Carta científica
Metástasis en sitio infrecuente: carcinoma de ovario como fuente primaria
Infrequent site metastasis: Ovarian carcinoma as primary source
Recepción: 23 Marzo 2020
Aprobación: 11 Junio 2020
Publicación: 04 Abril 2022
Estimados editores:
El cáncer de ovario es la séptima neoplasia maligna en mujeres en los países desarrollados y el de mayor letalidad, y ha registrado escasos progresos en los resultados terapéuticos en las últimas tres décadas1,2.
Alrededor del 70% de las pacientes con cáncer de ovario presentan enfermedad diseminada en el momento del diagnóstico. Por lo tanto, el papel del médico especialista de diagnóstico por imágenes es indagar por metástasis en sitios frecuentes e infrecuentes cuando se trate de una patología neoplásica, ya que ello ayudará a determinar el estadio, el tratamiento y el pronóstico.
Presentamos el caso de una mujer de 87 años que ingresó al servicio de urgencias por dolor intermitente en el flanco izquierdo que se acentuaba sobre una hernia de Spiegel de reciente diagnóstico, náuseas de 7 días de evolución, sin fiebre asociada. Antecedentes de hipertensión arterial, diabetes mellitus tipo 2, fibrilación auricular, hipotiroidismo y trombosis venosa profunda. Se realizaron hemograma, uroanálisis y pruebas de función renal, todas ellas sin hallazgos significativos, y una ecografía abdominal y de pared abdominal que informó solución de continuidad en flanco izquierdo e imagen nodular de aspecto mixto.
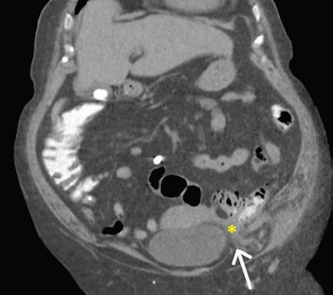
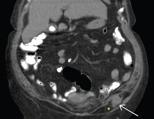
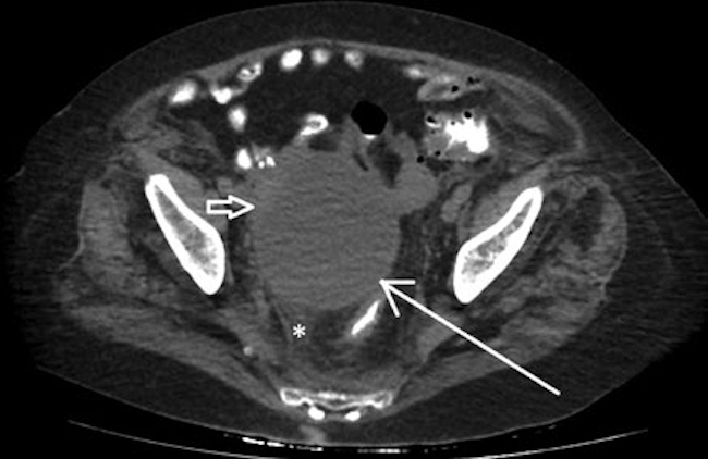
Dados los hallazgos ecográficos, se realizó una tomografía computada abdominal y pélvica, en la que se observaron una solución de continuidad de 22 mm en el flanco izquierdo (Fig. 1) y una imagen ovalada ligeramente edematizada (Fig. 2). En la cavidad pelviana se observó una imagen líquida de aspecto quístico de 91 × 87 × 81 mm, dependiente de anexo derecho (Fig. 3). Durante su internación, la paciente persistió con dolor a nivel referido y fue llevada a laparotomía exploratoria, en la que se halló un tumor abscedado sobre la aponeurosis del músculo oblicuo izquierdo, del que se tomaron muestras para anatomía patológica, y se drenó y corrigió la solución de continuidad en el acto quirúrgico. Se amplió el estudio microscópico con marcadores tumorales CA 125 y CA 19-9, que fueron positivos para metástasis de carcinoma primario de ovario (Fig. 4). Actualmente, la paciente está en manejo oncológico.




Las altas tasas de mortalidad del cáncer ovárico pueden explicarse por su diagnóstico tardío debido a la ausencia de síntomas o la presencia de síntomas inespecíficos, y solo el 15% de los casos son un carcinoma en estadio primario en el momento del diagnóstico. El factor pronóstico importante, además del tipo histológico, es el estadio del cáncer1,2.
El carcinoma de ovario hace metástasis por extensión directa a los órganos pélvicos vecinos, como la vejiga (17%) y el colon; metástasis por diseminación transperitoneal de células exfoliadas, principalmente al peritoneo y el epiplón (86%), el intestino (50%) y el bazo (20%); y metástasis por diseminación vascular, menos frecuentes (16%), siendo los sitios más comunes la pleura (33%), el hígado (26%) y el pulmón (15%)3.
Por el contrario, las metástasis linfáticas intraabdominales son bastante frecuentes, encontrándolas hasta en un 70% de las pacientes, evidenciando compromiso de los ganglios linfáticos pélvicos o paraaórticos1,2,4.
Existe una serie de sitios infrecuentes de metástasis reportados. Estos pueden ocurrir al comienzo o durante el curso de la enfermedad, y generalmente se asocian con la ruta hematógena y la invasión linfática, coincidiendo con mal pronóstico. Estos sitios son principalmente la piel, el hueso, el sistema nervioso central, el ojo, la mama, los bronquios, la tráquea, el pericardio, los ganglios linfáticos extraabdominales y otros, como el caso reportado, que presentaba metástasis en una hernia de Spiegel4,5,6,7.
Correspondencia: César Zabaleta E-mail: cesarzabaleta@hotmail.com



