ENSAYO ICONOGRÁFICO
Síndrome de heterotaxia: hallazgos tomográficos
Heterotaxy syndrome: tomographic findings
Síndrome de heterotaxia: hallazgos tomográficos
Revista argentina de radiología, vol. 86, núm. 3, pp. 179-189, 2022
Sociedad Argentina de Radiología (SAR) y Federación Argentina de Diagnóstico por Imágenes y Terapia Radiante (FAARDIT)
Recepción: 22 Marzo 2018
Aprobación: 02 Febrero 2021
Resumen: El objetivo de este trabajo es caracterizar los aspectos tomográficos relevantes en el síndrome de heterotaxia, mediante cuatro pacientes que ejemplifican los hallazgos más frecuentes en esta patología. Situs solitus es la disposición habitual de los órganos y vasos sanguíneos y situs inversus se refiere a la imagen en espejo del situs solitus. Cuando la disposición de los órganos es indeterminada e impredecible y no se corresponde con el situs solitus ni el situs inversus, estamos frente al situs ambiguus o síndrome de heterotaxia, espectro de anomalías poco frecuente en las relaciones de los órganos toracoabdominales. Puede acompañarse de isomerismo derecho o isomerismo izquierdo. Clasificarlo en dos subgrupos es habitualmente difícil, ya que ninguno de estos tiene hallazgos únicos y patognomónicos, sino que existe amplia superposición. Ambos son de mal pronóstico, en los casos de isomerismo izquierdo un 5-10% llegan a la edad adulta, siendo de peor pronóstico los casos de isomerismo derecho, debido a que presentan inmunodepresión secundaria a la asplenia y cardiopatías congénitas más severas. Se debe analizar cada caso de forma individualizada y detallada para establecer el diagnóstico, determinar la asociación lesional y establecer aquellos pacientes que presenten mayor riesgo de complicaciones.
Palabras clave: Síndrome de heterotaxia, Síndrome de asplenia, Síndrome de poliesplenia, Isomerismo, Situs ambiguus.
Abstract: The objective of this brief communication is to characterize the relevant tomographic aspects in the heterotaxy syndrome, by means of 4 patients that exemplify the most frequent findings in this pathology. Situs solitus is the usual arrangement of organs and blood vessels and situs inversus refers to the mirror image of situs solitus. When the arrangement of the organs is indeterminate and unpredictable and does not correspond to situs solitus or the situs inversus, we are facing the situs ambiguus or heterotaxy syndrome, abnormal spectrum of anomalies in the relations of the thoracoabdominal organs. It may be accompanied by right isomerism or left isomerism. Attempts to classify it into two subgroups are usually difficult since none of these has unique and pathognomonic findings, but rather there is broad overlap. Both are of poor prognosis, in the cases of left isomerism 5-10% reach adulthood, with a worse prognosis being the cases of right isomerism due to the fact that they have immunodepression secondary to asplenia and more severe congenital cardiopathies. Each case should be analyzed in an individualized and detailed manner to establish the diagnosis, determine the lesional association and establish those patients that present a higher risk of complications.
Keywords: Heterotaxy syndrome, Asplenia syndrome, Polysplenia syndrome, Isomerism, Situs ambiguous.
Introducción
El síndrome de heterotaxia es un defecto en el proceso de lateralización izquierda-derecha habitual durante el desarrollo embrionario, en el cual los órganos y vasos sanguíneos se disponen anormalmente con respecto a la línea media, sin existir una alteración patognomónica1. Páncreas congénitamente cortos, anormalidades en la formación de la vena porta, malrotación intestinal y anomalías en la vena cava inferior (VCI) son algunas de las malformaciones asociadas. Cuando el diagnóstico se da en adultos suele ser incidental, por lo que debemos de estar familiarizados con los hallazgos imagenológicos2.
Es una malformación rara y poco descrita, con una incidencia de 1 cada 20.000 nacidos vivos, consecuencia de la mutación de distintos genes que pueden estar asociados a otros síndromes genéticos, por ejemplo el síndrome de Kartagener dado por discinesia ciliar primaria, situs inversus, poliposis nasal o sinusitis crónica, y bronquiectasias, u ocurrir espontáneamente3,4. Se consideran factores de riesgo la exposición durante el embarazo al humo de tabaco, cocaína y ciertos químicos, así como la diabetes mellitus. (3 Lo más frecuente es la presentación esporádica, aunque el 10% de los pacientes tienen antecedentes familiares de anomalías cardiacas congénitas5.
El objetivo es describir los hallazgos imagenológicos en tomografía computarizada (TC) de cuatro pacientes (uno de sexo femenino y tres de sexo masculino) portadores de síndrome de heterotaxia con poliesplenia diagnosticados por TC.
Terminología
La clasificación realizada por van Praagh et al. y luego por Anderson et al. propone un enfoque secuencial de la anatomía cardiaca y sus relaciones. Consiste en tres etapas: primero, realizar una descripción anatómica en relación con el situs víscero-auricular, ventrículos y grandes vasos. Luego se describe la relación entre cada uno de los segmentos cardiacos (aurículo-ventricular y ventrículo-arterial) y por último las anomalías entre cada uno de ellos. En este trabajo nos enfocaremos en la primera fase de este enfoque diagnóstico6,7.
La posición del corazón dentro de la cavidad torácica y la orientación del eje base-ápex cardiaco contribuyen a la descripción del posicionamiento, pero no determinan el situs. Junto a este, son útiles para predecir el riesgo de incidencia de anomalías cardiacas congénitas, ya que en un 90-100% se asocian a situs ambiguus7. Existen tres posibles malposiciones cardiacas determinadas por la orientación del eje base-ápex cardiaco: dextrocardia, mesocardia y levocardia, según se oriente a la derecha, línea media o a la izquierda respectivamente. Con respecto a la ubicación global del corazón dentro de la caja torácica, hablamos de dextroposición cuando su ubicación predomina a la derecha, mesoposición cuando se encuentra en la línea media o levoposición cuando se encuentra mayoritariamente a la izquierda. En cualquiera de estas tres posiciones, el eje base-ápex puede estar orientado normalmente a la izquierda6,7. Otra posible malposición cardiaca es la ectopia cordis, que hace referencia a la posición del corazón fuera de la caja torácica, siendo la topografía adyacente a la caja torácica la ubicación más frecuente.
El término situs hace referencia a la relación entre las vísceras abdominales y las aurículas con respecto a su lateralización6,7. Existen tres tipos de relaciones: situs solitus, inversus y ambiguus.
Situs solitus es la disposición anatómica normal con la correcta lateralización derecha-izquierda de los órganos toracoabdominales en relación con las aurículas. Cuando la disposición es en espejo estamos frente a un situs inversus, con una incidencia estimada en la población general del 0,01%7,8. Cuando la disposición es desordenada e incongruente y no coincide con un situs solitus ni inversus, el término que se utiliza es situs ambiguus o heterotaxia (Fig. 1) (9. Muchos autores clasifican al situs ambiguus en dos subgrupos: isomerismo derecho e isomerismo izquierdo9.

El isomerismo hace referencia a una situación en la que estructuras morfológicamente derechas o izquierdas se encuentran a ambos lados de la línea media (Fig. 1) (8. Los hallazgos se detallan en la tabla 1.

De esta forma, podemos clasificar el situs como situs solitus, situs inversus (con dextrocardia o levocardia) o situs ambiguus.
Para definir la correcta lateralización de las aurículas hay que basarse en el análisis morfológico de sus apéndices, ya que son los únicos que son isoméricos en el contexto de la heterotaxia. La orejuela derecha tiene una morfología piramidal con base de implantación amplia, mientras la orejuela izquierda posee una base de implantación estrecha y una morfología en gancho10.
Asimismo, es útil valorar la disposición de los órganos extracardiacos, en el tórax la disposición bronquial es usualmente concordante con la anatomía de los apéndices auriculares, por lo que la anatomía pulmonar y la relación entre el árbol bronquial y arterias pulmonares es útil6,7. Otra orientación puede ser analizar la relación veno-atrial, sabiendo que la VCI drena a la aurícula derecha. En el abdomen, la disposición del hígado y el número y posición de los bazos son factores que ayudan a identificar6,7.
La anatomía esplénica usualmente se utiliza para clasificar a los pacientes. En la mayoría de los casos, el isomerismo derecho se asocia a la ausencia de bazo (asplenia), también conocido como síndrome de Ivermark, mientras que el isomerismo izquierdo con la presencia de múltiples bazos (poliesplenia) (4. Esta aproximación no es la más apropiada para clasificar el subtipo de isomerismo. Se sugiere no utilizarlos como sinónimos, debido a que esta correlación es más débil que la asociación entre la anatomía broncopulmonar y los apéndices cardiacos6.
Existen distintas anomalías del retorno venoso frecuentemente asociadas a ambos subtipos. Al isomerismo izquierdo se puede asociar la interrupción de la VCI con continuación a través del sistema ácigos drenando en la vena cava superior como también las venas suprahepáticas drenando directamente o por medio de una VCI corta, a una o ambas aurículas. En el isomerismo derecho hay ausencia de seno coronario (ya que esta es una estructura izquierda) y también se puede asociar a anomalías del retorno venoso pulmonar total en relación con obstrucción o estenosis (especialmente su forma infracardiaca) (6,7. Tanto en el isomerismo derecho como en el izquierdo pueden observarse venas cavas superiores bilaterales. Cuando existe isomerismo derecho, el drenaje se hace directamente hacia la aurícula morfológicamente derecha y en el isomerismo izquierdo se realiza mediante el seno coronario11.
Se recomienda un abordaje individualizado y sistematizado, de manera tal que los casos en los que se sospecha se clasifiquen como síndrome de heterotaxia (no poliesplenia o asplenia) seguido de una descripción detallada de los hallazgos anatómicos. Se debe analizar la patología cardiaca independientemente de la patología extracardiaca, pues los hallazgos en uno y otro no deben determinar en subtipo12.
Si bien, como se mencionó con anterioridad, las anomalías cardiacas no determinan el situs ni el subtipo de isomerismo, existen distintas malformaciones comúnmente asociadas. El isomerismo derecho se asocia a canal aurículo-ventricular común, corazón univentricular, estenosis o atresia pulmonar, trasposición de grandes vasos y anomalías en el drenaje venoso, siendo el retorno venoso pulmonar anómalo total el más frecuente. En contraste, el isomerismo izquierdo presenta defectos en el tabique interventricular, doble salida en el ventrículo derecho, lesiones obstructivas izquierdas y anomalías en el retorno venoso más frecuentemente sistémicas que pulmonares12.
Los síntomas varían según la afectación que se presente. En los casos de isomerismo derecho, la cianosis es la manifestación más frecuente pero también pueden presentarse con distrés respiratorio severo. Pacientes con isomerismo izquierdo presentan síntomas menos específicos debido a que la patología cardiaca generalmente es más leve. Estos pacientes generalmente se diagnostican cuando se les realiza algún estudio de imagen por otra causa adquirida12.
De existir malrotación intestinal, aumenta el riesgo de presentar vólvulo intestinal y, en el caso de la asplenia, se establece una alteración en el estatus inmunitario con un riesgo aumentado de contraer infecciones potencialmente mortales13.
Evaluación imagenológica
Las estructuras críticas que deben de ser evaluadas con los métodos de imagen para determinar el situs son: a) posicionamiento de las aurículas; b) posición del ápex cardiaco; c) posicionamiento de las venas de drenaje venoso infradiafragmáticas en relación con la línea media; d) posición de la aorta en relación con la línea media; e) posicionamiento del estómago y existencia o no de malrotación intestinal; f) posición del hígado y vesícula biliar; g) presencia, características y número de bazos, y h) presencia de pulmones bilobulados o trilobulados9.
Estas estructuras pueden ser evaluadas mediante radiografía de tórax, ecografía, tránsito intestinal baritado, TC o resonancia magnética (RM).
La TC es una técnica muy útil gracias a su buena resolución espacial, que permite el estudio anatómico de los distintos órganos, como así también mediante estudios dinámicos con medio de contraste permite valorar el árbol vascular.
Hallazgos radiológicos
Los principales hallazgos de los casos clínicos presentados se encuentran resumidos en la tabla 2.

Corazón
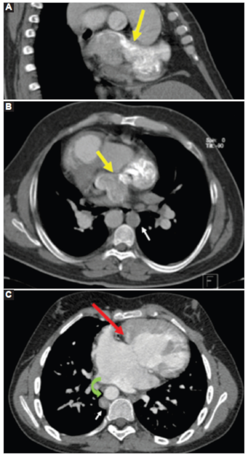
En el caso 2 se observó dextrocardia con ambas aurículas de morfología izquierda y comunicación interauricular tipo seno venoso adyacente a la inserción de la vena cava superior. En un tiempo precoz luego de la administración de medio de contraste se demostró opacificación de la aurícula contralateral, lo que sugiere shunt derecha-izquierda (Fig. 2 A y B). En el caso 3 se evidenció corazón unicameral con canal auriculoventricular (Fig. 2C).

Pulmones y bronquios
El síndrome de heterotaxia con isomerismo izquierdo se asocia a pulmones simétricos, bilobulados con una única cisura, como se observó en los casos 1, 2 y 3 (Figs. 3 y 4).


Los bronquios fuente son largos bilateralmente y pasan por debajo de la arteria pulmonar correspondiente, comportándose ambos como bronquios fuente izquierdos. Presentan bifurcación anatómica izquierda (bronquio lobar superior e inferior) y la distancia entre la carina y la primera división del bronquio princial es igual en ambos pulmones.
Alteraciones vasculares
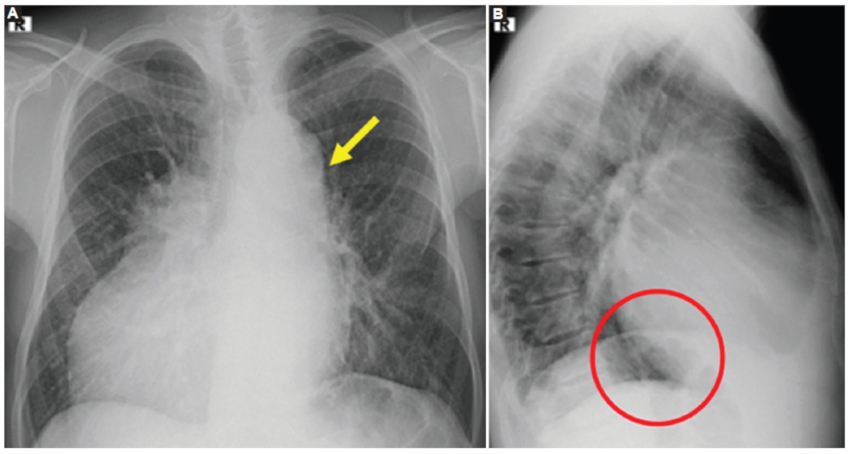
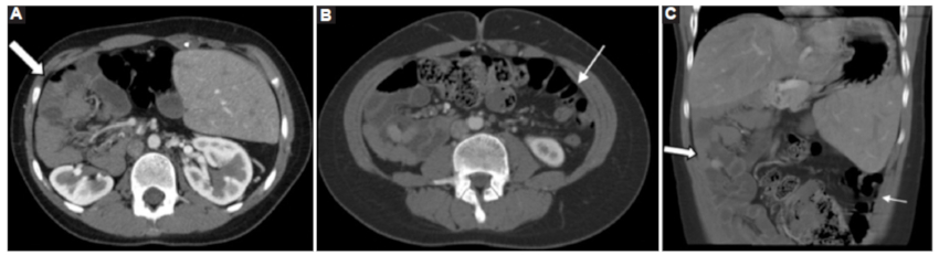
La alteración más frecuentemente asociada es la interrupción de la VCI retrohepática con continuación como vena ácigos o hemiácigos, hallazgo que se observa en todos los casos (Fig. 5). Esta alteración puede ser sugerida por la radiografía de tórax, como en el caso 1, en el que se observó ausencia de la VCI en el sector posteroinferior de la silueta cardiaca en el enfoque lateral y el cayado de la ácigos prominente en la proyección frontal (Fig. 6).


La VCI infrarrenal discurrió normalmente a la derecha de la aorta, hasta la desembocadura de ambas venas renales en los casos 3 y 4. En el caso 1 presenta un recorrido a la izquierda de la aorta. Luego continuó como vena ácigos aumentada de tamaño, formando un prominente cayado de la ácigos, a la derecha en el caso 3 y a la izquierda en los casos 1 y 2 (Fig. 7).

El retorno venoso pulmonar y sistémico puede ser anómalo y tiene una gran variedad de presentaciones. En el caso 1 se observó una anomalía parcial del retorno venoso pulmonar, la vena pulmonar superior derecha drenando a la aurícula derecha (Fig. 8A), asociado a un retorno venoso sistémico anómalo con la vena cava superior e inferior drenando ambas a la aurícula izquierda y estableciendo así un shunt pulmonar del retorno sistémico (Fig. 8 B y C). En el caso 3 se observaron dos venas cava superiores (derecha e izquierda); que drenan a sus respectivas arterias pulmonares (Fig. 8 D) determinando una alteración del retorno venoso sistémico.

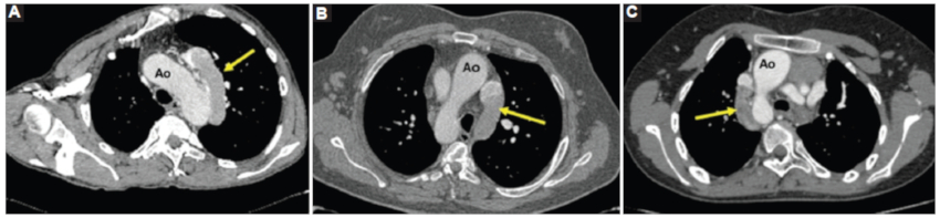
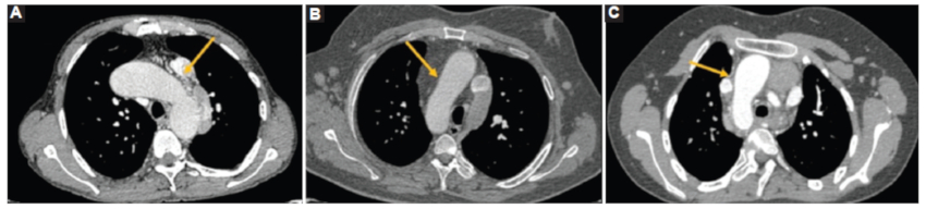
El arco aórtico puede tener una posición variable tanto a derecha como a izquierda. En el caso 1 se observó a izquierda y en los casos 2 y 3 a la derecha (Fig. 9).

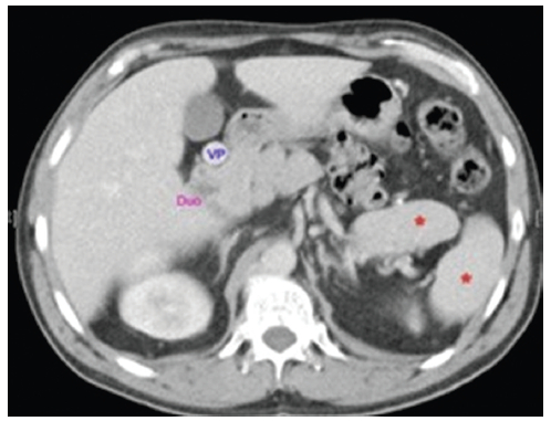
Otras anomalías que se pueden encontrar son la vena porta preduodenal, que puede interferir en el desarrollo normal del páncreas, como en el caso 4 (Fig. 10) (2.

Páncreas
Las anomalías del páncreas son frecuentes y bien conocidas. El hallazgo más frecuente es el de un páncreas trunco, con presencia de la cabeza pancreática y una pequeña parte del cuerpo como se vio en los casos 1, 3 y 4 (Fig. 11). Las anomalías del páncreas y bazo se asocian, debido al desarrollo embrionario común14.

Hígado
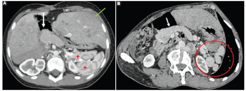
En el síndrome de heterotaxia, la disposición central del hígado «en puente» es habitual junto con la vesícula biliar cercana a la línea media (casos 1, 2 y 3) (Fig. 12). En los casos 1 y 3 se observó remodelación hepática con hipertrofia del lóbulo izquierdo y del lóbulo caudado, determinando en el caso 3 una gran hepatomegalia (Fig. 12). Los casos 2 y 3 presentaron la vesícula biliar cercana a la línea media.

Bazo
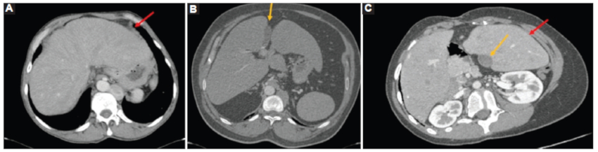
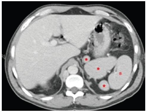
La mayoría de los casos de síndrome de heterotaxia con isomerismo izquierdo se asocia a la existencia de múltiples bazos, de distinto tamaño pudiéndose encontrar en cualquier localización, pero más frecuentemente próximos a la curvatura mayor del estómago, como en los casos 1, 3 y 4 (Figs. 11 y 13). Esta estrecha relación está determinada por el desarrollo embriológico14.

Tracto gastrointestinal
Anormalidades en la rotación y fijación intestinal son un hallazgo frecuente en el síndrome de heterotaxia. Lo más frecuente es encontrar la totalidad del marco colónico en un lado del abdomen mientras las asas delgadas se localizan en el hemiabdomen contralateral, como en el caso 3 (Fig. 14) (12,15.

Generalmente, presentan un mesenterio con una base de implantación angosta que lo hace más vulnerable a sufrir volvulación. Puede asociarse a una inversión en la relación de los vasos mesentéricos15.
Discusión
Las alteraciones del situs son un desafío diagnóstico para el radiólogo, ya que no existe una disposición anatómica patognomónica.
Los casos descritos reflejan el amplio espectro de alteraciones que pueden verse en estos pacientes y demuestran la complejidad del síndrome de heteroataxia, en concordancia con lo referido en la bibliografía.
La clasificación propuesta por van Praagh et al. y luego por Anderson et al. propone unificar criterios para la correcta definición y clasificación y así lograr un único lenguaje entre los clínicos, cirujanos y radiólogos2.
Consideramos que es de suma importancia conocer las anomalías del situs y sus variaciones, ya que de esta manera es posible realizar descripciones más detalladas y conocer qué pacientes presentan cardiopatías congénitas, alteraciones del estatus inmunitario secundario a asplenia o riesgo de vólvulo debido a malrotación. El desconocimiento de esta condición puede llevar a errores diagnósticos o a complicaciones en el tratamiento.
Bibliografía
Prieto C, Vila JJ, García JL, Borda F. Síndrome de heterotaxia (poliesplenia) en un adulto. Radiología. 2007;49(3):211-4.
Low JP, Willismos D, Chaganti JR. Polysplenia syndrome with agenesis of the dorsal páncreas and preduodenal portal vein presenting with obstructive jaundice - a case report and literature review. Br J Radiol. 2011;84(1007);e219-e222.
Martines-Ceccopieri DA, Barrios-Prieto E, González-Gallo SL, Panduro-Barón G, Fajardo-Duenas S. Diagnóstico prenatal de los síndromes de heterotaxia fetal: presentación de dos casos y revisión de la bibliografía. Ginecol Obstet Mex. 2014;82:769-77.
Ghosh S, Yarmish G, Godelman A, Haramati LB, Spindola-Franco H. Anomalies of visceroatrial situs. AJR Am J Roentgenol. 2009:193:1107-17.
Heterotaxy Syndrome [Internet]. MedinePlus, U.S. National Library of Medicine, National Institutes of Health, Department of Health & Human Services [çultima actualoización: 1 de marzo de 2019]. Disponible en: https://ghr.nlm.nih.gov/condition/heterotaxy-syndrome
Jacobs JP, Anderson RH, Weinberg OM, Walterns HL, Tchervenov CI. The nomenclature, definition and classification of cardiac structures in the setting of heterotaxy. Cardiol Young. 2007;17(2):1-28.
Lapierre C, Garel L, El-Jalbout R, Damphousse A, Déry J. Cardiac CT and MRI of cardiac malformations: How to interpret them? Diagn Interv Imaging. 2016;97(5):519-30.
Abreu A, Nieto-Morales ML, Fuentes M. Heterotaxy syndrome in a Young adult. J Clin Med. 2012;9(1):36-44.
Applegate K, Goske M, Pierce G, Murphy D. Situs revisited: imaging of the heterotaxy syndrome. Radiographics. 1999:19(4):837-52.
Huang L, Mitchell BJ, Andronikou S, Lockhat ZI, Suleman F. Heterotaxy syndrome: This is the left, right? S Afr J Rad. 2015;19(2): 1-5.
Viñales F, Arrigos B. Marcadores sonográficos de cardiopatías congénitas. Persistencia de vena cava superior izquierda: nuestra experiencia. Rev Chil Obstet Ginecol. 2002;67(4):288-92.
Pockett CR, Dicken BJ, Rebeyka IM, Ross D, Ryerson L. Heterotaxy syndrome and intestinal rotation abnormalities: A survey of institutional practice. J Pediatr Surg. 2013;48(10):2078-83.
Gonçalves CM, Noschang J, Silva ACB, Mello RJK, Schuh SJ, Maciel AC. Heterotaxy syndrome: a case report. Radiol Bras. 2014;47(1):54-6.
Fulcher S, Turner M. Abdominal manifestations of situs anomalies in adults. Radiographics. 2002;22(6):1439-56.
Pickhardt P, Bhalla S. Pictorial essay. Intestinal malrotation in adolescents and adults: spectrum of clinical imaging features. AJR Am J Roentgenol . 2002;179(6):1429-35.
Notas
Notas de autor
Correspondencia: Madelón González E-mail: made.gonzalez@gmail.com