Carta científica
Pileflebitis como complicación de diverticulitis aguda
Pylephlebitis as complication of acute diverticulitis
Recepción: 12 Septiembre 2020
Aprobación: 13 Septiembre 2021
Estimados editores:
El presente trabajo tiene como objetivo describir un caso inusual de pileflebitis, con afectación de las venas mesentérica inferior y rectal superior, haciendo énfasis en la utilidad de la tomografía computada (TC) en su diagnóstico oportuno.
La pileflebitis se define como la trombosis séptica de la vena porta o de sus venas afluentes, usualmente como complicación de procesos infecciosos abdominales. Es una patología con una alta mortalidad, que ronda el 25%, como consecuencia de sus complicaciones potencialmente fatales, entre las que se encuentran la isquemia mesentérica y formación de abscesos hepáticos1. El retraso en la detección y en el tratamiento aumenta el riesgo de complicaciones y desenlaces fatales, y su diagnóstico puede pasar desapercibido, incluso en la laparotomía exploratoria y en la autopsia.
Presentamos el caso de un paciente varón de 63 años, sin antecedentes conocidos, que cursa con un cuadro clínico de dolor en los cuadrantes superior e inferior izquierdos del abdomen de 8 días de evolución, asociado a hiporexia, y en los 4 días previos a su evaluación tuvo episodios de fiebre no cuantificada. En la exploración física no presentaba alteraciones en el sistema cardiovascular ni en el sistema respiratorio. El abdomen se encontraba distendido, con dolor a la palpación en el flanco izquierdo y disminución de los ruidos hidroaéreos. En las pruebas de laboratorio presentó leucocitosis y elevación de la amilasa y la lipasa. Dado el cuadro clínico descrito, se planteó el diagnóstico diferencial entre diverticulitis y pancreatitis aguda.
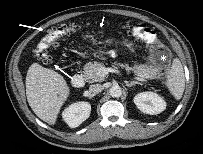
Se le realizó ultrasonido hepatobiliopancreático, en el que no se observaron alteraciones en el páncreas ni cálculos en la vesícula biliar. Por sospecha de diverticulitis, se le realizó TC de abdomen con contraste oral e intravenoso, evidenciándose una gran cantidad de divertículos en todo el marco colónico, con una colección líquida en contacto con la pared del colon, a nivel del ángulo esplénico (Fig. 1). Además, se observó una marcada estriación de la grasa mesentérica, con mínima cantidad de líquido interasa. Estos hallazgos fueron diagnósticos de diverticulitis aguda complicada. La colección en mención se encontraba en estrecho contacto con la cola del páncreas, lo que explicaría la elevación en las enzimas pancreáticas, debido a cambios inflamatorios por contigüidad.

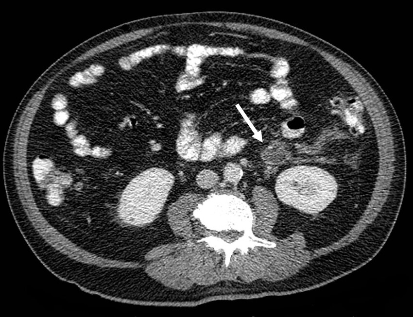
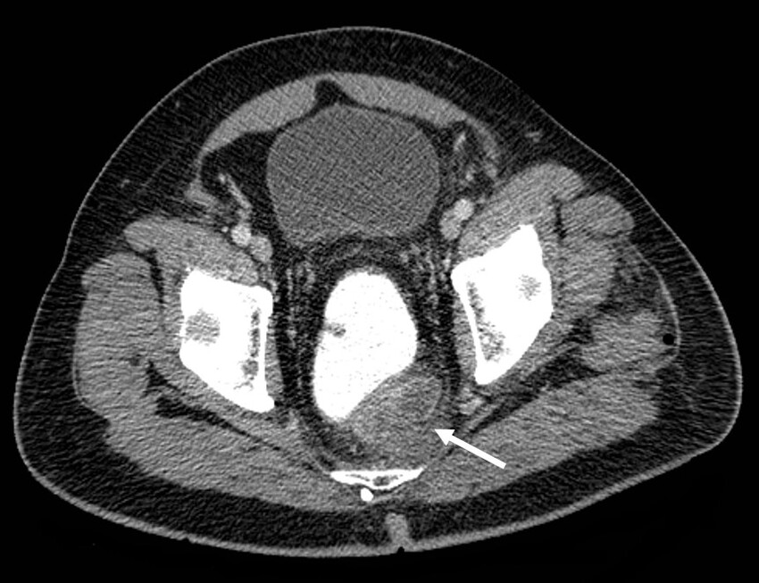
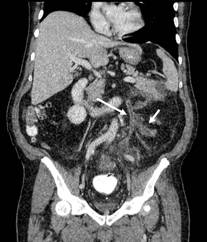
Además, se identificó trombosis de la vena mesentérica inferior y sus afluentes, la vena cólica izquierda y vena rectal superior, con marcado aumento en su calibre, engrosamiento e irregularidad de sus paredes, además de estriación de la grasa circundante, hallazgos compatibles con tromboflebitis (Figs. 2, 3 y 4).



El paciente fue admitido para iniciar manejo conservador y programar drenaje percutáneo de la colección. Sin embargo, en el transcurso de la noche presentó aumento de la distensión y del dolor abdominal, así como deterioro en los parámetros hemodinámicos. Por tal motivo, se le realizó una laparotomía exploratoria, en la cual se encontró una colección encapsulada en el ángulo esplénico del colon, se le efectúo hemicolectomía izquierda con creación de colostomía terminal y luego tratamiento con antibióticos y anticoagulantes en sala. Cursó con evolución clínica satisfactoria.
La pileflebitis o trombosis séptica de la vena porta es una patología poco frecuente, con una incidencia estimada que oscila entre 0,37 y 2,7 casos por cada 100.000 personas al año2. Esta surge como complicación de procesos infecciosos abdominales en regiones drenadas por el sistema porta, siendo los más frecuentes la apendicitis y la diverticulitis aguda. Sin embargo, también se puede ver asociada a pancreatitis aguda, enfermedad inflamatoria intestinal, colecistitis aguda y, de manera menos frecuente, a patologías no infecciosas como cirrosis, traumatismos abdominales y neoplasias2,3. La dificultad en su diagnóstico y manejo radica en su cuadro clínico inespecífico, con síntomas como astenia, hiporexia, fiebre, dolor abdominal y náuseas, motivo por el que los estudios radiológicos pueden ser de gran importancia en su evaluación3. El ultrasonido Doppler puede ser útil para evaluar la presencia de trombos en la vena porta, hepatomegalia, abscesos hepáticos y ascitis, aunque es limitado para la evaluación del resto del sistema porta, principalmente de las venas mesentérica superior e inferior, por lo que tiene un mayor papel en la evaluación de la progresión o la resolución4,5. La TC con contraste intravenoso es la modalidad de elección ya que, además de ayudar a definir la presencia de trombosis, identifica el sitio de origen infeccioso intraabdominal. En esta podemos observar la presencia de trombos hipodensos en el interior de los vasos, así como aire en el sistema porta, usualmente en los casos más complicados6,7. La trombosis de la vena mesentérica superior se observa en aproximadamente un 42% de los casos de pileflebitis; la afectación de la vena mesentérica inferior es rara, pudiéndose evidenciar en solo un 2%, como fue el caso de nuestro paciente2.
En la actualidad, la terapia utilizada es el inicio inmediato de antibióticos por vía intravenosa, con el objetivo de combatir el foco infeccioso desencadenante. El tratamiento quirúrgico se reserva para aquellos casos con poca respuesta o en los que se requiera el drenaje de grandes abscesos o la reparación de una lesión intraabdominal, como en los casos secundarios a apendicitis complicada o diverticulitis perforada8. Existe poca evidencia con respecto al uso de anticoagulantes. Sin embargo, se considera que pueden tener cierto papel en la prevención de complicaciones, como la isquemia intestinal y los abscesos hepáticos3.
Confidencialidad de los datos. Los autores declaran que han seguido los protocolos de su centro de trabajo sobre la publicación de datos de pacientes.
Derecho a la privacidad y consentimiento informado. Los autores han obtenido el consentimiento informado de los pacientes y/o sujetos referidos en el artículo. Este documento obra en poder del autor de correspondencia.
Correspondencia: Gerardo Cruz E-mail: gerardoc2789@gmail.com



