Artículo Original
Comparación entre las secuencias axiales densidad de protones y T2 en lesiones medulares cervicales de pacientes con esclerosis múltiple
Comparison between Axial Sequences of Proton Density and T2 in Cervical Spinal Lesions of Patients with Multiple Sclerosis
Comparación entre las secuencias axiales densidad de protones y T2 en lesiones medulares cervicales de pacientes con esclerosis múltiple
Revista argentina de radiología, vol. 85, núm. 3, pp. 57-61, 2021
Sociedad Argentina de Radiología
Recepción: 17 Enero 2020
Aprobación: 25 Septiembre 2020
Publicación: 04 Febrero 2021
Resumen
Introducción: Las secuencias ponderaras en T2 con tiempo de eco largo son tradicionalmente usadas para la evaluación de las lesiones de la médula espinal en esclerosis múltiple (EM). Existen otras secuencias, como la densidad de protones (primer eco T2), que pueden ser útiles en el plano axial pero que no se han estudiado lo suficiente. Objetivos Establecer la concordancia entre la densidad de protones (DP) y las secuencias axiales ponderadas en T2 en las lesiones de la médula espinal cervical en pacientes con EM.
Métodos: Se trata de un estudio de concordancia entre secuencias DP y T2 axiales en magneto de 1,5 Tesla en sujetos colombianos. Las imágenes fueron revisadas por dos radiólogos, que determinaron el número de lesiones, así como la intensidad de señal - mediante la relación contraste- ruido (RCR). La comparación se realizó con el coeficiente de correlación y concordancia de Lin.
Resultados: Se evaluaron 56 pacientes, 30,36% hombres y 69,64% mujeres. Se encontraron diferentes números de lesiones entre las secuencias axiales DP vs T2 (210 vs 144), coeficiente de concordancia entre el número de lesiones 0,72 (IC95%: 0,6-0,82, error estándar 0,05, desviación estándar 1,37) y en la conspicuidad -RCR- 0,62 (IC95%: 0,48-0,75, SE 0,05, DE 12,25).
Conclusión: No encontramos concordancia en la evaluación del número o intensidad de la señal entre secuencias axiales DP y T2. Aunque las secuencias ponderadas en T2 son las más utilizadas, investigaciones recientes han demostrado falta de concordancia e incluso superioridad de las secuencias DP en otros planos, lo que sugiere que es necesario realizar estudios para evaluar la efectividad de las secuencias DP en el plano axial.
Palabras clave: esclerosis múltiple+ imagen por resonancia magnética+ médula espinal+ enfermedades desmielinizantes.
Abstract
Introduction: Traditionally, T2 long echo time sequences are used for the evaluation of spinal cord lesions in multiple sclerosis. There are other sequences, like proton density (first echo of T2) that may be useful in the axial plane but have not been sufficiently studied.
Objectives: To establish the agreement between axial PD and T2 sequences in cervical spinal cord lesions in patients with multiple sclerosis.
Methods: This is a concordance study between axial PD and T2 sequences in a 1.5 Tesla magnet. The images were reviewed by two radiologists, who determined the number of lesions and signal intensity with the Contrast to Noise Ratio. The comparison was made with the Lin’s concordance correlation coefficient.
Results: 56 patients were evaluated, 30.36% men and 69.64% women; there were 210 lesions with PD vs 144 with T2, LCC for the number of lesions was 0.72 (95% CI: 0.6-0.82, SE 0.05) and for conspicuity was 0.62 (95% CI: 0.48-0.75, SE 0.05).
Conclusion: This study did not find a satisfactory agreement in the evaluation of the number or signal intensity between PD and T2. Recent research has shown superiority of PD over T2 in other planes, suggesting that further studies are needed to evaluate the effectiveness of PD in the axial plane.
Keywords: multiple sclerosis, magnetic resonance imaging, spinal cord, demyelinating diseases.
Introducción
La esclerosis múltiple (EM), es la enfermedad inflamatoria crónica desmielinizante más común del sistema nervioso central y la principal causa de discapacidad en el adulto joven. Aunque por años se han identificado múltiples causas posibles y factores desencadenantes, hasta el momento su etiología exacta es desconocida.1,2 La relación mujer:hombre es de 2.3-3.5:1 con edad típica de presentación en los 20-45 años.3,4
La prevalencia es variable a nivel mundial, dividiéndola en frecuencia baja (menor de 5/100.000 habitantes), media (5- 30/100.000 habitantes) y alta (mayor de 30/100.000 habitantes), siendo mayor en América del Norte (140/ 100.000 habitantes) y Europa (108/100.000 habitantes) y menor en el África subsahariana (2,1/100.000 habitantes).5,6 La prevalencia en Colombia es de 7,52/100.000 habitantes.7
Su presentación inicial no es específica y puede manifestarse como neuritis óptica, parálisis de pares craneales, ataxia, signos de mielopatía, debilidad de miembros asimétrica, incontinencia urinaria o disfunción eréctil, y presenta curso clínico variable que se clasifica en remitente-recurrente, primaria progresiva, secundaria progresiva y progresiva recurrente.4 En caso de sospecha clínica, se debe evaluar con resonancia magnética (RM) cerebral en búsqueda de lesiones cerebrales, en órbita o medulares compatibles con ese diagnóstico o de diagnósticos diferenciales.8
La RM de la columna está indicada en pacientes con signos clínicos de mielopatía, en curso clínico primario progresivo, en poblaciones en que la EM es poco frecuente (adultos mayores o población no caucásica) o cuando los hallazgos cerebrales no son diagnósticos de EM, dado que las lesiones medulares cervicales no se presentan en el envejecimiento o enfermedad cerebrovascular, son raras en otras enfermedades neurológicas inflamatorias (lupus eritematoso sistémico, sarcoidosis, entre otras), y son útiles para determinar la diseminación en espacio y tiempo según los criterios de McDonald 2017.9,10,11
Tomando en cuenta el buen rendimiento de las secuencias axiales en densidad de protones (DP) en lesiones supratentoriales y en la fosa posterior, la superioridad de las secuencias sagitales en DP respecto a las secuencias ponderadas en T2 en la detección de las lesiones medulares cervicales, y la falta de estudios acerca de la utilidad de las secuencias axiales en DP en lesiones cervicales que justifiquen su inclusión en las recomendaciones del protocolo de RM del Consenso de los Centros de Esclerosis Múltiple (CMSC, por sus siglas en inglés) (►Tabla 1), el objetivo de este trabajo fue conocer la concordancia diagnóstica entre las secuencias axiales DP y T2 en la identificación de lesiones cervicales de EM.12,13,14

Materiales y Métodos
Estudio retrospectivo de concordancia. Se analizaron todos los pacientes atendidos en el período 2014-2016 con diagnóstico de EM por criterios McDonald 2010, quienes contaban con RM de columna cervical realizadas en equipo 1.5 Tesla con protocolo institucional de enfermedad desmielinizante (►Tabla 2) que, por protocolo institucional, incluían secuencias ponderadas en T2 y DP axiales.15

Se consideraron criterios de exclusión RM con artefactos de movimiento que impidieron la valoración de alguna o ambas secuencias de interés, la ausencia de lesiones en la médula cervical o aquellos con lesiones cervicales degenerativas o neoplásicas que imposibilitaran la valoración de la médula.
Las secuencias fueron evaluadas de forma independiente por dos radiólogos, quienes permanecieron ciegos a la información clínica y evaluaron las secuencias con al menos una semana de diferencia.
Se recolectó el número de lesiones en cada secuencia y se evaluó la conspicuidad con la relación contraste-ruido (RCR) en cada secuencia utilizando la siguiente fórmula:16

,donde Ilesion es la intensidad de señal de la lesión, Imedula es la intensidad de señal de la médula cervical alrededor de la lesión y DEaire es la desviación estándar del ruido medido en el aire.
Análisis
La información descriptiva se presentó en frecuencias, valores absolutos y medidas de tendencia central y dispersión de acuerdo con la naturaleza y distribución de los datos.
Las concordancias inter e intraobservador fueron evaluadas con el coeficiente de correlación y concordancia de Lin.
Todos los resultados fueron expresados con su respectivo IC del 95% (IC 95%). Los datos se analizaron con el programa estadístico STATA 14®.
De acuerdo con el diseño del estudio y fuentes de información secundarias, el estudio se considera como investigación sin riesgo según la resolución 8.430 de 1993 de Colombia y se desarrolla bajo las recomendaciones de la declaración de Helsinki. Fue aprobado por el Comité de Ética en Investigación de nuestra institución.
Resultados
Entre 2014 y 2016, se realizaron 56 RM que cumplieron los criterios de selección. Entre los casos analizados, 17 (30,36%) fueron hombres y 39 (69,64%) mujeres; la edad media fue de 39,37 años (DE ± 10,8). Se excluyó un estudio en que los evaluadores no identificaron lesiones cervicales en ninguna de las secuencias evaluadas.
El número de lesiones identificado fue diferente entre las secuencias ponderadas en DP y T2 (210±2,6 vs 144±1,8, promedio por RM de 3,75 vs 2,57), con coeficiente de concordancia de 0,72 (IC95%: 0,6-0,82, SE 0,05, DE 1,37).
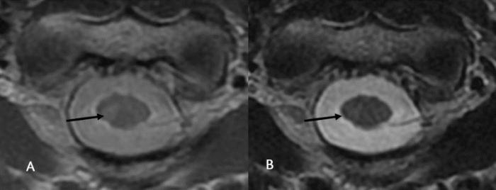
La mediana de la RCR en secuencias ponderadas en DP fue de 5,43 y de 2,97 en secuencias ponderadas en T2, con coeficiente de concordancia de 0,62 (IC95%: 0,48-0,75, SE 0,05 DE 12,25) (►Fig. 1).

La concordancia interobservador fue satisfactoria de 0,91 (IC 95% 0,87-0,96, SE 0,02) (►Tabla 3).

Discusión
Este estudio demuestra que no existe una adecuada concordancia entre las secuencias ponderadas en DP y T2 en el plano axial en términos de número y conspicuidad de las lesiones medulares cervicales en pacientes con EM (►Fig. 2).

Este es el primer estudio que compara las secuencias ponderadas en T2 y DP en el plano axial, con resultados que sugieren la superioridad de secuencias diferentes a las ponderadas en T2 para la evaluación de las lesiones medulares en EM, lo cual es consistente con las publicaciones más recientes. Nayak y col.,17 publicaron en 2014 un estudio de concordancia cuyo objetivo era demostrar que la secuencia STIR es superior a las T2 en términos de conspicuidad, utilizando una escala subjetiva con la que evidenciaron que las lesiones medulares cervicales fueron mejor detectadas en las secuencias STIR (3,08 vs 1,37, p < 0,005). En ese mismo sentido, Chong y col,13 compararon en 2015 secuencias ponderadas en DP y T2 en el plano sagital en lesiones cervicales, encontrando 32% más lesiones en las secuencias ponderadas en DP respecto a las T2 (n = 181 vs 137, p < 0.001), donde en 19% de los pacientes, al menos una lesión detectada en la secuencia ponderada en DP sagital y confirmada en el plano axial, no era visualizada en la secuencia ponderada en T2.
Esos hallazgos pueden asociarse con que las secuencias ponderadas en DP producen menores artificios de susceptibilidad al flujo por pulsatilidad del líquido cefalorraquídeo respecto a las secuencias ponderadas en T2- Fluid Attenuated Inversion Recovery (FLAIR), y una mejor diferenciación de la sustancia gris y blanca intramedular, lo que explica la mayor conspicuidad evidenciada en nuestro estudio.12
Los hallazgos descritos son relevantes, dado que en las recomendaciones de RM de seguimiento en el segmento cervical de la médula espinal en EM, en el plano axial únicamente mencionan las secuencias ponderadas en T2 y, teniendo en cuenta la falta de concordancia encontrada, es necesario considerar si con la precisión diagnóstica descrita de la secuencia T2, sensibilidad entre 50,9% y 64%, y especificidad al 98%, ese es realmente el mejor método disponible o si, por el contrario, hay posibilidades de estar retrasando el diagnóstico de placas cervicales nuevas y, con ello, cambios terapéuticos, especialmente en los pacientes con cargas lesionales bajas, en los que la visualización de placas es importante para el diagnóstico y pronóstico.14,18,19
Este es uno de los primeros estudios que compara las secuencias descritas en el plano axial, resaltando la importancia de evaluar los diferentes planos en la examinación sistemática de los pacientes con EM y la descripción en ese plano (axial), dado que brinda información adicional sobre las características y extensión de las lesiones.
El estudio tiene algunas limitaciones. Por un lado, es un estudio retrospectivo en pacientes con diagnóstico según criterios 2010, donde las secuencias se revisaron sin contar con resultados de patología como estándar de referencia. Por otro lado, aunque se utilizó la secuencia sagital STIR para el conteo de las lesiones, ella no fue evaluada en el plano axial por no formar parte del protocolo institucional, y tampoco se realizó la evaluación de la columna torácica teniendo en cuenta la menor carga de enfermedad que presentan los pacientes con EM en ese segmento.
Conclusiones
Este estudio demuestra que no existe concordancia entre las secuencias axiales ponderadas en DP y T2, y podría existir un mejor rendimiento de la secuencia ponderada en DP en este plano.
La evidencia actual respecto a la evaluación de placas cervicales en pacientes con EM indica que no existen datos suficientes para respaldar el uso de la secuencia ponderada en T2 como secuencia única en el plano sagital y, como se sugiere en este estudio, tampoco en el plano axial, por lo que se hace necesario realizar estudios enfocados a la evaluación de la precisión diagnóstica en el plano axial de la secuencia ponderada en DP.
Referencias
1. Murray TJ. Diagnosis and treatment of multiple sclerosis. BMJ. 2006;332(7540):525-527
2. Ghasemi N, Razavi S, Nikzad E. Multiple Sclerosis: Pathogenesis, Symptoms, Diagnoses and Cell-Based Therapy. Cell J. 2017;19 (01):1-10
3. Harbo HF, Gold R, Tintoré M. Sex and gender issues in multiple sclerosis. Ther Adv Neurol Disorder. 2013;6(04):237-248
4. Goldenberg MM. Multiple sclerosis review. P&T. 2012;37(03): 175-184
5. Kurtzke JF. A reassessment of the distribution of multiple sclerosis. Acta Neurol Scand. 1975;51(02):137-157
6. Howard J, Trevick S, Younger DS. Epidemiology of Multiple Sclerosis. Neurol Clin. 2016;34(04):919-939
7. Jiménez-Pérez C, Zarco-Montero L, Castañeda-Cardona C, Otálora-Esteban M, Martínez A, Rosselli D. Estado actual de la esclerosis múltiple en Colombia. Acta Neurol Colomb. 2015;31 (04):385-390
8. Brownlee WJ, Hardy TA, Fazekas F, Miller DH. Diagnosis of multiple sclerosis: progress and challenges. Lancet. 2017;389 (10076):1336-1346
9. Thompson AJ, Banwell BL, Barkhof F, Carroll WM, Coetzee T, Comi G, et al. Diagnosis of multiple sclerosis: 2017 revisions of the McDonald criteria. Lancet Neurol. 2018;17(02):162-173
10. Bot JCJ, Barkhof F, Polman CH, Lycklama à Nijeholt GJ, de Groot V, Bergers E, et al. Spinal cord abnormalities in recently diagnosed MS patients: added value of spinal MRI examination. Neurology. 2004;62(02):226-233
11. Lycklama G, Thompson A, Filippi M, Miller D, Polman C, Fazekas F, et al. Spinal-cord MRI in multiple sclerosis. Lancet Neurol. 2003;2 (09):555-562
12. Schmidt C, Hattingen E, Faehndrich J, Jurcoane A, Porto L. Detectability of multiple sclerosis lesions with 3T MRI: a comparison of proton density-weighted and FLAIR sequences. J Neuroradiol. 2012;39(01):51-56
13. Chong AL, Chandra RV, Chuah KC, Roberts EL, Stuckey SL. Proton Density MRI Increases Detection of Cervical Spinal Cord Multiple Sclerosis Lesions Compared with T2-Weighted Fast Spin-Echo. AJNR Am J Neuroradiol. 2016;37(01):180-184
14. Traboulsee A, Simon JH, Stone L, Fisher E, Jones DE, Malhotra A, et al. Revised Recommendations of the Consortium of MS Centers Task Force for a Standardized MRI Protocol and Clinical Guidelines for the Diagnosis and Follow-Up of Multiple Sclerosis. AJNR Am J Neuroradiol. 2016;37(03):394-401
15. Polman CH, Reingold SC, Banwell B, Clanet M, Cohen JA, Filippi M, et al. Diagnostic criteria for multiple sclerosis: 2010 revisions to the McDonald criteria. Ann Neurol. 2011;69(02):292-302
16. Hittmair K, Mallek R, Prayer D, Schindler EG, Kollegger H. Spinal cord lesions in patients with multiple sclerosis: comparison of MR pulse sequences. AJNR Am J Neuroradiol. 1996;17(08):1555-1565
17. Nayak NB, Salah R, Huang JC, Hathout GM. A comparison of sagittal short T1 inversion recovery and T2-weighted FSE sequences for detection of multiple sclerosis spinal cord lesions. Acta Neurol Scand . 2014;129(03):198-203
18. Martin N, Malfair D, Zhao Y, Li D, Traboulsee A, Lang D, et al. Comparison of MERGE and axial T2-weighted fast spin-echo sequences for detection of multiple sclerosis lesions in the cervical spinal cord. AJR Am J Roentgenol. 2012;199(01):157-162
19. Alcaide-Leon P, Pauranik A, Alshafai L, Rawal S, Oh J, Montanera W, et al. Comparison of Sagittal FSE T2, STIR, and T1-Weighted Phase-Sensitive Inversion Recovery in the Detection of Spinal Cord Lesions in MS at 3T. AJNR Am J Neuroradiol. 2016;37(05):970-975
Notas
Notas de autor
Address for correspondence: Cherina Herazo Bustos, Calle 23 n°66-46, Bogotá, Colombia (e-mail: cherihb4@hotmail.com)
Declaración de intereses