Signo Radiológico
Signo del macarrón
Macaroni Sign
Recepción: 17 Febrero 2020
Aprobación: 24 Marzo 2020
Publicación: 27 Agosto 2020
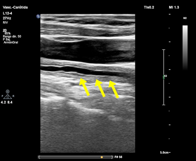
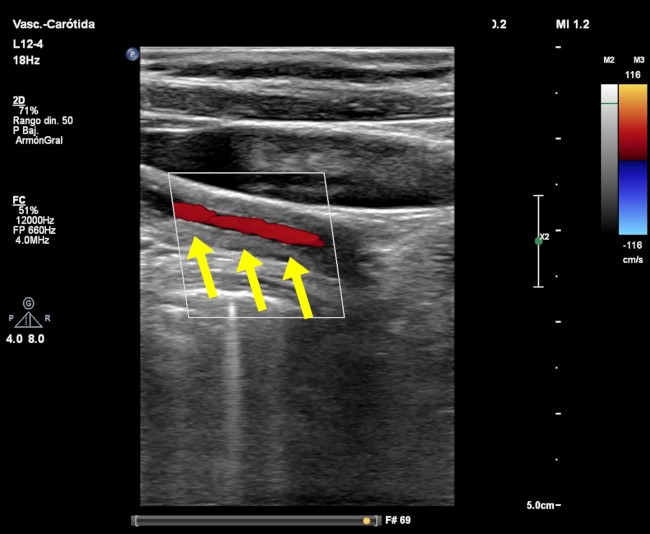
El signo del macarrón fue descrito por primera vez por Hiroaki Maeda en 1991. En su estudio de 23 pacientes con diagnóstico de arteritis de Takayasu (AT), demostró el engrosamiento difuso del complejo mio-intimal con ecografía modo-B en 19 pacientes.1 El engrosamiento parietal homogéneo de la carótida (►Fig. 1 y ►Fig. 2) se asemeja a un tipo de pasta, el macarrón, de característica forma tubular (►Fig. 3).



El análisis de la pared arterial mediante ecografía muestra la presencia de dos líneas ecogénicas paralelas, separadas por un espacio hipoecoico o anecoico. La línea ecogénica interna se corresponde la transición luz-íntima, siendo la línea más externa correspondiente a la interfase media-adventicia. El espacio comprendido entre ambas líneas ecogénicas se corresponde al engrosamiento combinado de la íntima y la media. El engrosamiento difuso y circunferencial de la arteria carótida permite observar el signo del macarrón, que es difícil de reconocer mediante angiografía.2
La AT es una enfermedad vascular idiopática que puede afectar la aorta toracoabdominal y sus ramas principales. Tiene mayor incidencia en mujeres y es más frecuente en el continente asiático.3
La inflamación vascular crónica conduce a un engrosamiento de la adventicia e hiperplasia intimo-medial debido al infiltrado celular. La persistencia de la reacción inflamatoria produce fibrosis de las capas media e íntima resultando en un estrechamiento de la luz arterial y ocasionalmente oclusión, trombosis o formación de aneurismas.
No hay pruebas de imágenes o de laboratorio diagnósticas consideradas gold standard para el diagnóstico de AT. La falta de sensibilidad o especificidad de los métodos, sumada a los síntomas constitucionales inespecíficos, hace que exista una demora en el diagnóstico de la enfermedad.4 Si bien la angiografía con sustracción digital ha sido tradicionalmente el método de elección para el diagnóstico de AT, la misma no permite evaluar los cambios patológicos de la pared arterial. Por otro lado, la ecografía es un método no invasivo y particularmente útil en la evaluación de la arteria carótida, reconociendo un engrosamiento circunferencial y homogéneo de la pared arterial.3
La evaluación ecográfica permite hacer un diagnóstico diferencial con otras arteritis de grandes vasos, como la de células gigantes. Esa última se caracteriza por un curso más agudo que la AT y presenta un engrosamiento mural más hipoecoico debido al edema parietal.
La ecografía modo-B es un método útil para evaluar y detectar cambios patológicos en la pared de la arteria carótida. El engrosamiento difuso y concéntrico del complejo mio-intimal, conformando el signo del macarrón, es un signo específico de AT con afectación carotídea.
Address for correspondence: Marcos Raúl Álvarez, MD, Calle 53 N° 390, La Plata, Buenos Aires, Argentina (e-mail: marcosralva@gmail.com).


