Resumen
Objetivo: Evaluar la capacidad diagnóstica de los signos radiológicos y su aplicabilidad para el diagnóstico de disección aórtica (DA). Establecer un valor de corte para el ensanchamiento mediastínico izquierdo en la DA y determinar su sensibilidad (S) y especificidad (E).
Método: Se incluyeron 39 pacientes a los que se realizó angiotomografía de aorta torácica por sospecha clínica de DA, en un instituto cardiovascular de alta complejidad, del 1 de agosto de 2018 al 1 de febrero de 2019. Se realizaron radiografías de tórax de frente a todos los pacientes.
Resultados: el 72% de los pacientes eran hombres. El promedio de edad fue de 63 años. La hipertensión arterial fue el factor de riesgo cardiovascular más común. El 43% de los pacientes tuvieron DA, el 76% fueron de tipo B. La media del ancho mediastínico máximo mostró una diferencia de 1,5 cm entre los pacientes con DA y sin DA. En cambio, la diferencia fue de 2 cm para el ancho mediastínico izquierdo. El ensanchamiento mediastínico máximo y del mediastino izquierdo fueron signos estadísticamente significativos; este último con muy buena capacidad diagnóstica (área bajo la curva: 0,84). Se calculó un punto de corte para el ancho mediastínico izquierdo de 5,39 cm (S: 82%; E: 77%). El ensanchamiento del botón aórtico, aorta ascendente/descendente o asimetría entre ambas también fueron signos estadísticamente significativos.
Conclusiones: Los signos radiológicos para el diagnóstico de DA fueron validados. Se calculó un punto de corte para el ancho mediastínico izquierdo de 5,39 cm, con buena capacidad diagnóstica.
Palabras clave: Disección aórtica, Enfermedades aórticas, Radiografía, Diagnóstico por imágenes, Tomografía computada.
Abstract
Objective: To evaluate the diagnostic capacity of the radiological signs for aortic dissection (AD) and their applicability for the diagnosis, as well as to establish a cut-off value for left mediastinal width in AD and determine its sensitivity (S) and specificity (E).
Method: From a high complexity cardiovascular institute, 39 patients were selected and chest X-rays were performed from August 1, 2018 to February 1, 2019. Selection criteria involved those who underwent computed tomography angiography of thoracic aorta for clinical suspicion of AD.
Results: Within the sample, 72% were men (mean 63 years old), with hypertension as a most common risk factor. 43% of the patient had AD, 76% were type B. The mean maximum mediastinal width showed a difference of 1.5 cm between patients with AD and those without it. In contrast, the difference was 2 cm for the left mediastinal width. Maximum mediastinal width and left mediastinal width were statistically significant signs. Left mediastinal width presented good diagnostic capacity (area under the curve: 0.84). Cut-off point of 5.39 cm for the left mediastinal width was calculated (S: 82%; E: 77%). Finally, widening of the aortic knob, ascending/descending aorta or asymmetry between both showed to be statistically significant signs.
Conclusions: Radiological signs for the diagnosis of AD was validated. Also, a cut-off point for the left mediastinal width of 5.39 cm was found with a very good diagnostic capacity.
Keywords: Aortic dissection, Aortic diseases, Radiography, Diagnostic imaging, Computed tomography.
Artículo Original
Disección aórtica: verdadero valor diagnóstico de la radiografía de tórax
Aortic dissection: True diagnostic value of thorax X-ray
Recepción: 24 Septiembre 2019
Aprobación: 20 Diciembre 2020
Publicación: 04 Abril 2022
La disección aórtica (DA) aguda es una emergencia médica potencialmente mortal asociada con altas tasas de morbilidad y mortalidad. La incidencia estimada de DA es de 5-30 casos por millón de personas por año en todo el mundo, con una incidencia anual de 3-4 por 100.000 personas en el Reino Unido y los Estados Unidos, lo que la convierte en la enfermedad aguda más común de la aorta1,2,3,4,5. Se trata de una situación clínica crítica cuyo pronóstico suele depender de un diagnóstico certero y rápido, así como de la instauración temprana de su tratamiento.
En los últimos 20 años se han desarrollado nuevos métodos para la obtención de imágenes (angiografía por tomografía computada [angio-TC], resonancia magnética, ecografía cardiovascular y angiografía), que han aumentado la posibilidad de examinar la aorta con más detalle que utilizando la radiografía (Rx) de tórax. La angio-TC tiene una precisión excelente para el diagnóstico de la luz falsa y la luz verdadera, así como para la localización y la extensión de la DA, siendo una alternativa muy válida para la valoración inicial de los pacientes con sospecha de DA6.
Sin embargo, en la mayoría de los centros, la Rx de tórax sigue siendo la modalidad de imagen inicial y la más accesible para realizar cuando se plantea la sospecha de DA. No solo puede mostrar signos compatibles, sino también apoyar la necesidad de realizar otra prueba de imagen para confirmar el diagnóstico o identificar otras causas de dolor torácico.
Los signos radiográficos clásicamente descritos que sugieren DA son el borramiento o el ensanchamiento del botón aórtico, una distancia mayor de 6 mm entre una calcificación intimal y el contorno externo de la pared aórtica, el ensanchamiento mediastínico máximo, el ensanchamiento del mediastino izquierdo y el ensanchamiento de la aorta ascendente o descendente, o una asimetría entre ambas7,8.
La anchura mediastínica media según la literatura9 es de 6,31 cm.
La separación entre la calcificación intimal y el contorno externo aórtico mayor de 6 mm es un signo muy referido en la literatura, aunque muy poco específico10.
Otros hallazgos radiográficos que respaldan el diagnóstico de DA son el derrame pleural (generalmente izquierdo), el derrame pericárdico y la desviación de la tráquea a la derecha8,11.
Uno de los objetivos primarios de este trabajo es evaluar la capacidad diagnóstica de los signos radiológicos clásicamente descritos (borramiento o ensanchamiento del botón aórtico, distancia mayor de 6 mm entre una calcificación intimal y el contorno externo de la pared aórtica, ensanchamiento mediastínico máximo, ensanchamiento del mediastino izquierdo, ensanchamiento de la aorta ascendente o descendente, o asimetría entre ambas, derrame pleural [generalmente izquierdo], derrame pericárdico, desviación de la tráquea a la derecha) y su aplicabilidad a nuestra población para el diagnóstico de DA en relación con los hallazgos de la angio-TC (método de referencia).
En la literatura se encuentran numerosos trabajos que describen los signos radiológicos observados en la DA. Sin embargo, los puntos de corte y la sensibilidad (S) y la especificidad (E) de estos tienen una gran variabilidad8,10.
Si bien la medición del ancho mediastínico máximo ha sido el criterio más utilizado a lo largo del tiempo para el diagnóstico de DA, se logra una mejor especificidad con el uso del ancho mediastínico izquierdo8,10. Por este motivo, otro objetivo primario del trabajo es establecer un valor de corte para el ensanchamiento mediastínico izquierdo en la DA aplicable a nuestra población y determinar su sensibilidad y especificidad.
Un objetivo secundario del trabajo es establecer los factores de riesgo cardiovasculares en la población estudiada (hipertensión arterial, diabetes, dislipidemia, tabaquismo) y su distribución en porcentajes.
Estudio observacional, analítico, transversal.
Se incluyeron 39 pacientes a los que se realizó angio-TC de aorta torácica por sospecha clínica de DA: dolor torácico intenso, de comienzo súbito, de carácter desgarrante, de tipo pulsátil, migratorio siguiendo el sentido de la disección, localizado en la cara anterior del tórax, el cuello y la mandíbula cuando la DA está en la aorta proximal, o localizado en la zona interescapular y el abdomen si la DA es distal, acompañado de déficit de pulsos, signos de shock cardiogénico (con presión arterial conservada o alta, o con desarrollo de insuficiencia valvular aórtica aguda, o hemopericardio con taponamiento cardiaco, o extensión del colgajo de disección a arterias coronarias con infarto agudo de miocardio, o evolución a dilatación aneurismática aguda del falso lumen, complicado con rotura y hemotórax o hemoperitoneo, según el sitio de complicación), en un instituto cardiovascular de alta complejidad, centro de derivación imagenológico y quirúrgico, durante el periodo entre el 1 de agosto de 2018 y el 1 de febrero de 201912.
Todos los pacientes contaban con Rx de tórax de frente en bipedestación o posición sentada. En un estudio en que se evaluó la precisión diagnóstica de la Rx simple de tórax de frente realizada en la cama del paciente en comparación con la Rx de tórax en bipedestación, no se vio afectada su sensibilidad para el diagnóstico de enfermedad aórtica8.
El número de pacientes sin y con DA se confirmó mediante angio-TC de aorta.
Pacientes mayores de 18 años con sospecha clínica de DA a quienes se realizó angio-Tc de aorta torácica y Rx de tórax de frente en nuestra institución, con consentimiento informado para formar parte de este estudio.
Pacientes con estudios incompletos o con una técnica inadecuada en relación con el protocolo establecido de angio-TC de aorta.
Pacientes con Rx de tórax con mala técnica radiológica que dificulta su interpretación diagnóstica y la correcta valoración de los signos radiológicos.
Pacientes que consultaron por trauma.
El estudio se llevó a cabo en un tomógrafo Siemens Somatom Definition Edge Dual Energy de 128 canales con protocolo de angio-TC de aorta con bomba de inyección de contraste de doble cabezal.
Se realizó venoclisis periférica mediante Abbocath 18 a 20. Posteriormente se localizó la zona a estudiar, sin contraste intravenoso, con un campo de visión de 36 cm, miliamperaje automático para proporcionar la dosis necesaria a cada paciente (entre 100 y 500 mA) y 120 kV, corte de 0,625 mm y rotación de tubo de 0,28 segundos. El sentido de la exploración fue caudo-craneal, en apnea inspiratoria.
Se realizó un protocolo de adquisición denominado Test Bolus para poder visualizar la llegada del medio de contraste a la altura de la aorta ascendente. Posteriormente se inyectó un bolo de 50-70 ml (hasta 2 ml/kg) de medio de contraste yodado, por vía intravenosa, seguido de un bolo de solución salina (50% del medio de contraste).
El posprocesamiento de los datos se realizó en la estación de trabajo de Siemens Syngovia con software de análisis vascular.
Pacientes en bipedestación, telerradiografía de tórax de frente en proyección posteroanterior, a 1,8 m de distancia tubo-película, en apnea inspiratoria, con 75 kV y 200 mA, y un tiempo de exposición aproximado de 40 décimas de segundo, ajustado al hábito constitucional del paciente. Se utilizó un equipo de rayos X General Electric Silhouette VR. En los pacientes que no podían permanecer en posición de bipedestación, se realizó en posición sentada a 90° en proyección anteroposterior, a 1,2 metros de distancia tubo-película, con un equipo de rayos X Philips MobileDiagnost WDR.
Los signos radiológicos analizados fueron:
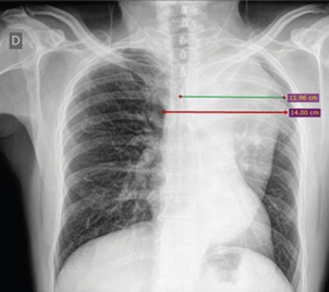
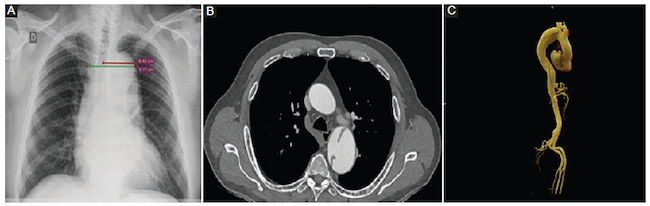
Ancho mediastínico máximo: definido por la distancia máxima del borde lateral derecho al borde lateral izquierdo del mediastino superior a nivel del botón aórtico (Figs. 1 y 2).
Ancho mediastínico izquierdo: definido por la distan-cia máxima tomada desde la línea media de la tráquea al borde lateral izquierdo del mediastino a nivel del cayado aórtico (Figs. 1 y 2).
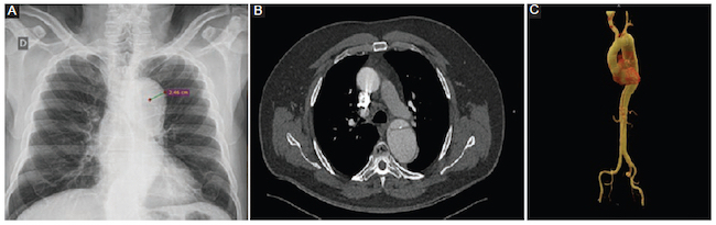
Distancia entre una calcificación intimal y el contorno externo de la pared aórtica mayor de 6 mm (Fig. 3).
Borramiento o ensanchamiento del botón aórtico, evaluado subjetivamente.
Ensanchamiento de la aorta ascendente o descen-dente, o marcada asimetría entre los diámetros de estas dos.
Derrame pleural izquierdo.
Derrame pericárdico.
Desviación de la tráquea a la derecha.



Todas las angio-TC y Rx de tórax fueron analizadas de manera independiente y cegadas de los datos clínicos y del diagnóstico definitivo por un médico cardiólogo del servicio de diagnóstico por imágenes, subespecialista en imágenes cardiovasculares, con 12 años de experiencia.
El diagnóstico tomográfico de DA se realizó teniendo en cuenta los siguientes criterios: presencia de colgajo de disección, desplazamiento interno de las calcificaciones de la íntima, colgajo de la íntima visible, evaluación de la presencia de complicaciones (rotura hacia mediastino-pleura-pericardio, extensión y compromiso de ramas principales). Se clasificó la DA, según los criterios de Stanford, en tipo A (con involucro de la aorta ascendente) o tipo B (distal a la arteria subclavia izquierda)
En el análisis estadístico se utilizaron frecuencias o porcentajes para describir las variables cualitativas categóricas, y medias y desvío estándar para las variables cuantitativas.
Se evaluaron 39 pacientes, el 28% mujeres (n = 11) y el 72% hombres (n = 28), con un promedio de edad de 63 años (rango: 26 a 87 años) (Fig. 4).

La hipertensión arterial fue el factor de riesgo cardiovascular que se presentó con mayor frecuencia en la población estudiada, en el 94% (n = 37) del total de los pacientes estudiados, seguida de la dislipidemia en el 38% (n = 15), el tabaquismo en el 33% (n = 13) y por último la diabetes en el 15% (n = 6) (Fig. 5)

El 43% (n = 17) de los 39 pacientes tuvieron DA, de las cuales el 76% (n = 13) fueron tipo B (Fig. 6).

La media de edad en los pacientes con DA fue de 56 años, mientras que para aquellos sin DA fue de 67 años (Tabla 1).

Las mediciones del aumento del ancho mediastínico máximo y del ancho mediastínico izquierdo fueron estadísticamente significativas (p = 0,027 y p = 0,0001, respectivamente, según la prueba U de Mann-Whitney) para el diagnóstico de DA (Tabla 2).

Se calculó una media para el ancho mediastínico máximo de 9,6 cm y para el ancho mediastínico izquierdo de 7 cm en pacientes con DA. En los pacientes sin DA, la media del ancho mediastínico máximo fue de 8,1 cm y la del ancho mediastínico izquierdo de 5 cm (Tabla 3).

El ensanchamiento del botón aórtico se evidenció en el 36% de los pacientes sin DA y en el 64% de los pacientes con DA. El ensanchamiento de la aorta ascendente o descendente, o la asimetría entre ambas, se observó en el 33,3% de los pacientes sin DA y en el 66,7% de los pacientes con DA. Ambos fueron signos estadísticamente significativos (p = 0,001 y p = 0,0001, respectivamente) (Tabla 4).

Por otro lado, el derrame pleural izquierdo (p = 0,315), el desplazamiento de las calcificaciones parietales a una distancia mayor de 6 mm (p = 0,216) y la desviación de la tráquea a la derecha (p = 0,361) no fueron estadísticamente significativos para el diagnóstico (Tabla 4).
Se calculó el área bajo la curva ROC (Receiver Operating Characteristic) para el ancho mediastínico izquierdo, con un resultado de 0,84, lo que determina una buena capacidad diagnóstica del signo; hallazgo estadísticamente significativo (p < 0,001). El área bajo la curva para el ancho mediastínico máximo fue de 0,70 (Fig. 7).

Por último, se estableció un punto de corte (mediante el índice de Youden) del ancho mediastínico izquierdo de 5,39 cm para el diagnóstico de DA en la población estudiada, con una sensibilidad del 82% y una especificidad del 77%. Otro punto de corte con mayor sensibilidad (94%), aunque con menor especificidad (63%), es el de 4,9 cm. Intervalos de confianza de 95%: 7,01 mm (6,13-7,89) para el punto de corte entre 4,9 y 5,39.3
Los pacientes con DA tuvieron una media de 11 años menos que los pacientes sin DA.
La media del ancho mediastínico máximo mostró una diferencia de 1,5 cm entre los pacientes con DA y los que no tenían DA. En cambio, la diferencia fue de 2 cm para el ancho mediastínico izquierdo.
Dentro de los signos radiológicos que avalan el diagnóstico de DA, la medición del ensanchamiento mediastínico máximo y el ancho mediastínico izquierdo mostraron ser estadísticamente significativos.
En la literatura se encuentra un valor de corte para el ancho mediastínico máximo entre 7,3 y 9,4 cm, con una sensibilidad del 64-90% y una especificidad del 80-88,3%8,9,10. Si bien la medición del ancho mediastínico máximo ha sido el criterio más utilizado a lo largo del tiempo para el diagnóstico de DA, se logra una mejor especificidad con el uso del ancho mediastínico izquierdo (S: 76-90%; E: 65-90%), con valores de corte entre 4,9 y 5,4 cm8,9,10. En este trabajo se estableció un punto de corte para el ancho mediastínico izquierdo en la población estudiada de 5,39 cm (S: 82%; E: 77%). No obstante, otro punto de corte con más alta sensibilidad, aunque menor especificidad (S: 94%; E: 63%), fue de 4,9 cm, y puede aplicarse según criterio del médico tratante en cada paciente en particular. Esta medición mostró buena capacidad diagnóstica (área bajo la curva: 0,84), hallazgo que fue estadísticamente significativo (p < 0,001), en comparación con el ancho mediastínico máximo (área bajo la curva: 0,70). Estos resultados coinciden con la literatura actual, siendo ya conocida la mejor capacidad diagnóstica del ancho mediastínico izquierdo con respecto al ancho mediastínico máximo.
Por otro lado, el ensanchamiento del botón aórtico, así como el ensanchamiento de la aorta ascendente o descendente, o la evidencia de asimetría entre los diámetros de ambas, mostraron también ser signos estadísticamente significativos para el diagnóstico.
Los demás signos radiológicos (derrame pleural izquierdo, desviación de la tráquea a la derecha y desplazamiento de las calcificaciones de la pared aórtica) no fueron estadísticamente significativos, por lo que su presencia o ausencia no se consideró diagnóstica ante la sospecha de DA. Así, por ejemplo, el aparente desplazamiento de una calcificación de la íntima puede ser un artefacto producido por una calcificación en la parte anterior del arco aórtico proyectado sobre la aorta descendente.
Dentro de las limitaciones del estudio cabe mencionar que fue realizado en un único centro y con un bajo número de pacientes. Otra limitación es la variabilidad de la calidad y vista radiográfica, que podría haber influido en la evaluación y la medición precisas de los parámetros. Esto sería particularmente problemático con la técnica radiográfica de tórax anteroposterior en posición sentada a 90°, ya que podría ser difícil mantener la misma distancia foco-película.
Los signos radiológicos clásicamente descritos para el diagnóstico de DA fueron validados para el grupo de pacientes estudiados.
Hubo diferencias estadísticamente significativas en las medidas del ancho mediastínico máximo y el ancho mediastínico izquierdo entre los pacientes que tenían DA y los que no la tenían.
Se calculó un punto de corte para el ancho mediastínico izquierdo de 5,39 cm, con una sensibilidad del 82% y una especificidad del 77%, medición que presentó muy buena capacidad diagnóstica para la DA.
Correspondencia: María C. Scarpino E-mail: scarpinocarla@gmail.com










