Carta Científica
Neuroretinitis causada por Bartonella Henselae
Neuroretinitis caused by Bartonella Henselae
Recepción: 09 Enero 2019
Aprobación: 02 Abril 2020
Estimados editores,
El género Bartonella, perteneciente al subgrupo alfa-2 de las proteobacterias, incluye actualmente 35 especies, al menos siete de ellas son causantes de enfermedad en seres humanos. Se trata de las Grahamii, Bacilliformis, Quintana, Elizabethae, Vinsonii, Koehleraey Henseleae, esa última con un comportamiento intracelular facultativo, de lento crecimiento y difícil cultivo, se destaca por ser causante de la enfermedad por arañazo de gato. Se calculan 12.500 pacientes diagnosticados anualmente con enfermedad por arañazo de gato, aproximadamente 550 de ellos con compromiso ocular concomitante (datos epidemiológicos de los Estados Unidos).1,2,3,4
Entre las especies que causan compromiso ocular, se han reportado B. Henseleae, B. Quintana, B. Elizabethaey B. Grahamii.2 El ojo es el órgano no linfático más frecuente afectado por B. Henseleae.3,5 Se reporta frecuentemente como manifestación de esa infección, el síndrome oculo-glandular de Parinaud (enrojecimiento ocular, sensación de cuerpo extraño, epífora y linfadenopatías preauriculares, submandibulares o cervicales), neuroretinitis, papillitis y neuritis óptica.6,7 Sin embargo, es escasa la iconografía en resonancia magnética (RM) de esa patología.
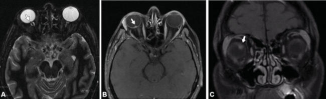
Por lo anterior, queremos compartir el caso de un paciente masculino de 38 años de edad con diagnóstico serológico de B. Henseleae, que consultó en nuestra institución por cuadrantopsia, metamorfopsia y edema de papila temporal en ojo derecho, y a quien se le realizó una RM de órbitas con contraste endovenoso, la cual mostró irregularidad en el polo posterior del globo ocular derecho asociado a señal hipointensa en secuencias ponderadas en T2/GRE y refuerzo patológico luego del contraste endovenoso (►Fig. 1).

La B. Henseleae invade el endotelio vascular, produciendo alteración en los mediadores trombogénicos, vasculitis obliterante y obstrucción de la arteria retiniana u oclusión venosa con afección de la cabeza del nervio óptico, lo que conlleva a inflamación masiva y alteración en la permeabilidad capilar.8 Eso puede manifestarse en RM como realce en un segmento corto del nervio óptico, con epicentro en su unión con el globo ocular (Schmalfuss y col.,9 mostraron una especificad del 98% de ese hallazgo). La neuroretinitis por B. Henselae suele tener un curso clínico favorable y autolimitado, presentando, la mayoría de los pacientes, recuperación completa de la agudeza visual en el transcurso de semanas a meses.
En el diagnóstico diferencial de la neuroretinitis por B. Henseleae se debe tener en cuenta principalmente la neuritis óptica de etiología desmielinizante como la producida en contexto de esclerosis múltiple (EM), neuromielitis óptica (NMO), anticuerpos contra la glicoproteína de mielina-oligodendrocitos (anti-MOG) y encefalomielitis aguda diseminada (ADEM), entidades que por lo general presentan cambios inflamatorios de mayor extensión y en segmentos posteriores del nervio óptico.10,11 Además, esas patologías, en caso de presentar compromiso del segmento intraocular, generalmente se asocian a realce de segmentos posteriores (Fig. 2) a diferencia del realce focal característico de la neuroretinitis por B. Henseleae. También se deben tener en cuenta otras causas de neuroretinis que igualmente deben considerarse en el diagnóstico diferencial, entre ellas enfermedades infecciosas o inflamatorias como la toxoplasmosis, toxocariasis, tuberculosis, sífilis, enfermedad de Lyme, rickettsiosis, sarcoidosis, enfermedad de Behçet.12 Por otro lado, debemos considerar que existen condiciones clínicas que pueden confundirse con el diagnóstico de neuroretinitis por causar edema de papila y estrella macular. Entre ellas se encuentran la hipertensión arterial, la diabetes mellitus, la hipertensión endocraneana, la oclusión de rama venosa de la retina y la neuropatía óptica isquémica anterior.13

Address for correspondence: Jairo Hernández Pinzón, MD, MSc. (e-mail: jahernandezpinzon@gmail.com).

