Signo Radiológico
Signo de las líneas de cebra
Zebra Lines Sign
Signo de las líneas de cebra
Revista argentina de radiología, vol. 85, núm. 2, pp. 52-53, 2021
Sociedad Argentina de Radiología
Recepción: 08 Junio 2020
Aprobación: 11 Septiembre 2020
Publicación: 24 Mayo 2020
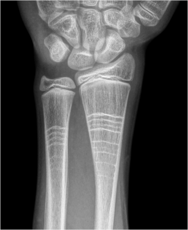
El signo radiológico de las líneas de cebra, se refiere a la aparición de bandas lineales de alta densidad ubicadas en la zona metafisaria de los huesos, paralelas al cartílago de crecimiento, que pueden evidenciarse en el estudio radiológico de los miembros (►Figura 1). Corresponden al reflejo del efecto de los bifosfonatos en el esqueleto en crecimiento y fue descrito en 2007 por Al Muderis y col.1

El tratamiento con bisofosfonatos es utilizado en pediatría para el manejo de entidades patológicas con baja densidad mineral ósea y consecuente aumento de la fragilidad de los huesos. La terapia reduce la frecuencia de fracturas y la deformidad ósea posterior, disminuyendo el dolor y mejorando la movilidad de esos pacientes, en beneficio de su calidad de vida. Tal es el caso de pacientes con osteogénesis imperfecta, síndromes de malabsorción, asma dependiente de corticoides y trastornos neuromusculares.1,2
La acción de los bifofonatos radica en inactivar e inducir la apoptosis de osteoclastos, disminuyendo asimismo su reclutamiento y diferenciación.1 Cuando se administra el medicamento en el esqueleto inmaduro, se forma hueso denso en las metáfisis, que posteriormente con el crecimiento del hueso, se desplazará a la zona diafisaria. El proceso se repite mientras continúen los ciclos de tratamiento, dejando ese aspecto radiológico característico en huesos largos y esqueleto axial.1,2
La interpretación radiológica es simple si el antecedente de administración de bifosfonatos está presente. Una entidad diferencial son las líneas de Park -Harris, llamadas líneas de detención del crecimiento. Se observan en estudios radiológicos como líneas radiodensas paralelas al cartílago de crecimiento en huesos inmaduros que luego migran hacia la diáfisis. Se relacionó su aparición con detenciones temporales del crecimiento en contexto de enfermedad crónica, infección grave o alteración nutricional. A diferencia de las líneas cebra, pueden permanecer en la edad adulta con mayor frecuencia.2,3
En conclusión, el signo de las líneas de cebra, es un hallazgo radiológico llamativo que refiere a la aparición de bandas lineales densas ubicadas en la zona metafisaria de los huesos. Si bien carece de significación clínica, su presencia puede causar confusión, por lo que debe ser conocido por el médico radiólogo. Si, en un paciente con el esqueleto en crecimiento, conocemos el antecedente terapéutico con bifosfonatos cíclicos, el diagnóstico de estas lineas seria simple. De otra manera, diagnósticos diferenciales deberán ser tenidos en cuenta.
Bibliografía
1. Al Muderis M, Azzopardi T, Cundy P. Zebra lines of pamidronate therapy in children. J Bone Joint Surg Am. 2007;89(07): 1511-1516
2. Etxebarria-Foronda I, Gorostiola-Vidaurrazaga L. Líneas cebra: Repercusión radiológica de la acción de los bifosfonatos en el esqueleto inmaduro. Rev Osteoporos Metab Miner. 2013;5(01): 39-41
3. Vázquez I, Masquijo JJ. Líneas de Park-Harris. Rev Argent Radiol. 2014;78(02):120-121
Notas
Notas de autor
Address for correspondence: Juana María Ross, MD, Lavalle 2348 7°C, Mar del Plata, Argentina (e-mail: juanamross@gmail.com).
Declaración de intereses