Carta científica
Tumor fibroso solitario extrapleural de localización inusual
Solitary fibrous extrapleural tumor of unusual location
Tumor fibroso solitario extrapleural de localización inusual
Revista argentina de radiología, vol. 86, núm. 1, pp. 64-66, 2022
Sociedad Argentina de Radiología
Recepción: 19 Mayo 2020
Aprobación: 06 Noviembre 2020
Publicación: 04 Abril 2022
Estimados editores:
Los tumores mesenquimales son un tipo de neoplasias poco frecuentes que engloban una variedad importante de lesiones heterogéneas, con más de 70 subtipos de tumores diferentes1. El tumor fibroso solitario extrapleural (TFSE) es una neoplasia mesenquimal dentro de los sarcomas de partes blandas. Su comportamiento suele ser benigno, aunque en un 20% de los casos puede recurrir localmente o metastatizar a distancia2.
Presentamos el caso de un varón de 43 años que acudió al servicio de urgencias de nuestro centro con una masa ocupante de espacio en la eminencia tenar de la mano izquierda, con un orificio de fistulización persistente de larga evolución (Fig. 1).

Se decidió realizar una ecografía de partes blandas de la palma de la mano, que demostró la existencia de una masa con apariencia tumoral sólida y sin características infiltrativas. Esta lesión era de morfología ovoidea, hipoecogénica, con unas dimensiones aproximadas de 30 × 15 mm (anteroposterior y craneocaudal), y contactaba en un punto con la epidermis. No se apreciaron cambios quísticos ni necróticos dentro de ella, si bien la señal de Doppler pulsado fue indicativa de vascularización arterial interna (Fig. 2).

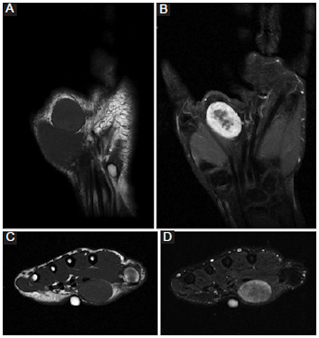
Adicionalmente, se realizó una resonancia magnética (RM) que puso de manifiesto una lesión ovalada bien delimitada, localizada en el tejido celular subcutáneo correspondiente a planos inmediatamente distales y en contacto con los músculos de la eminencia tenar, sin signos de infiltración tisular. En el polo proximal de la lesión se halló una mínima zona de contacto con la superficie cutánea. La lesión presentaba una intensidad de señal isointensa, homogénea en secuencias ponderadas en T1 y heterogénea en T2, con centro redondeado hipointenso y periferia hiperintensa. Tras la administración de contraste paramagnético se constató un realce intenso de la periferia lesional (Fig. 3).

Todos estos hallazgos confirmaron que se trataba de una lesión tumoral sólida situada en las partes blandas superficiales de la mano izquierda, contactando con la piel y con la fascia que recubre la musculatura propia de la eminencia tenar, sobre todo con el tendón del músculo flexor del segundo dedo.
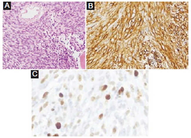
De manera programada, se intervino al paciente bajo anestesia general y se realizó la exéresis de la tumoración. El diagnóstico anatomopatológico definitivo fue de TFSE (Fig. 4).

El TFSE es un tumor mesenquimal infrecuente, incluido dentro de los sarcomas de partes blandas. Se presenta en adultos de mediana edad, sin diferencias significativas respecto al sexo3. Su presentación clínica es inespecífica y en la mayoría de los casos secundaria al efecto de masa del tumor.
En los estudios de imagen, el TFSE se caracteriza como una masa bien definida, con una abundante vascularización y de crecimiento lento. En la ecografía presenta una ecogenicidad mixta con señal Doppler indicativa de flujo interno. En la RM, los TFSE son habitualmente isointensos en las secuencias ponderadas en T1 y presentan una señal variable en T2. La existencia de focos redondeados o lineales con baja intensidad, tanto en las secuencias ponderadas en T1 como en las ponderadas en T2, se atribuye al contenido en colágeno y la baja celularidad. Asimismo, los tumores fibrosos solitarios son lesiones vascularizadas, por lo que presentan un realce intenso4.
El TFSE se localiza predominantemente en los miembros inferiores y el retroperitoneo, aunque se puede encontrar en cualquier topografía, desde la cabeza y el cuello hasta la pelvis y la vejiga. Su diagnóstico diferencial incluye lesiones benignas, como schwannoma, neurofibroma, histiocitoma fibroso benigno o miofibroblastoma, y lesiones malignas, fundamentalmente metástasis y sarcomas indiferenciados5.
Los síntomas clínicos son muy subjetivos e inespecíficos. Las lesiones suelen ser asintomáticas y muchas veces se descubren incidentalmente al realizar estudios de imagen por otros motivos. En algunos casos se asocia con síntomas locales debido a la afectación de estructuras vecinas.
La sintomatología sistémica es poco frecuente, en menos del 5% de los casos, generalmente en tumores de gran tamaño, y puede asociarse con hipoglucemia secundaria a la producción de un factor de crecimiento similar a la insulina por el tumor, cuadro que recibe el nombre de síndrome de Doege-Potter2.
La mayor parte de los TFSE se comportan de modo benigno, aunque en la actualidad se prefiere considerarlos como de comportamiento clínico incierto, ya que un porcentaje variable, entre el 13% y el 23%, han demostrado ciertas características de agresividad debido a su efecto de masa o por metástasis a distancia. El pronóstico es imprevisible, ya que el TFSE puede recurrir o metastatizar, incluso en ausencia de criterios de malignidad3.
El tratamiento de elección es la resección quirúrgica completa con márgenes libres. Todos los pacientes con TFSE, tanto benignos como malignos, deben permanecer en un programa de seguimiento clínico y radiológico a largo plazo, con controles periódicos cada 6 meses durante los primeros 2 años y posteriormente anuales6.
Bibliografía
1. Fletcher CD. The evolving classification of soft tissue tumours - an update based on the new 2013 WHO classification. Histopathology. 2014;64:2-11.
2. Gold JS, Antonescu CR, Hajdu C, Ferrone CR, Hussain M, Lewis JJ, et al. Clinicopathologic correlates of solitary fibrous tumors. Cancer. 2002; 94:1057-68.
3. Xambre L, Lages R, Cerqueira M, Silva V, Prisco R, Santos R, et al. Tumor fibroso solitario: dos casos adicionales con implicaciones urológicas. Actas Urol Esp. 2003;27:832-8.
4. Gina DT, Bokhari A, Bhatt S, Dogra V. Imaging features of solitary fibrous tumors. AJR Am J Roentgenol. 2011;196:487-95.
5. Wignall OJ, Moskovic EC, Thway K, Thomas JM. Solitary fibrous tumors of the soft tissues: review of the imaging and clinical features with histopathologic correlation. AJR Am J Roentgenol . 2010;195:W55-62.
6. Morimitsu Y, Nakajima M, Hisaoka M, Hashimoto H. Extrapleural solitary fibrous tumor: clinicopathologic study of 17 cases and molecular analysis of the p53 pathway. APMIS. 2000;108:617-25.
Notas
Notas de autor
Correspondencia: Juan R. Cajal-Calvo E-mail: jramonycajalc@gmail.com
Declaración de intereses