Servicios
Descargas
Buscar
Idiomas
P. Completa
Biopsias pelvianas percutáneas: guía iconográfica de abordajes seguros
Juan Bautista Del Valle; Matías A. Borensztein; Gabriel Ducrey;
Juan Bautista Del Valle; Matías A. Borensztein; Gabriel Ducrey; Jésica L. Savluk
Biopsias pelvianas percutáneas: guía iconográfica de abordajes seguros
Percutaneous pelvic biopsies: An illustrative guideline for safe approaches
Revista argentina de radiología, vol. 86, núm. 2, pp. 124-134, 2022
Sociedad Argentina de Radiología
resúmenes
secciones
referencias
imágenes

Resumen: Las biopsias percutáneas a nivel de la pelvis plantean un desafío dada la compleja anatomía regional. El conocimiento de las estructuras afectadas y el tipo de lesión a intervenir son algunos de los aspectos que van a influenciar la técnica que se utilice. Se han propuesto distintas vías de abordaje, pero aún carecen de sistematización. El objetivo de este artículo es destacar accesos seguros ejemplificando con casos ilustrativos de nuestra institución. Además, agregamos comentarios basados en nuestra experiencia.

Palabras clave: Biopsia percutánea, Radiología intervencionista, Tomografía computada, Ecografía.

Abstract: Pelvic percutaneous biopsies are challenging due to complex regional anatomy. Knowledge of affected structures and lesion type are some of the aspects that will condition the technique applied. Different approaches to pelvic percutaneous biopsies have been proposed, but still lack systematization. The aim of this article is to highlight safe approaches supported with illustrative cases. Furthermore, we provide opinion based on our experience.

Keywords: Percutaneous biopsy, Interventional radiology, Computed tomography, Ultrasound.

Carátula del artículo

Ensayo Iconográfico

Biopsias pelvianas percutáneas: guía iconográfica de abordajes seguros

Percutaneous pelvic biopsies: An illustrative guideline for safe approaches

Juan Bautista Del Valle
Hospital Italiano de Buenos Aires, Argentina
Matías A. Borensztein
Hospital Italiano de Buenos Aires, Argentina
Gabriel Ducrey
Hospital Italiano de Buenos Aires, Argentina
Jésica L. Savluk
Hospital Italiano de Buenos Aires, Argentina
Revista argentina de radiología, vol. 86, núm. 2, pp. 124-134, 2022
Sociedad Argentina de Radiología

Recepción: 05 Agosto 2020

Aprobación: 03 Enero 2021

Introducción

Las biopsias percutáneas (BP) guiadas por imágenes han demostrado ser procedimientos seguros y efectivos. Comparadas con las biopsias quirúrgicas, tienen menor morbimortalidad asociada y menor tiempo de recuperación tras la intervención. El éxito de estas prácticas se basa en su correcta planificación, el conocimiento de la anatomía y la experiencia del médico actuante1,2. La toma de muestra mediante accesos seguros es fundamental para evitar complicaciones tanto intraprocedimiento como post procedimiento. Por ejemplo, las BP de tumores primarios del sistema musculoesquelético mal planificadas y ejecutadas tienen una consecuencia negativa en las cirugías de salvataje de miembro3.

El siguiente trabajo tiene como objetivo graficar en forma práctica los principales abordajes pelvianos teniendo en cuenta la anatomía regional, y ejemplificando con casos de nuestra institución. En forma adicional, realizamos comentarios basados en nuestra experiencia.

Discusión

La obtención de material biológico mediante agujas a través de la piel se denomina BP. Estos procedimientos son guiados por imágenes, habitualmente ecografía y tomografía computada (TC). Las BP se dividen en dos subtipos: aspiración con aguja fina (18-25 G), ideal para estudio citológico, y biopsia con aguja gruesa (9-18 G), para estudio histológico de un fragmento de tejido. Las indicaciones para la BP son el estudio de enfermedad difusa de un órgano, establecer la naturaleza de lesiones indeterminadas, categorizar lesiones malignas mediante análisis inmunohistoquímico, estadificar la enfermedad oncológica, estudio biomolecular y estudio microbiológico ante la sospecha de infecciones. En cuanto a las contraindicaciones, destacan la coagulopatía no corregible y la falta de acceso seguro2,4.

Técnica

Existen dos técnicas básicas para la toma de muestra: directa (Fig. 1) o coaxial (Fig. 2). En la primera, la aguja se introduce directamente en la lesión para la obtención de material biológico5. En la segunda, se introduce una aguja que sirve como guía hasta la lesión, y por dentro de esta se introduce otra aguja más fina para la obtención de material. Este último mecanismo permite el acceso seguro a la lesión, disminuyendo el número de punciones requeridas, el disconfort del paciente, la duración del procedimiento, el riesgo de siembra tumoral y las posibilidades de sangrado. Su uso está particularmente indicado para biopsias de lesiones profundas5,6,7. Ante una hemorragia, es posible utilizar agentes embolizantes mediante la aguja introductora6. En nuestra experiencia, la técnica coaxial se utiliza cuando debemos biopsiar un tumor en la cavidad pelviana, una lesión ósea endomedular de baja densidad con cortical indemne, en lesiones profundas respecto al plano cutáneo o cuando se requiere hacer una biopsia transósea.


Figura 1
Esquema sobre TC, corte axial de hueso ilíaco izquierdo, para BP directa. Aguja (flecha), sitios de infiltración anestésica (An) y lesión (L).


Figura 2
Esquema sobre TC, corte axial de hueso ilíaco izquierdo, para BP coaxial. Aguja introductora (flecha violeta), aguja de biopsia (flecha turquesa), sitios de infiltración anestésica (An) y lesión (L).

El uso de anestésico local (lidocaína al 1%) es de vital importancia para llevar a cabo las BP. Deberá aplicarse en la piel, el periostio y la superficie peritoneal1,5,8,9,10.

Selección de la aguja

La selección de la aguja varía ampliamente según las características de la lesión, las estructuras adyacentes y la disponibilidad tanto institucional como comercial.

Las agujas gruesas se emplean para obtener material para estudio histológico; también son preferidas, por su rigidez, para intervenir huesos4,5,7,8. En casos especiales, como lesiones óseas escleróticas o huesos con cortical engrosada, el uso de martillo o de taladro eléctrico facilita la toma de muestra10,11. Para las biopsias de lesiones de partes blandas o ganglios, las agujas de corte automáticas y semiautomáticas tienen un rol protagónico. Ambas presentan un mecanismo basado en resortes para el corte y la extracción de tejido. Las agujas automáticas tienen una acción de corte más rápida y efectiva. Este mecanismo, una vez gatillado, impulsa automáticamente el trocar interno a través de la lesión, seguido inmediatamente de la cánula externa para el “corte” del tejido (Fig. 3). Debido a esto, es difícil predecir el alcance final del trocar interno. En cambio, el trocar interno de las agujas semiautomáticas es impulsado manualmente mientras que la cánula externa “corta” el tejido una vez accionado el mecanismo. La diferencia en el despliegue del trocar interno hace que los sistemas semiautomáticos sean más seguros para abordar lesiones adyacentes a estructuras vitales. Cabe destacar que el despliegue manual del sistema semiautomático puede causar el desplazamiento distal de la lesión, en detrimento de la calidad de la muestra (Fig. 4) (7,12. Por estas diferencias, nuestro equipo prefiere el uso de agujas semiautomáticas para una mejor visualización y un mayor control del rango de corte.


Figura 3
Representación de la acción de una aguja de corte automática. Una vez presentada la aguja sobre el límite del tumor (T), se acciona el dispositivo y, en forma automática, se dispara el trocar interno seguido inmediatamente por la cánula externa para corte del tejido (flecha).


Figura 4
Representación de la acción de una aguja de corte semiautomática. Una vez presentada la aguja sobre el límite del tumor (T), se despliega el trocar interno en forma manual (flecha verde) y en forma mecanizada. Una vez accionado el sistema, se dispara la cánula externa para corte del tejido (flecha roja). Nótese el desplazamiento distal del tumor una vez desplegado el mecanismo en forma manual (líneas discontinuas).

Las agujas finas se emplean, preferentemente, para estudio citológico, mediante aspiración. Por su grosor, son de difícil manejo ya que tienden a arquearse por falta de rigidez. No obstante, son más seguras4,5,7,8.

Método de guía

La guía imagenológica casi siempre se limita a ecografía o TC. El uso de un método u otro dependerá de la experiencia del operador y será adecuado caso a caso9,13. El método elegido deberá brindar una visión clara de la anatomía regional, ser cómodo para el manejo del paciente intraprocedimiento y permitir la detección temprana de complicaciones para su manejo oportuno. Además, debemos limitar la exposición a radiación ionizante. Las diferencias entre la ecografía y la TC ya han sido expuestas en otras publicaciones4,9,13,14,15.

Abordaje de lesiones del sistema musculoesquelético

Como regla general, para intervenir una lesión ósea única, se deberán evitar los músculos glúteos y el recto femoral anterior. Estos músculos son esenciales para llevar a cabo una cirugía de conservación de miembro y su transgresión obligará al cirujano ortopedista a incluirlos en la resección3,16. Si su transgresión es inevitable, esta será por la porción más periférica posible17. Casi todas las lesiones óseas únicas deberán ser consideradas potencialmente como un sarcoma. Con excepción de unos pocos casos, es difícil poder descartar la presencia de un sarcoma en una lesión aislada18. Por ende, la planificación y la ejecución de la BP se consideran parte del esquema terapéutico quirúrgico. La vía de abordaje tiene que ser consensuada con el cirujano ortopedista, ya que el trayecto de la aguja será incluido en la resección para disminuir el riesgo de recurrencia por siembra16,17,18,19,20. Una BP mal planeada tiene un efecto negativo en la cirugía de conservación de miembro y puede afectar el esquema de quimioterapia y radioterapia3,17,18,21. En caso de presentar múltiples lesiones, el diagnóstico más probable es de metástasis y la BP podrá efectuarse de la forma más directa y accesible, ya que el paciente no recibirá una cirugía de conservación de miembro3,17,18,19. En nuestra institución, las decisiones sobre los tumores del sistema musculoesquelético son consensuadas en ateneo multidisciplinario (traumatólogos, oncólogos, clínicos, radioterapeutas, radiólogos y radiólogos intervencionistas).

Las vías de abordaje más seguras son por vía anterior o vía posterior, según la ubicación de la lesión (Figs. 5 y 6). Las BP del hueso ilíaco pueden realizarse por vía anterior (Fig. 7), posterior (Fig. 8) o transglútea frente a lesiones metastásicas (Fig. 9) (16,17,19. Entre las estructuras que deberán evitarse se destacan los vasos ilíacos, el nervio femoral, el nervio femorocutáneo, el plexo nervioso lumbosacro y las vísceras pelvianas. Las lesiones periacetabulares también pueden abordarse por acceso anterior (Figs. 10 y 11) o posterior (Fig. 12). En estos casos deberán respetarse, además, los vasos femorales y el nervio obturador por delante, al igual que los vasos glúteos y el nervio ciático por detrás. Si la lesión se encuentra a nivel del pubis (Fig. 13), corresponde resguardar el paquete vasculonervioso femoral, obturatriz y los órganos pelvianos. En cambio, las BP de lesiones del hueso sacro serán abordadas por vía posterior, tanto para el alerón (Fig. 14) como para el cuerpo (Fig. 15). En estos casos, habrá que cuidar los vasos ilíacos y los nervios sacros y lumbares bajos. Como reparo adicional, en el momento de biopsiar lesiones en la tuberosidad isquiática por vía posterior (Fig. 16) se deberán sortear los nervios pudendo y ciático3,22,23,24.


Figura 5
TC con reconstrucción 3D de pelvis, vista sagital. Huesos ilíaco (verde), isquion (naranja) y pubis (celeste). En rojo, lesiones óseas y sus vías de abordaje (flechas).


Figura 6
TC con reconstrucción 3D de pelvis, vista posterosuperior. Hueso sacro (verde). Lesiones óseas (rojo) y sus vías de abordaje (flechas).


Figura 7
Varón de 78 años con imagen lítica en el hueso ilíaco derecho. BP directa transilíaca anterior (flecha) bajo TC. Estructuras a evitar: G: plano glúteo; CA: colon ascendente; VIC: vena ilíaca común; NFC: nervio femorocutáneo; NF: nervio femoral. Aguja utilizada: Franseen 18 G. Diagnóstico final: infiltración por adenocarcinoma de origen pulmonar.


Figura 8
Mujer de 78 años con pérdida de peso significativa y lesión escasamente visible por TC e hipercaptante en la tomografía por emisión de positrones. BP directa transilíaca posterior (flecha) bajo TC. Estructuras a evitar: RN: raíz nerviosa de L5; AIC: arteria ilíaca común; VIC: vena ilíaca común; NF: nervio femoral; NFC: nervio femorocutáneo. Aguja utilizada: Jamshidi 11 G. Diagnóstico final: infiltración secundaria por carcinoma.


Figura 9
Varón de 73 años con antecedentes de cáncer pulmonar e imagen hipercaptante en la tomografía por emisión de positrones sin representación tomográfica ubicada en el hueso ilíaco izquierdo. BP coaxial transglútea (flecha) bajo TC. Estructuras a evitar: RN: raíz nerviosa de L5; AII: arteria ilíaca interna; VIC: vena ilíaca común. Aguja utilizada: Jamshidi 11 G con Franseen 18 G. Diagnóstico final: infiltración secundaria por tumor neuroendocrino.


Figura 10
Mujer de 74 años en estudio por fractura patológica acetabular izquierda. BP con abordaje directo anterior (flecha) bajo TC. Estructuras a evitar: AF: arteria femoral; VF: vena femoral; NF: nervio femoral; NO: nervio obturador; V: vejiga. Aguja utilizada: Franseen 20 G. Diagnóstico final: cambios reparativos y elementos correspondientes a quiste óseo simple.


Figura 11
Mujer de 76 años con antecedentes de cáncer de mama con imagen lítica periacetabular derecha. BP con abordaje directo anterolateral (flecha). Estructuras a evitar: AIE: arteria ilíaca externa; VIE: vena ilíaca externa; NF: nervio femoral. Aguja utilizada: Jamshidi 11 G. Diagnóstico final: cambios reparativos.


Figura 12
Mujer de 59 años con antecedentes de cáncer de mama en reestadificación por lesión lítica. BP con abordaje directo posterior (flecha) bajo TC. Estructuras a evitar: NC: nervio ciático; AGI: arteria glútea inferior; VGI: vena glútea inferior; NO: nervio obturador. Aguja utilizada: Franseen 18 G. Diagnóstico final: infiltración por adenocarcinoma de origen mamario.


Figura 13
Varón de 48 años con antecedentes de cáncer de pulmón con foco hipercaptante en la tomografía por emisión de positrones en la rama isquiopubiana izquierda. BP con abordaje directo anterior (flecha) bajo TC. Estructuras a evitar: AF: arteria femoral; VF: vena femoral; NF: nervio femoral; NO: nervio obturador; AO: arteria obturatriz; VO: vena obturatriz; P: próstata. Aguja utilizada: Jamshidi 11 G. Diagnóstico final: infiltración secundaria de adenocarcinoma mucosecretor.


Figura 14
Varón de 73 años en estudio por lesión lítica sacroilíaca izquierda. BP con abordaje directo posterior (flecha) bajo TC. Estructuras a evitar: NS: nervio sacro; RN: raíz nerviosa de L5; VIC: vena ilíaca común; AII: arteria ilíaca interna. Aguja utilizada: Franseen 20 G. Diagnóstico final: infiltración por carcinoma de pulmón.


Figura 15
Mujer de 58 años con lesión lítica en el cuerpo sacro en contexto de control oncológico. BP con abordaje coaxial posterior (flecha) bajo TC. Estructuras a evitar: NS: nervio sacro; RN: raíz nerviosa de L5; AIE: arteria ilíaca externa; AII: arteria ilíaca interna; VIC: vena ilíaca común. Aguja utilizada: Jamshidi 11 G con Franseen 18 G. Diagnóstico final: infiltración por adenocarcinoma de origen mamario.


Figura 16
Varón de 22 años en plan de biopsia y ablación por radiofrecuencia de osteoma osteoide en la tuberosidad isquiática. Acceso coaxial posterior (flecha) guiado por TC. Estructuras a evitar: NC: nervio ciático; NP: nervio pudendo. Aguja utilizada: Jamshidi 11 G con electrodo de radiofrecuencia. Diagnóstico final: osteoma osteoide.

Abordaje de lesiones intrapelvianas

Como pauta, al planificar una BP de una lesión intrapelviana se deberá reparar en los vasos, los nervios y en las vísceras pelvianas. Cabe destacar que la peristalsis intestinal puede condicionar el éxito del procedimiento. Ante el avance de la aguja, se deberá corroborar la posición de las asas intestinales (especialmente si la BP se realiza con TC). (1 En caso de ser necesario, la hidrodisección o la neumodisección pueden ser útiles para desplazarlas25,26,27,28.

Los accesos para BP pueden ser por vía anterior, lateral o posterior. El abordaje transabdominal anterior (Fig. 17) o lateral (Fig. 18) es útil para alcanzar lesiones ubicadas a nivel paravesical, cadenas ilíacas comunes o imágenes mesentéricas. En caso de utilizar esta vía, se deberá evitar lesionar los vasos epigástricos inferiores, la arteria ilíaca circunfleja profunda, los vasos ilíacos y los órganos de la pelvis1,29.


Figura 17
Mujer de 44 años con colección infrarrenal postrasplante renal derecho. BP transabdominal anterior (flecha) bajo TC. Estructuras a evitar: U: uréter reimplantado; AICP: arteria ilíaca circunfleja posterior; AIE: arteria ilíaca externa; VIE: vena ilíaca externa; V: vejiga; Ut: útero. Aguja utilizada: Chiba 20 G. Diagnóstico final: linfocele posquirúrgico.


Figura 18
Varón de 75 años con antecedentes de cáncer de vejiga y adenopatía en cadena ilíaca primitiva. BP coaxial transabdominal anterolateral (flecha) bajo TC, reconstrucción multiplanar. Estructuras a evitar: AICP: arteria ilíaca circunfleja profunda; AEI: arteria epigástrica inferior; AIE: arteria ilíaca externa; AII: arteria ilíaca interna; VIC: vena ilíaca común; ID: intestino delgado. Nótese el pequeño hematoma anterolateral a la adenopatía (flecha discontinua). Aguja utilizada: PL 18 G con Supercore 20 G (sistema semiautomático). Diagnóstico final: adenopatía reactiva.

Para intervenir lesiones en la superficie medial del músculo psoas ilíaco es conveniente buscar acceso por vía anterolateral extraperitoneal (Fig. 19) (1,29,30. Al usar este acceso habrá que evitar lesionar la arteria ilíaca circunfleja profunda, el nervio femoral, el uréter y los vasos ilíacos. La vía anterolateral extraperitoneal es una alternativa para acceder a lesiones que por vía transabdominal no podrán ser intervenidas debido a interposición del intestino1,29.


Figura 19
Mujer de 91 años con sospecha de un absceso en la pelvis. BP extraperitoneal (flecha) guiada por TC de colección. Estructuras a evitar: ID: asas intestinales delgadas; CD: colon descendente; AICP: arteria ilíaca circunfleja profunda; NF: nervio femoral; AIE: arteria ilíaca externa; VIE: vena ilíaca externa; AII: arteria ilíaca interna; VII: vena ilíaca interna; U: uréter. Aguja utilizada: Chiba 18 G. Diagnóstico final: proceso inflamatorio con necrosis.

En cuanto al abordaje posterior, la vía transglútea (también llamada transciática) permitirá realizar BP de lesiones ubicadas por detrás de la vejiga o en topografía perirrectal. El acceso puede ser posterior propiamente dicho (Fig. 20) o posterolateral (Fig. 21). Por vía posterior, la intervención deberá efectuarse lo más cerca posible del sacro a través del ligamento sacroespinoso. Una de las virtudes de este abordaje es que respeta el peritoneo. No obstante, al tener que realizarse en posición prono, puede resultar incómoda para algunos pacientes. Como alternativa, el posicionamiento puede ser en decúbito lateral1,29,31,32. Se deberá evitar lesionar los nervios sacros, el nervio ciático, los vasos glúteos e ilíacos, y el recto1,29.


Figura 20
Mujer de 63 años con antecedentes de cáncer de útero en estudio por masa pararrectal. BP coaxial transglútea posterior (flecha) bajo TC. Estructuras a evitar: R: recto; V: vejiga; ID: intestino delgado; NC: nervio ciático; AGI y VGI: arteria y vena glútea inferior. Aguja utilizada: PL 18 G con Supercore 20 G (sistema semiautomático). Diagnóstico final: infiltración neoplásica.


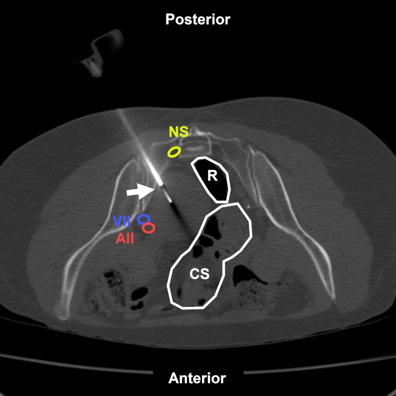
Figura 21
Mujer de 56 años con antecedentes de cáncer de recto con nódulo presacro en control oncológico. BP coaxial con acceso transglúteo lateral (flecha) bajo TC, reconstrucción multiplanar. Estructuras a evitar: NS: nervios sacros; AGS: arteria glútea superior; VGS: vena glútea superior; CS: colon sigmoide; ID: intestino delgado. Aguja utilizada: PL 18 G con Supercore 20 G (sistema semiautomático). Diagnóstico final: infiltración por adenocarcinoma.

Las lesiones paravaginales, perirrectales o prostáticas también podrán ser intervenidas en forma transvaginal (Fig. 22) o transrectal (Fig. 23). En ambos casos deberá contarse con medidas higiénicas adicionales y preparación antibiótica previa. Si el acceso es transvaginal, se podrá usar anestésico tópico o vaginal submucoso inyectable. Sin embargo, esta técnica puede resultar incómoda. Las biopsias transrectales suelen ser mejor toleradas que las transvaginales28,29,33,34.


Figura 22
Mujer de 40 años con antecedentes de cáncer de recto y nódulo rectal-vaginal en control oncológico. Biopsia transvaginal directa (flecha discontinua) bajo ecografía: nódulo (flecha). R: recto. Aguja utilizada: Franseen 18 G. Diagnóstico final: carcinoma seroso de bajo grado.


Figura 23
Varón de 56 años con diagnóstico de prostatitis crónica y antígeno específico de próstata en aumento. Biopsia transrectal (flecha) con ecografía por fusión de imágenes (con resonancia magnética). Área objetivo (círculo azul), PIRADS 3, en ecografía (izquierda) y resonancia magnética (derecha). Aguja utilizada: Pro-Mag 18 G (sistema automático). Diagnóstico definitivo: adenocarcinoma, Gleason 7 (3 + 4).

Para realizar BP de lesiones localizadas en el espacio presacro (Fig. 24), o cadenas ilíacas comunes (Fig. 25) que no puedan ser alcanzadas con los accesos ya descritos, se utiliza la vía transósea. Se deberá avanzar una aguja gruesa (11-18 G) para trabajar en forma coaxial. Al utilizar esta vía es crucial ubicar y evitar los forámenes sacros, al igual que los vasos gonadales y el uréter. Cuando deba usarse esta técnica, el bloqueo anestésico perióstico es de vital importancia1-35. Hay que considerar que la distancia entre la lesión y el hueso puede condicionar el éxito del procedimiento. Una mayor distancia entre ambos requiere más delicadeza al atravesar el hueso, ya que un desvío o un mal posicionamiento de la aguja requerirán una nueva osteotomía36.


Figura 24
Mujer de 59 años con masa presacra en contexto de dolor pelviano inespecífico. BP coaxial con acceso trans-sacro (flecha) bajo TC. Estructuras a evitar: NS: nervio sacro; AII: arteria ilíaca interna; VII: vena ilíaca interna; CS: colon sigmoide; R: recto. Aguja utilizada: Jamshidi 11 G con Franseen 18 G. Diagnóstico final: schwannoma.


Figura 25
Mujer de 27 años con antecedentes de cáncer de cuello uterino con nódulos abdominales en control oncológico. BP coaxial con abordaje transilíaco (flecha) bajo TC. Estructuras a evitar: NF: nervio femoral; AIC: arteria ilíaca común; VIC: vena ilíaca común; CS: colon sigmoide. Uréter con catéter doble J (flecha discontinua). Aguja utilizada: Jamshidi 11 G con Supercore 20 G (sistema semiautomático). Diagnóstico final: infiltración por carcinoma escamoso de alto grado.

Complicaciones

Las complicaciones pueden clasificarse acorde a su gravedad, por región u órgano intervenido. Las complicaciones generales más frecuentes son reacción vasovagal, infección del sitio intervenido, sangrado, punción inadvertida de estructuras adyacentes, dolor regional y siembra tumoral en el trayecto de la aguja2,4,5,13. Los sangrados significativos son raros y pueden ser tratados en forma endovascular o, en última instancia, quirúrgica4. La punción de estómago o de intestino delgado con una aguja fina suele ser bien tolerado, pero habrá que prestar especial atención para no punzar el colon por el riesgo de peritonitis; en caso de punzarlo, se deberá realizar antibioticoterapia profiláctica1,4,14,28,29.

Conclusiones

Presentamos en forma gráfica y práctica los principales abordajes para realizar BP de lesiones pelvianas mediante casos propios. Realizamos comentarios basados en nuestra experiencia para complementar y enriquecer la discusión.

Material suplementario
Bibliografía
Gupta S, Nguyen HL, Morello FA Jr, Ahrar K, Wallace MJ, Madoff DC, et al. Various approaches for CT-guided percutaneous biopsy of deep pelvic lesions: anatomic and technical considerations. Radiographics. 2004;24:175-89.
Gupta S, Wallace MJ, Cardella JF, Kundu S, Miller DL, Rose SC, et al. Quality improvement guidelines for percutaneous needle biopsy. J Vasc Interv Radiol. 2010;21:969-75.
Miranda MO, Moser TP. A practical guide for planning pelvic bone percutaneous interventions (biopsy, tumour ablation and cementoplasty). Insights Imaging. 2018;9:275-85.
Veltri A, Bargellini I, Giorgi L, Almeida PAMS, Akhan O. CIRSE guidelines on percutaneous needle biopsy (PNB). Cardiovasc Intervent Radiol. 2017;40:1501-13.
Charboneau JW, Reading CC, Welch TJ. CT and sonographically guided needle biopsy: current techniques and new innovations. AJR Am J Roentgenol. 1990;154:1-10.
Hatfield MK, Beres RA, Sane SS, Zaleski GX. Percutaneous imaging-guided solid organ core needle biopsy: coaxial versus noncoaxial method. AJR Am J Roentgenol . 2008;190:413-7.
Kim SY, Chung HW, Oh TS, Lee J-S. Practical guidelines for ultrasound-guided core needle biopsy of soft-tissue lesions: transformation from beginner to specialist. Korean J Radiol. 2017;18:361-9.
Bernardino ME. Percutaneous biopsy. AJR Am J Roentgenol . 1984;142:41-5.
Winter TC, Lee FT, Louis Hinshaw J. Ultrasound-guided biopsies in the abdomen and pelvis. Ultrasound Q. 2008;24:45-68.
Gangi A, Guth S, Dietemann J-L, Roy C. Interventional musculoskeletal procedures. Radiographics. 2001;21:e1-e1.
Lee RKL, Ng AWH, Griffith JF. CT-guided bone biopsy with a battery-powered drill system: preliminary results. AJR Am J Roentgenol . 2013;201:1093-5.
Sridharan R, Yunos SM, Aziz S, Hussain RI, Alhabshi SM, Suria Hayati MP, et al. Comparison on the use of semi-automated and automated core biopsy needle in ultrasound guided breast biopsy. Med J Malaysia. 2015;70:326-33.
Cornman-Homonoff J, Madoff D. Image-guided biopsy of mesenteric, omental, and peritoneal disease. Dig Dis Interv. 2018;2:106-15.
Yarram SG, Nghiem HV, Higgins E, Fox G, Nan B, Francis IR. Evaluation of imaging-guided core biopsy of pelvic masses. AJR Am J Roentgenol . 2007;188:1208-11.
Elissa M, Lubner MG, Pickhardt PJ. Biopsy of deep pelvic and abdominal targets with ultrasound guidance: efficacy of compression. AJR Am J Roentgenol . 2020;214:194-9.
Anderson MW, Temple HT, Dussault RG, Kaplan PA. Compartmental anatomy: relevance to staging and biopsy of musculoskeletal tumors. AJR Am J Roentgenol . 1999;173:1663-71.
Bancroft LW, Peterson JJ, Kransdorf MJ, Berquist TH, O’Connor MI. Compartmental anatomy relevant to biopsy planning. Semin Musculoskelet Radiol. 2007;11:16-27.
Liu PT, Valadez SD, Chivers FS, Roberts CC, Beauchamp CP. Anatomically based guidelines for core needle biopsy of bone tumors: implications for limb-sparing surgery. Radiographics. 2007;27:189-205.
Espinosa LA, Jamadar DA, Jacobson JA, DeMaeseneer MO, Ebrahim FS, Sabb BJ, et al. CT-guided biopsy of bone: a radiologist’s perspective. AJR Am J Roentgenol . 2008;190:W283-9.
Logan PM, Connell DG, O’Connell JX, Munk PL, Janzen DL. Image-guided percutaneous biopsy of musculoskeletal tumors: an algorithm for selection of specific biopsy techniques. AJR Am J Roentgenol . 1996;166:137-41.
Traina F, Errani C, Toscano A, Pungetti C, Fabbri D, Mazzotti A, et al. Current concepts in the biopsy of musculoskeletal tumors: AAOS exhibit selection. J Bone Joint Surg Am. 2015;97:e7.
Stallard DJ, Tu RK, Gould MJ, Pozniak MA, Pettersen JC. Minor vascular anatomy of the abdomen and pelvis: a CT atlas. Radiographics. 1994;14:493-513.
Kurup AN, Morris JM, Schmit GD, Atwell TD, Weisbrod AJ, Murthy NS, et al. Neuroanatomic considerations in percutaneous tumor ablation. Radiographics. 2013;33:1195-215.
Wadhwa V, Scott KM, Rozen S, Starr AJ, Chhabra A. CT-guided perineural injections for chronic pelvic pain. Radiographics. 2016;36: 1408-25.
Tyng CJ, Almeida MFA, Barbosa PNV, Bitencourt AGV, Berg JAAG, Maciel MS, et al. Computed tomography-guided percutaneous core needle biopsy in pancreatic tumor diagnosis. World J Gastroenterol. 2015;21:3579-86.
Tyng CJ, Bitencourt AGV, Almeida MFA, Barbosa PNV, Martins EBL, Junior JPKM, et al. Computed tomography-guided percutaneous biopsy of pancreatic masses using pneumodissection. Radiol Bras. 2013;46:139-42.
Shao H, McCarthy C, Wehrenberg-Klee E, Thabet A, Uppot R, Dawson S, et al. CT-guided percutaneous needle biopsy of retroperitoneal and pelvic lymphadenopathy: assessment of technique, diagnostic yield, and clinical value. J Vasc Interv Radiol . 2018;29:1429-36.
Carberry GA, Lubner MG, Wells SA, Hinshaw JL. Percutaneous biopsy in the abdomen and pelvis: a step-by-step approach. Abdom Radiol (NY). 2016;41:720-42.
Garcia RG, Macedo Filho CL de, Maurano A, Francisco Neto MJ, Daniel MM, Rosemberg LA, et al. Procedimentos percutâneos pélvicos guiados por imagem: revisão das principais vias de acesso. Radiol Bras . 2008;41:343-8.
Gupta S, Madoff DC, Ahrar K, Morello FA, Wallace MJ, Murthy R, et al. CT-guided needle biopsy of deep pelvic lesions by extraperitoneal approach through iliopsoas muscle. Cardiovasc Intervent Radiol . 2003;26:534-8.
Harisinghani MG, Gervais DA, Hahn PF, Cho CH, Jhaveri K, Varghese J, et al. CT-guided transgluteal drainage of deep pelvic abscesses: indications, technique, procedure-related complications, and clinical outcome. Radiographics. 2002;22:1353-67.
Sainani NI, Arellano RS, Shyn PB, Gervais DA, Mueller PR, Silverman SG. The challenging image-guided abdominal mass biopsy: established and emerging techniques ‘if you can see it, you can biopsy it’. Abdom Imaging. 2013;38:672-96.
Mascilini F, Quagliozzi L, Moro F, Moruzzi MC, De Blasis I, Paris V, et al. Role of transvaginal ultrasound-guided biopsy in gynecology. Int J Gynecol Cancer. 2020;30:128-32.
Park JJ, Kim CK, Park BK. Ultrasound-guided transvaginal core biopsy of pelvic masses: feasibility, safety, and short-term follow-up. AJR Am J Roentgenol . 2016;206:877-82.
Iguchi T, Asami S, Kubo S, Kin H, Katusi K, Sakurai J, et al. CT-guided placement of a drainage catheter within a pelvic abscess using a transsacral approach. Cardiovasc Intervent Radiol . 2007;30: 1277-9.
Chehab M, Zintsmaster S, Jafri SZ, Richards M, Roy A. CT-guided transosseous soft tissue biopsy: techniques, outcomes and complications in 50 cases. Cardiovasc Intervent Radiol . 2017;40:1461-8.
Notas
Notas
Financiamiento Los autores declaran no tener ningún financiamiento.
Responsabilidades éticas Protección de personas y animales. Los autores declaran que para esta investigación no se han realizado experimentos en seres humanos ni en animales.

Confidencialidad de los datos. Los autores declaran que han seguido los protocolos de su centro de trabajo sobre la publicación de datos de pacientes.

Derecho a la privacidad y consentimiento informado. Los autores han obtenido el consentimiento informado de los pacientes y/o sujetos referidos en el artículo. Este documento obra en poder del autor de correspondencia.

Declaración de intereses
Conflicto de intereses Los autores declaran no tener ningún conflicto de intereses.
Notas de autor

Correspondencia: Juan Bautista Del Valle E-mail: delvallejuanbautista@gmail.com.


Figura 1
Esquema sobre TC, corte axial de hueso ilíaco izquierdo, para BP directa. Aguja (flecha), sitios de infiltración anestésica (An) y lesión (L).

Figura 2
Esquema sobre TC, corte axial de hueso ilíaco izquierdo, para BP coaxial. Aguja introductora (flecha violeta), aguja de biopsia (flecha turquesa), sitios de infiltración anestésica (An) y lesión (L).

Figura 3
Representación de la acción de una aguja de corte automática. Una vez presentada la aguja sobre el límite del tumor (T), se acciona el dispositivo y, en forma automática, se dispara el trocar interno seguido inmediatamente por la cánula externa para corte del tejido (flecha).

Figura 4
Representación de la acción de una aguja de corte semiautomática. Una vez presentada la aguja sobre el límite del tumor (T), se despliega el trocar interno en forma manual (flecha verde) y en forma mecanizada. Una vez accionado el sistema, se dispara la cánula externa para corte del tejido (flecha roja). Nótese el desplazamiento distal del tumor una vez desplegado el mecanismo en forma manual (líneas discontinuas).

Figura 5
TC con reconstrucción 3D de pelvis, vista sagital. Huesos ilíaco (verde), isquion (naranja) y pubis (celeste). En rojo, lesiones óseas y sus vías de abordaje (flechas).

Figura 6
TC con reconstrucción 3D de pelvis, vista posterosuperior. Hueso sacro (verde). Lesiones óseas (rojo) y sus vías de abordaje (flechas).

Figura 7
Varón de 78 años con imagen lítica en el hueso ilíaco derecho. BP directa transilíaca anterior (flecha) bajo TC. Estructuras a evitar: G: plano glúteo; CA: colon ascendente; VIC: vena ilíaca común; NFC: nervio femorocutáneo; NF: nervio femoral. Aguja utilizada: Franseen 18 G. Diagnóstico final: infiltración por adenocarcinoma de origen pulmonar.

Figura 8
Mujer de 78 años con pérdida de peso significativa y lesión escasamente visible por TC e hipercaptante en la tomografía por emisión de positrones. BP directa transilíaca posterior (flecha) bajo TC. Estructuras a evitar: RN: raíz nerviosa de L5; AIC: arteria ilíaca común; VIC: vena ilíaca común; NF: nervio femoral; NFC: nervio femorocutáneo. Aguja utilizada: Jamshidi 11 G. Diagnóstico final: infiltración secundaria por carcinoma.

Figura 9
Varón de 73 años con antecedentes de cáncer pulmonar e imagen hipercaptante en la tomografía por emisión de positrones sin representación tomográfica ubicada en el hueso ilíaco izquierdo. BP coaxial transglútea (flecha) bajo TC. Estructuras a evitar: RN: raíz nerviosa de L5; AII: arteria ilíaca interna; VIC: vena ilíaca común. Aguja utilizada: Jamshidi 11 G con Franseen 18 G. Diagnóstico final: infiltración secundaria por tumor neuroendocrino.

Figura 10
Mujer de 74 años en estudio por fractura patológica acetabular izquierda. BP con abordaje directo anterior (flecha) bajo TC. Estructuras a evitar: AF: arteria femoral; VF: vena femoral; NF: nervio femoral; NO: nervio obturador; V: vejiga. Aguja utilizada: Franseen 20 G. Diagnóstico final: cambios reparativos y elementos correspondientes a quiste óseo simple.

Figura 11
Mujer de 76 años con antecedentes de cáncer de mama con imagen lítica periacetabular derecha. BP con abordaje directo anterolateral (flecha). Estructuras a evitar: AIE: arteria ilíaca externa; VIE: vena ilíaca externa; NF: nervio femoral. Aguja utilizada: Jamshidi 11 G. Diagnóstico final: cambios reparativos.

Figura 12
Mujer de 59 años con antecedentes de cáncer de mama en reestadificación por lesión lítica. BP con abordaje directo posterior (flecha) bajo TC. Estructuras a evitar: NC: nervio ciático; AGI: arteria glútea inferior; VGI: vena glútea inferior; NO: nervio obturador. Aguja utilizada: Franseen 18 G. Diagnóstico final: infiltración por adenocarcinoma de origen mamario.

Figura 13
Varón de 48 años con antecedentes de cáncer de pulmón con foco hipercaptante en la tomografía por emisión de positrones en la rama isquiopubiana izquierda. BP con abordaje directo anterior (flecha) bajo TC. Estructuras a evitar: AF: arteria femoral; VF: vena femoral; NF: nervio femoral; NO: nervio obturador; AO: arteria obturatriz; VO: vena obturatriz; P: próstata. Aguja utilizada: Jamshidi 11 G. Diagnóstico final: infiltración secundaria de adenocarcinoma mucosecretor.

Figura 14
Varón de 73 años en estudio por lesión lítica sacroilíaca izquierda. BP con abordaje directo posterior (flecha) bajo TC. Estructuras a evitar: NS: nervio sacro; RN: raíz nerviosa de L5; VIC: vena ilíaca común; AII: arteria ilíaca interna. Aguja utilizada: Franseen 20 G. Diagnóstico final: infiltración por carcinoma de pulmón.

Figura 15
Mujer de 58 años con lesión lítica en el cuerpo sacro en contexto de control oncológico. BP con abordaje coaxial posterior (flecha) bajo TC. Estructuras a evitar: NS: nervio sacro; RN: raíz nerviosa de L5; AIE: arteria ilíaca externa; AII: arteria ilíaca interna; VIC: vena ilíaca común. Aguja utilizada: Jamshidi 11 G con Franseen 18 G. Diagnóstico final: infiltración por adenocarcinoma de origen mamario.

Figura 16
Varón de 22 años en plan de biopsia y ablación por radiofrecuencia de osteoma osteoide en la tuberosidad isquiática. Acceso coaxial posterior (flecha) guiado por TC. Estructuras a evitar: NC: nervio ciático; NP: nervio pudendo. Aguja utilizada: Jamshidi 11 G con electrodo de radiofrecuencia. Diagnóstico final: osteoma osteoide.

Figura 17
Mujer de 44 años con colección infrarrenal postrasplante renal derecho. BP transabdominal anterior (flecha) bajo TC. Estructuras a evitar: U: uréter reimplantado; AICP: arteria ilíaca circunfleja posterior; AIE: arteria ilíaca externa; VIE: vena ilíaca externa; V: vejiga; Ut: útero. Aguja utilizada: Chiba 20 G. Diagnóstico final: linfocele posquirúrgico.

Figura 18
Varón de 75 años con antecedentes de cáncer de vejiga y adenopatía en cadena ilíaca primitiva. BP coaxial transabdominal anterolateral (flecha) bajo TC, reconstrucción multiplanar. Estructuras a evitar: AICP: arteria ilíaca circunfleja profunda; AEI: arteria epigástrica inferior; AIE: arteria ilíaca externa; AII: arteria ilíaca interna; VIC: vena ilíaca común; ID: intestino delgado. Nótese el pequeño hematoma anterolateral a la adenopatía (flecha discontinua). Aguja utilizada: PL 18 G con Supercore 20 G (sistema semiautomático). Diagnóstico final: adenopatía reactiva.

Figura 19
Mujer de 91 años con sospecha de un absceso en la pelvis. BP extraperitoneal (flecha) guiada por TC de colección. Estructuras a evitar: ID: asas intestinales delgadas; CD: colon descendente; AICP: arteria ilíaca circunfleja profunda; NF: nervio femoral; AIE: arteria ilíaca externa; VIE: vena ilíaca externa; AII: arteria ilíaca interna; VII: vena ilíaca interna; U: uréter. Aguja utilizada: Chiba 18 G. Diagnóstico final: proceso inflamatorio con necrosis.

Figura 20
Mujer de 63 años con antecedentes de cáncer de útero en estudio por masa pararrectal. BP coaxial transglútea posterior (flecha) bajo TC. Estructuras a evitar: R: recto; V: vejiga; ID: intestino delgado; NC: nervio ciático; AGI y VGI: arteria y vena glútea inferior. Aguja utilizada: PL 18 G con Supercore 20 G (sistema semiautomático). Diagnóstico final: infiltración neoplásica.

Figura 21
Mujer de 56 años con antecedentes de cáncer de recto con nódulo presacro en control oncológico. BP coaxial con acceso transglúteo lateral (flecha) bajo TC, reconstrucción multiplanar. Estructuras a evitar: NS: nervios sacros; AGS: arteria glútea superior; VGS: vena glútea superior; CS: colon sigmoide; ID: intestino delgado. Aguja utilizada: PL 18 G con Supercore 20 G (sistema semiautomático). Diagnóstico final: infiltración por adenocarcinoma.

Figura 22
Mujer de 40 años con antecedentes de cáncer de recto y nódulo rectal-vaginal en control oncológico. Biopsia transvaginal directa (flecha discontinua) bajo ecografía: nódulo (flecha). R: recto. Aguja utilizada: Franseen 18 G. Diagnóstico final: carcinoma seroso de bajo grado.

Figura 23
Varón de 56 años con diagnóstico de prostatitis crónica y antígeno específico de próstata en aumento. Biopsia transrectal (flecha) con ecografía por fusión de imágenes (con resonancia magnética). Área objetivo (círculo azul), PIRADS 3, en ecografía (izquierda) y resonancia magnética (derecha). Aguja utilizada: Pro-Mag 18 G (sistema automático). Diagnóstico definitivo: adenocarcinoma, Gleason 7 (3 + 4).

Figura 24
Mujer de 59 años con masa presacra en contexto de dolor pelviano inespecífico. BP coaxial con acceso trans-sacro (flecha) bajo TC. Estructuras a evitar: NS: nervio sacro; AII: arteria ilíaca interna; VII: vena ilíaca interna; CS: colon sigmoide; R: recto. Aguja utilizada: Jamshidi 11 G con Franseen 18 G. Diagnóstico final: schwannoma.

Figura 25
Mujer de 27 años con antecedentes de cáncer de cuello uterino con nódulos abdominales en control oncológico. BP coaxial con abordaje transilíaco (flecha) bajo TC. Estructuras a evitar: NF: nervio femoral; AIC: arteria ilíaca común; VIC: vena ilíaca común; CS: colon sigmoide. Uréter con catéter doble J (flecha discontinua). Aguja utilizada: Jamshidi 11 G con Supercore 20 G (sistema semiautomático). Diagnóstico final: infiltración por carcinoma escamoso de alto grado.
Buscar:
Contexto
Descargar
Todas
Imágenes
Visor de artículos científicos generados a partir de XML-JATS4R por Redalyc