Ensayo Iconográfico
Recepción: 03 Diciembre 2018
Aprobación: 10 Diciembre 2019
DOI: https://doi.org/10.1055/s-0040-1701276
Resumen:
La inflamación de la aorta (aortitis) es una patología poco frecuente, con etiología infecciosa (pseudoaneurisma micótico, sífilis) y no infecciosa (arteritis, aortitis idiopática, espondilitis anquilosante, entre otras) de difícil diagnóstico clínico y variable pronóstico. Por esa razón, la utilización de diversos métodos por imágenes, tales como la tomografía computada multidetector (TCMD), la tomografía computada por emisión de positrones (PET-TC), la resonancia magnética (RM) y ultrasonido (US) facilitan la identificación, seguimiento y tratamiento de esa entidad.
El siguiente trabajo tiene como objetivo realizar una revisión y actualización bibliográfica acerca de la aortitis y sus diversas etiologías, ejemplificando con casos de nuestra institución.
Palabras Clave: aortitis, tomografía computada multidetector, arteritis de Takayasu, arteritis de células gigantes, sífilis cardiovascular.
Abstract:
Aortic inflammation (aortitis) is a rare pathology, with infectious (fungal pseudoaneurysm, syphilis) and noninfectious etiology (arteritis, idiopathic aortitis, ankylosing spondylitis, among others), it has a difficult clinical diagnosis and a variable prognosis. The use of various imaging methods such as multidetector computed tomography (MDCT), magnetic resonance imaging (MRI), positron emission tomography-computed tomography (PET-CT) and ultrasound (US) facilitate the identification, monitoring and treatment of this entity.
The following paper aims to perform a literature review and update about aortitis and its various etiologies, exemplifying cases of our institution.
Keywords: aortitis, Multidetector Computed Tomography, Takayasu Arteritis, Giant Cell Arteritis, Cardiovascular Syphilis.
Introducción
El término “aortitis” abarca cambios inflamatorios de la pared de la aorta, independientemente de que la etiología sea infecciosa o no infecciosa.1,2
Para complementar los síntomas clínicos (cefalea, dolor de espalda, polimialgia reumática y fiebre), las características imagenológicas, como el patrón de compromiso aórtico, colaboran en la definición de la causa subyacente y en el seguimiento de la actividad de la enfermedad.
Los métodos por imagen más utilizados son la angiografía, la tomografía computada multidetector (TCMD), la tomografía computada por emisión de positrones (PET-TC), la resonancia magnética (RM) y, en menor medida, el ultrasonido (US).1,3
El siguiente trabajo tiene como objetivo realizar una revisión y actualización bibliográfica acerca de esa patología, ejemplificando con casos de nuestra institución.
Discusión
“Aortitis” es un término patológico que hace referencia a los cambios inflamatorios presentes en la pared vascular.4,5 Si bien su clasificación es controversial, resulta de utilidad categorizarlas en “infecciosa” y “no infecciosa.” Ese último grupo es el más frecuente y abarca a las vasculitis de pequeños, medianos y grandes vasos (arteritis de Takayasu, la arteritis de células gigantes, espondilitis anquilosante crónica, síndrome de Cogan y policondritis recidivante).1,4
La inflamación de grandes vasos, incluyendo la aortitis, es una patología predominante en edad adulta y, ante la sospecha clínica, se requiere una evaluación de emergencia de la aorta, con un estudio por imagen adecuado, para el diagnóstico y tratamiento efectivo.6
Esa patología puede ser analizada mediante múltiples métodos, siendo de elección hoy en día la TCMD, dada su alta sensibilidad y especificidad (95% y 100% respectivamente), para detectar la enfermedad y guiar los procedimientos intervencionistas.1 Mediante la utilización de contraste endovenoso, resolución multiplanar, adecuado tiempo de adquisición de imágenes y softwares de reconstrucción tridimensional, podemos evaluar los cambios en la pared y en la luz del vaso, valorar la extensión y monitorear la actividad de la enfermedad, además de guiar procedimientos intervencionistas percutáneos.2 A diferencia de ese, la RM evidencia mayor diferenciación tisular (permite evaluar el edema parietal en secuencias ponderada en T2) y no requiere de radiación ionizante, presentándose como una alternativa cuando está contraindicada la TCMD y/o el contraste iodado que se emplea. El PET-TC muestra actividad de la enfermedad analizando aumento de captación del radiofármaco 18-FDG en sectores comprometidos y el US permite estudiar el estado parietal de los vasos y medición de flujos sin poder detectar enfermedad activa.1
Enfermedades inflamatorias de causa no infecciosa
Arteritis de Takayasu
Es una enfermedad inflamatoria crónica de etiología desconocida que afecta a vasos de mediano y gran calibre, como la aorta y sus ramas, los troncos supra-aórticos. Predomina en mujeres de mediana edad. La aorta abdominal está comprometida con más frecuencia, en segundo lugar, la porción descendente de la aorta torácica y, con menor frecuencia, el cayado. La anatomía patológica demuestra granulomas e inflamación de la pared arterial, con infiltración y proliferación de células mononucleares en la capa adventicia, seguido de fibrosis y calcificación en etapas crónicas. Los hallazgos que se evidencian en la TCMD incluyen:
Engrosamiento concéntrico de la pared, que en los estadios tempranos de la enfermedad se observa en “doble anillo” (realce de la capa íntima inflamada y el realce de las capas media y adventicia)
Trombosis
Estenosis
Oclusión
Además, se puede observar ectasia, aneurismas y úlceras (►Fig. 1).1,7

La clasificación en base a los hallazgos angiográficos divide a la enfermedad en cinco tipos con diferentes niveles de afectación de la aorta y sus ramas, haciendo distinción especial cuando se afectan las arterias coronarias y/o pulmonares, y es útil en la planificación quirúrgica (►Tabla 1).8

La PET-TC permite una localización anatómica más precisa de la actividad de la enfermedad con aumento de la captación de 18-FDG como marcador de inflamación (►Fig. 2).7,9

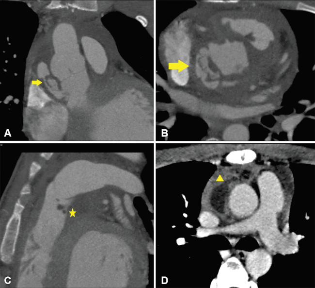
Arteritis de células gigantes
La arteritis de células gigantes o arteritis de la temporal es una vasculitis granulomatosa de vasos de mediano y gran calibre que afecta a población mayor a 50 años.10
Compromete principalmente las ramas de la arteria carótida externa, especialmente la temporal superficial, vertebrales, coronarias y la aorta en el 15% de los casos.11
Se encuentra en asociación con la polimialgia reumática (un 60%), que presenta síntomas como rigidez y dolor en la cintura escapular y pelviana, y signos como el aumento de reactantes de fase aguda en análisis de laboratorio.
La TCMD y RM evidencian:
Ectasia
Aneurismas de la porción ascendente que se extienden hacia el cayado
Disección aguda
Insuficiencia valvular aórtica
Aneurismas de la aorta abdominal
Engrosamiento mural circunferencial12
Mediante la utilización de la TCMD, se pueden ver cambios en la pared, como calcificaciones o trombosis, mientras que la RM detecta edema de la pared de los vasos cuando la enfermedad se encuentra activa.13
El principal diagnóstico diferencial desde el punto de vista clínico es con el hematoma intramural (HIM) de origen ateroesclerótico, cuyo engrosamiento mural es parcial y en forma de semiluna (►Fig. 3.).1,14

Espondilitis anquilosante
Afecta a la raíz de la aorta y a la válvula aórtica en el 80% de los casos.
Mediante TCMD, se evidencia engrosamiento de la pared aórtica, presente en aproximadamente el 60% de los pacientes afectados, y de la válvula aórtica con modularidad y consecuente insuficiencia.1
La inflamación celular de la raíz aórtica resulta en una marcada respuesta fibroblástica reparadora, engrosamiento de la capa adventicia, destrucción focal del tejido elástico y proliferación de la íntima. La inflamación circundante produce endarteritis obliterante y luego dilatación de la raíz. Esos cambios crónicos o agudos de la raíz aórtica y la válvula conducen a la insuficiencia aórtica.15
Aortitis idiopática
Es asintomática, diagnosticada por anatomía patológica; se presenta mayormente en mujeres como dilatación aórtica sin evidencia de síntomas de enfermedad sistémica. Puede evidenciarse engrosamiento irregular de la pared involucrando el arco aórtico y aorta ascendente.2
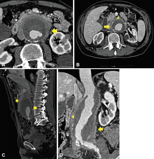
Aneurisma aórtico inflamatorio idiopático
Se distingue del aneurisma ateroesclerótico por presentarse con engrosamiento de la pared, acompañado por fibrosis densa que puede llegar a envolver estructuras adyacentes, tales como el duodeno, el uréter y la vena cava inferior. Ocurren en la porción infrarrenal de la aorta abdominal y en pacientes más jóvenes que los afectados por la causa aterosclerótica.2,16
Una característica distintiva del aneurisma inflamatorio idiopático es que el engrosamiento parietal afecta predominantemente la pared anterior del vaso (►Fig. 4.).1

El principal diagnóstico diferencial es la fibrosis retroperitoneal, en la que, además de reacción inflamatoria fibrótica, se observa dilatación de la aorta, y el aneurisma micótico, debido a la similitud clínica, imagenológica y laboratorio (elevación de la proteína C reactiva).2 En cuanto a las características imagenológicas, el aneurisma micótico suele ser sacular, irregular y pueden encontrarse burbujas aéreas circundantes, a diferencia del aneurisma inflamatorio que suele ser fusiforme (►Fig. 5).16

Enfermedades inflamatorias de causa infecciosa
Los procesos infecciosos suelen ocurrir en vasos con enfermedad preexistente, tales como ateroesclerosis, aneurismas, diabetes, etc.
Los patógenos involucrados con mayor frecuencia son las bacterias Staphylococcus aureus y Salmonella. También pueden asociarse Treponema Pallidum, M Tuberculosis, Listeria, Bacteroides Fragilis, Clostridium Septicum y Campylobacter jejuni.2
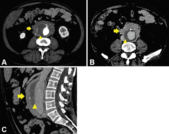
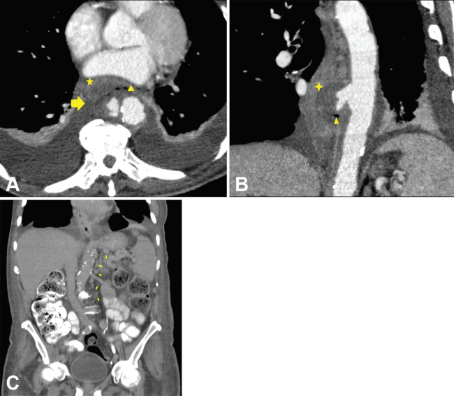
Pseudoaneurisma micótico
Con el término “micótico” se hace referencia a los aneurismas que son ocasionados por un proceso infeccioso. Es altamente infrecuente (prevalencia de 0,06% a 2,6%) y potencialmente fatal si no es tratado a tiempo.1
Son consecuencia de una infección que debilita la pared formando una falsa luz o pseudoaneurisma. La localización más común es la aorta infrarrenal, seguida de la aorta descendente y el patógeno mayormente implicado es Salmonella.
En la TCMD, se observan aneurismas con forma sacular en 90% de los casos y gas perianeurismático. Puede llegar a encontrarse destrucción vertebral, abscesos en el músculo psoas e infartos renales (►Fig. 6 and 7).1


Aortitis sifilítica
La sífilis es una enfermedad sistémica de transmisión sexual causada por Treponema Pallidum. El estadio terciario de la enfermedad se manifiesta entre 5 y 30 años después de la infección primaria y se caracteriza por compromiso neurológico y cardiovascular (aortitis, aneurisma, valvulitis aórtica con regurgitación y estenosis de arterias coronarias).2 La invasión de la adventicia de la aorta causa endarteritis obliterante de la vasa vasorum, con el consecuente hipoflujo vascular, debilidad de la pared y formación de un aneurisma. Afecta la aorta ascendente en 60% de los casos y el cayado aórtico en 30% de los casos.1
Conclusión
La enfermedad inflamatoria aórtica posee varias etiologías. Gracias a la utilización de múltiples métodos imagenológicos, podemos clasificarlas, lo que nos orienta a un adecuado diagnóstico.
Bibliografía
1 Restrepo CS, Ocazionez D, Suri R, Vargas D. Aortitis: imaging spectrum of the infectious and inflammatory conditions of the aorta. Radiographics. 2011;31(02):435-451
2 Katabathina VS, Restrepo CS. Infectious and noninfectious aortitis: cross-sectional imaging findings. Semin Ultrasound CT MR. 2012;33(03):207-221
3 Ouchi K, Sakuma T, Fukuda K, Yoshitake M. Contrast-enhanced magnetic resonance imaging to detect chronic aortic dissection complicated by acute aortitis. Radiol Case Rep. 2017;12(03): 443-448
4 Hartlage GR, Palios J, Barron BJ, Stillman AE, Bossone E, Clements SD, Lerakis S. Multimodality imaging of aortitis. JACC Cardiovasc Imaging. 2014;7(06):605-619
5 Roldan CA, Chavez J, Wiest PW, Qualls CR, Crawford MH. Aortic root disease and valve disease associated with ankylosing spondylitis. J Am Coll Cardiol 1998;32(05):1397-1404
6 Ishizaka N, Sohmiya K, Miyamura M, Umeda T, Tsuji M, Katsumata T, et al. Infected aortic aneurysm and inflammatory aortic aneurysm-in search of an optimal differential diagnosis. J Cardiol. 2012;59(02):123-131
7 Barra L, Kanji T, Malette J, Pagnoux C. Imaging modalities for the diagnosis and disease activity assessment of Takayasu’s arteritis: A systematic review and meta-analysis. Autoimmun Rev. 2018;17 (02):175-187
8 Nastri MV, Baptista LPS, Baroni RH, Blasbalg R, Avila F, Leite C, et al. Gadolinium-enhanced Three-dimensional MR Angiography of Takayasu Arteritis. Radiographics 2004;24(03):773-786
9 Gornik HL, Creager MA. Aortitis. Circulation. 2008;117(23):3039-3051
10 Berthod PE, Aho-Glélé S, Ornetti P, Chevallier O, Devilliers H, Ricolfi F, et al. CT analysis of the aorta in giant-cell arteritis: a case-control study. Eur Radiol. 2018;28(09):3676-3684
11 de Boysson H, Daumas A, Vautier M, Parienti JJ, Liozon E, Lambert M, et al. Large-vessel involvement and aortic dilation in giant-cell arteritis. A multicenter study of 549 patients. Autoimmun Rev. 2018;17(04):391-398
12 Broncano J, Vargas D, Bhalla S, Cummings KW, Raptis CA, Luna A. CT and MR Imaging of Cardiothoracic Vasculitis. Radiographics. 2018;38(04):997-1021
13 Cabrero Moyano J, Magarolas MA, González EC, Gallardo Cistaré X, Belmonte Castan E. Patología aórtica no urgente: diagnóstico clínico-radiológico de la aortitis. Radiología. 2013;55(06): 469-482
14 Pérez de Arenaza D, del Castillo S, Pietrani M, Falconi M, Benger J, Levy Yeyati E, et al. Magnetic Resonance late gadolinium enhancement detects acute aortic intramural hematoma. SCMR. Case of the week, 11-16, 2016.
15 Skeik N, Ostertag-Hill CA, Garberich RF, Alden PB, Alexander JQ, Cragg AH, et al. Diagnosis, Management, and Outcome of Aortitis at a Single Center. Vasc Endovascular Surg. 2017;51(07):470-479
16 Olthof SC, Krumm P, Henes J, Nikolaou K, la Fougère C, Pfannenberg C, et al. Imaging giant cell arteritis and Aortitis in contrast enhanced 18F-FDG PET/CT: Which imaging score correlates best with laboratory inflammation markers? Eur J Radiol. 2018;99:94-102
Notas de autor
Address for correspondence: Daniel Adri, Borges 2174 9°C, Ciudad Autónoma de Buenos Aires, Argentina (e-mail: danieladri33@gmail.com).
Declaración de intereses