Resumen: Las lesiones que simulan tumores en el sistema musculoesquelético se definen como lesiones no neoplásicas benignas que pueden confundirse, tanto por la clínica como radiológicamente, con neoplasias. La etiología y las localizaciones anatómicas de las lesiones son variables, desde variantes normales hasta lesiones traumáticas, inflamatorias o metabólicas. Con un adecuado interrogatorio, una exhaustiva exploración física y una apropiada selección de métodos por imágenes, se pueden diferenciar las lesiones tumorales de las no tumorales. En los casos en que no se logra certeza diagnóstica se debe recurrir a la biopsia para descartar malignidad. Se analizan ocho casos del Comité de Tumores Óseos y Partes Blandas de nuestra institución con diagnósticos presuntivos de lesiones tumorales y biopsias negativas para células neoplásicas. La etiología de las lesiones de los ocho pacientes fue calcificación heterotópica con esclerosis ósea, lesión por estrés, hematoma organizado, absceso, infiltración de médula ósea con área respetada, remodelación ósea, cambios reparativos y esteatonecrosis.
Palabras clave: Tumor óseo, Tumor de tejidos blandos, Diagnóstico por imágenes.
Abstract: Tumor mimicking lesions in the musculoskeletal system are defined as benign non-neoplastic entities that may be clinically and/or radiologically confused with neoplasms. The etiology and anatomical locations of these lesions vary from normal variants to traumatic, inflammatory or metabolic lesions. With adequate interrogation, physical examination and appropriate selection of imaging methods, tumor lesions can be differentiated from non-tumor lesions. In cases where diagnostic certainty is not achieved, biopsy should be used to rule out malignancy. We analyzed eight cases from the Bone and Soft tissue Tumors Committee in our institution with presumptive diagnosis of tumor lesions and negative biopsies for neoplastic cells. We found eight patients being these lesions heterotopic calcification with bone sclerosis, stress injury, organized hematoma, abscesses, bone marrow infiltration with respected area, bone remodeling, reparative changes and steatonecrosis.
Keywords: Bone neoplasms, Soft tissue neoplasms, Diagnostic imaging.
Ensayo Iconográfico
Lesiones no neoplásicas que simulan tumores del sistema musculoesquelético
Non-neoplastic lesions that simulate tumors of the musculoskeletal system
Recepción: 21 Agosto 2019
Aprobación: 11 Julio 2020
Publicación: 04 Abril 2022
Existen numerosas lesiones no tumorales que pueden presentar características similares a las de lesiones neoplásicas en los estudios por imagen. Para diferenciarlas, es necesaria la información clínica y la selección adecuada de la modalidad de estudio por imágenes1. En este trabajo se hace una revisión de aquellos pacientes pertenecientes al Comité de Tumores Óseos y Partes Blandas de nuestra institución con sospecha de lesiones tumorales que resultaron ser lesiones no neoplásicas con biopsias negativas para malignidad.
Se estudiaron ocho casos de pacientes del Comité de Tumores Óseos y Partes Blandas de nuestra institución, presentados entre enero de 2012 y diciembre de 2018, con diagnósticos sugestivos de lesiones tumorales en estudios de imágenes y resultado de biopsia negativo para células neoplásicas.
A continuación, se presentan los ocho casos.
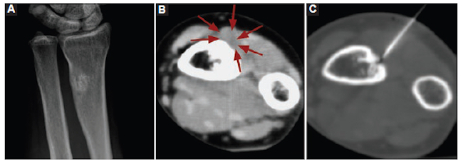
Mujer de 24 años que consultó por dolor continuo y progresivo en el antebrazo derecho de 8 años de evolución. En la exploración física no se hallaron masas palpables. La radiografía (Rx) evidenció esclerosis irregular en la diáfisis distal del radio derecho y la tomografía computada (TC) identificó un tejido de densidad de partes blandas adyacente. Si bien se consideró un posible origen traumático, entre los diagnósticos diferenciales se mencionaron también lesiones agresivas como el osteosarcoma perióstico, el osteosarcoma superficial y el condroma perióstico. Por consiguiente, se solicitó biopsia guiada por TC (Fig. 1).

El resultado de la biopsia fue tejido fibroconectivo y hueso compacto sin evidencia de células atípicas. Los resultados fueron interpretados por la clínica y radiológicamente como calcificación heterotópica y esclerosis ósea.
Mujer de 18 años con omalgia derecha postraumática de meses de evolución. En la Rx de hombro derecho se informó una dudosa imagen radiolúcida en el troquín, de características indeterminadas. En el centellograma óseo se observaron dos focos de hipercaptación, uno epifisario y otro en la apófisis coracoides. El informe de resonancia magnética (RM) sugirió una lesión traumática, pero no descartó otro origen. Ante la duda diagnóstica, se procedió a realizar una biopsia bajo TC (Fig. 2).

El resultado anatomopatológico informó cambios reparativos. La conclusión diagnóstica fue lesión por estrés.
Varón de 50 años con antecedentes de diabetes que se internó por neumonía y presentó también una tumoración en la pierna derecha, de crecimiento lento, sin recordar ningún episodio traumático. La RM informó lesión de aspecto tumoral, considerando el sarcoma de partes blandas como principal diagnóstico diferencial, y se sugirió su biopsia. El resultado de la biopsia guiada por ecografía informó material fibrinoide con escasa cantidad de células. Ante la imposibilidad de descartar una neoplasia, se realizó resección quirúrgica con márgenes oncológicos (Fig. 3).

El resultado de anatomía patológica evidenció un hematoma organizado. El paciente evolucionó clínicamente estable y se le otorgó el alta hospitalaria.
Varón de 16 años que consultó por un cuadro clínico de 3 días de evolución caracterizado por dolor, edema e impotencia funcional en el miembro inferior izquierdo, y fiebre. Como antecedente, había sufrido una caída de su propia altura realizando deporte. Se realizaron Rx y posteriormente RM, la cual informó una masa en el hueco poplíteo de características tumorales. Por su aspecto, el principal diagnóstico considerado fue el de fibromatosis agresiva. Se realizó punción-biopsia guiada por ecografía (Fig. 4).

Durante el procedimiento se evacuó contenido purulento y el resultado de la anatomía patológica informó un proceso inflamatorio agudo por Staphylococcus aureus resistente a la meticilina.
Varón de 38 años con antecedentes de mastocitosis sistémica asintomática comprobada por biopsia de cresta ilíaca en 2015. Consultó por omalgia izquierda de 1 mes de evolución. Con sospecha de tendinitis, en otro centro se le realizó una RM que evidenció una lesión ósea de señal adiposa en el húmero proximal. Para una mejor caracterización, se completó el estudio en nuestra institución con empleo de contraste intravenoso. No se observó realce de la lesión. Se planteó la posibilidad de que consistiera en una infiltración difusa de la médula ósea y área respetada por el proceso sistémico (Fig. 5).

En posteriores controles a los 6 y 14 meses no hubo modificaciones en cuanto a las características ni el tamaño del hallazgo, comprobando la hipótesis propuesta.
Mujer de 74 años con antecedentes de osteoporosis, hipercalciuria y cirugía del manguito rotador 8 años atrás. Consultó por omalgia derecha de 3 meses de evolución. Realizó terapia física con escasa respuesta y la posterior RM informó un tumor intraóseo de estirpe condral en el húmero proximal. Se realizó biopsia diagnóstica (Fig. 6).

El resultado de la biopsia guiada bajo TC fue de hueso trabecular con signos de remodelación sin neoplasia. Continuó seguimiento con rehabilitación física.
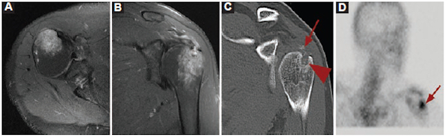
Varón de 42 años que consultó por omalgia izquierda e impotencia funcional, sin traumatismo ni esfuerzo físico previos. Presentó dolor exquisito a la palpación en la cara anterior del hombro, con informe radiográfico sin alteraciones. Posteriormente se le realizó una RM que informó tendinopatía calcificada del supraespinoso y bursitis subdeltoidea subacromial con extenso edema del troquíter. Advirtiendo el extenso edema óseo del troquíter, se solicitó una TC, la cual evidenció calcificación del tendón del supraespinoso con lesión erosiva vecina. Para complementar, se realizó un centellograma que informó captación en el área de interés (Fig. 7).

Ante la duda diagnóstica, se decidió realizar una biopsia, que informó cambios reactivos y reparativos.
Mujer de 73 años con antecedentes de polimialgia reumática y arteritis de la temporal, que consultó por una masa en la región posterior del muslo izquierdo. En la exploración física no presentó signos de flogosis. Se solicitó ecografía, cuyo informe fue no concluyente. Posteriormente, se realizó una RM. Entre los diagnósticos diferenciales se planteó la posibilidad de un tumor adiposo. Por sus características, no se descartó una lesión agresiva, como el liposarcoma y sus variantes (Fig. 8).

Se realizó punción-biopsia, con diagnóstico definitivo de esteatonecrosis, sin evidencia de neoplasia.
Las lesiones que simulan tumores en el sistema musculoesquelético se definen como lesiones no neoplásicas benignas que pueden confundirse, por la clínica o radiológicamente, con neoplasias. La etiología y las localizaciones anatómicas de las lesiones son diversas, desde variantes normales hasta lesiones traumáticas, inflamatorias o metabólicas1.
La diferenciación entre neoplasias y estas lesiones depende de un adecuado interrogatorio, de la exploración física y de los hallazgos en imágenes2.
Las variantes del desarrollo incluyen sitios de inserción tendinosa e irregularidades corticales metafisarias, islas de médula ósea roja y músculos accesorios. Las radiolucencias fisiológicas ocurren cuando una escasez normal de trabéculas crea la apariencia de una lesión ósea en las radiografías3. Se pueden hallar en la cavidad glenoidea del húmero, el troquíter (pseudoquiste del húmero), el extremo proximal del cúbito, el cuello femoral (triángulo de Ward), la cabeza del peroné y el cuerpo del calcáneo3,4.
La ausencia de reacción perióstica y de destrucción cortical, y la ubicación característica, deben conducir al diagnóstico correcto. En casos difíciles se puede realizar una imagen de corte transversal para confirmar la presencia de médula ósea normal2.
Los tumores de tejidos blandos pueden confundirse con hematomas, desgarros tendinosos y tendinosis con calcificaciones2.
Los hematomas pueden manifestarse como masas de tejido blando que simulan neoplasias en pacientes con o sin antecedente claro de trauma o que toman anticoagulantes. Sin embargo, en la mayoría de los casos, la historia clínica y el patrón de imagen de la masa generalmente permiten un diagnóstico adecuado5. Las características de la imagen de un hematoma dependerán de su estado evolutivo3.
La ecografía se utiliza para la evaluación inicial, mostrando una masa hiperecoica mal definida en la fase aguda que gradualmente se torna hipoecoica hasta llegar a una masa anecogénica líquida con refuerzo acústico posterior3,6.
El hematoma puede tener una variedad de aspectos en la RM, que dependen de los cambios en la estructura de la molécula de hemoglobina relacionados con la edad de la sangre. El aumento de la intensidad de la señal dentro de la masa en las imágenes ponderadas en T1, en particular cuando se suprime la grasa, sugiere metahemoglobina y un hematoma subagudo. El edema que rodea el hematoma es común y disminuye con el tiempo. Las áreas de intensidad de señal relativamente baja dentro o a lo largo de la periferia de la masa en las imágenes ponderadas en T2, causadas por la desoxihemoglobina intracelular o los depósitos de hemosiderina, también apoyan el diagnóstico de hematoma. La falta de realce central después de la administración intravenosa de gadolinio es típica; sin embargo, el tejido fibrovascular dentro del hematoma puede mostrar escaso realce1,3.
El realce nodular o en forma de masa después de la administración intravenosa de gadolinio sugiere una neoplasia. La ausencia de equimosis y de antecedentes traumáticos, o la falta de anticoagulación, hacen sospechar de un tumor subyacente.
La elevada intensidad de señal dentro de una masa en las imágenes ponderadas en T1 puede representar grasa (v. caso 8), como se ve en un tumor lipomatoso. Las secuencias con supresión de la grasa pueden ayudar a diferenciar los productos sanguíneos subagudos del tejido adiposo3,7.
Dentro de las lesiones producidas por eventos traumáticos, deben considerarse las lesiones óseas por estrés y las secundarias a procedimientos quirúrgicos. Las fracturas por estrés son lesiones por uso excesivo y se producen cuando el hueso normal está expuesto a un esfuerzo repetitivo (fracturas por fatiga) o cuando el hueso anormal está expuesto a un estrés normal (fracturas por insuficiencia) (2,3.
La mayoría de las fracturas por fatiga ocurren en las extremidades inferiores, en especial en la tibia y los metatarsianos, pero en ciertos atletas pueden observarse fracturas por fatiga en las extremidades superiores. La pelvis, el fémur proximal y los cuerpos vertebrales son sitios comunes de fracturas por insuficiencia. En la mayoría de los casos, las características clínicas son altamente sugestivas del diagnóstico de una fractura por estrés, en particular cuando una actividad específica produce dolor en un área propensa a tal lesión. Las manifestaciones radiográficas varían de acuerdo con el sitio y la etapa de la lesión, y suelen ser normales en las primeras etapas. Los hallazgos subsiguientes van desde una reacción perióstica sutil y esclerosis endóstica hasta la formación de callos exuberantes, engrosamiento cortical y una línea de fractura lucente2,3.
Si bien las características radiográficas suelen ser diagnósticas, pueden surgir dificultades si la localización es atípica o se presenta con hallazgos radiográficos exagerados. En tales casos, un tumor óseo puede ser incluido erróneamente en el diagnóstico diferencial8. Las características de imagen de la fractura por estrés pueden simular, en particular, un osteoma osteoide. Sin embargo, el nido lúcido del osteoma osteoide suele ser redondeado, mientras que una fractura por estrés suele ser de configuración lineal3.
La RM puede detectar el edema medular de las lesiones por estrés en secuencias ponderadas en T2 FatSat o STIR antes de la aparición de los hallazgos radiográficos. Este edema puede confundirse con una infiltración neoplásica. Una línea de fractura hipointensa discreta dentro del área del edema permite un diagnóstico adecuado. Sin embargo, el edema medular y perióstico y de tejidos blandos puede ser evidente antes del desarrollo de una línea de fractura discreta. En algunos casos puede ser necesaria una TC para diagnosticar una fractura por estrés, en especial en el sacro3,9.
En población pediátrica, la actividad repetitiva enérgica puede causar microtrauma de la fisis, creando una lesión por estrés. Esto es más común en el hombro de los lanzadores, la muñeca de los gimnastas y las rodillas de los atletas de alto nivel. El ensanchamiento de la fisis y la irregularidad son hallazgos radiográficos habituales de estas lesiones. En la RM, el edema focal está presente a lo largo de la parte central de la fisis y se extiende tanto a la metáfisis como a la epífisis. De esta manera, se demuestran el estrés focal y el microtrauma debido a la disminución de la capacidad de flexión en este sitio inicial de cierre fisario fisiológico normal10.
La miositis osificante es una lesión benigna y autolimitada que se caracteriza por una reacción heterotópica con formación de tejido fibroso, cartílago y hueso de forma localizada, y no neoplásica, típicamente localizada en los músculos de las extremidades. Si bien su patogenia se ha relacionado con traumatismos, la mayoría de los pacientes no recuerdan este antecedente3. La determinación del patrón de mineralización, sobre todo en los estadios iniciales, cuando la calcificación está ausente o es incompleta, es fundamental para establecer el diagnóstico radiológico y permite diferenciarla de otras lesiones calcificadas, en especial del osteosarcoma extraesquelético y yuxtacortical1,9.
En sus estadios iniciales se observa en la RM como una masa intramuscular heterogénea y con edema difuso perilesional, por lo cual suele ser confundida con sarcomas o hematomas. En las primeras 3 o 4 semanas, las calcificaciones suelen aparecer periféricamente de forma débil e irregular. A partir de este momento, y con progresión centrípeta, se desarrolla una calcificación periférica en anillo visible en la Rx y la TC. Posteriormente, se observa una masa definida con presencia de hueso maduro6.
Un absceso es una colección focal que contiene material necrótico, células inflamatorias y bacterias. Los abscesos, característicamente, tienen un borde vascular grueso e irregular asociado con el edema del tejido blando circundante. En la ecografía debe sospecharse el diagnóstico cuando una masa transónica o hipoecoica está marginada por un borde vascularizado no definido y un edema circundante difuso. Sin embargo, las apariencias ultrasónicas variarán según la naturaleza del contenido, y el patrón de eco se verá afectado por la presencia de líquido espeso, cuerpos extraños y gas6.
Las lesiones que contienen pus espeso pueden dar la impresión de ser sólidas, pero la parte central no mostrará vascularización en el Doppler y, a menudo, se verá que el contenido circula dentro de la lesión al aplicar una presión suave con el transductor de ultrasonido y que hay refuerzo sónico posterior. En algunos casos puede ser difícil distinguir un hematoma licuado de un absceso, pero la ecografía también es útil para guiar la aspiración. En la TC, un absceso se presenta como una masa de baja atenuación que se realza periféricamente tras la administración de contraste. La RM es el método óptimo, ya que mostrará la extensión completa del proceso inflamatorio, así como el compromiso de huesos y articulaciones adyacentes. En la parte central, normalmente mostrará una intensidad de señal baja en la ponderación en T1 y una intensidad de señal alta en la ponderación en T2, pero puede producirse una señal alta o intermedia en la ponderación en T1 si el pus tiene un alto contenido de proteínas. La pared de un absceso puede tener una señal isointensa o hiperintensa en comparación con el músculo en las imágenes ponderadas en T1. La causa de esta alta intensidad de la señal puede estar relacionada con alteraciones en los hemoderivados, el secuestro bacteriano o de macrófagos con hierro, o la presencia de radicales libres. Tras el contraste intravenoso hay un ávido realce de la pared y, en menor medida, de los tejidos blandos circundantes, pero no debería haber realce de la porción central6.
Cabe destacar que en los últimos años han proliferado las publicaciones sobre técnicas avanzadas de RM que proporcionan información funcional y complementan la información morfológica brindada por las técnicas convencionales. Entre ellas, destacan la técnica de difusión (DWI) y los mapas cuantitativos de coeficiente de difusión aparente (ADC). Estas técnicas han demostrado, entre otras cosas, añadir información para caracterizar algunos tumores específicos, poder descartar infección de partes blandas y monitorizar el tratamiento. Por ejemplo, hemos mencionado que el contenido de un absceso se compone de células inflamatorias, bacterias, tejido necrótico y material proteináceo, confiriendo a la mezcla una gran viscosidad. En este entorno, la difusión de las moléculas de agua está marcadamente restringida. Por ello, en el mapa ADC de los abscesos, los valores son bajos11,12.
Encontramos ocho pacientes con lesiones simulando masas tumorales de tejidos blandos y tumores óseos que resultaron ser lesiones benignas no tumorales, siendo estas lesiones calcificación heterotópica con esclerosis ósea, lesión por estrés, hematoma organizado, absceso, infiltración de médula ósea con área respetada, remodelación ósea, cambios reparativos y esteatonecrosis.
Con un adecuado interrogatorio, una apropiada exploración física y la selección de métodos por imágenes se pueden diferenciar las lesiones tumorales de las no tumorales. En los casos en que no se logra la certeza diagnóstica, se debe recurrir a la biopsia para descartar malignidad.
Correspondencia: Katherine Dávila-Malca E-mail: katherine.davila@hospitalitaliano.org.ar







