Signo Radiológico
Signo del peine
Comb sign
Recepción: 31 Octubre 2019
Aprobación: 13 Mayo 2021
El signo del peine fue descrito por primera vez en 1995 por Meyers y McGuire1, después de observarlo en las tomografías computadas (TC) abdominales de dos pacientes con enfermedad de Crohn (EC) activa diagnosticada por los hallazgos clínicos y los estudios baritados, con quienes se concluyó que el signo podría ayudar a diagnosticar la EC activa y diferenciarla de otras patologías. Además, permitió implementar el uso de TC para el estudio de pacientes con dicha afección, que hasta entonces eran diagnosticados imagenológicamente con estudios baritados y arteriografía1,2.
El nombre del signo se atribuyó a que los vasos mesentéricos de los segmentos intestinales afectados se dilatan, se rectifican y se separan, lo que da la apariencia de los dientes de un peine1,3.
Actualmente, no se considera que sea un signo patognomónico de la EC, pero sí un indicador de actividad y enfermedad avanzada4.
En cuanto a la fisiopatología del signo, ha sido mayormente descrita en la EC. Los vasos rectos, ramas terminales, en las asas de intestino delgado se encuentran conectados entre sí por una red de anastomosis que son más largas y espaciadas entre ellas en el yeyuno, mientras que en el íleon son más cortas y cercanas5. El mesenterio se ve frecuentemente afectado en la EC y por ello se genera una proliferación de los fibroblastos del mesenterio (proliferación de la grasa) y la serosa del intestino afectado en respuesta a la inflamación crónica, que tiene como resultado la separación de las asas intestinales y los vasos, con pérdida de la interfaz entre el intestino y el mesenterio, y aumento del flujo sanguíneo con la consecuente rectificación y dilatación de los vasos rectos en el borde mesentérico del segmento intestinal enfermo, lo cual finalmente da la apariencia de un peine3.
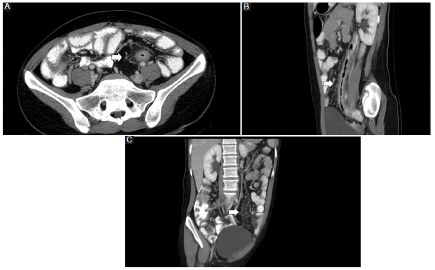
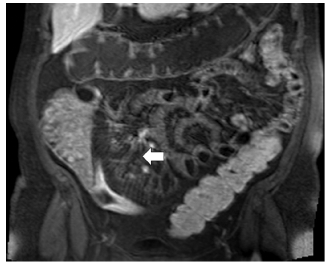
La TC permite identificar la hipervascularización del mesenterio, la elevación de la atenuación de la grasa mesentérica (20-60 UH) y el aumento en el espacio entre la vasa recta, que dan la apariencia de los dientes de un peine (Fig. 1) (3,4. La resonancia magnética (RM) también permite identificar los hallazgos que configuran el signo (Fig. 2) (3,5.


Koh et al. (2 describieron, en una serie de 30 pacientes evaluados por RM, que 18 de los 23 pacientes con enfermedad activa y 3 de los 7 pacientes con enfermedad inactiva presentaban el signo del peine, lo que corresponde a una sensibilidad del 78% y una especificidad del 57%.
Aunque inicialmente el signo fue descrito en la EC, no se considera patognomónico de esta y ya ha sido observado en muchos otros procesos que afectan los vasos mesentéricos, incluyendo vasculitis por lupus u otras vasculitis como la poliarteritis nudosa, la púrpura de Schönlein-Henoch, el síndrome de Behçet, y en patologías como la tromboembolia mesentérica, la obstrucción intestinal y la colitis ulcerativa3,4.
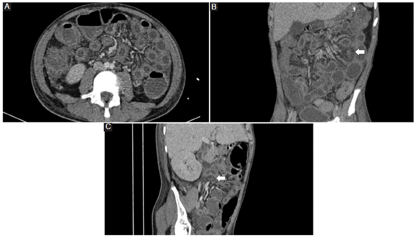
En cuanto al engrosamiento de las paredes intestinales que se puede asociar al signo del peine, tampoco es específico para la EC y también se puede observar en la colitis ulcerativa, la enteritis por radicación, algunas infecciones, la gastroenteropatía eosinófila, la enfermedad celiaca, la isquemia intestinal crónica y la enfermedad del injerto contra el huésped (Fig. 3) (2.

La historia clínica, la distribución de la enfermedad y los hallazgos asociados en otros sistemas son útiles para el diagnóstico diferencial. Por ejemplo, en los pacientes con EC pueden identificarse complicaciones de la enfermedad, como abscesos, fístulas, estenosis y enfermedad perianal, o manifestaciones sistémicas como esteatosis hepática, nefrolitiasis, colelitiasis, sacroileítis o hidronefrosis3,5. El signo del peine es útil para realizar el diagnóstico diferencial con linfoma y algunas metástasis, debido a que estas suelen ser lesiones hipovasculares4.
Se debe tener en cuenta la historia clínica, la distribución de la enfermedad y los hallazgos asociados para realizar un diagnóstico adecuado3.
Es importante reconocer el signo del peine debido a que se presenta en enfermedades que generan inflamación del mesenterio y puede ayudar a diferenciar patologías neoplásicas que suelen ser hipovasculares, especialmente el linfoma. Hay que aclarar que este signo, aunque ha sido mayormente descrito en la EC, no es patognomónico de ninguna enfermedad.
Correspondencia: Daniel Noreña-Rengifo E-mail: brian.norena@udea.edu.co


