Resumen
Objetivo: Describir los hallazgos en resonancia magnética (RM) en lesiones intralaberínticas.
Método: Se incluyeron pacientes evaluados entre enero de 2012 y marzo de 2019 que se sometieron a una RM del oído interno. Se recogieron datos demográficos y de imagen. Las RM incluyeron secuencias ponderadas en T2 de alta resolución (T2 AR), secuencias ponderadas en T1 sin contraste (T1 SC) y secuencias ponderadas en T1 con contraste (T1 CC).
Resultados: Se analizaron las imágenes de RM de 23 pacientes con una mediana de edad de 60 años (rango: 43-73). Encontramos 8 (34,8%) pacientes con neurinoma intralaberíntico, 7 (30,4%) con laberintitis inflamatoria, 5 (21,7%) con laberintitis osificante y 3 (13%) con hemorragia intralaberíntica. Todos los pacientes con neurinoma intralaberíntico tenían una baja señal en la secuencias T2 AR, ligera hiperseñal en las secuencias T1 SC y realce poscontraste. Tres pacientes (42,5%) con laberintitis inflamatoria tenían baja señal en las secuencias T2 AR y 5 (71%) tenían realce en las secuencias T1 CC. Los pacientes con laberintitis osificante tenían una baja señal en las secuencias T2 AR y los pacientes con hemorragia tenían una señal alta en las secuencias T1 SC. Los pacientes con neurinoma intralaberíntico tenían señal más baja en T2 AR que los pacientes con laberintitis inflamatoria (p = 0,026).
Conclusiones: Existen diferentes condiciones que pueden alterar la señal del laberinto en la RM. El patrón radiológico permite establecer su diagnóstico. La investigación proporciona información relevante para la interpretación de las alteraciones de la señal del laberinto membranoso en la RM.
Palabras clave: Resonancia magnética, Laberinto, Laberintitis.
Abstract
Objective: The objective of this investigation is to describe the findings in magnetic resonance imaging (MRI) in intralabyrinthine lesions.
Method: We included patients evaluated between January 2012 and March 2019 who underwent an MRI of the inner ear. Demographic and image data were collected. MRI included high-resolution T2 (HR-T2), non-contrast T1 (NC-T1) and contrast-enhanced T1 (CE-T1).
Results: MRI images of 23 patients were analyzed. The median age was 60 years (range: 43-73). We found 8 (34.8%) patients with intra-labyrinthine neurinoma, 7 (30.4%) patients with inflammatory labyrinthitis, 5 (21.7%) with ossifying labyrinthitis and 3 (13%) with intra-labyrinthine hemorrhage. All patients with intra-labyrinthine neurinoma had a low signal in HR-T2, a slight high signal in NC- T1 and post-contrast enhancement. Three patients with inflammatory labyrinthitis (42.5%) had low signal in HR-T2 and 5 patients (71%) had enhancement with CE-T1. Patients with ossifying labyrinthitis had a low signal in HR-T2 and patients with hemorrhage had high signal in NC-T1. Patients with intra-labyrinthine neurinoma had a lower signal in HR-T2 than patients with inflammatory labyrinthitis (p = 0.026).
Conclusions: There are multiple entities that can alter the labyrinth signal in MRI. The radiological pattern allows establishing their diagnosis. The research provides relevant information for the interpretation of the alterations of the membranous labyrinth signal in MRI.
Keywords: Magnetic resonance imaging, Labyrinth, Labyrinthitis.
Artículo Original
Resonancia magnética de alta definición para la evaluación de trastornos laberínticos
High definition magnetic resonance imaging for the evaluation of labyrinthic disorders
Recepción: 02 Mayo 2020
Aprobación: 17 Mayo 2021
El laberinto membranoso es una estructura ubicada dentro de la cápsula ótica (laberinto óseo), en la porción petrosa del hueso temporal. Está constituido por la cóclea, el vestíbulo (utrículo y sáculo), los canales semicirculares, el conducto endolinfático y el conducto coclear.
La resonancia magnética (RM) es el método de elección en el estudio de las patologías del laberinto membranoso, pues puede brindar información fundamental para poder caracterizarlas1,2. La interpretación de las alteraciones de la señal del laberinto membranoso es importante debido a que condiciona el manejo y el tratamiento del paciente.
Las secuencias más útiles en la evaluación del laberinto membranoso son las secuencias ponderadas en T1 sin contraste (T1 SC), las secuencias ponderadas en T2 de alta resolución (T2 AR) y las secuencias ponderadas en T1 con contraste (T1 CC). La presencia de señal hiperintensa espontánea en T1 SC sugiere la presencia de metahemoglobina y nos orienta a una hemorragia laberíntica. La ausencia de señal de líquido en T2 AR podría proponer la presencia de una neoplasia intralaberíntica o la osificación del laberinto. La presencia de refuerzo en T1 CC podría indicar una laberintitis inflamatoria o la presencia de una neoplasia intralaberíntica3. Los patrones radiológicos descritos pueden mostrar cierto grado de superposición, por lo que es necesaria una meticulosa evaluación de las secuencias mencionadas y una estricta correlación con los datos clínicos para una mejor aproximación diagnóstica.
Se han publicado diversos trabajos de investigación acerca de la utilidad de la RM en el diagnóstico de dichas afecciones. En un estudio de investigación de Peng et al. (4, en el que incluyeron 11 pacientes con alteraciones de la señal del laberinto, se detectó que la secuencia T1 CC era la más útil para diferenciar lesiones tumorales de lesiones inflamatorias. Dada la muestra limitada, los datos son difíciles de extrapolar a la población general.
Presentamos un estudio en el cual analizamos la señal del laberinto membranoso en diferentes pacientes con sospecha de patología intralaberíntica. Las afecciones que incluimos en nuestra investigación fueron laberintitis inflamatoria, hemorragia intralaberíntica, neurinoma intralaberíntico y laberintitis osificante. Como objetivo secundario, planteamos establecer la utilidad de la secuencia T2 AR en la comparación entre pacientes con neurinomas intralaberínticos y laberintitis inflamatoria, debido a que son dos de las afecciones intralaberínticas más frecuentes y que, además, en ellas pueden superponerse los hallazgos de la RM.
Realizamos un estudio retrospectivo en el que se incluyeron pacientes evaluados entre enero de 2012 y marzo de 2019 que se sometieron a una RM del oído interno. Los pacientes debían haber tenido seguimiento por especialistas en otorrinolaringología y estudios disponibles en PACS (Picture Archiving and Communication System) para su evaluación. Debido a que no existen criterios diagnósticos establecidos para las patologías estudiadas, se incluyeron pacientes basándose en la interpretación conjunta de presentación clínica, hallazgos de imágenes y evolución. Para los pacientes con neurinomas intralaberínticos, el criterio se basó en la evolución clínica sin cambios o la progresión de síntomas durante la evaluación. Para los pacientes con laberintitis inflamatoria o hemorragia laberíntica se usó como criterio la mejoría clínica durante el seguimiento o el control por imágenes con resolución de los hallazgos iniciales. Para la laberintitis osificante se requirió una tomografía computada (TC) de peñascos como estudio complementario a la RM de oídos para la confirmación de osificación. Dada la baja frecuencia de las patologías del laberinto membranoso, se incluyeron todos los pacientes que cumplían los criterios de inclusión, en un muestreo no probabilístico por conveniencia. Se recogieron datos demográficos y de imagen. Los estudios fueron realizados en cuatro equipos de RM: un equipo Avanto 1.5 T (Siemens, Alemania), un equipo Essenza 1.5 T (Siemens, Alemania), un equipo Achieva 1.5 T (Philips, Holanda) y un equipo Ingenia 3 T (Philips, Holanda). Los parámetros técnicos básicos de las secuencias utilizadas se detallan en la tabla 1. El detalle de los estudios realizados en cada equipo fue el siguiente: 2 pacientes fueron estudiados en el equipo Avanto, 13 pacientes se estudiaron en el equipo Essenza, 5 pacientes se estudiaron en el equipo Achieva y 3 pacientes se estudiaron en el equipo Ingenia (con un total de 23 pacientes).

Las imágenes de RM incluyeron secuencias T2 AR, T1 SC y T1 CC. Los parámetros de las secuencias utilizadas fueron los siguientes:
Secuencia T2 AR: los equipos marca Siemens (Avanto y Essenza) utilizan secuencia de gradiente CISS volumétrica (3D), y los equipos marca Philips (Achieva e Ingenia) utilizan secuencia de gradiente Balance FFE 3D.
Secuencias T1 SC y T1 CC: se utilizan secuencias spin echo 2D precontraste y poscontraste en los cuatro equipos.
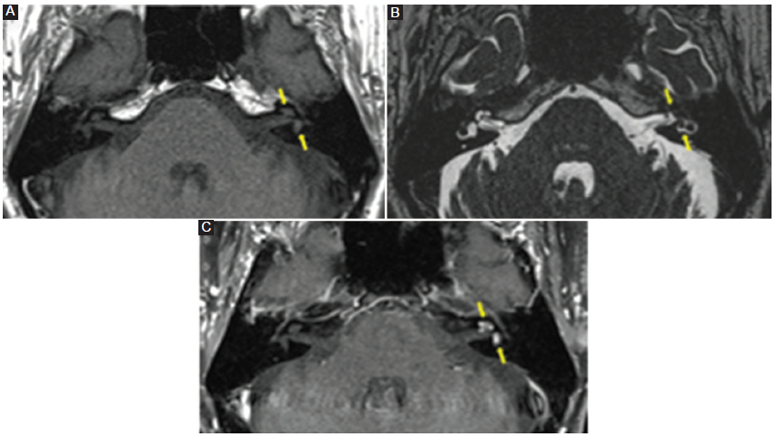
Se dibujaron áreas de interés (ROI, regions of interest) sobre la cóclea y el vestíbulo de ambos lados en las tres secuencias realizadas. Las mediciones fueron realizadas por un investigador con 6 años de experiencia en neuroimágenes (MPA). Los datos fueron estandarizados en relación con la señal del líquido cefalorraquídeo (LCR) del cuarto ventrículo para evitar variabilidad por diferencias en el fabricante del resonador (Fig. 1).

Las variables continuas se expresan con mediana y rango intercuartil, y las categóricas mediante porcentaje. La comparación de variables continuas se realizó mediante la prueba t de Student. El análisis estadístico se realizó con el programa IBM SPSS Statistics for macOS, version 22.0 (IBM Corp., Armonk, N.Y., USA). El valor de significancia estadística se estableció en 0.05.
El estudio fue aprobado por el Comité de Ética de nuestra institución.
Se analizaron las imágenes de RM de 23 pacientes (Fig. 2). La mediana de edad fue de 60 años (rango: 43-73). De ellos, 13 pacientes eran de sexo masculino (M) y 10 de sexo femenino (F). Encontramos 8 pacientes (34,8%) con neurinoma intralaberíntico (4 M y 4 F), de los cuales 5 eran intracocleares y 3 vestibulococleares (3 del lado derecho, 4 del lado izquierdo y uno de bilateral); 7 pacientes (30,4%) con laberintitis inflamatoria (4 M y 3 F), de las cuales 2 eran del lado derecho, 2 del lado izquierdo y 3 eran bilaterales; 5 pacientes (21.7%) con laberintitis osificante (2 M y 3 F), de las cuales 3 eran del lado derecho, 1 del lado izquierdo y 1 bilateral; y 3 pacientes (13%) con hemorragia intralaberíntica (3 M), de las cuales 2 eran del lado derecho y 1 del lado izquierdo.

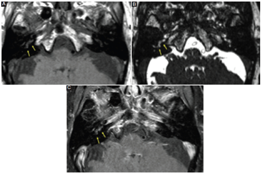
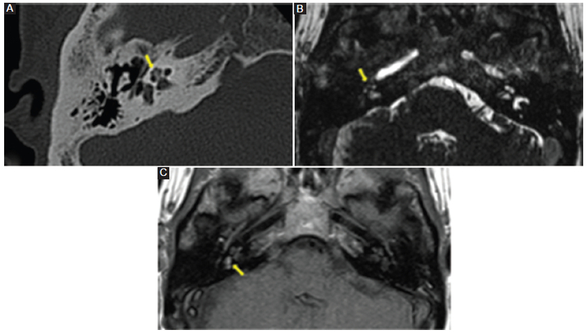
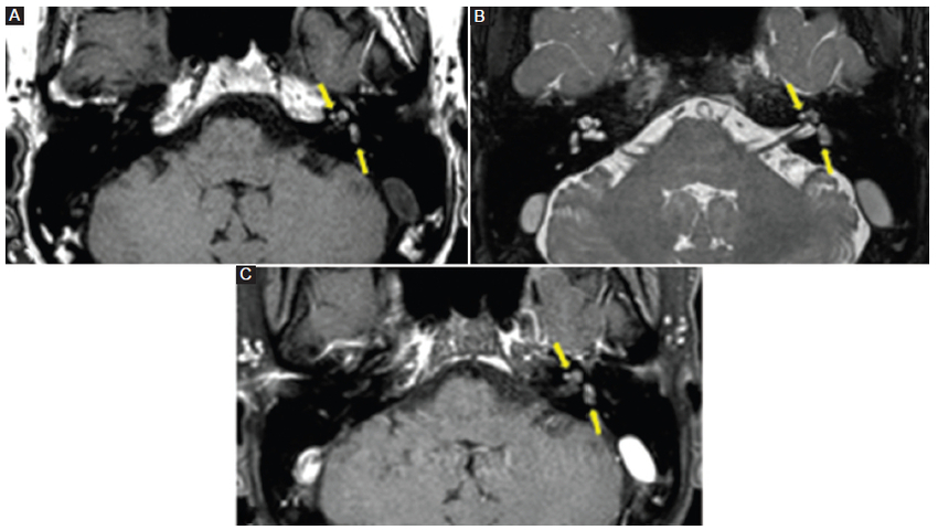
Todos los pacientes con neurinoma intralaberíntico revelaban una baja señal en la secuencia T2 AR, ligera hiperseñal en la secuencia T1 SC y realce poscontraste con márgenes bien definidos (Fig. 3). Tres pacientes con laberintitis inflamatoria (42,5%) mostraron baja señal en las secuencias T2 AR y T1 SC, y 5 pacientes (71%) manifestaban realce con el contraste (Fig. 4), con márgenes menos claros que los pacientes con neurinoma. Los 5 pacientes con laberintitis osificante presentaron baja señal en la secuencia T2 AR, y 2 pacientes (40%) tenían hiperseñal en la secuencia T1 SC (Fig. 5). Solo en 3 pacientes con laberintitis osificante se realizó secuencia con contraste, y 2 de ellos mostraron realce. Los 3 pacientes con hemorragia evidenciaron una señal alta en la secuencia sin contraste (Fig. 6) y 2 (66,7%) presentaron refuerzo poscontraste (Tabla 2).





Cuando comparamos el neurinoma intralaberíntico con la laberintitis inflamatoria mediante la prueba t de Student, encontramos una diferencia significativa en la señal en la secuencia T2 AR. Los pacientes con neurioma presentaban señal hipointensa (M = 0,29; SD = 0,2) frente a los pacientes con laberintitis (M = 0,52; SD = 0,01), gl (10,63) (p = 0,028) en la evaluación de la cóclea, así como en la valoración del vestíbulo en la que los pacientes con neurinoma tenía una señal más baja (M = 0,42; SD = 0,2) frente a pacientes con laberintitis (M = 0,72; SD = 0,2), gl (12.9) (p = 0,02). No encontramos diferencias en la señal de la secuencia sin contraste ni en el refuerzo poscontraste entre estas dos afecciones (Tabla 3).

Presentamos un trabajo con análisis de señal de estudios de RM de oídos en pacientes con patología intralaberíntica.
Los schwannomas o neurinomas son tumores benignos de lento crecimiento derivados de las células de Schwann. Los localizados en el laberinto membranoso se denominan tumores intralaberínticos. Dentro de esta clasificación existen dos subgrupos, llamados cocleares y vestibulares, dependiendo de si se originan dentro de la cóclea o del vestíbulo, respectivamente; se denominan vestibulococleares si comprometen ambas estructuras.
Son lesiones raras, que se manifiestan en adultos mayores de 40 años, sin predilección por un sexo. Clínicamente se presentan con hipoacusia unilateral de lenta progresión; en el caso de la localización intracoclear, agregando acúfenos y vértigos en los tumores originados en el vestíbulo. El diagnóstico suele basarse en la evolución clínica e imagenológica, dado que en pocos casos se resuelven de forma quirúrgica.
Característicamente, por RM suelen mostrar una señal ligeramente hiperintensa en la secuencia T1 SC y un marcado realce focal en la secuencia T1 CC. Algunos casos infrecuentes pueden tener solo un ligero realce, pero acompañan una clara ausencia de señal en la secuencia T2 AR.
En los pacientes analizados en nuestra investigación, el 100% presentaron las tres características clásicas mencionadas en la literatura: alta señal en la secuencia sin contraste, ausencia de señal en la secuencia T2 AR y marcado realce con el contraste5,6.
La laberintitis es una enfermedad aguda o subaguda de causa inflamatoria o infecciosa del laberinto membranoso (espacios que contienen líquido en el oído interno). Puede manifestarse a cualquier edad, clásicamente con una hipoacusia neurosensorial súbita unilateral, a veces a lo largo de horas o pocos días, asociada a acúfenos y vértigo. Dicha clínica aguda se evidencia cuando la causa es viral; en cambio, cuando la causa es bacteriana, más habitual en la infancia, la clínica es más progresiva. El refuerzo poscontraste suele verse en la fase aguda, pero puede ser de difícil detección debido a la señal hiperintensa espontánea en la secuencia ponderada en T1, vinculada con el alto contenido proteico del tejido inflamatorio7,8.
La laberintitis hemorrágica, también llamada hemorragia laberíntica perilinfática, es la presencia de material hemático dentro del laberinto membranoso. Puede manifestarse también a cualquier edad, con hallazgos clínicos similares a los de la laberintitis inflamatoria o infecciosa: hipoacusia neurosensorial súbita unilateral, acúfenos y vértigo.
Dada la presentación clínica similar, los hallazgos por imagen nos brindan mayor información para aproximar el diagnóstico. En la secuencia T1 CC, ambas afecciones pueden exhibir un ligero realce con el contraste intravenoso (no tan marcado como el schwannoma), y la secuencia T2 AR puede ser normal. Lo característico y lo que las diferencia es que en la laberintitis inflamatoria la secuencia T1 SC puede mostrar una señal normal o levemente aumentada, y en la hemorragia laberíntica muestra una marcada señal hiperintensa.
En nuestra muestra, acorde con estos hallazgos descritos en la literatura, solo el 42,5% de los pacientes con laberintitis inflamatoria evidenciaron señal alta en la secuencia T1 SC. En cambio, el 100% de los pacientes con hemorragia laberíntica mostraron evidente señal hiperintensa en la misma secuencia1,2.
La laberintitis osificante es una secuela cicatrizal de una lesión infecciosa, inflamatoria, traumática o quirúrgica del oído interno, y está constituida por osificación tisular. Clásicamente ocurre en niños de 2 a 18 meses, después de un episodio de meningitis aguda, y se presenta con hipoacusia neurosensorial bilateral, aunque en algunos casos puede asociarse a vértigo intenso, lo cual es infrecuente, pero devastador.
Dependiendo de la localización, la patología se clasifica en coclear, si afecta la cóclea, o no coclear, si compromete al vestíbulo o los conductos semicirculares, si afecta a ambas se denomina mixta. Puede ser el estadio final de una laberintitis infecciosa.
La RM puede ayudar al diagnóstico con la secuencia T2 AR, mostrando una señal intermedia, baja o ausente dependiendo de la gravedad de la enfermedad. Puede evidenciarse hiperintensidad en la secuencia T1 SC y ligero realce con el contraste. Este último puede estar presente tanto en los casos de laberintitis membranosa, una etapa precursora de la laberintitis osificante, como en la etapa osificante misma.
De cualquier manera, el método de elección para su diagnóstico es la TC del hueso temporal en ventana ósea, la cual puede mostrar una hiperdensidad sutil del laberinto membranoso en los casos más leves y una osificación completa del laberinto en los casos más graves.
Acorde con estos hallazgos, en nuestra muestra, el 100% de los pacientes con esta patología presentaron baja señal en la secuencia T2 AR2,9,10,11.
Como objetivo secundario, nos planteamos la utilidad de la secuencia T2 AR en la comparación entre pacientes con neurinomas intralaberínticos y laberintitis inflamatoria, debido a que son dos de las afecciones intralaberínticas más frecuentes y que además en ellas se pueden superponer los hallazgos de RM. En la evaluación de pacientes con ambas afecciones encontramos una señal más baja en la secuencia en T2 AR en el neurinoma intralaberíntico como única variable estadísticamente significativa.
Como ya hemos mencionado, existen diversas publicaciones acerca de la utilidad de la RM en el diagnóstico de las afecciones que comprometen el laberinto membranoso. En una revisión de Peng et al. (4 se analizaron 11 pacientes con alteraciones de la señal del laberinto y se concluyó que la secuencia T1 CC es la más útil para diferenciar lesiones tumorales de lesiones inflamatorias. Una posible debilidad de este estudio es el pequeño número de pacientes, lo que disminuye su poder estadístico y la generalización de los hallazgos.
Nuestro trabajo incluye un número mayor de pacientes y encontramos que la secuencia T2 AR tiene una mayor utilidad para distinguir neurinomas intralaberínticos de laberintitis inflamatoria. Para esto empleamos una forma de estandarización de señal diferente: en lugar de comparar la señal del laberinto patológico con el contralateral, confrontamos la señal de cada laberinto con la señal del LCR en el cuarto ventrículo. De esta forma, evitamos que la posible afectación del laberinto de forma bilateral (en especial en la laberintitis inflamatoria) reduzca la sensibilidad del método.
El estudio tiene varias limitantes. La primera está en relación con el diagnóstico final de los pacientes, dado que las lesiones laberínticas no suelen tener diagnóstico histopatológico y categorizamos a los pacientes según el diagnóstico más probable, basado en la presentación clínica, la evolución radiológica y la interpretación del médico tratante, lo que podría inducir que algún paciente no esté adecuadamente categorizado para el análisis de grupos. También se debe mencionar como limitante el tamaño muestral, lo cual puede influir en las diferencias estadísticas encontradas, y que las diferencia según el fabricante del resonador podrían interferir en los valores de señal recolectados, incluso aplicando la estandarización de la señal del LCR del cuarto ventrículo.
La RM es el método de elección en el estudio de la patología del laberinto membranoso, pues puede brindar información fundamental para poder diferenciar las posibles afecciones. En el análisis comparativo entre ellas, encontramos que la secuencia T2 AR tiene mayor utilidad para diferenciar entre neurinomas intralaberínticos y laberintitis inflamatoria.
La interpretación de las alteraciones de la señal del laberinto membranoso es importante, debido a que condiciona el manejo y el tratamiento del paciente.
Confidencialidad de los datos. Los autores declaran que en este artículo no aparecen datos de pacientes.
Derecho a la privacidad y consentimiento informado. Derecho a la privacidad y consentimiento informado. Los autores han obtenido la aprobación del Comité de Ética para el análisis y publicación de datos clínicos obtenidos de forma rutinaria. El consentimiento informado de los pacientes no fue requerido por tratarse de un estudio observacional retrospectivo.
Correspondencia: Marina A. Esteves da Cunha E-mail: maedacunha@gmail.com








