CARTA CIENTÍFICA
Hernia de hiato paraesofágica congénita con presentación insidiosa
Atypical presentation of congenital paraesophageal hiatal hernia
Hernia de hiato paraesofágica congénita con presentación insidiosa
Revista argentina de radiología, vol. 86, núm. 3, pp. 211-213, 2022
Sociedad Argentina de Radiología (SAR) y Federación Argentina de Diagnóstico por Imágenes y Terapia Radiante (FAARDIT)
Recepción: 17 Marzo 2021
Aprobación: 07 Octubre 2021
Estimados editores,
El diafragma constituye un hito anatómico importante para el radiólogo, con afecciones patológicas diversas, existiendo diferencias significativas entre niños y adultos.
Las hernias diafragmáticas congénitas (HDC) son defectos estructurales congénitos que suponen lesiones complejas amenazantes para la vida, ya que asocian una morbimortalidad infantil significativa. La incidencia de HDC es de 2-4 por 10.000 embarazos y, a pesar de los avances en el manejo neonatal intensivo, la tasa de mortalidad en niños con HDC aislada (descartando asociación con otra patología) continúa siendo del 25-30%1. Hay tres tipos de HDC: la posterolateral o de Bochdalek, la anteromedial o de Morgagni, y las hernias hiatales, siendo las dos primeras las más frecuentes en edad pediátrica. Las hernias hiatales suponen un 9% de todas las HDC y, a su vez, se clasifican en varios subtipos, existiendo dos clasificaciones distintas2. Una de las clasificaciones diferencia tres tipos de hernias hiatales: por deslizamiento, paraesofágicas y por esófago corto3. Otra opción clasificatoria distingue cuatro clases de hernias hiatales: por deslizamiento (tipo I), paraesofágicas (tipo II), mixtas (tipo III, formado por un mecanismo mixto que combina I y II) y con estómago intratorácico (tipo IV) (4.
En las hernias paraesofágicas, el ángulo de His se mantiene, la unión gastroesofágica se encuentra infradiafragmática y se hernia el fundus gástrico a través del hiato esofágico, quedando lateralmente al esófago y produciendo un estiramiento y deslizamiento parcial de la membrana freno-esofágica a través de un hiato dilatado5,6.
La hernia hiatal paraesofágica congénita es una entidad muy poco frecuente en pediatría, de etiología multifactorial, con el retraso en la fusión de la membrana pleuroperitoneal y el septum transversum como potencial explicación, con edad media de presentación alrededor de los 28 meses, pudiendo retrasarse el diagnóstico hasta los 14 años2,3. La sintomatología es altamente variable, desde pacientes asintomáticos, infecciones respiratorias de repetición, vómitos, anemia, fallo de medro, hematemesis, disfagia y melenas6,7. El diagnóstico de confirmación es radiológico y el tratamiento quirúrgico, siendo importante reconocer los signos radiológicos benignos y de alarma para guiar adecuadamente su manejo8.
Presentamos el caso de una lactante de 4 meses, fruto de embarazo controlado con ecografías prenatales normales, que consultó en urgencias por clínica de vómitos hemáticos. Antecedente de ingreso a los 2 meses por bronquiolitis aguda y a los 3 meses por vómitos. La exploración física, analítica sanguínea y ecografía abdominal resultaron anodinos.
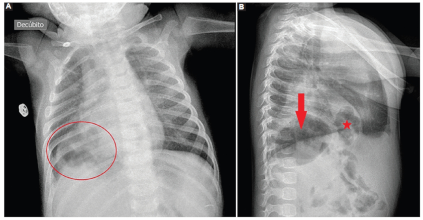
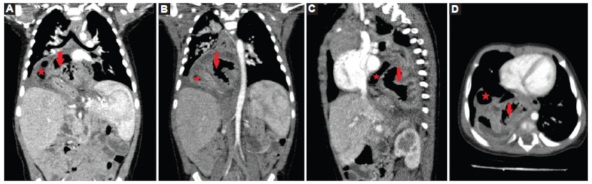
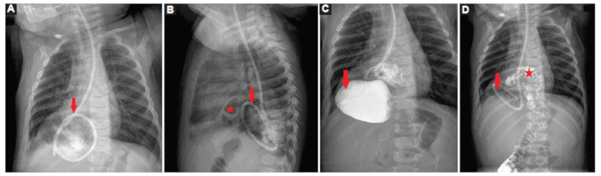
Reconsultó tras 20 días por reaparición de vómitos hemáticos y pérdida ponderal. En la exploración física destacó una hipoventilación en base pulmonar derecha, sin signos de dificultad respiratoria y afebril, con analítica sanguínea anodina. Se realizó una radiografía de tórax, objetivando una imagen en base pulmonar derecha compatible con hernia diafragmática (Fig. 1), hallazgo que permitió la realización de pruebas confirmatorias (Figs. 2 y 3) y un manejo precoz y adecuado del caso.



Se realizó intervención quirúrgica laparoscópica objetivando gran hernia a través de hiato esofágico que incluía colon transverso, estómago completo incluido el píloro y primera porción duodenal en situación invertida, sin signos de estrangulación. Se realizó reducción, resección parcial del saco herniario, cierre de los pilares, fijación de esófago a diafragma y funduplicatura de Nissen, previniendo la aparición de reflujo gastroesofágico posquirúrgico, presentando evolución posterior satisfactoria sin complicaciones.
Este caso ilustra un inicio atípico a temprana edad, pudiendo confundirse con otras patologías, ya que los vómitos en lactantes son muy frecuentes, siendo la mayoría de los procesos banales, pero pudiendo reflejar también enfermedades graves.
El diagnóstico de hernia hiatal congénita puede realizarse de manera prenatal en la ecografía del segundo trimestre. En casos de alta gravedad se puede completar el estudio con resonancia magnética intrauterina2.
De manera posnatal, el hallazgo más frecuente es observar aire retrocardiaco o la presencia de la sonda nasogástrica intratorácica en una radiografía de tórax9.
El diagnóstico diferencial incluye quistes o abscesos mediastínicos, obstrucción y dilatación esofágica o megaesófago en estadio final de acalasia.
La confirmación diagnóstica debe realizarse con un estudio radiológico esófago-gastro-duodenal con contraste. La realización de tomografía computada (TC) habitualmente debe reservarse para casos donde existan dudas diagnósticas o para precisar la posición anatómica3.
La complicación más frecuente es la esofagitis por reflujo, siendo la más urgente la obstrucción intestinal por vólvulo gástrico, que ocurre en las hernias de gran tamaño. La corrección quirúrgica de la hernia de hiato paraesofágica se realiza incluso en pacientes asintomáticos para prevenir posibles complicaciones, como la estrangulación y obstrucción intestinal2,6.
Pese al incremento de las tasas de supervivencia gracias a las recientes mejoras diagnóstico-terapéuticas, las HDC continúan suponiendo una morbimortalidad significativa, que depende fundamentalmente del tamaño herniario10.
Adicionalmente, en niños con hernias paraesofágicas, los ligamentos gastroesplénico y gastrocólico están frecuentemente ausentes, lo que les hace más proclives a presentar complicaciones graves, como la volvulación de las vísceras herniadas11.
Así, el conocimiento por parte de los radiólogos de las alteraciones diafragmáticas, junto con las consideraciones pediátricas, con las fortalezas y limitaciones de las técnicas de imagen actuales, resulta esencial para un manejo adecuado de estos complejos pacientes.
Bibliografía
Blumenfeld YJ, Belfort MA. New approaches to congenital diaphragmatic hernia. Curr Opin Obstet Gynecol. 2020;32(2):121-7.
Karpelowsky JS, Wieselthaler N, Rode H. Primary paraesophageal hernia in children. J Pediatr Sur. 2006;41(9):1588-93.
Taylor GA, Atalabi OM, Estroff JA. Imaging of congenital diaphragmatic hernias. Pediatr Radiol. 2009;39(1):1-16.
Abbara S, Kalan M, Lawicki AM. Intrathoracic stomach revisited. AJR Am J Roentgenol. 2003;181(2):403-14.
Vázquez Minero JC, Arias Gutiérrez A, Zepeda Rojas E, Ceballos Berruecos R, Pedroza Franco A, Portillo Téllez L, et al. Hernia hiatal paraesofágica (tipo IV) con obstrucción intestinal. Reporte de un caso. Neumol Cir Torax. 2011;70(3):192-8.
Maggiolo J, Rubilar LO, Girardi G, Pérez L. Hernia diafragmática en pediatría. Neumol Pediatr. 2016;11:85-9.
Stroch de Gracia Calvo P, Novoa Carballal R, Fernández García M, Albi Rodríguez G. Hernia de hiato paraesofágica congénita como casa de anemia grave hiporregenerativa. An Pediatr. 2011;75(6):427-8.
Sandstrom CK, Stern EJ. Diaphragmatic hernias: a spectrum of radiographic appearances. Curr Probl Diagn Radiol. 2011;40(3):95-115.
Arora PK, Karody V. Nasogastric tube in the right hemithorax: Where is it? J Pediatr. 2017;181:322-322.e1.
Chavhan GB, Babyn PS, Cohen RA, Langer JC. Multimodality imaging of the pediatric diaphragm: anatomy and pathologic conditions. Radiographics. 2010;30(7):1797-817.
Imamoğlu M, Cay A, Koşucu P, Ozdemir O, Orhan F, Sapan L, et al. Congenital paraesophageal hiatal hernia: pitfalls in the diagnosis and treatment. J Pediatr Surg. 2005;40(7):1128-33.
Notas
Notas de autor
Correspondencia: Paula M. Barberá Pérez E-mail: pmbarbera@salud.aragon.es