Ensayo Iconográfico
Revisión de la clasificación de Hinchey (diverticulitis) y su correlación terapéutica
Hinchey’s (Diverticulitis) Classification Review and it’s Therapeutic Implacations
Revisión de la clasificación de Hinchey (diverticulitis) y su correlación terapéutica
Revista argentina de radiología, vol. 84, núm. 4, pp. 123-129, 2020
Sociedad Argentina de Radiología
Recepción: 24 Agosto 2019
Aprobación: 15 Abril 2020
Resumen:
La diverticulosis es una entidad que predomina en países occidentales. Su prevalencia aumenta con la edad, presentándose en aproximadamente el 80% de la población mayor de 85 años. Los divertículos colónicos adquiridos son herniaciones saculares de la mucosa y submucosa (pseudodivertículos) y predominan en sigma, en países occidentales; los congénitos poseen las tres capas parietales (divertículos verdaderos) y predominan en colon derecho, en países asiáticos. Aproximadamente un 10%-25% de dichos pacientes con diverticulosis presentarán a lo largo de su vida un cuadro de diverticulitis aguda, representando una de las causas más frecuentes de abdomen agudo (3,8%). Clínicamente, se expresa por dolor abdominal en fosa ilíaca izquierda (excepción en dolicosigma/divertículos congénitos derechos) y pueden presentar complicaciones como flemones, abscesos, pileflebitis, peritonitis, con consiguiente riesgo de vida. La tomografía computada (TC) permite el diagnóstico oportuno, identificación de complicaciones y planificación terapéutica. A dicho fin se establecieron diferentes clasificaciones y modificaciones, siendo la más reconocida la propuesta por Hinchey (modificada por Wasvary y col., Kaiser y col.) y otras estableciendo correlaciones con el tratamiento, como la propuesta por Sartelli y col. El objetivo del presente estudio es realizar una revisión iconográfica de esta última (Sartelli y col.) y evaluar sus implicancias terapéuticas.
Palabras clave: diverticulitis, colon, tomografía computada, tratamiento.
Abstract:
Diverticular disease is an entity with high prevalence in western countries that increases with age, and affects approximately 80% of the population over 85 years of age. Acquired colonic diverticula are saccular mucosal and submucosal herniation (pseudodiverticles) and predominate in sigma, in western countries; the congenital ones possess the three parietal layers (true diverticula) and predominate in right side colon, in Asian countries. Approximately 10%-25% of patients with colonic diverticulosis, in their lifetime will present an episode of acute diverticulitis, which represents one of the most frequent causes of acute abdominal pain (3.8%). Clinically it express by abdominal pain in the left iliac fossa (exception in dolicosigma / right congenital diverticula) and may present complications such as phlegmon, abscesses, pylephlebitis, peritonitis, life threatening conditions. Computed tomography (CT) allows timely diagnosis, identification of complications and therapeutic planning. To this end, several classifications have been used, from which Hinchey’s is the most renown (modified by Wasvary et al, Kaiser et al.), and other ones establish therapeutic correlation such as the one proposed by Sartelli et al. The objective of the present study is to make an iconographic review of this last one (Sartelli et al.) and to evaluate its therapeutic implications.
Keywords: colon, diverticulitis, computed tomography, treatment.
Discusión
La diverticulosis es una entidad frecuente, que predomina en países occidentales, cuya prevalencia aumenta con la edad, presentándose en aproximadamente el 5%-10% de la población mayor a 45 años y el 80% de la población mayor a 85 años.1 Anatómicamente, se subdividen en divertículos verdaderos, los cuales presentan las tres capas parietales (mucosa, submucosa y muscular externa), hallazgo visualizado en los divertículos congénitos, que predominan en colon derecho, en población asiática, teniendo una prevalencia estable en los diferentes grupos etarios y representando aproximadamente un 5%, y divertículos falsos, que se componen únicamente de mucosa y submucosa, como es el caso de la mayoría de los divertículos colónicos (aproximadamente 95%), predominando en colon izquierdo y población occidental.2,3,4
Aproximadamente un 10%-25% de dichos pacientes con diverticulosis, a lo largo de su vida, presentarán un cuadro de diverticulitis aguda, representando una de las causas más frecuentes de abdomen agudo (3,8%) y, por consiguiente, de gran impacto como problemática en salud pública.5
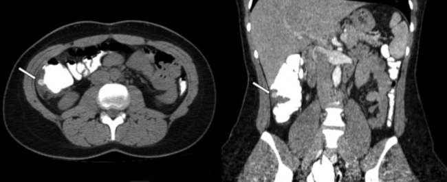
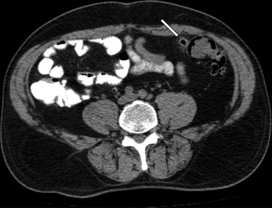
Clínicamente, dicho cuadro se caracteriza por dolor abdominal a predominio del cuadrante inferior izquierdo y fiebre, acompañado de alteración en los parámetros de laboratorio vinculables a un proceso infeccioso. En caso de complicaciones, puede progresar a un cuadro de peritonitis, presentando mal estado general, dolor a la descompresión, defensa abdominal. En ocasiones, se asocia además a hemorragia digestiva baja, estenosis post diverticulitis aguda, debiendo realizar el diagnóstico diferencial con patología neoplásica.6 Cuando la afectación compromete el colon derecho, clínicamente el cuadro es indistinguible de la apendicitis aguda, siendo los estudios por imágenes indispensables para un correcto diagnóstico (►Fig. 1).7

A fin de establecer un lenguaje común entre los diferentes especialistas, en 1978 Hinchey y col.8 publicaron una clasificación basada principalmente en hallazgos clínicos y quirúrgicos (►Tabla 1).

Posteriormente, con el advenimiento y perfeccionamiento de nuevos métodos diagnósticos, se realizaron modificaciones a la clasificación original, en 1999 por Wasvary y col.9 y en 2005 por Kaiser y col.10, esta última de especial relevancia por la inclusión de hallazgos tomográficos (►Tabla 2).10 En la actualidad, la tomografía computada (TC) de abdomen y pelvis, sin y con contraste endovenoso es recomendada por la American College of Radiology en aquellos pacientes con sospecha clínica, como estudio de imágenes inicial y para la correcta valoración de sus complicaciones.11

Con el objetivo de instaurar una correlación entre la clínica, los hallazgos tomográficos y el abordaje terapéutico, estableciendo el grado de severidad del cuadro con una visión multidisciplinaria, en 2015 Sartelli y col.12 propusieron una nueva clasificación y algoritmo de tratamiento (►Fig. 2), la cual será expuesta a continuación.12

Estadio 0: Divertículos con engrosamiento parietal del colon y aumento de la densidad de la grasa pericólica. Si el paciente se encuentra en buen estado general, se recomienda el tratamiento ambulatorio con o sin antibióticos; en caso de presentar signos de sepsis o comorbilidades, hospitalización con administración de antibióticos por vía oral o intravenosa (►Fig. 3).
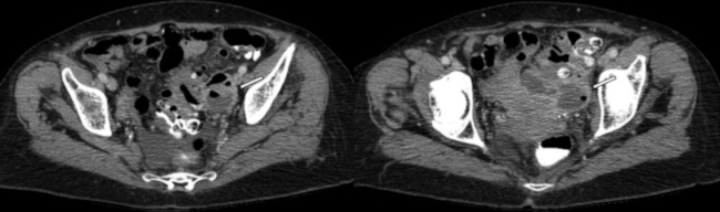
Estadio IA: Pequeñas burbujas de aire pericólicas o presencia de líquido libre pericólico sin absceso. Se recomienda tratamiento con antibióticos intravenosos u orales y observación hospitalaria (►Fig. 1).
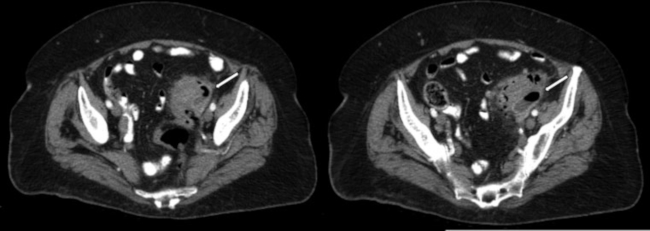
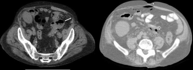
Estadio IB: Absceso < 4 cm (sin aire libre distante). Se recomienda internación hospitalaria con antibióticos EV y, en caso de fracaso terapéutico, drenaje percutáneo guiado por imágenes (ecografía o tomografía) (►Fig. 4).
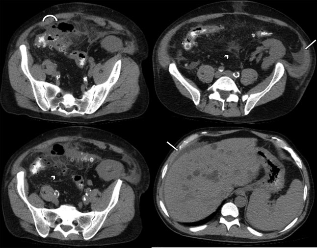
Estadio IIA: Absceso > 4 cm (sin aire libre distante). Se recomienda drenaje percutáneo guiado por imágenes (►Figs. 5 y 6).
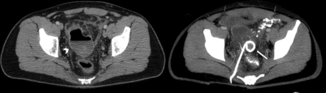
Estadio IIB: Aire distante (>5 cm del segmento intestinal inflamado). Si el paciente está estable sin comorbilidades se recomienda tratamiento conservador con eventual drenaje percutáneo guiado por imágenes; en caso contrario, resección quirúrgica con o sin anastomosis (►Fig. 7).
Estadio III: Presencia de líquido libre difuso sin evidencia de neumoperitoneo. Si el paciente está estable sin comorbilidades, se recomienda el lavado laparoscópico y drenaje; en caso contrario, resección quirúrgica con o sin anastomosis (►Fig. 8).
Estadio IV: Presencia de líquido libre difuso asociado a neumoperitoneo. Se recomienda resección quirúrgica con o sin anastomosis (►Fig. 9).







Si bien el nuevo enfoque propuesto por Sartelli y col.12 resulta interesante a fin de establecer lenguaje común que permita un trabajo en conjunto entre los diferentes servicios y establecer una planificación terapéutica coordinada, en la actualidad la clasificación más utilizada y difundida continúa siendo la publicada por Kaiser y col.10
A pesar de ello, en los últimos años, se continuaron realizando estudios que correlacionan los hallazgos tomográficos con el tratamiento instaurado y el outcome obtenido. Un ejemplo de eso es el realizado por Lambrichts y col., donde se concluye que el tratamiento con drenaje percutáneo + antibiótico vs únicamente antibiótico no presentó diferencias significativas en pacientes con abscesos categorizados como Hinchey modificado Ib y II.14 También han surgido nuevas alternativas terapéuticas, como el abordaje endoscópico.2 Dichos estudios y la propuesta multidisciplinaria establecida por Sartelli y col.12 dejan abierto a discusión el enfoque clínico-radiológico-terapéutico a futuro de esa patología.
Conclusión
El conocimiento de la clasificación de Hinchey, sus modificaciones y nuevas clasificaciones propuestas (Sartelli y col.12) permiten una adecuada evaluación de la diverticulitis aguda, sus complicaciones, hallazgos tomográficos y planificación terapéutica, estableciendo un nuevo enfoque multidisciplinario que permite un abordaje de la patología, coordinado y con un lenguaje común entre los diferentes servicios.
Confidencialidad de los datos
Los autores declaran que han seguido los protocolos de su centro de trabajo sobre la publicación de datos de pacientes y que todos los pacientes incluidos en el estudio han recibido información suficiente y han dado su consentimiento informado por escrito.
Bibliografía
Horton KM, Corl FM, Fishman EK. CT evaluation of the colon: inflammatory disease. Radiographics. 2000;20(02):399-418
Zullo A, Gatta L, Vassallo R, Francesco V, Manta R, Monica F, et al. Paradigm shift: the Copernican revolution in diverticular disease. Ann Gastroenterol. 2019;32(06):541-553
Maykel JA, Opelka FG. Colonic diverticulosis and diverticular hemorrhage. Clin Colon Rectal Surg. 2004;17(03):195-204
Pereira JM, Sirlin CB, Pinto PS, Jeffrey RB, Stella DL, Casola G. Disproportionate fat stranding: a helpful CT sign in patients with acute abdominal pain. Radiographics. 2004;24(03):703-715
Onur MR, Akpinar E, Karaosmanoglu AD, Isayev C, Karcaaltincaba M. Diverticulitis: a comprehensive review with usual and unusual complications. Insights Imaging. 2017;8(01):19-27
Klarenbeek BR, de Korte N, van der Peet DL, Cuesta MA. Review of current classifications for diverticular disease and a translation into clinical practice. Int J Colorectal Dis. 2012;27(02):207-214
Chiu TC, Chou YH, Tiu CM, Chiou HJ, Wang HK, Lai YC, et al. Right-Sided Colonic Diverticulitis: Clinical Features, Sonographic Appearances, and Management. J Med Ultrasound. 2017;25(01):33-39
Hinchey EJ, Schaal PG, Richards GK. Treatment of perforated diverticular disease of the colon. Adv Surg. 1978;12:85-109
Wasvary H, Turfah F, Kadro O, Beauregard W. Same hospitalization resection for acute diverticulitis. Am Surg. 1999;65(07):632-635, discussion 636
Kaiser AM, Jiang JK, Lake JP, Ault G, Artinyan A, Gonzalez-Ruiz C, et al. The management of complicated diverticulitis and the role of computed tomography. Am J Gastroenterol. 2005;100(04):910-917
Galgano SJ, McNamara MM, Peterson CM, Kim DH, Fowler KJ, Camacho MA, et al; Expert Panel on Gastrointestinal Imaging. ACR Appropriateness Criteria® Left Lower Quadrant Pain-Suspected Diverticulitis. J Am Coll Radiol. 2019;16(5S):S141-S149
Sartelli M, Moore FA, Ansaloni L, Di Saverio S, Coccolini F, Griffiths EA, et al. A proposal for a CT driven classification of left colon acute diverticulitis. World J Emerg Surg. 2015;10:3
Lambrichts DPV, Birindelli A, Tonini V, Cirocchi R, Cervellera M, Lange JF, et al. The Multidisciplinary Management of Acute Complicated Diverticulitis. Inflamm Intest Dis. 2018;3(02):80-90
Lambrichts DPV, Bolkenstein HE, van der Does DCHE, Dieleman D, Crolla RMPH, Dekker JWT, et al. Multicentre study of non-surgical management of diverticulitis with abscess formation. Br J Surg. 2019;106(04):458-466
Notas de autor
Address for correspondence: Nicolás Daniel Roccatagliata, MD, Guatemala, 5731, Ciudad Autónoma de Buenos Aires, Argentina (e-mail: nrocca@gmail.com).
Declaración de intereses