Resumen: El objetivo de este artículo es realizar una revisión de las localizaciones, causas y hallazgos radiológicos específicos de los procesos avasculares óseos. Se define como isquemia ósea a las alteraciones ocasionadas por déficit de irrigación, llevando a la destrucción del hueso. Existen diferencias entre necrosis isquémica e infarto óseo, en base al sitio óseo de afectación. La etiología traumática es la más frecuente y suele ser unilateral. Los sitios de presentación más frecuentes son: cabeza femoral y humeral, rodilla y semilunar. La resonancia magnética (RM) es considerada la modalidad de imagen más sensible y específica, tanto para el diagnóstico temprano como estadificación y control. El conocimiento de las causas, características radiológicas y sus diferentes fases evitan el diagnóstico erróneo de otras etiologías, como las primarias o infecciosas, facilitando un correcto algoritmo terapéutico.
Palabras clave: osteonecrosisosteonecrosis,enfermedad óseaenfermedad ósea,necrosis de cabeza femoralnecrosis de cabeza femoral.
Abstract: The aim of this article is to review the locations, causes and specific radiological findings of avascular bone processes. Bone ischemia is defined as the alterations caused by irrigation deficit, leading into the bone destruction. However, there are differences between ischemic necrosis and bone infarction, based on the bone site of involvement. The most frequent etiology is traumatic and is usually unilateral. The most frequent sites of presentation are: femoral and humeral head, knee, and lunate. Magnetic resonance imaging (MRI) is considered the most sensitive and specific imaging modality for early diagnosis, staging and control. The knowledge of the causes, radiological findings and their different phases avoid the erroneous diagnosis of other lesions, such as primary or infectious, facilitating a correct therapeutic algorithm.
Keywords: osteonecrosis, bone disease, femur head necrosis.
Revisión de Tema
No dejemos morir al hueso: interiorizándonos con los procesos óseos avasculares
Do not let the Bone Die: Interiorizing with the avascular Bone Processes
Recepción: 18 Noviembre 2019
Aprobación: 04 Agosto 2020
El hueso, como órgano vivo, requiere un suministro de sangre para desarrollar su remodelación y actividad. Cuando es desprovisto de circulación, sufre una isquemia secundaria que produce la lesión o muerte del tejido. Sus consecuencias dependerán del hueso y la localización comprometida. Los hallazgos serán característicos según se produzcan a nivel diafisario, epifisario o metafisario, así como también si sucede en un hueso adulto o en crecimiento.
Se ha estimado que existen alrededor de entre 20.000 y 30.000 nuevos casos de isquemia al año en Estados Unidos, y que constituye el 10% de las causas de reemplazos de cadera que se realizan en ese país. La relación varones:mujeres varía según las comorbilidades asociadas.1
En el presente trabajo realizaremos una revisión de tema de los diferentes sitios de localización de procesos avasculares óseos mediante la compilación de casos por resonancia magnética (RM) que se presentaron en nuestra institución. Desarrollaremos los conceptos básicos e identificaremos el espectro de hallazgos radiológicos específicos en cada topografía y sus posibles causas con el fin de realizar una detección temprana.
Aunque necrosis ósea avascular (NOA) e infarto óseo son términos equivalentes y que se traducen como muerte ósea, es importante destacar su diferencia, debiéndose a su localización. La osteonecrosis (ON) es la afectación epifisaria o subarticular que involucra a la cortical, y el infarto óseo se reserva para las localizaciones metafisarias y diafisarias en las que la necrosis afecta únicamente al hueso medular.2
La ON, también conocida como necrosis ósea avascular (NOA) o aséptica, es una entidad clínica caracterizada por necrosis del hueso trabecular y de médula ósea producida por una disrupción en el flujo sanguíneo temporal o permanente, favoreciendo la muerte isquémica de los constituyentes celulares, generando la destrucción del hueso o de la superficie de las articulaciones.3,4
El infarto, como en cualquier otro órgano, constituye un área localizada de necrosis que se produce por una disminución significativa del aporte arterial o del drenaje venoso, afectando las regiones donde predomina la médula ósea grasa, ya que se encuentra pobremente vascularizada.4
Las múltiples etiologías relacionadas con la NOA se caracterizan por causar una alteración en la vascularización del hueso subcondral que lleva a la isquemia del tejido, lo cual termina produciendo muerte de los osteocitos y colapso de la superficie articular, pudiendo desarrollarse por uno de los siguientes mecanismos: interrupción de la irrigación arterial, obstrucción del drenaje venoso o daño de la pared de los vasos.4
La muerte celular no es inmediata, se produce a través de varias etapas progresivas de la lesión isquémica. La aparición de la lesión y la rapidez con que se produce la muerte celular dependerá de la sensibilidad de cada tipo de célula, del grado y el tiempo de duración de la anoxia.4,5
En el infarto óseo se produce aumento de la presión intraósea por edema en médula ósea, induciendo un aumento de osteoclastos, los cuales reabsorben el hueso trabecular subcondral. Estas trabéculas alteradas y disminuidas ante reiterada carga articular terminan colapsando.
La ON se puede clasificar en dos grandes grupos según su etiología: primaria o idiopática y secundaria. Dentro de esta última, la subclasificación es variada y son muchos los procesos que se han asociado a su desarrollo (►Tabla 1). Las causas más comunes son traumatismo, corticosteroides y alcoholismo. La ON traumática es unilateral, en contraposición a la no traumática, que es bilateral.6

La patogenia por corticosteroides es controvertida, relacionándose con alteraciones en el metabolismo de las grasas según dos teorías apoyadas:
La probabilidad de ON aumenta con una dosis más alta de esteroides (>20mg/day, >10mg/day) y una duración más prolongada de la terapia.3,6 Las mismas teorías son aceptadas para explicar el riesgo aumentado por el consumo excesivo de alcohol.
La dosis acumulada de corticoesteroides en pacientes con trasplante renal o de médula ósea son factores de riesgo relacionados con el desarrollo de ON.
La enfermedad de células falciformes, la trombofilia y la hipofibrinólisis son causas de ON por trombosis venosa o incluso arterial.3,6
Se debe mencionar la ON maxilar, relacionada al uso de bifosfonatos, con el tratamiento odontológico invasivo como factor de riesgo para su desarrollo.7
La cabeza femoral es la zona más frecuente de ON, ocurre en el 15% al 80% de los pacientes con fractura de cuello femoral, así como en pacientes con tratamiento corticoideo.8 La ON de cadera suele ser bilateral y el riesgo de la bilateralidad es mayor dentro de los dos años posteriores al diagnóstico unilateral.9
La ON atraumática de cadera con frecuencia es asintomática, siendo difícil establecer el inicio del proceso. Al presentarse con sintomatología, esta se caracteriza por dolor en la articulación de la cadera, pudiendo irradiarse hacia la ingle, región anterior del muslo o hasta la rodilla.8
La RM es el método más sensible y específico para detectar los hallazgos iniciales por imágenes de la ON. Existen, además, características por RM que nos permiten determinar los factores que aumentan el riesgo para el desarrollo de la ON. Entre ellos se encuentran la cicatriz fiseal gruesa y la conversión temprana a médula amarilla.6
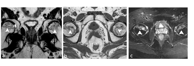
El patrón más común de la ON es la médula amarilla en la epífisis rodeada de una línea de morfología en anillo o en cuña, de baja señal en todas las secuencias en relación a la formación de tejido esclerótico (►Fig. 1). Además, en estos casos se puede observar el signo de doble línea, en relación a otro anillo profundo hiperintenso en secuencias ponderadas en T2, correspondiente a tejido de granulación en remodelación.6,10

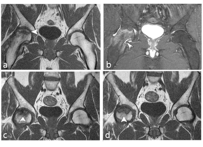
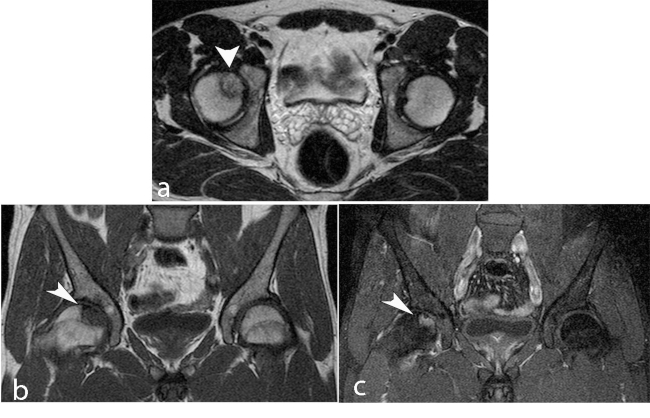
Existen varias escalas para determinar el grado de severidad de la ON de cadera mediante hallazgos imagenológicos con el fin de identificar y guiar el tratamiento adecuado, siendo las clasificaciones de Fitcat y Arlet, y/o Steinberg (►Tablas 2 y 3) las más utilizadas por los radiólogos al evaluar la progresión, desde la enfermedad radiológicamente negativa hasta el colapso de la cabeza femoral con desarrollo secundario de osteoartritis (►Figs. 2 y 3).6 Es de conocimiento que la importancia clínica de la ON depende casi por completo de la probabilidad de colapso articular, por lo que el volumen de la cabeza femoral afectada sería su predictor más relevante.




El tratamiento de la ON en estadios tempranos, tanto I y II de las clasificaciones antes mencionadas, apunta a evitar la degeneración articular. Para esto se acude al tratamiento conservador con bifosfonatos, incluyendo oxigenoterapia hiperbárica y medidas de descarga,9 en ocasiones la descompresión o resección focal, siendo este último utilizado incluso en estadio III complementándose con injertos óseos, debido a que el pronóstico es mejor cuando se aplican en estadios más precoces.11 La enoxaparina puede prevenir la progresión de la ON con etiología de trombofilia o trastornos hipofibrinolíticos.10 En los estadios avanzados, de III en adelante, el tratamiento de elección es la artroplastia total de cadera, especialmente en edades avanzadas, obteniéndose un buen resultado. Si existieran contraindicaciones o se optara por diferir el uso de prótesis, como es en el caso de pacientes jóvenes, se realizan osteotomías.
Los factores de mal pronóstico que determinan el probable colapso articular son: estadio avanzado al momento del diagnóstico, extensión o volumen de la cabeza femoral involucrada (>50% de la cabeza femoral), su localización (zona anterolateral), y aumento del grosor de la zona de reparación. Otros factores a tener en cuenta son: edad del paciente (>40 años), aumento del derrame articular y del edema circundante, así como mayor índice de masa corporal ( 24 Kg/m2).6
La ON de rodilla afecta a los cóndilos femorales y platillo tibial, denominándose enfermedad de Ahlback cuando se presenta de forma espontánea debido a osteoporosis e insuficiencia subcondral.11 Se presenta alrededor de los 60 años, con frecuencia en el sexo femenino en una relación 3 a 1. El cóndilo femoral interno es el sitio más frecuente afectado debido a ser un área de carga, siendo generalmente unilateral.
Está asociada al consumo de corticoides, suele ser bilateral y en pacientes más jóvenes.5 La afectación de las mesetas tibiales es poco frecuente.
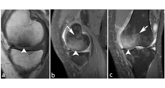
Los primeros estadios de la lesión se caracterizan por una fractura subcondral sin asociación de hallazgos osteonecróticos, reconocida en RM por una imagen lineal de baja señal ponderada en T1, subcortical, y edema periférico extenso mejor evidenciado en secuencias ponderadas en T2. Al avanzar su estadio, estas lesiones osteonecróticas muestran cambios distales por una cicatrización deficiente, lo que genera reacción y formación de cartílago con tejido fibroso indicativo de retraso o falta de unión.11
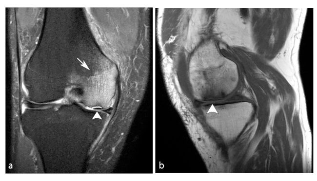
En RM en secuencia ponderada en T1, la intensidad de señal de la grasa de la médula ósea del cóndilo femoral afectado es reemplazada por un área con baja señal, asociada a una periferia de aún más baja señal (►Figs. 4 y 5).8 En la secuencia ponderada en T2 se visualiza lesión central hipointensa con área de señal alta periférica en relación al patrón de edema de la médula ósea (►Fig. 6).11



Tiene un buen pronóstico cuando el segmento que se afecta es pequeño o el tratamiento es adecuado (descarga completa de la pierna afectada asociado a analgésicos). En caso contrario, evoluciona a una artrosis grave de rodilla con dolor mecánico invalidante. El hallazgo que más influye en la evolución, es el volumen de la zona condílea de carga que se ha afectado, siendo un pronóstico desfavorable al afectarse >50% del tamaño con tendencia al colapso óseo y artrosis secundaria.5,11
La ON vertebral es una patología poco frecuente. Se postula que la fisiopatología es la consecuencia de la afección del segmento anterior del cuerpo vertebral, por mecanismos traumáticos o no traumáticos.12 En el primer caso, se lo llama enfermedad de Kummel y representa un colapso vertebral tardío después de un traumatismo, el cual inicialmente es asintomático acompañado de una radiografías (RX) poco notable que gradualmente se vuelve sintomática y resulta en colapso del cuerpo vertebral.13 El segundo mecanismo implica fracturas microtrabeculares repetidas en un cuerpo vertebral que se debilita, y se encuentra asociado al abuso de alcohol, infecciones, glucocorticoides, dislipidemia, enfermedad de Gaucher, inmunodeficiencias, entre otras causas.12
Los hallazgos por imágenes de la ON vertebral se pueden acompañar de una colección de aire intravertebral, observándose el signo de la hendidura en descripción a un área radiolúcida semilunar o lineal en las RX o en tomografía computada (TC). Generalmente se encuentra en el área central o adyacente al platillo terminal.14
En RM, además de los hallazgos característicos de la ON per se (►Fig. 7), se puede evidenciar una intensidad de señal baja en todas las secuencias y aparece como un vacío de señal en las imágenes de eco de gradiente, debido al efecto de susceptibilidad magnética del aire. También se puede observar una colección líquida en el cuerpo vertebral, que se visualiza como un área circunscripta hipointensa ponderada en T1 e hiperintensa ponderada en T2.15

El astrágalo es el segundo hueso más grande del tarso y presenta una estructura que permite distribuir el peso corporal. La ausencia de inserciones musculares y escasas ligamentosas en este hueso hace que la vascularización extraósea sea menor que en otros huesos. Además, el 60% de su superficie presenta cartílago articular, con ausencia a nivel del cuello y parte posterior del cuerpo.16 Dentro del hueso, los territorios vasculares son autónomos, la cabeza y el cuello están bien vascularizados por ramas que penetran por la parte superior o inferior del cuello. Por el contrario, el cuerpo presenta una vascularización bastante pobre.17,18
La ON del astrágalo guarda una estrecha relación con los traumatismos; la necrosis atraumática solo representa un 10% de los casos.6,16 Existen dos lesiones traumáticas que potencialmente pueden desencadenar la aparición de la ON: fracturas del cuello del astrágalo y dislocación del astrágalo.17
Aunque no existe un sistema de clasificación específica, la ON del astrágalo exhibe un patrón característico de la enfermedad. Por lo general, aparece como un área de esclerosis en la cúpula del astrágalo que puede extenderse en el cuerpo talar, con posible colapso de la superficie articular y, en casos graves, la fragmentación de la cúpula del astrágalo y el cuerpo.
La RM es la técnica más sensible, especialmente en las primeras etapas, siendo de mayor ayuda diagnóstica cuando hay una alta sospecha clínica de NOA y los hallazgos radiográficos son normales (►Fig. 8).6,16

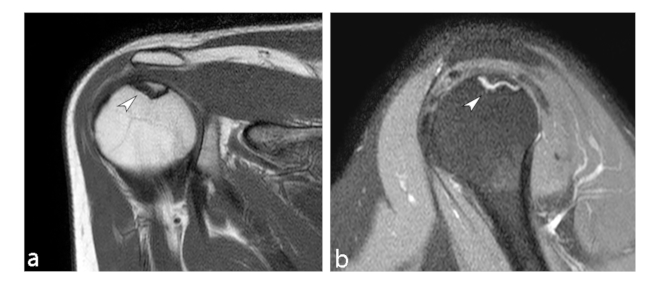
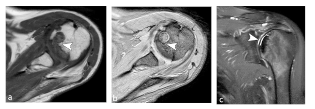
La ON de la cabeza humeral conocida como enfermedad de Hass es la segunda en frecuencia, se desarrolla en la región subcondral, puede provocar colapso del hueso subcondral necrótico, desarrollo de una superficie articular irregular y posterior degeneración de la articulación.
Puede tener varias etiologías: idiopática, secundaria a causas médicas (por fijación quirúrgica o artroscopia), farmacológica o secundaria a un trauma, siendo ésta última la más frecuente. Las fracturas de la cabeza humeral con tres fragmentos pueden desarrollar ON en 3 a 14% de incidencia, mientras que aquellas con cuatro fragmentos, entre 13 y 34%.19
Existe una escala para determinar el grado de severidad de la necrosis mediante hallazgos imagenológicos por RM con el fin de identificar y guiar el tratamiento adecuado, siendo esta la clasificación de Cruess Modificado (►Tabla 4) a partir de la clasificación Ficat y Arlet (►Figs. 9 y 10).20



Hertel describe criterios radiográficos como predictores de isquemia para establecer el compromiso vascular de la cabeza humeral: extensión metafisaria de la cabeza humeral de < 8mm y la disrupción del eje medial > 2mm. Estos hallazgos, en asociación a una fractura del cuello anatómico, presentaron un valor positivo predictivo de 97% para el desarrollo de isquemia.19
El objetivo del tratamiento es preservar la función de la articulación, detener la progresión de la enfermedad y disminuir los síntomas. Los estadios iniciales se manejan con tratamiento conservador: detener factores de riesgo y etiología, fisioterapia, analgesia con cambio en la actividad, y en ocasiones la administración de corticoides intra-articular en pacientes sin factores de riesgo como los inmunodeprimidos. En estadios III y en aquellos pacientes con estadio II que progresan con la enfermedad se realiza la resección focal, injerto óseo vascularizado con el objetivo de descomprimir, algunos no logrando controlar el desarrollo de la enfermedad. El tratamiento más confiable y duradero es el reemplazo de hombro parcial o completo, indicado en pacientes con dolor significativo y disfunción articular con factores de mal pronóstico, como ocurre en los estadios avanzados. Como en los otros tipos de ON, la artroplastia en pacientes jóvenes sigue siendo controversial.20
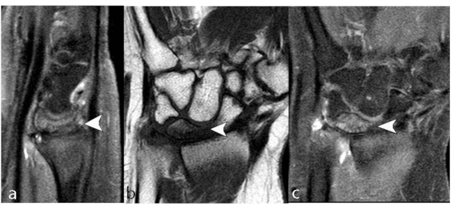
La enfermedad de Kienböck es una afección caracterizada por necrosis avascular del hueso semilunar. Presenta un mecanismo patofisiológico multifactorial, con factores anatómicos que predisponen al desarrollo de la enfermedad, como la varianza cubital negativa y la morfología rectangular o cuboidea del semilunar.21,22
Entre los mecanismos para el desarrollo de la ON del semilunar se encuentra la lesión de las arterias dorsales y volares, ya sea por afectación de las estructuras capsulo-ligamentarias o por fracturas/luxaciones del hueso semilunar. También se puede presentar por lesión neurovascular de las terminales nerviosas carpianas, provocando una reacción vasomotora con una vasodilatación (estasis vascular/descalcificación ósea) - vasoconstricción (desencadena un infarto óseo).22
Las fracturas del semilunar por compresión secundarias a micro-traumatismos repetidos, que comprometen las entradas vasculares, o secundarias a una varianza cubital negativa, provocan una alteración en el reparto de las presiones en la articulación radio-carpiana, sometiendo a una mayor presión de la mitad cubital de la carilla articular radiosemilunar.22
La enfermedad de Kienböck se puede evaluar morfológica y funcionalmente, siendo importante para estimar la progresión de la enfermedad y elegir el tratamiento más adecuado. La evaluación morfológica se realiza con la clasificación de Lichtman (►Tabla 5), de acuerdo a los hallazgos por RX, TC y RM (►Figs. 11 y 12).22,23 Es altamente confiable y reproducible y tiene mayor relevancia clínica porque ayuda a determinar el tratamiento más adecuado.



El tratamiento se basa en los estadios de la clasificación de Lichtman. El estadio I se enfoca en el tratamiento de descarga con inmovilización y anti-inflamatorios, mientras que en los estadios II y IIIa se realizan procedimientos de descarga mecánica, descompresión y revascularización (injertos óseos), en estadios IIIb y IIIc se recomienda la escisión o reconstrucción del semilunar. Finalmente, los procedimientos de rescate como la carpectomía, fusión del hueso carpiano y la artroplastia total de la muñeca se destinan a pacientes en estadio IV.23 A pesar que se ofrecen muchos procedimientos quirúrgicos, por el momento no hay un tratamiento definitivo para esta enfermedad, al no demostrarse efectividad en la regresión de la enfermedad. Desafortunadamente, la ON de Kienböck es una enfermedad progresiva que termina en la destrucción de la articulación dentro de los tres a cinco años si no se trata a tiempo.
El hueso escafoides tiene grandes segmentos de cartílago hialino que cubre su superficie y, a causa de esto, las superficies externas no pueden ser penetradas por los vasos nutricios. El polo proximal del escafoides está predispuesto a NOA postraumática, debido a la ubicación distal de los principales vasos nutricios y el patrón retrógrado de suministro de sangre intraóseo.24,25
Las fracturas de la cintura se asocian a un 30% de incidencia de NOA, y las fracturas del polo proximal están asociadas a una incidencia cercana al 100%. La necrosis se desarrolla más temprano en pseudoartrosis proximales que en el resto.24
La RM nos permite diagnosticar la necrosis en estadios tempranos, así como documentar la vascularización del hueso escafoides antes y después del tratamiento en base a los cambios de señal. La baja intensidad de señal ponderada en T1 y en T2 en el polo proximal es muy sugestiva de necrosis avascular.
Se debe tener en cuenta a la enfermedad de Preiser, definida inicialmente como ON idiopática del hueso escafoides del carpo y posteriormente asumida como consecuencia de microtrauma, factores de riesgo vascular o medicamentosa (corticoides, hidroxicloroquina). Se manifiesta en dos tipos:
La ON navicular, también conocida como síndrome de Müller Weiss, es secundaria a una fuerza de compresión sobre el escafoides tarsal o por un defecto congénito. Se presenta entre los 40 y 60 años de edad, con predominio en mujeres y es frecuentemente bilateral.27
Se manifiesta con dolor crónico en la región media y posterior del pie, puede ser bilateral o asimétrica y se asocia a fracturas patológicas.28
Los hallazgos radiográficos se presentan en un sistema de estadificación de acuerdo a su progresión (►Tabla 6).27 La RM puede mostrar edema en secuencias STIR o en densidad protónica (DP) con saturación grasa, secuencias sensibles para identificar cambios tempranos debido a la habilidad de detectar cambios de señal medular.

Los hallazgos imagenológicos muestran: una forma adelgazada y fragmentada, esclerosis parcheada similar a ON en otras localizaciones y puede estar asociado a edema de partes blandas.
El tratamiento se realiza en base a los estadios de la enfermedad, optando por medidas conservadoras (antiinflamatorios, aparatos ortopédicos personalizados y restricción de actividad) en los estadios iniciales, o la descompresión central, sin haberse demostrado que sea beneficiosa por sí sola.28 El tratamiento quirúrgico se destina a partir de la etapa 3, ya sea según la gravedad de los síntomas o después del fracaso del tratamiento conservador. Aunque existen múltiples técnicas quirúrgicas, todas presentan dos objetivos comunes: aliviar el dolor mediante la fusión de las articulaciones con cambios degenerativos sintomáticos y restaurar los arcos longitudinales plantar y medial.27 La artrodesis talonaviculo-cuneiforme con injerto óseo satisface estos dos objetivos y proporciona los resultados más satisfactorios en relación al pronóstico de la enfermedad.28
Es de importancia diferenciarlo de la enfermedad de Köhler, denominada como una ON idiopática que afecta al núcleo de osificación proximal del escafoides tarsiano, por lo que ocurre en población pediátrica, entre los 3 y 7 años de edad, siendo más frecuente en el sexo masculino.29 Se caracteriza por un cuadro clínico unilateral, benigno y autolimitado, su etiología es desconocida, pero se sospecha que sea a causa de un incidente vascular.28
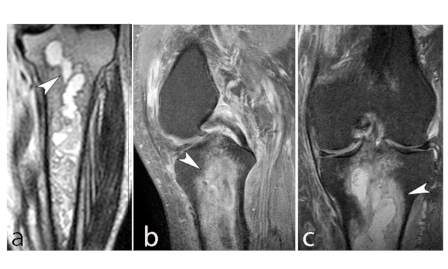
Existen otras localizaciones de presentación de ON menos frecuentes, como es el caso del compromiso de los otros huesos del tarso, específicamente las cuñas, visualizadas en las ►Figuras 13 y 14.


Como ya se ha mencionado, los infartos óseos se definen como la isquemia ósea de la metáfisis y diáfisis de un hueso, con su consiguiente destrucción de la arquitectura ósea, dolor y pérdida de la función.
Fisiopatológicamente hablando, el infarto comienza en el momento en que se interrumpe el suministro sanguíneo en una sección del hueso, lo que da a lugar un núcleo central necrótico rodeado de zona isquémica hiperémica. El déficit del flujo sanguíneo puede ser causado ya sea por compresión vascular, por trauma, por la oclusión de los vasos por burbujas de nitrógeno (enfermedad de Caisson) o por alteraciones de células falciformes. La enfermedad de Gaucher y anemia de células falciforme tienen mayor tendencia al desarrollo de infartos óseos.
En los hallazgos por imagen, los infartos se diferencian del resto de las lesiones de médula ósea por la persistencia de la señal de la médula normal en el centro de la lesión (►Fig. 15) debido a que la médula no se sustituye.30

Las características por RM son bastantes distintivas, evidenciándose una lesión de bordes serpiginosos (patrón geográfico) de baja señal ponderada en T1 (►Fig. 16) debido al tejido de granulación y en menor medida a la esclerosis, pudiendo realzar tras la administración de contraste endovenoso (►Fig. 17). En secuencias ponderadas en T2, el infarto agudo se observa como un área inespecífica de alta señal, a veces con signo de doble anillo en relación a anillo interno hiperintenso por el tejido de granulación, visualizado en secuencias de DP con supresión grasa. Los sitios más frecuentes son metáfisis distal femoral, tibia, y húmero.31


Se debe mencionar que existen diagnósticos diferenciales en referencia a lo radiológico, incluyendo algunos tumores y la osteomielitis, e incluso la posibilidad de malignización en la zona de infarto óseo previo.
Al momento no existe un tratamiento específico, por lo que el enfoque es principalmente paliativo para aliviar el dolor óseo, realizando seguimiento radiológico ante la posibilidad de un diagnóstico diferencial neoplásico.31
El conocimiento de los hallazgos presentes en los procesos avasculares, su clasificación, localización y evolución, permiten el temprano diagnóstico, a fin de evaluar etiología del cuadro y su eventual instauración terapéutica.
Address for correspondence: Karen Mena, MD, Av. Monroe, 2448, Ciudad Autónoma de Buenos Aires, Argentina (e-mail: karen_mena90@hotmail.com).






















