Artículo Original
Recepción: 08 Junio 2020
Aprobación: 28 Diciembre 2020
DOI: https://doi.org/10.24875/RAR.M22000030
Resumen
Objetivo: Dar a conocer la experiencia en nuestro departamento de imágenes y presentar los hallazgos de radiografía (Rx) y tomografía computada (TC) que hemos observado en nuestra serie de casos con diagnóstico confirmado de COVID-19.
Método: Estudio retrospectivo analítico de los hallazgos de Rx y TC en una serie de pacientes que asistieron al servicio de urgencias por sospecha de COVID-19 en los hospitales universitarios dependientes de nuestra institución en el periodo comprendido entre el 1 de marzo y el 31 de mayo de 2020.
Resultados: En el período de estudio se detectaron 127 casos de COVID-19 positivos en nuestra institución. A 57 (45%) de ellos se les realizó Rx. En 46 (80%) de ellas no mostraron hallazgos patológicos. En 8 (14%) pacientes se observaron opacidades parcheadas en vidrio esmerilado y en 3 (5%) en asociación con consolidaciones. La distribución fue predominantemente bilateral y en los lóbulos inferiores. A 11 pacientes se les realizó TC de tórax y 9 (81%) manifestaron infiltrados en vidrio esmerilado, mostrando preferencia por las áreas periféricas y los lóbulos superiores, asociándose a consolidaciones en 4 (36%) casos. Un paciente (9%) presentó patrón en empedrado y otros 2 mostraron opacidades (18%) redondeadas en vidrio esmerilado. Dos pacientes (18%) no tuvieron hallazgos patológicos. Como hallazgos atípicos, se evidenció derrame pleural en 2 pacientes (18%) y neumotórax en uno (9%) en uno de ellos.
Conclusiones: Nuestra experiencia demostró como características frecuentes la presencia de opacidades parcheadas en vidrio esmerilado y consolidaciones parcheados de distribución predominantemente en los lóbulos inferiores.
Palabras clave: Rayos X, Tomografía computada, COVID-19, Enfermedades pulmonares.
Abstract
Objective: To show the experience in our radiology department at X-ray and computed tomography (CT) imaging findings in patients with confirmed COVID-19.
Method: Retrospective analytical study of the radiological findings on X-ray and CT on a series of patients who attended the emergency department on suspicion of COVID-19 at university hospitals dependent of our institution in the period between March 1 and May 31, 2020.
Results: During the study period, 127 cases of COVID-19 were detected in our institution. X-rays were performed in 57 (45%) of them, 46 (80%) of which did not show pathological findings. In total, 8 (14%)manifested as patchy ground glass opacities, and 3 (5%), in association with consolidations. The distribution was predominantly bilateral and in the lower lobes. Eleven patients underwent chest CT, 9 (81%) of these showed ground glass opacities, showing a preference for peripheral areas and upper lobes, associated with consolidations in 4 (36%) of them. One patient (9%) presented crazy paving and 2 rounded (18%) ground glass opacities. Two patients (18%) showed no pathological findings. As atypical findings, pleural effusion was evident in two (18%) patients, and pneumothorax, in one (9%).
Conclusions: Our experience demonstrated the presence of patchy ground glass opacities and patchy consolidative opacities predominantly in the lower lobes as frequent features.
Keywords: X-ray, Computed tomography, COVID-19, Lung diseases.
Introducción
Al día del envío de este manuscrito se han reportado más de 6,1 millones de casos de COVID-19 y más de 370.000 muertes, con más de 16.851 casos y 539 muertes en Argentina1.
La transmisión rápida (mediana R0: ∼3.0), la virulencia y la susceptibilidad de la población a este nuevo patógeno han hecho que los servicios de salud se enfrenten a desafíos sin precedentes. Debido a que aún no se conoce el mecanismo fisiopatológico exacto de este virus, los estudios de todas las terapias farmacológicas propuestas no han demostrado una mejoría categórica en la mortalidad y, al día de hoy, no se dispone de una vacuna que haya completado todas las fases de su desarrollo2,3,4,5.
En cuanto al papel de las imágenes en el diagnóstico de la enfermedad, fue cambiando desde el inicio de la pandemia. Existió un considerable período de tiempo desde que se detectó el primer caso de COVID-19 en diciembre en Wuhan, China, hasta que se desarrollaron e instrumentaron pruebas de laboratorio para su detección. Por esta razón, en ese primer momento la tomografía computada (TC) fue fundamental en el diagnóstico de la enfermedad. Tal es así que, en el mes de marzo, la Organización Mundial de la Salud (OMS) la incluyó dentro de los criterios diagnósticos. A su vez, fue clave para poder amortiguar el déficit de reactivos que existió cuando la enfermedad se expandía por Europa y los Estados Unidos. Sin embargo, con el paso del tiempo, las diferentes sociedades europeas y norteamericanas fueron cambiando los protocolos hacia lo que se implementa hoy en día: se reserva la TC solo para algunos casos y no como método de cribado ni de seguimiento.
La mayoría de los artículos que tratan acerca del papel de las imágenes (debido a la rapidez con que se expandió el virus por todo el mundo y a la necesidad de respuestas científicas) fueron publicados siguiendo un proceso de revisión por pares ultrarrápido, que llevó a que en algunos estudios sean evidentes varios sesgos que en cierto modo aportan confusión a toda esta crisis6. De lo único que se tiene certeza al día de hoy es de que el rol protagónico lo está tomando la radiología convencional con aparatos portátiles y sin importar su modesta sensibilidad (en el estudio de Wong et al.7) 69%; intervalo de confianza del 95% [IC95%]: 56-80%), siendo en muchos lugares del mundo el primer medio de diagnóstico por imágenes utilizado. Por su parte, la TC con indicaciones precisas está convirtiéndose en un método de ayuda inestimable. Los estudios le reportan una sensibilidad del 93% (IC95%: 85-97%), una especificidad del 53% (IC95%: 27-77%), un valor predictivo positivo del 92% (IC95%: 83-96%) y un valor predictivo negativo del 42% (IC95%: 18-70%)8.
Siendo partícipes de un centro académico con gran afluencia de pacientes con sospecha de COVID-19, creemos importante dar a conocer a los lectores de nuestra comunidad la experiencia en nuestro departamento de imágenes y los hallazgos imagenológicos que hemos observado en nuestra serie de casos con diagnóstico confirmado de COVID-19, con el fin de aportar conocimientos propios acerca de la casuística de nuestro país y ser esto un punto de partida para la realización de investigaciones más complejas en un futuro inmediato.
Método
Este trabajo cuenta con la aprobación del comité de ética institucional.
Se trata de un estudio retrospectivo analítico de una serie de pacientes que asistieron al servicio de urgencias de los hospitales universitarios dependientes de nuestra institución en el período comprendido entre el 1 de marzo y el 31 de mayo de 2020.
Los criterios de inclusión fueron: sospecha de COVID-19 de acuerdo con la clínica (fiebre > 38°, taquipnea/disnea, diarrea, artralgias, malestar general, tos, tiraje, vómitos, mialgias, dolor de garganta, dolor abdominal, cefalea, inyección conjuntival, dolor torácico, rechazo del alimento, irritabilidad/confusión, convulsiones, insuficiencia respiratoria, anosmia y disgeusia) y antecedentes de nexo epidemiológico. No hubo criterios de exclusión.
Los casos fueron confirmados por la prueba de reacción en cadena de la polimerasa (PCR) en tiempo real. Las muestras utilizadas en la mayoría de los casos fueron las de hisopado nasofaríngeo-orofaríngeo y solo en algunos pacientes se realizó aspirado traqueal y muestra de esputo, las cuales fueron tomadas por médicos del servicio de emergencia y clínica médica, con el equipo de protección personal (EPP) recomendado por la OMS en todos los casos, agregando barbijo N95 cuando se trataba de muestras respiratorias. Los reactivos usados para procesar las muestras fueron RealStar SARS-Cov2 RT-PCR Kit de Altona Diagnostic, Modular Wuhan Cov É gene de Roche Diagnostic y Modular Wuhan Con RdRP gene de Roche Diagnostic.
Las radiografías (Rx) se efectuaron bajo la modalidad portátil para respetar el aislamiento y disminuir la circulación y el desplazamiento de los pacientes, en un equipo Motion Mobile X Ray de Carestream, con 60 kV y 8-10 mAmp, en proyección anteroposterior (AP) con el paciente en decúbito supino. Para cada estudio fueron necesarios dos técnicos radiólogos, uno designado al posicionamiento del chasis y manejo del equipo, y el otro para actuar de apoyo y para la manipulación de elementos no contaminados. Solo el primero ingresaba en la sala de aislamiento y debía utilizar el EPP sugerido por la OMS, que incluye barbijo quirúrgico, camisolín, cofia, guantes, antiparra o protector facial, y cuya colocación y retiro se realizaba conforme al listado de verificación considerado por estos para evitar el contagio. El chasis debía ser cubierto con una bolsa plástica para poder hacer entrega de él una vez finalizado el estudio a su compañero, quien debía retirarlo cuidadosamente de dentro de la bolsa.
Luego, en la sala de aislamiento, el ejecutante procedía a la desinfección del equipo completo con Oxivir® plus y apósitos estériles. Posteriormente, realizaba el retiro del EPP, exceptuando la protección ocular y el barbijo, los cuales eran retirados e higienizados en un sector específicamente asignado para ello.
Por último, se efectuaba una segunda desinfección del equipo, esta vez fuera de la habitación del paciente, de nuevo con Oxivir® plus, y luego de aproximadamente 5 minutos se realizaba el secado del mismo con apósitos estériles.
Se consideró Rx patológica sugestiva de neumonía viral la presencia de opacidades focales en áreas periféricas de los campos pulmonares.
En los pacientes a quienes se les realizaron estudios de TC, estos fueron efectuados en un equipo de 16 detectores marca Philips modelo MX (Cleveland, Ohio, USA) con los siguientes parámetros: 120 kV, 200 mA, colimación de 0,75 × 16, reconstrucción de 1 mm e intervalo de 0,5 mm. Luego de finalizado el estudio se procedía a una desinfección del equipo y de toda la sala con Oxivir® plus, y se inhabilitaba el mismo por 30 minutos.
Se consideró TC patológica sugestiva de neumonía viral cuando presentó infiltrados en vidrio esmerilado, consolidaciones o patrón en empedrado en áreas periféricas de ambos pulmones.
Resultados
En el período de estudio se realizó PCR para detectar COVID-19 a 1437 pacientes. El número de muestras de fluidos corporales analizados varió entre una y ocho por paciente, con una mediana de dos. De los pacientes, 814 (56,6%) fueron mujeres y 623 (43,3%) fueron hombres, con una edad media de 44.2 ± 23.7 años.
Del total, 127 (8,6%) fueron positivos para COVID-19 mediante PCR. Siete pacientes se excluyeron del análisis ya que fueron atendidos en otros centros médicos y solo sus muestras fueron analizadas en el laboratorio de nuestra institución.
A 334 pacientes (23,2%) se les realizó Rx de tórax, de las cuales 250 (74%) no mostraron hallazgos patológicos, aunque 42 (16%) de estos fueron pacientes tuvieron PCR positiva para COVID-19. Las restantes 84 Rx (25,5%) presentaron algún hallazgo patológico y, de estas, solo el 22,3% (11 sujetos) fueron de pacientes con PCR positiva.
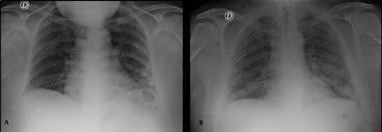
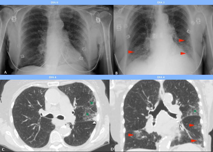
De los 11 pacientes COVID-19 positivos con hallazgos patológicos en la Rx, 8 (72%) se manifestaron como opacidades parcheadas en vidrio esmerilado y 3 (27%) como una asociación de infiltrados en vidrio esmerilado y consolidaciones (Fig. 1). En 8 (72%) pacientes las opacidades se distribuyeron en los lóbulos inferiores, dentro de los cuales 3 (27%) de ellos también mostraron compromiso del lóbulo medio. Solo 3 (27%) pacientes presentaron afectación. Se menciona además compromiso bilateral en 7 (63%) pacientes y unilateral en los restantes 4 (36%).

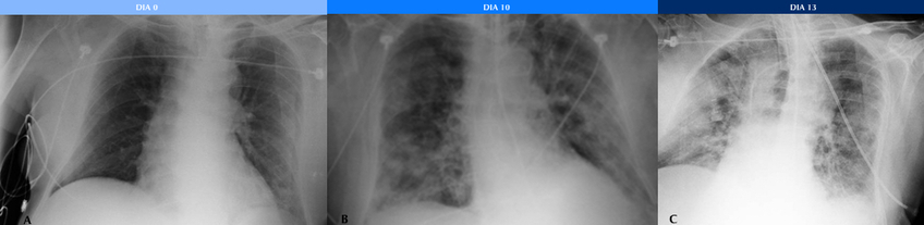
Se pudo estudiar la evolución radiológica de esta enfermedad en uno de los pacientes cuya evolución clínica fue tórpida, observándose en una radiografía inicial sutiles áreas parcheadas en vidrio esmerilado en campos pulmonares inferiores, las cuales fueron progresando hasta volverse coalescentes, difusas y consolidativas, llegando a afectar la mayor parte del parénquima pulmonar, asociándose además a derrame pleural. El paciente requirió intubación orotraqueal al décimo día de internación, sin lograr mejorar su cuadro clínico, y se constató su deceso 10 días más tarde (Fig. 2).

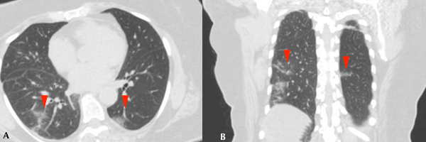
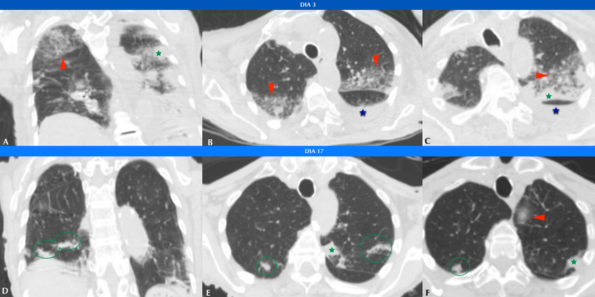
Se realizó TC de tórax a 85 (5,9%) pacientes, de los cuales 11 (13%) fueron positivos por PCR para COVID19. De estos, 9 (81%) manifestaron infiltrados en vidrio esmerilado en el parénquima pulmonar, asociándose además opacidades consolidativas en 4 (36%) de ellos (Figs. 3 y 4). 2 (18%) pacientes no mostraron afectación intersticio-alveolar en su evolución. La TC se realizó a pacientes cuya clínica no era acorde a los hallazgos de Rx y a aquellos con evolución tórpida (81%). En total, a 8 (72%) pacientes COVID-19 positivos se les realizaron ambos métodos imagenológicos.


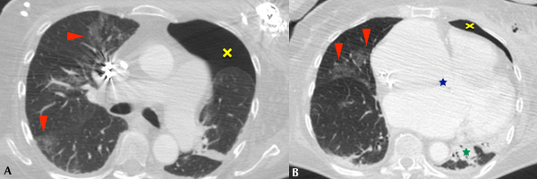
En cuanto a la distribución, en los cortes axiales se encontró que siete pacientes presentaron opacidades o consolidaciones periféricas, o ambas (Figs. 5 y 6).


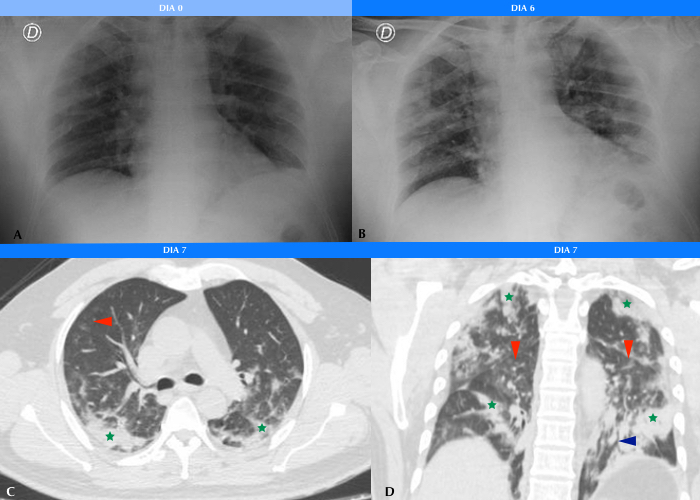
La cantidad de lóbulos afectados fue variable. Un paciente presentó afectación lobar única, uno afectación bilobar, cuatro afectación de tres lóbulos y dos pacientes de cuatro lóbulos. Únicamente un paciente sufrió compromiso panlobar (Fig. 7). Los lóbulos pulmonares con mayor afectación fueron los superiores: siete pacientes tuvieron afectación del lóbulo superior derecho y ocho pacientes del lóbulo superior izquierdo. Cabe mencionar, además, que ocho pacientes tuvieron afectación bilateral y uno unilateral.

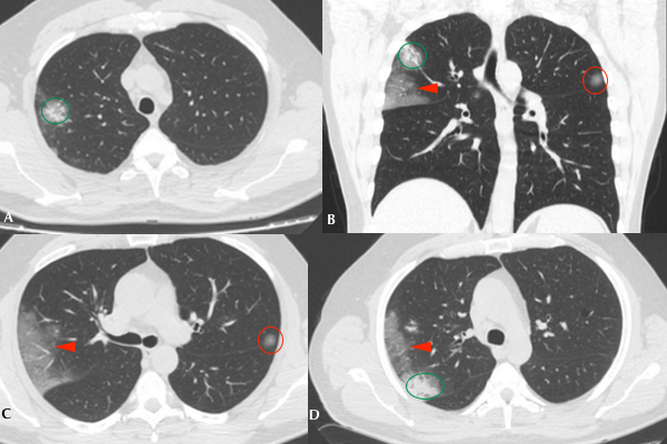
En un paciente se encontró patrón en empedrado (Fig. 8) y en dos pacientes opacidades redondeadas en vidrio esmerilado (Tabla 1).


Como hallazgos atípicos, se evidenciaron derrame pleural en dos pacientes y neumotórax en uno, cuya causa fue atribuida a complicación tras la colocación de un marcapasos (Fig. 9). No se evidenciaron adenomegalias mediastinales.

Discusión
En nuestra experiencia, en este tiempo registramos un bajo porcentaje de alteraciones radiológicas en los pacientes con COVID-19, presentándose principalmente en aquellos con enfermedad clínica moderada o grave. Los hallazgos más frecuentes en los estudios de Rx fueron infiltrados parcheados en vidrio esmerilado y opacidades consolidativas asociadas, mayormente de distribución periférica, con preferencia por los lóbulos inferiores y en forma bilateral. En cuanto a la TC, se identificaron similares hallazgos a los anteriormente descritos, aunque la distribución de los infiltrados fue diferente, llamando la atención su predominio en los lóbulos superiores. Con ambos métodos se observó que, en los pacientes con mala evolución de la enfermedad, estas opacidades, conforme al paso de los días, incrementaron su tamaño, volviéndose confluentes y mostrando compromiso difuso de todo el parénquima.
La mayoría de nuestros hallazgos coinciden con los descritos en la literatura internacional. Los estudios más grandes publicados hasta el momento, principalmente en relación a los hallazgos tomográficos, se han realizado en China, epicentro de la enfermedad, en donde además este método era sobreutilizado. Un consenso de expertos de la Radiological Society of North America propuso una guía para la interpretación tomográfica en la cual, dentro de los hallazgos más frecuentes, se encuentran las opacidades en vidrio esmerilado, las consolidaciones y las opacidades con patrón en crazy paving predominantes en las regiones periféricas pulmonares9.
Zhou et al.10) reportan hallazgos similares en tomografías de 100 pacientes con COVID-19 y proponen que la causa de la distribución periférica de los infiltrados se debe a la tendencia del virus a invadir los bronquiolos y los alvéolos, causando una reacción inflamatoria dependiente de células inmunitarias que se encuentran en vasos sanguíneos y linfáticos, los cuales son más abundantes en estas regiones.
En otro estudio con 130 pacientes, Wu et al.11 hacen hincapié en la frecuente afectación multilobar de esta infección, reportando un 89% de bilateralidad en su serie de casos. Nuestra población de estudio también mostró similares hallazgos, con solo un caso manifestado como lesión única.
Una revisión sistemática con 919 pacientes no difiere significativamente en sus aportes12. Agrega como características poco frecuentes el engrosamiento septal, las bronquiectasias y el engrosamiento pleural, mayormente en pacientes de edad avanzada. Mencionan además como hallazgos infrecuentes el derrame pleural y pericárdico, las adenopatías mediastinales, las cavitaciones y el neumotórax.
En nuestra serie solo se registró derrame pleural como hallazgo infrecuente en dos pacientes y un único caso de neumotórax, el cual fue atribuido a la complicación de un procedimiento previo.
Jacobi et al. (13) estudiaron las manifestaciones radiológicas de la COVID-19 observadas con Rx portátil y describieron que en el momento en que los infiltrados involucran la mayor parte del parénquima pulmonar en forma difusa es cuando el paciente comienza con falla respiratoria y requiere intubación mecánica, lo que pudimos comprobar en nuestro trabajo.
A diferencia del resto de los estudios publicados, la mayor parte de nuestra experiencia se basa en estudios de radiología convencional. Si bien en un primer momento los protocolos incluían la TC como criterio diagnóstico de COVID-19, hoy en día se reserva para casos graves y para aquellos pacientes con mala progresión clínica. La Rx, por otra parte, tampoco es mandataria al ingreso hospitalario de los pacientes, y dada la menor sensibilidad de este método, es frecuente que las opacidades que se observan en la TC de aspecto en vidrio esmerilado no sean detectadas o se visualicen como opacidades sutiles y mal definidas del parénquima pulmonar.
En cuanto a la TC, encontramos como diferencia respecto a los estudios publicados un ligero predominio de las opacidades en los lóbulos superiores, aunque esto podría deberse a la pequeña muestra, no descartando que se vea modificado en investigaciones posteriores.
Si bien nuestro trabajo cuenta con cierta limitación en el número de pacientes a los que se realizaron Rx, y aún más TC, consideramos importante nuestra experiencia como centro de alta complejidad, con el fin de documentar los hallazgos en nuestra población, ya que hasta el momento la mayoría de los estudios se basan en publicaciones internacionales y con casuística de otras regiones. Asimismo, consideramos este estudio como un primer paso para publicaciones posteriores con mayor peso estadístico.
Conclusiones
A medida que la pandemia avanza es importante reconocer los hallazgos sugestivos de COVID-19 en las Rx convencionales, ya que este es el método disponible en la mayoría de los centros de salud. Nuestra experiencia demostró como características frecuentes la presencia de opacidades parcheadas en vidrio esmerilado y consolidativas parcheadas de distribución predominantemente en los lóbulos inferiores. Es indispensable, además, conocerlos para poder alertar al equipo médico ante su sospecha radiográfica en estudios que se realicen por otros motivos, teniendo en cuenta que la mayoría de los pacientes cursan la enfermedad de forma asintomática, pudiendo ser igualmente portadores de ella.
En cuanto a los hallazgos tomográficos, podemos concluir que se condicen con lo descrito en la literatura internacional, identificándose como única diferencia el predominio de los infiltrados pulmonares en los lóbulos superiores, no descartando que esta se deba al bajo número de pacientes, lo que podría verse modificado en futuras investigaciones.
Bibliografía
Center for Systems Science and Engineering (CSSE). COVID-19 Dashboard. Johns Hopkins University. (Consultado el 12-05-2020.) Disponible en: Disponible en: https://coronavirus.jhu.edu/map.html.
Cao B, Wang Y, Wen D, Liu W, Wang J, Fan G, et al. A trial of lopinavir-ritonavir in adults hospitalized with severe Covid-19. N Engl J Med. 2020;382:1787-99.
Geleris J, Sun Y, Platt J, Zucker J, Baldwin M, Hripcsak G, et al. Observational study of hydroxychloroquine in hospitalized patients with Covid-19. N Engl J Med . 382:2411-8.
Grein J, Ohmagari N, Shin D, Díaz G, Asperges E, Castagna A, et al. Compassionate use of remdesivir for patients with severe Covid-19. N Engl J Med . 382:2327-36.
Chen WH, Strych U, Hotez PJ, Bottazzi ME. The SARS-CoV-2 vaccine pipeline: an overview. Curr Trop Med Rep. 2020;3:1-4.
Moy L, Bluemke D. The Radiology Scientific Expert Panel. Radiology. 2020;296:E105.
Wong HYF, Lam HYS, Fong AH-T, Leung ST, Chin TW-Y, Lo CSY, et al. Frequency and distribution of chest radiographic findings in COVID-19 positive patients. Radiology. 2020;296:E72-8.
Wen Z, Chi Y, Zhang L, Liu H, Du K, Li Z, et al. Coronavirus disease 2019: initial detection on chest CT in a retrospective multicenter study of 103 Chinese subjects. Radiol Cardiothorac Imaging. 2020;2:e200092.
Simpson S, Kay FU, Abbara S, Bhalla S, Chung JH, Chung M, et al. Radiological Society of North America Expert Consensus Statement on Reporting Chest CT Findings Related to COVID-19. Endorsed by the Society of Thoracic Radiology, the American College of Radiology, and RSNA. J Thorac Imaging. 2020;35:219-27.
Zhou S, Zhu T, Wang Y, Xia L. Imaging features and evolution on CT in 100 COVID-19 pneumonia patients in Wuhan, China. Eur Radiol. 2020;4:1-9.
Wu J, Pan J, Teng D, Xu X, Feng J, Chen YC. Interpretation of CT signs of 2019 novel coronavirus (COVID-19) pneumonia. Eur Radiol. 2020;4: 1-8.
Salehi S, Abedi A, Balakrishnan S, Gholamrezanezhad A. Coronavirus disease 2019 (COVID-19): a systematic review of imaging findings in 919 patients. Am J Roentgenol. 2020;215:87-93.
Jacobi A, Chung M, Bernheim A, Eber C. Portable chest X-ray in coronavirus disease-19 (COVID-19): a pictorial review. Clin Imaging. 2020;64: 35-42.
Notas
Confidencialidad de los datos. Los autores declaran que han seguido los protocolos de su centro de trabajo sobre la publicación de datos de pacientes.
Derecho a la privacidad y consentimiento informado. Los autores han obtenido el consentimiento informado de los pacientes y/o sujetos referidos en el artículo. Este documento obra en poder del autor de correspondencia.
Notas de autor
Correspondencia: Jairo Hernández-Pinzón E-mail: jahernandezpinzon@gmail.com
Declaración de intereses