revestida por un epitelio.1,2 El contenido puede ser homogéneo o heterogéneo, derivados endo, ecto o mesodérmicos. La localización puede ser intracerebral (o intraaxial) o extraaxial (dentro del cráneo, pero fuera del encéfalo). De presentación congénita o adquirida, pueden subclasificarse en benignos o malignos según su naturaleza.1,2 Su forma de presentación varía siendo sintomáticos por efecto de masa, comprimiendo estructuras vecinas pudiendo ocasionar déficits neurológicos focales o hipertensión endocraneana, o asintomáticos, reportándose como un hallazgo.3 Podemos clasificar a los quistes según su etiología (►Tabla 1).4,5,6

Los quistes simples se presentan en los métodos por imágenes siguiendo la densidad por tomografía computada (TC), o señal por resonancia magnética (RM) del líquido cefalorraquídeo (LCR), sin realzar con el contraste endovenoso (yodo/gadolinio) ni restringir en la secuencia difusión (RM) (►Tabla 2). La TC valora mejor la presencia de calcio en el quiste mientras que la RM posee una mayor resolución tisular en relación al contenido del quiste, así como de los tejidos que lo rodean. Se describirán las características más relevantes de las imágenes quísticas más frecuentes.

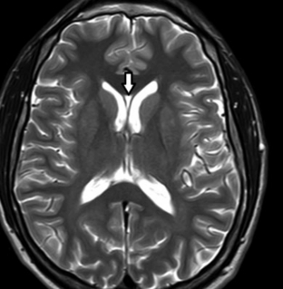
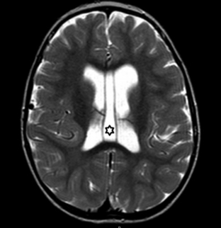
Constituyen variantes anatómicas que se presentan en la línea media derivando de alteraciones del desarrollo del septum pellucidum (SP).7 En TC y RM se los aprecia con densidad o señal similar al LCR (►Figs. 1, 2, 3).7

Resonancia magnética (RM) de cerebro, corte axial ponderado en T2: la flecha señala al cavum septum pellucidum (CSP) entre las astas frontales de los ventrículos laterales.

RM de cerebro corte axial ponderada en T2: se evidencia una cavidad interpuesta entre los ventrículos laterales (asterisco). Corresponde a cavum vergae (CV) asociado a CSP.

RM de cerebro, corte axial ponderado en T1. Se señala (flecha) la presencia de una cavidad triangular cefálica al trígono, compatible con cavum del velo interpósito (CVI).
También denominados quistes glioependimales, son uniloculares con cierta dominancia frontolobar (►Fig. 4).4,8 Se originan de componentes embriológicos del tubo neural que quedan secuestrados durante el desarrollo de la sustancia blanca.4 En imágenes presentan las características de un quiste simple.4 El diagnóstico diferencial debe realizarse4,8 con:
Dilatación de espacios perivasculares de Virchow-Robin
Quistes: aracnoideos/porencefálicos/infecciosos

RM de cerebro, corte coronal ponderado en T2. En el lóbulo temporal derecho se observa una imagen quística simple (flecha). Corresponde a un quiste neuroglial.
Generalmente uniloculares, pueden sangrar o calcificar (►Fig. 5).8,9 Se producen por un remanente diverticular pineal o derivados de lesiones necro-hemorrágicas en la etapa embrionaria.9 En TC son hipodensos; en RM el 60% son iso o relativamente hiperintensos en ponderación T1 e hiperintensos en ponderación T2.4,8 El 60% realza en forma nodular o anular en forma irregular con gadolinio (►Fig. 5).8 El diagnóstico diferencial debe realizarse con:4,8
Tumores pineales
Quistes aracnoideos/epidermoides

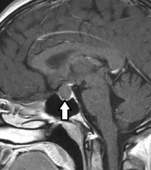
RM de cerebro, corte sagital ponderado en T1. La anatomía normal de la glándula pineal se encuentra modificada por la presencia de una imagen de apariencia quística simple (flecha).
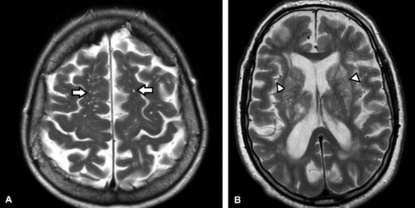
Son cavidades normales rellenas de LCR que rodean a los vasos desde el espacio subaracnoideo hasta que penetran en el cerebro (►Fig. 6A).4,8,10 Cuando se dilatan tienen aspecto multiquístico, midiendo menos de 5 mm y presentándose en cualquier región del cerebro con predominancia en los ganglios basales.4,10 Si son muy pronunciados pueden confluir presentando aspecto cribiforme (état criblé) (►Fig. 6B).3,4 En imágenes presentan las características de un quiste simple.8,10 Los diagnósticos diferenciales son:10
Infartos lacunares
Cisticercosis
Esclerosis Múltiple
Neoplasias quísticas

(A-B) RM de cerebro, cortes axiales ponderados en T2. Se objetivan múltiples cavidades milimétricas en los centros semiovales (flechas). Corresponden a dilatación de espacios perivasculares de Virchow-Robin. El etát criblé es consecuencia de la marcada dilatación de numerosos espacios perivasculares en los núcleos grises (cabezas de flecha en b).
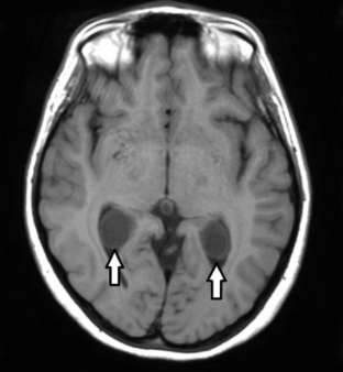
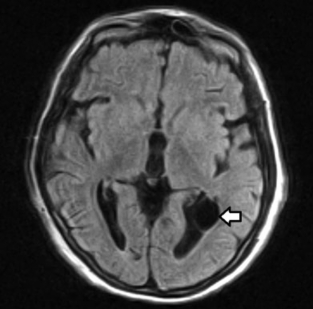
Son quistes epiteliales originados en los plexos coroideos, generalmente bilaterales y localizados en el atrio de los ventrículos laterales.4 En TC son isodensos, suelen no realzar con el contraste yodado endovenoso y pueden presentar calcificaciones.4 En RM son iso-hiperintensos en ponderación T1, realzando anularmente con gadolinio; en ponderación T2 son hiperintensos y no suprimen completamente en las secuencias FLAIR, ya que presentan restricción en la difusión (►Fig. 7).4 El diagnóstico diferencial debe realizarse con:3,4
Quistes ependimarios
Hiperplasia vellosa

RM de cerebro, cortes axiales ponderados en T1. Se visualiza en los atrios ventriculares (flechas) imágenes quísticas redondeadas, que expanden los plexos coroideos. Las mismas son compatibles con xantogranulomas de plexos coroideos.
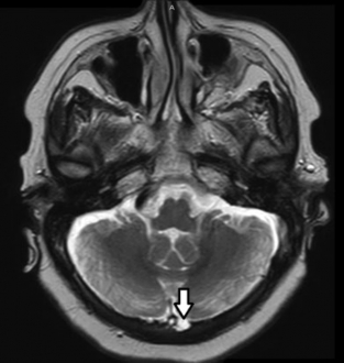
Es la dilatación marcada de la cisterna magna generando ensanchamiento de la fosa posterior, no acompañada de alteraciones cerebelosas (►Fig. 8).11 La megacisterna puede presentar expansión posterior, inferior o lateral y es atravesada por vasos venosos innominados, tributarios del seno longitudinal inferior.11 El diagnóstico diferencial debe realizarse con:11
Malformación de Dandy-Walker
Hipoplasia aislada del vermis cerebeloso
Quistes aracnoideos

(A-B) TC, corte axial de cerebro (A). Aumento del diámetro de la cisterna Magna (*). Nótese la presencia de estructuras vasculares venosas en su interior (flecha). RM, cortes sagital axial ponderado en T2 (B) se objetiva aumento de los diámetros de la cisterna Magna (*) atravesada por estructuras vasculares (flecha).
Se forman por defectos de fusión del asta de Amón con la circunvolución dentada durante la vida embrionaria.12,13 Se visualizan como una sucesión de imágenes quísticas en la circunvolución del hipocampo adoptando una configuración en "collar de perlas" (►Fig. 9).13 En imágenes presentan las características habituales de un quiste simple.12,13 Los diagnósticos diferenciales son12,13:
Quistes de la fisura hipocampal
Quistes aracnoideos
Espacios perivasculares de Virchow Robin dilatados
Infartos lacunares
Tumor neuroepitelial disembrioplásico (DNET).

RM de cerebro, corte axial ponderado en T2; se muestran milimétricas imágenes de apariencia quística en las circunvoluciones hipocampales (flechas). Las mismas son remanentes del surco hipocampal.
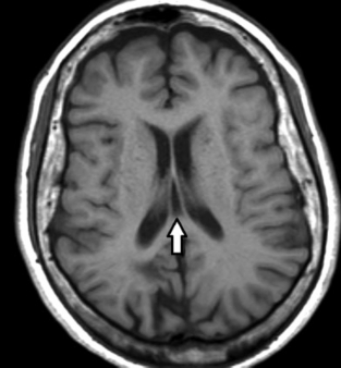
De presentación infrecuente, localizados generalmente en el interior o al lado de los ventrículos laterales.3 Poseen origen neuroectodérmico, formándose por una evaginación del piso del tubo neural.3 En imágenes presentan las características habituales de un quiste simple (►Fig. 10).3
Los diagnósticos diferenciales son3:
Quistes de los plexos coroideos
Quistes aracnoideos

RM de cerebro, corte axial FLAIR; se aprecia en la prolongación occipital del ventrículo lateral izquierdo una imagen de apariencia quística de pared delgada (flecha) compatible con quiste ependimario.
Sonprotrusiones dela membrana aracnoideahacia los senos durales a través de orificios de la duramadre.14 Se objetivan como impresiones sobre la tabla interna de la calota.14 En los distintos métodos por imágenes presentan similares características al LCR (►Fig. 11). No deben confundirse con metástasis óseas ni con un trombo intrasinusal, ya que pueden tener apariencia lítica en TC o aparecer como un defecto de señal en un seno venoso en RM.14

Se muestra en un corte axial de cerebro ponderado en secuencia T2. Se señalan (flecha) granulaciones aracnoideas que generan impronta y festoneado en la tabla interna de la calota.
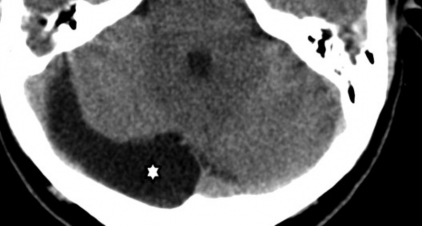
Son cavidades extra-axiales que contienen LCR y no comunican con el sistema ventricular.3,4,5,8,15 En los neonatos se los puede diagnosticar mediante ecografía transfontanelar.15 En imágenes presentan las características habituales de un quiste simple (►Fig. 12).3,5,15 El diagnóstico diferencial debe realizarse con:3,4,5,15
Quistes epidermoides/ porencefálicos
Megacisterna magna
Hematoma subdural crónico

TC de cerebro en la que se señala la presencia de un quiste aracnoideo de la fosa posterior con prolongación parasagital derecha (*).
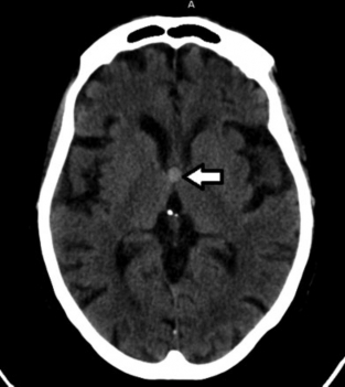
De origen endodérmico, generalmente se localizan en el techo del III ventrículo, próximo al agujero de Monro.3,5 Contienen: mucina, restos de degradación hemática, células espumosas y cristales de colesterol.4 En TC se aprecian como masas quísticas bien delimitadas, hiperdensas.3,5 En RM la mayoría de los quistes se visualizan hiperintensos en ponderación T1 e iso/ hipointensos en ponderación T2, debido a su contenido rico en mucina. (►Fig. 13).3 Pueden mostrar realce periférico.4,5 Algunos quistes pueden apreciarse hipointensos en ponderación T1 e hiperintensos en ponderación T2, por abundante contenido líquido.5 No restringen en la DWI y pueden presentar hiperintensidad en la secuencia FLAIR.3 El diagnóstico diferencial debe realizarse con:3,4,5
Artificio de pulsación de LCR
Quistes: aracnoideo/ependimarios /dermoides/ epidermoides
Neurocisticercosis
Subependimoma
Papiloma de plexos coroideos

TC de cerebro se evidencia una imagen redondeada, hiperdensa, alojada en el III ventrículo (flecha). Corresponde a un quiste coloide.
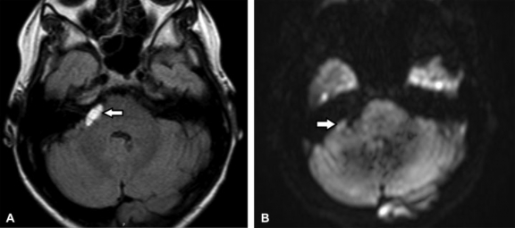
Suelen localizarse (en el 40% de los casos) en el ángulo pontocerebeloso, de ubicación parasagital.3,4,5,8 Tienen origen ectodérmico presentando aspecto perlado, rellenos de agua, queratina, debris y cristales de colesterol.3 Infrecuentemente pueden romperse y originar meningitis química.3,5,6 En TC se expresan como lesiones hipodensas que no realzan con contraste. Raramente calcifican (10–20% de los casos) y si se presentan hiperdensos se debe a saponificación, hemorragia o alto contenido proteico.3,4,5,8 En RM son hipointensos en ponderación T1, hiperintensos en ponderación T2 y pueden presentar sutil realce periférico con gadolinio.3,4,5,8 Característicamente presentan restricción en la secuencia DWI y en la secuencia FLAIR son ligeramente hiperintensos pudiendo diferenciar el contenido líquido de la lesión del LCR (►Fig. 14).3,4,8 Ocasionalmente pueden presentarse quistes "epidermoides blancos" con alto contenido de proteínas siendo hiperdensos en TC e hiperintensos en ponderación T1 e hipointensos en ponderación T2 en RM (►Fig. 15).5 Los diagnósticos diferenciales son:3,4,8
Quistes aracnoideos
Quistes dermoides
Neurocisticercosis

(A-C) Se aprecian en los cortes axial de TC (A), axiales ponderados enT1 (B) y DWI (C) de RM de cerebro, la presencia de una lesión quística localizada a nivel del III ventrículo de ubicación parasagital derecha. En TC es isodensa con el LCR, mientras que en RM se aprecia hipointensa en ponderación T1 con marcada restricción en DWI; comportamiento imagenológico característico de un quiste epidermoide (flechas).

(A-B) RM de cerebro, cortes axiales en impresión a una secuencia FLAIR (A) y DWI (B). Se pone de manifiesto en el ángulo pontocerebeloso derecho una lesión espontáneamente hipertintensa en ponderación T1 que presenta restricción parcial en la secuencia DWI (flechas). La imagen es compatible con "quiste epidermoide blanco."
Tienen origen ectodérmico localizándose en la línea media en las cisternas de la fosa posterior.3,4,5,8 Se visualizan en TC como masas hipoatenuadas bien definidas debido a su contenido graso.3 En RM se observan hiperintensos en ponderación T1 y FLAIR, heterogéneos en ponderación T2 debido a su contenido rico en: colesterol, queratina, glándulas sebáceas, folículos pilosos, células descamadas, dientes y debris (►Fig. 16).3,4,5,8 En secuencias ponderadas con supresión grasa presentan atenuación irregular.4,5,8 En caso de ruptura de quiste, el diagnóstico se realiza observando gotas grasas en las cisternas, espacio subaracnoideo, cavidades ventriculares o surcos.5 Suelen no realzar y restringen en la secuencia difusión.16,17 Entre los diagnósticos diferenciales se mencionan:3,4,8
Quistes epidermoides
Teratomas
Craneofaringiomas
Lipomas

(A-B) RM de cerebro. Cortes axial en ponderación T2 (A) y sagital STIR T2 (B). En la fosa posterior, localizado en la línea media se visualiza una imagen de apariencia quística con contenido heterogéneo (flecha). En la secuencia con supresión grasa presenta atenuación heterogénea (*). Dado su comportamiento en imágenes así como su localización es compatible con quiste dermoide.
También denominado entérico, enterógeno, endodermal, gastroenterógeno, gastrocitoma, intestinoma o arquentérico.18 De origen endodérmico, se localiza frecuentemente en el borde ventral de la médula espinal; su localización intracraneal no es común, pudiendo presentarse en la línea media de la fosa posterior.3,4,5,18 Son hipodensos en TC yen RM restringen parcialmente en la DWI, variando su señal en relación al contenido de proteínas (iso/ hiperintenso en ponderación T1 y bien hiperintenso en ponderación T2); suelen no realzar con gadolinio.3,4,5,6,8 Los diagnósticos diferenciales son3,8,18:
Quiste epidermoide/dermoide
Quiste coloide
Quiste de la bolsa de Rathke
Craneofaringiomas
La fisura coroidea es una estrecha hendidura de LCR entre el diencéfalo y la fimbria del hipocampo, conteniendo plexos coroideos.19,20,21 En los distintos métodos por imágenes presentan similares características al LCR (►Fig. 17).20,21 Los diagnósticos diferenciales son19,20,21:
Quiste aracnoideo/neuroepitelial
Quiste de la fisura hipocampal

(A-B) RM de cerebro. Cortes axial en ponderación T2 (A) y coronal en ponderación T2 (B). Se aprecia elongación de la cisura (fisura) coroidea izquierda por una imagen quística (flechas). Corresponde a un quiste de la cisura (fisura) coroidea.
Son lesiones quísticas benignas que derivan del remanente de la bolsa de Rathke.4,22 Localizados en la línea media entre los lóbulos anterior y posterior de la adenohipófisis. Puede presentar extensión supraselar en el 60% de los casos.4,22 En TC se aprecia una lesión intraselar en la pars intermedia o próxima a ella, de apariencia quística (hipodensa) que no realza tras la administración de contraste ni presenta calcificaciones.23 En RM tienen señal variable (hipo/hiperintensos) en ponderación T1 e hiperintensos en ponderación T2, debido a su alto contenido de proteínas y colesterol (►Fig. 18).22,23 Es característica la presencia de nódulos intraquísticos, hipointensos en todas las secuencias, sin realzar con gadolinio.4,23 Los quistes de la bolsa de Rathke suelen no presentar sangrado, por lo que una imagen quística con derivados hemáticos corresponderá a un adenoma hipofisario.22 Los diagnósticos diferenciales deben realizarse con4,23:
Craneofaringiomas
Adenomas quísticos hipofisarios
Mucoceles

Quiste de Rathke. RM de hipófisis. Cortes: sagital en ponderación T1 con gadolinio. Se aprecia una imagen de apariencia quística en la adenohipófisis (flecha), sin realzar con gadolinio. La misma se extiende cefalicamente hasta contactar con el quiasma óptico.
Se caracteriza por la dilatación quística de la fosa posterior con comunicación del IV ventrículo, agenesia o hipoplasia del vermis cerebeloso (con rotación cefálica del remanente vermiano) y desplazamiento cefálico del tentorio y senos laterales (►Fig. 19).5,11,16 El diagnóstico se realiza en forma prenatal mediante ecografía y RM; después del nacimiento se prefiere la RM.24 Los diagnósticos diferenciales son11,16:
Megacisterna magna
Quiste aracnoideo/epidermoide
Quiste de Blake

RM de cerebro. Corte axial en T2. Se observa ensanchamiento de la fosa posterior caracterizada por la presencia de un quiste en contacto con el IV ventrículo asociado a hipoplasia del vermis cerebeloso (*). Corresponde a malformación de Dandy Walker.
Es un quiste en la fosa posterior (retro o infracerebeloso) en la línea media, que contacta con el IV ventrículo y genera elevación del tentorio.6,16,24,25 El diagnóstico debe realizarse cuando existe una cavidad en la fosa posterior en comunicación con el IV ventrículo y el cerebelo no presenta otras alteraciones.25 Los diagnósticos diferenciales son25:
Megacisterna magna
Quiste aracnoideo
Es el defecto congénito en el que se forman hendiduras en la corteza cerebral.26,27,28 Se las divide en labio abierto o cerrado según la proximidad de sus labios separados por LCR26 (►Fig. 20). En la sustancia gris de los bordes (labios) de las hendiduras o en su vecindad existen capas de polimicrogiria.26,27,28 Pueden ser uni o bilaterales siendo frecuentemente afectados los lóbulos frontales y parietales.26,28 La TC valora las hendiduras lineales de la corteza pero con menor sensibilidad que la RM, siendo éste el método de elección.26,28 La ecografía o RM prenatal pueden diagnosticarla precozmente en los casos de esquisencefalia a labio abierto.26,27,28 Los diagnósticos diferenciales son27,28:
Porencefalia
Quiste aracnoideo

(A-C) TC de cerebro, corte axial (A) en el que se observa esquisencefalia a labio abierto temporal izquierda (*). RM de cerebro, corte axial en ponderación T2 (B). Se pone de manifiesto esquisencefalia a labio cerrado fronto-temporal izquierda; nótese polimicrogiria en sus labios (flechas). La RM fetal, corte axial en ponderación T2 de cerebro (C) muestra esquisencefalia a labio abierto bilateral (*).
Es un hiperónimo que describe la herniación de tejido endocraneal (encéfalo, cerebelo, plexos coroideos, LCR, meninges), a través de un defecto óseo (►Fig. 21).17,29 En TC se emplea para valorar al defecto óseo, teniendo menor sensibilidad que la RM para estudiar el contenido encefálico.17 La RM ofrece un excelente contraste de tejidos blandos con la ventaja de poder valorar el tejido cerebral contenido en la encefalocele, así como diagnosticar anomalías asociadas.17

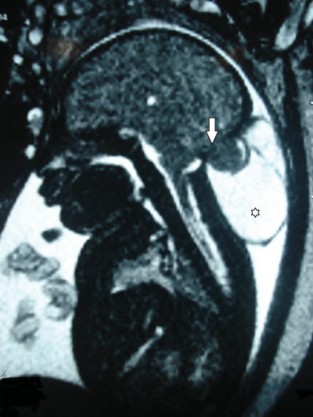
RM fetal. Corte sagital en ponderación T2. En la región occipital se aprecia un defecto óseo (flecha) que contiene tejido encefálico occipital, meninges y LCR, adoptando la apariencia de un voluminoso quiste (*). Se trata de un meningoencefalocele occipital.
Los autores declaran que han seguido los protocolos de su centro de trabajo sobre la publicación de datos de pacientes y que todos los pacientes incluidos en el estudio han recibido información suficiente y han dado su consentimiento informado por escrito.
Los autores declaran no tener ningún conflicto de interés, excepto el Dr. Sartori que declara como posible conflicto de interés integrar el capítulo de Neuroradiología de la SAR.
Pablo Sartori, Sanatorio Julio Méndez, Diagnóstico Mediter, Ciudad Autónoma de Buenos Aires, Argentina



Resonancia magnética (RM) de cerebro, corte axial ponderado en T2: la flecha señala al cavum septum pellucidum (CSP) entre las astas frontales de los ventrículos laterales.

RM de cerebro corte axial ponderada en T2: se evidencia una cavidad interpuesta entre los ventrículos laterales (asterisco). Corresponde a cavum vergae (CV) asociado a CSP.

RM de cerebro, corte axial ponderado en T1. Se señala (flecha) la presencia de una cavidad triangular cefálica al trígono, compatible con cavum del velo interpósito (CVI).

RM de cerebro, corte coronal ponderado en T2. En el lóbulo temporal derecho se observa una imagen quística simple (flecha). Corresponde a un quiste neuroglial.

RM de cerebro, corte sagital ponderado en T1. La anatomía normal de la glándula pineal se encuentra modificada por la presencia de una imagen de apariencia quística simple (flecha).

(A-B) RM de cerebro, cortes axiales ponderados en T2. Se objetivan múltiples cavidades milimétricas en los centros semiovales (flechas). Corresponden a dilatación de espacios perivasculares de Virchow-Robin. El etát criblé es consecuencia de la marcada dilatación de numerosos espacios perivasculares en los núcleos grises (cabezas de flecha en b).

RM de cerebro, cortes axiales ponderados en T1. Se visualiza en los atrios ventriculares (flechas) imágenes quísticas redondeadas, que expanden los plexos coroideos. Las mismas son compatibles con xantogranulomas de plexos coroideos.

(A-B) TC, corte axial de cerebro (A). Aumento del diámetro de la cisterna Magna (*). Nótese la presencia de estructuras vasculares venosas en su interior (flecha). RM, cortes sagital axial ponderado en T2 (B) se objetiva aumento de los diámetros de la cisterna Magna (*) atravesada por estructuras vasculares (flecha).

RM de cerebro, corte axial ponderado en T2; se muestran milimétricas imágenes de apariencia quística en las circunvoluciones hipocampales (flechas). Las mismas son remanentes del surco hipocampal.

RM de cerebro, corte axial FLAIR; se aprecia en la prolongación occipital del ventrículo lateral izquierdo una imagen de apariencia quística de pared delgada (flecha) compatible con quiste ependimario.

Se muestra en un corte axial de cerebro ponderado en secuencia T2. Se señalan (flecha) granulaciones aracnoideas que generan impronta y festoneado en la tabla interna de la calota.

TC de cerebro en la que se señala la presencia de un quiste aracnoideo de la fosa posterior con prolongación parasagital derecha (*).

TC de cerebro se evidencia una imagen redondeada, hiperdensa, alojada en el III ventrículo (flecha). Corresponde a un quiste coloide.

(A-C) Se aprecian en los cortes axial de TC (A), axiales ponderados enT1 (B) y DWI (C) de RM de cerebro, la presencia de una lesión quística localizada a nivel del III ventrículo de ubicación parasagital derecha. En TC es isodensa con el LCR, mientras que en RM se aprecia hipointensa en ponderación T1 con marcada restricción en DWI; comportamiento imagenológico característico de un quiste epidermoide (flechas).

(A-B) RM de cerebro, cortes axiales en impresión a una secuencia FLAIR (A) y DWI (B). Se pone de manifiesto en el ángulo pontocerebeloso derecho una lesión espontáneamente hipertintensa en ponderación T1 que presenta restricción parcial en la secuencia DWI (flechas). La imagen es compatible con "quiste epidermoide blanco."

(A-B) RM de cerebro. Cortes axial en ponderación T2 (A) y sagital STIR T2 (B). En la fosa posterior, localizado en la línea media se visualiza una imagen de apariencia quística con contenido heterogéneo (flecha). En la secuencia con supresión grasa presenta atenuación heterogénea (*). Dado su comportamiento en imágenes así como su localización es compatible con quiste dermoide.

(A-B) RM de cerebro. Cortes axial en ponderación T2 (A) y coronal en ponderación T2 (B). Se aprecia elongación de la cisura (fisura) coroidea izquierda por una imagen quística (flechas). Corresponde a un quiste de la cisura (fisura) coroidea.

Quiste de Rathke. RM de hipófisis. Cortes: sagital en ponderación T1 con gadolinio. Se aprecia una imagen de apariencia quística en la adenohipófisis (flecha), sin realzar con gadolinio. La misma se extiende cefalicamente hasta contactar con el quiasma óptico.

RM de cerebro. Corte axial en T2. Se observa ensanchamiento de la fosa posterior caracterizada por la presencia de un quiste en contacto con el IV ventrículo asociado a hipoplasia del vermis cerebeloso (*). Corresponde a malformación de Dandy Walker.

(A-C) TC de cerebro, corte axial (A) en el que se observa esquisencefalia a labio abierto temporal izquierda (*). RM de cerebro, corte axial en ponderación T2 (B). Se pone de manifiesto esquisencefalia a labio cerrado fronto-temporal izquierda; nótese polimicrogiria en sus labios (flechas). La RM fetal, corte axial en ponderación T2 de cerebro (C) muestra esquisencefalia a labio abierto bilateral (*).

RM fetal. Corte sagital en ponderación T2. En la región occipital se aprecia un defecto óseo (flecha) que contiene tejido encefálico occipital, meninges y LCR, adoptando la apariencia de un voluminoso quiste (*). Se trata de un meningoencefalocele occipital.