Ensayo Iconográfico
Hallazgos posoperatorios esperables en cirugías de aorta torácica ascendente con angiotomografía computada multicorte: todo lo que un médico radiólogo debe conocer
Expected postoperative findings in ascending thoracic aortic surgeries with multislice angiotomography: Everything a radiologist should know
Hallazgos posoperatorios esperables en cirugías de aorta torácica ascendente con angiotomografía computada multicorte: todo lo que un médico radiólogo debe conocer
Revista argentina de radiología, vol. 86, núm. 2, pp. 115-123, 2022
Sociedad Argentina de Radiología
Recepción: 20 Marzo 2020
Aprobación: 28 Diciembre 2020
Resumen: Para la reconstrucción y el tratamiento de anomalías que comprometen la aorta torácica pueden emplearse diversas técnicas quirúrgicas abiertas, las cuales estarán determinadas por la patología que presente el paciente. La angiotomografía computada multicorte (ATCMC) es el método de elección para su control y seguimiento. El médico radiólogo debe estar familiarizado con las técnicas quirúrgicas empleadas (Wheat, Bentall de Bono, Cabrol, entre otras), con las reparaciones estructurales que se realizan y con los materiales protésicos utilizados con el fin de evitar una interpretación errónea de las imágenes. El fieltro espontáneamente hiperdenso, los conductos protésicos y sus anastomosis, tanto con la aorta como con los grandes vasos, puede generar errores en el informe final y en el diagnóstico.
Palabras clave: Angiotomografía computada multicorte, Procedimientos quirúrgicos cardiovasculares, Aorta ascendente.
Abstract: Multiple surgical techniques can be used for the reconstruction and treatment of abnormalities that compromise the thoracic aorta, which will be determined by the patient’s pathology. Multislice computed tomography angiography is the method of choice for their control and monitoring. The radiologist should be familiar with the surgical techniques used (Wheat, Bentall de Bono, and Cabrol, among others), as well as with the structural repairs that are performed and the prosthetic materials used in order to avoid an erroneous interpretation of the images. Spontaneously hyperdense felt, the prosthetic ducts and their anastomosis, both with the aorta and the large vessels, can generate pitfalls in the final report and error in the diagnosis.
Keywords: Multislice computed tomography angiography, Cardiovascular surgical procedures, Ascending aorta.
Objetivo
Reconocer en las angiotomografías computadas multicorte (ATCMC) los hallazgos posoperatorios esperables y pitfalls de las diferentes técnicas quirúrgicas disponibles para la aorta torácica ascendente.
Introducción
Las cirugías de la aorta ascendente por patologías agudas (disección y aneurismas aórticos), así como los procesos crónicos (enfermedad ateroesclerótica o alteraciones genéticas, como el síndrome de Marfan y el síndrome de Ehlers-Danlos), requieren casi inevitablemente la resección del segmento afectado y su consecuente reparación con un injerto que une distalmente a la aorta torácica. Existen numerosas técnicas quirúrgicas, que han evolucionado con el paso del tiempo y que presentan singulares características técnicas e imagenológicas. Debido a esto, para el radiólogo es importante conocer los procedimientos y reconocer los cambios esperables en los diversos métodos por imágenes, adquiriendo especial importancia la ATCMC1.
Discusión
Las técnicas quirúrgicas utilizadas en la reparación de patologías que comprometen la aorta torácica pueden ser clasificadas como interposición o inclusión de un injerto. La técnica de interposición consiste en la resección del segmento afectado y el posterior reemplazo por un injerto compuesto por fibras sintéticas. La técnica de inclusión conlleva una aortotomía y la colocación de un injerto que se sutura en la aorta nativa. Este último es el procedimiento de elección en la actualidad1. Adicionalmente, la técnica quirúrgica varía según la ubicación y la extensión de la enfermedad, en lo que se tiene en cuenta el compromiso de las arterias coronarias, la válvula aórtica y los vasos supraaórticos1.
A continuación, se realizará una breve reseña de los cuatro procedimientos más usados que se emplean para el tratamiento quirúrgico de las patologías de la aorta ascendente. Se describen las características imagenológicas habituales que son clave para la correcta interpretación de los cambios esperables y de las potenciales complicaciones.
Cirugía de Wheat
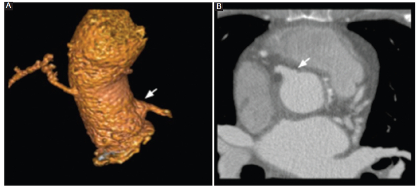
El empleo de un injerto aórtico ascendente que se coloca distal al ostium de las arterias coronarias se conoce como injerto supracoronario, y al asociarse con un reemplazo de la válvula aórtica se conoce como técnica de Wheat (Fig. 1). Los injertos supracoronarios se indican en pacientes con aneurisma de aorta torácica ascendente (generalmente de origen aterosclerótico) que presentan indemnidad estructural de los senos de Valsalva. Con este procedimiento se evitan las complicaciones de la manipulación del ostium coronario nativo, lo cual se traduce en una minimización de los riesgos de pseudoaneurismas, estenosis, trombosis y pliegues en el sitio de la anastomosis coronaria. Las complicaciones más frecuentes de este procedimiento son la disección aórtica nativa proximal y los pseudoaneurismas2,3,4.

Cirugía de Bentall de Bono
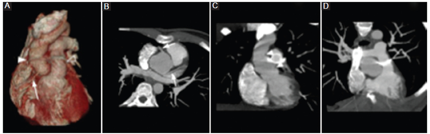
Fue desarrollada para pacientes con enfermedad valvular y dilatación de los senos de Valsalva cuyas paredes eran demasiado vulnerables para permitir la sutura de la prótesis. Consiste en el uso de un injerto compuesto que contiene una prótesis valvular aórtica y el reemplazo protésico de la arteria aorta ascendente, a la que se reimplantan las arterias coronarias nativas (Fig. 2) (2,3,5. Consecuente al desarrollo relativamente común de pseudoaneurismas en los sitios de anastomosis de las arterias coronarias nativas, se produjeron mejoras en la técnica que llevaron a la creación del procedimiento de Bentall modificado o «botón de Bentall», en el que se adquiere un botón coronario de la aorta que contiene el ostium de las arterias coronarias junto a esta, facilitando así la anastomosis del injerto (Fig. 3) (2,3,5. En la actualidad, el botón de Bentall es el método preferido para la reparación de la raíz aórtica. A pesar de estos últimos cambios, no está exento de la formación de pseudoaneurismas en los sitios de la anastomosis aórtica distal2,3,5.


Cirugía de Cabrol
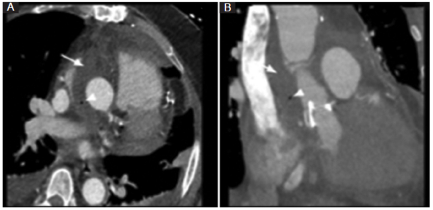
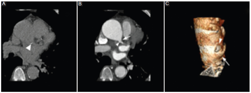
La técnica de Cabrol se desarrolló como una alternativa al procedimiento de Bentall modificado en pacientes con disección aórtica, aneurisma aterosclerótico e imposibilidad de realizar la técnica de Bentall por aterosclerosis grave que impide el empleo de botones aórticos, así como el compromiso grave de la arteria coronaria proximal. Primero, los ostia coronarios se anastomosan a un conducto protésico en una anastomosis término-terminal. A su vez, este conducto está anastomosado al injerto aórtico ascendente en una anastomosis latero-lateral, típicamente posterior al injerto (Fig. 4) (2,3,5. La apariencia posoperatoria normal de un conducto retroaórtico puede asemejarse a un colgajo de disección aórtica, por lo que el conocimiento de la técnica quirúrgica y su antecedente es importante al momento del informe imagenológico2,3,5.

Cirugía de Ross
Esta operación fue ideada para implementarse en niños porque el autoinjerto pulmonar crece con el niño, aunque también puede ser utilizada en pacientes de cualquier edad6.
En el procedimiento de Ross, la válvula aórtica nativa y la raíz aórtica son reemplazadas a 1 cm distal al origen de la arteria coronaria derecha, lo que a su vez permite inspeccionar el estado de la válvula aórtica, la raíz aórtica y el tracto de salida del ventrículo izquierdo durante el acto quirúrgico7. La válvula pulmonar y la porción proximal de la arteria pulmonar del propio paciente se fijan al tracto de salida del ventrículo izquierdo y al anillo aórtico con múltiples suturas de poliéster. A esta arteria aorta tratada se le reimplantan las arterias coronarias, las cuales serán reubicadas en función de la válvula, pudiendo ser esta última subcoronaria, subcoronaria con preservación del seno no coronario, cilíndrica o raíz completa. Finalmente, se restablece el flujo de la arteria pulmonar a través de un injerto sintético o bioprotésico (Figs. 5 y 6) (6,7.


Al igual que otros procedimientos, la cirugía de Ross puede tener complicaciones, entre las que se mencionan el aumento de la regurgitación aórtica y la dilatación progresiva del autoinjerto pulmonar como principales limitaciones6,7.
Hallazgos esperables y pitfalls
Conocer el tiempo de evolución desde la cirugía resulta de vital importancia en la valoración de los hallazgos esperables durante las primeras semanas posteriores al procedimiento. Debido a ello, las características normales en un periodo agudo, menor de 6 semanas, pueden adquirir una significación patológica al volverse crónicas.
Cambios posoperatorios agudos
La visualización de colecciones líquidas homogéneas de baja densidad o áreas de aumento de la densidad de partes blandas periinjerto son hallazgos esperables en los procedimientos de la aorta torácica ascendente. Estas se han asociado con una reacción inflamatoria al material sintético del injerto o un tejido fibroso organizado posterior a un hematoma posoperatorio. Estas colecciones no realzan tras la administración de contraste intravenoso y se pueden resolver espontáneamente. La presencia de burbujas de aire en el mediastino (neumomediastino) es esperable durante el posoperatorio temprano. Sin embargo, estas cualidades deberían ser merecedoras de mención cuando son nuevas, incrementan de tamaño o persisten por más de 6 semanas (Fig. 7) (1,2,3.

Cambios posoperatorios crónicos
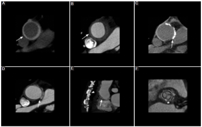
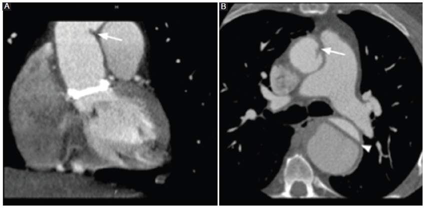
La fase sin contraste es de vital importancia para diferenciar las estructuras posquirúrgicas hiperdensas normales de las posibles complicaciones, como son la extravasación del material de contraste y los pseudoaneurismas. El dacrón es el material empleado en las prótesis y se observa de bordes redondeados, paredes lisas y ligeramente hiperdenso en las fases sin contraste intravenoso, lo cual puede simular un pseudoaneurisma. Este último se diferencia por su presentación típica en forma de lesiones hipodensas o isodensas en las imágenes sin contraste (Fig. 8) (3,4,5,6,7,8.

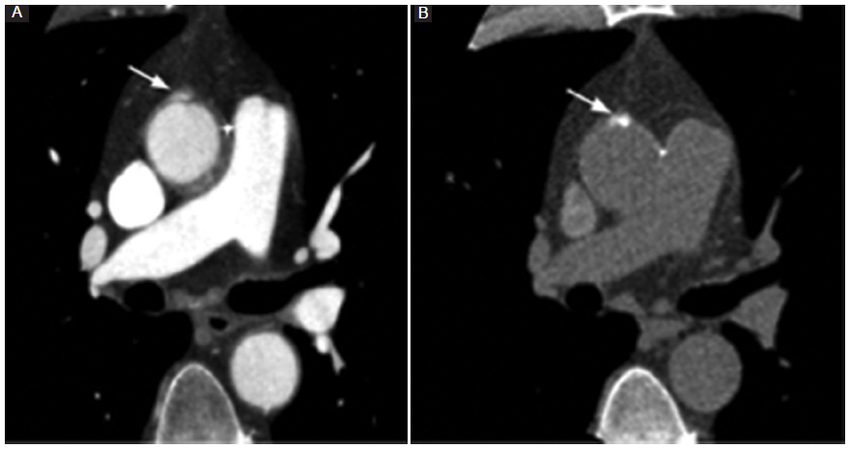
Otro dato a tener en cuenta son las tiras de fieltro que pueden verse alrededor del injerto, como en los sitios de colocación de la cánula arterial, al igual que el lugar de la anastomosis de la arteria coronaria (técnica del botón) (Fig. 9). Estas tiras también se observan espontáneamente densas en las fases sin contraste, pudiendo asemejar extravasación del contraste o un pseudoaneurisma (Fig. 10) (8. Otra manera de diferenciar un pseudoaneurisma es la ubicación, debido a que las tiras de fieltro y de dacrón suelen encontrarse a lo largo de toda la circunferencia de la anastomosis, mientras que un pseudoaneurisma estaría ubicado excéntrico a lo largo de una sola pared. En las fases poscontraste, el injerto suele ser indistinguible de la pared nativa8.


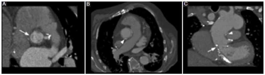
Los pseudocolgajos son visualizados como una banda lineal hipodensa generada por una leve angulación del injerto, en ocasiones confundido con una disección aórtica real, al no ser examinado en múltiples planos (Fig. 11) (8.

Por último, las áreas de realce u ocupación en el espacio generado entre la raíz del injerto y la envoltura aórtica nativa circundante, así como en la anastomosis del botón de la arteria coronaria, pueden hacer sospechar una dehiscencia o una rotura. Sin embargo, en las técnicas de inclusión, como la de Cabrol, pueden visualizarse con relativa frecuencia y se consideran como hallazgos esperables en el contexto clínico de un paciente asintomático. Pueden persistir sin modificaciones imagenológicas por un largo periodo de tiempo (Fig. 12) (9.

Conclusiones
Es sumamente importante el conocimiento de los cambios posoperatorios esperables de la cirugía de la aorta torácica ascendente en la ATCMC, para una adecuada interpretación de los hallazgos y evitar errores diagnósticos.
Bibliografía
Hoang JK, Martínez S, Hurwitz LM. MDCT angiography after open thoracic aortic surgery: pearls and pitfalls. AJR Am J Roentgenol. 2009;192:20-7.
Li W, Rongthong S, Prabhakar AM, Hedgire S. Postoperative imaging of the aorta. Cardiovasc Diagn Ther. 2018;8(Suppl 1):S45-S60.
Prescott-Focht JA, Martínez-Jiménez S, Hurwitz LM, Hoang JK, Christensen JD, Ghoshhajra BB, et al. Ascending thoracic aorta: postoperative imaging evaluation. RadioGraphics. 2013;33:73-85.
Arakawa M, Miyata H, Uchida N, Motomura N, Katayama A, Tamura K, et al. Postoperative atrial fibrillation after thoracic aortic surgery. Ann Thorac Surg. 2015;99:103-8.
Hanneman K, Chan FP, Scott Mitchell R, Craig Miller D, Fleischmann D. Pre- and postoperative imaging of the aortic root. RadioGraphics. 2016;36:19-37.
Sellke F, Swanson SJ, del Nido PJ, editores. Sabiston and Spencer Surgery of the Chest. Philadelphia, PA: Elsevier Health Sciences; 2015.
Conklin LD, Reardon MJ. Technical aspects of the Ross procedure. Tex Heart Inst J. 2001;28:186-9.
Garrana S., Martínez-Jiménez S. Postcardiovascular surgery findings of the thoracic aorta. Radiol Clin North Am. 2019;57:213-31.
Sundaram B, Quint LE, Patel S, Patel HJ, Michael Deeb G. CT appearance of thoracic aortic graft complications. AJR Am J Roentgenol . 2007;188:1273-7.
Notas
Protección de personas y animales. Los autores declaran que para esta investigación no se han realizado experimentos en seres humanos ni en animales.
Confidencialidad de los datos. Los autores declaran que han seguido los protocolos de su centro de trabajo sobre la publicación de datos de pacientes.
Derecho a la privacidad y consentimiento informado. Los autores han obtenido el consentimiento informado de los pacientes y/o sujetos referidos en el artículo. Este documento obra en poder del autor de correspondencia.
Notas de autor
Correspondencia: Gerardo M. López E-mail: gerardomaximilianolopez@gmail.com
Declaración de intereses