Carta Científica
Sarcoma del estroma endometrial como masa retroperitoneal
Endometrial Stroma Sarcoma as a Retroperitoneal Mass
Sarcoma del estroma endometrial como masa retroperitoneal
Revista argentina de radiología, vol. 85, núm. 1, pp. 24-26, 2020
Sociedad Argentina de Radiología
Recepción: 29 Octubre 2019
Aprobación: 04 Agosto 2020
Publicación: 22 Diciembre 2020
Estimado editores,
Los sarcomas del estroma endometrial son tumores poco frecuentes, que suponen el 20% de los sarcomas uterinos y menos del 1% de todos los tumores malignos del útero. Su aparición fuera del útero es muy rara. Frecuentemente son sintomáticos, apareciendo metrorragia en un 90% de los casos. La Organización Mundial de la Salud (OMS)1 reconoce dos subtipos según su grado histológico, con diferente comportamiento inmunohistoquímico y clínico.
Tienen un pronóstico variable y suelen ser detectados en estadios avanzados, mientras que los de bajo grado siguen un curso y crecimiento indolente.2
Mostramos el caso de una mujer de 65 años, asintomática, con ligera alteración de la creatinina sérica como hallazgo casual en una analítica de rutina, remitida al Servicio de Radiodiagnóstico para una ecografía abdominal de forma programada por una leve elevación de la creatinina sérica.
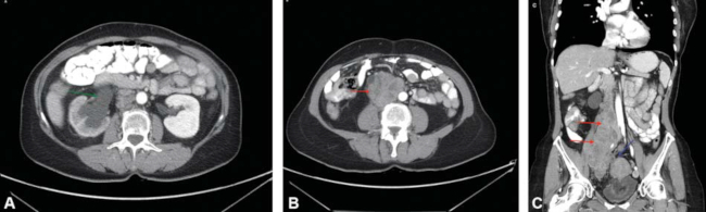
Al realizar el estudio, se observa un riñón derecho con dilatación pielocalicial y adelgazamiento cortical. El uréter proximal se encuentra dilatado hasta una masa retroperitoneal de gran tamaño y vascularizada, anterior a los cuerpos vertebrales y a la derecha de la aorta (►Fig. 1).

Se completó con tomografía computada (TC) tras administración de contraste intravenoso y oral en fase venosa, identificándose una gran masa retroperitoneal derecha, de 19 × 9,3 × 8,3 cm aproximadamente. Engloba al uréter y vena cava inferior hasta su bifurcación, a la vena iliaca común, externa e interna derechas, en contacto con la aorta abdominal (►Fig. 2). Tiene contornos polilobulados y atenuación heterogénea con áreas hipodensas centrales, sin grasa macroscópica ni calcificaciones y moderado realce tras la administración de contraste intravenoso. Está en íntimo contacto con el músculo psoas, los cuerpos vertebrales derechos (L3-S1) y la cúpula uterina, en el que se observan leiomiomas, sin signos de infiltración de los mismos ni metástasis.

Se realizó una biopsia guiada por ecografía por parte de la Sección de Radiología Vascular e Intervencionista, sin complicaciones inmediatas. Horas después, la paciente entró en parada cardiorrespiratoria y falleció.
Para filiar la masa retroperitoneal y confirmar la causa de la muerte, se realizó autopsia clínica, tras el consentimiento familiar, que determinó que la lesión era un sarcoma del estroma endometrial y confirmó como causa del exitus un tromboembolismo pulmonar agudo masivo.
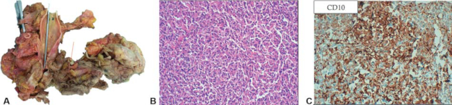
Durante el estudio anatomopatológico de la masa (►Fig. 3), la pieza macroscópica reveló que la lesión también afectaba a las venas uterinas derechas. La inmunohistoquímica fue decisiva para su diagnóstico. Fueron positivos marcadores característicos de este tipo de tumores como el CD10 y receptores de estrógenos y progesterona dado su origen uterino.

Los tumores del estroma endometrial no presentan patogenia clara con posibles factores predisponentes como la obesidad, diabetes, menarquia temprana y tamoxifeno. Son tumores poco frecuentes, en los que se ha descrito una translocación específica t(7,17).3 Más de la mitad aparecen en mujeres premenopaúsicas, sobre todo aquellos de bajo grado histológico.4 Aunque los sarcomas uterinos se describen como tumores agresivos, el sarcoma del estroma endometrial tiene un bajo porcentaje de infiltración según la literatura, algo que contrasta con nuestro caso de bajo grado histológico.4
La sintomatología es similar a la de otras neoplasias de origen uterino, como metrorragias (en el 90% de los casos) y dolor pélvico o abdominal, algo que nunca presentó la paciente.
El diagnóstico prequirúrgico es poco frecuente, confundiéndose con otras neoplasias benignas y solo se conocen tras el estudio anatomopatológico de la pieza postquirúrgica tras histerectomía.5 El diagnóstico diferencial de este tipo tumoral normalmente incluye neoplasias intrauterinas, como el leiomioma u otras de bajo grado como el adenosarcoma mulleriano.
En nuestro caso, por eso sorprendente y diferente, al tratarse de una masa retroperitoneal, se trató en el diagnóstico diferencial como un tumor retroperitoneal primario.5 El epicentro de la masa parece contiguo a la vena cava inferior, siendo el leiomiosarcoma de cava la primera opción. Dado el contacto íntimo que parecía tener con la cavidad uterina, un origen uterino fue la segunda posibilidad.
El estudio mediante inmunohistoquímica es clave, ya que tienen un marcador específico celular, el CD10, que permite diferenciarlas de otros tumores como el leiomioma. De manera frecuente, también es positivo para los receptores de los estrógenos y progesterona.
Su pronóstico está marcado por la extensión extrauterina al diagnóstico, precisando un abordaje multidisciplinar.1 El tratamiento inicial debe ser quirúrgico, ya que la eficacia del tratamiento adyuvante no ha sido demostrada, sólo usado si existen recurrencias. Las tasas de supervivencia varían según el estadio en el momento del diagnóstico, siendo muy bajas en los estadios III o IV, del 11% a los 5 años.2
Los sarcomas del estroma endometrial son un grupo de tumores cuya aparición fuera del útero es aún más rara, pero consideramos importante conocerlos para tenerlos en cuenta en el diagnóstico diferencial, no solo de las neoplasias confinadas al útero sino también ante una masa retroperitoneal de origen incierto, como es el caso que mostramos.
Bibliografía
1 Tavassoli FA, Devilee P. WHO Classification of Pathology and genetics of tumours of the breast and female genital organs. J Clin Pathol. 2005;58(06):671-672
2 Puliyath G, Nair MK. Endometrial stromal sarcoma: A review of the literature. Indian J Med Paediatr Oncol. 2012;33 (01):1-6
3 Micci F, Panagopoulos I, Bjerkehagen B, Heim S. Consistent rearrangement of chromosomal band 6p21 with generation of fusion genes JAZF1/PHF1 and EPC1/PHF1 in endometrial stromal sarcoma. Cancer Res. 2006;66(01):107-112
4 Lee CH, Nucci MR. Endometrial stromal sarcoma-the new genetic paradigm. Histopathology. 2015;67(01):1-19
5 Brennan C, Kajal D, Khalili K, Ghai S. Solid malignant retroperitoneal masses-a pictorial review. Insights Imaging. 2014;5(01):53-65
Notas
Notas de autor
Address for correspondence: María Alejandra Maestro Durán, MD, As Xubias 84, A Coruña, 15006, España (e-mail: maria.alejandra.maestro.duran@sergas.es).
Declaración de intereses