ARTÍCULO ORIGINAL
Recepción: 20 Enero 2022
Aprobación: 03 Septiembre 2022
Publicación: 30 Diciembre 2022
DOI: https://doi.org/10.24875/RAR.22000008
Resumen
Objetivo: Evaluar y describir la prevalencia de variantes anatómicas arteriales hepáticas observadas en una serie multicéntrica de pacientes con patologías hepatobiliares. Método: Estudio retrospectivo de anatomía arterial según la clasificación de Michels de angiografías digitales y tomografías computadas helicoidales abdominales realizadas entre febrero de 2009 y diciembre de 2020 en tres hospitales del Área Metropolitana de Buenos Aires. Resultados: Se incluyeron 275 pacientes en el estudio. Edad mediana 58,5 años. Sexo masculino 73,1%. Variante anatómica tipo 1 (normal) de la arteria hepática en 192 casos (69.8%); tipo 2 en 18 casos (6.5%); tipo 3 en 19 casos (6.9%); tipo 4 en 7 casos (2.5%); tipo 5 en 4 casos (1.5%); tipo 6 en 3 casos (1.1%); tipo 7 en 2 casos (0.7%); tipo 8 en 7 casos (2.5%); tipo 9 en 17 casos (6.2%) y otros tipos fuera de la clasificación de Michels en 6 casos (2.2%). También hallamos la presentación de 3 casos (1.1%) con arco de Bühler. Conclusiones: En nuestra serie se observaron variantes anatómicas no clásicas de la arteria hepática aproximadamente en un tercio de los casos. El conocimiento de las variantes anatómicas fue esencial para los procedimientos radiológicos y quirúrgicos en el tratamiento de tumores hepáticos, determinando la técnica de abordaje de las arterias involucradas.
Palabras clave: Anatomía, Arteria hepática, Angiografía, Tomografía, Radiología intervencionista.
Abstract
Objective: To evaluate and describe the prevalence of hepatic artery anatomical variants observed in a multicenter series of patients with hepatobiliary pathologies. Method: Retrospective study of arterial anatomy according to Michels classification of digital angiographies and abdominal helical computed tomography performed between February 2009 and December 2020 in three hospitals of the Buenos Aires Metropolitan Area. Results: 275 patients were included in the study. Median age 58.5 years. Male sex 73.1%. Type 1 (normal) variant of hepatic artery anatomy in 192 cases (69.8%); type 2 in 18 cases (6.5%); type 3 in 19 cases (6.9%); type 4 in 7 cases (2.5%); type 5 in 4 cases (1.5%); type 6 in 3 cases (1.1%); type 7 in 2 cases (0.7%); type 8 in 7 cases (2.5%); type 9 in 17 cases (6.2%), and other types out Michels classification in 6 cases (2.2%). We also found 3 cases (1.1%) with Bühler’s arch. Conclusions: In our series, non-classical anatomical variants of the hepatic artery were observed in approximately one third of cases. Knowledge of anatomical variants was essential for radiological and surgical procedures in the treatment of liver tumors, determining the approach technique of the arteries involved.
Keywords: Anatomy, Hepatic artery, Angiography, Tomography, Interventional radiology.
Introducción
Durante décadas, las variaciones arteriales de la aorta abdominal han atraído la atención de anatomistas y radiólogos debido a su destacada importancia en las especialidades quirúrgicas e intervencionistas. La primera descripción de la anatomía normal y aberrante del tronco celíaco fue publicada en 1756 por Albrecht von Haller1. Una clasificación del tronco celíaco en cuatro tipos fue propuesta por primera vez por Lipshutz2. Posteriormente, Adachi3 presentó una clasificación más detallada, mientras que las dos clasificaciones más utilizadas fueron sugeridas por Morita4 y Michels5.
Conocer las variaciones en el patrón vascular del tronco celíaco y sus ramas es fundamental para planificar las intervenciones terapéuticas abdominales. El progreso de los tratamientos endovasculares brinda a la radiología intervencionista abdominal un lugar preponderante en las posibilidades terapéuticas. Estos procedimientos (radioembolización, quimioembolización, quimioterapia hepática intraarterial) requieren una comprensión perfecta de la anatomía convencional de las arterias y sus variantes con el fin de obtener el mejor enfoque posible y minimizar los riesgos de complicaciones. Por lo tanto, la embolización de las ramas arteriales incorrectas puede conducir a un tratamiento incompleto de la lesión objetivo o a una exposición tóxica del parénquima sano.
La definición correcta de una variante anatómica es de suma importancia no solo para los procedimientos vasculares intervencionistas, sino también para las cirugías hepatobiliares y los trasplantes hepáticos6.
El propósito de este trabajo es describir la anatomía de las arterias hepáticas y sus variantes, aplicada a las imágenes de tomografía computada (TC) y angiografía digital, para comprender la implicancia de tales variaciones en los procedimientos de radiología intervencionista y quirúrgica, así como presentar su frecuencia en nuestro medio según la clasificación de Michels.
Embriología de la anatomía vascular celíaca-mesentérica y variantes
En 1904, Tandler7 describió que durante la fase temprana de la embriogénesis humana existen cuatro ramas vasculares ventrales primitivas provenientes de la aorta abdominal, denominadas arterias vitelinas, que se hallan interconectadas por una anastomosis longitudinal ventral. La regresión o el crecimiento continuo de las partes de estos vasos primitivos origina el desarrollo de variaciones del tronco celíaco y la arteria mesentérica superior (AMS) (8 (Fig. 1).

En la vascularización primitiva, las arterias vitelinas 10.a a 13.a se comunican entre la aorta y una arteria anastomótica ventral primitiva (Fig. 1 A). Normalmente, la anastomosis ventral y las arterias vitelinas 11.a y 12.a se retraen, dejando la raíz 10.a como el tronco celíaco y la 13.a como la AMS (Fig. 1 B). Al reemplazarse la arteria hepática por la AMS, y por regresión incompleta de la anastomosis ventral, se forma un tronco hepatomesentérico (Fig. 1 C).
El tronco celíaco-mesentérico se forma cuando las arterias vitelinas 10.a a 12.a se retraen y gran parte de la anastomosis ventral persiste para conectar la arteria celíaca y las ramas a la AMS (Fig. 1 D). Una arteria hepática parcialmente reemplazada o accesoria se forma de manera similar a una arteria hepática completamente reemplazada, debido a que no retrocede una porción de la anastomosis ventral (Fig. 1 E). El arco de Bühler resulta de la persistencia de la anastomosis ventral, que conecta el tronco celíaco y la AMS, a pesar de la regresión de las arterias vitelinas 11.a y 12.a (Fig. 1 F).
Descripción anatómica
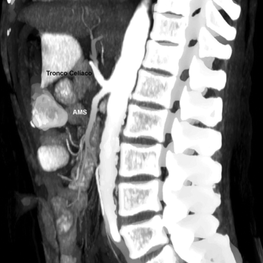
El tronco celíaco o arteria celíaca emerge de la cara ventral de la aorta abdominal después de cruzar el hiato aórtico diafragmático (a nivel de los cuerpos vertebrales D12 y L1), y luego de un trayecto de 10 a 15 mm se divide en tres ramas terminales: la arteria gástrica izquierda (AGI), la arteria hepática común (AHC) y la arteria esplénica (AEsp) (9,10.
Esta trifurcación vascular descrita por von Haller1 es considerada como la presentación clásica del tronco celíaco; se conoce como tripus Halleri y suministra irrigación a las estructuras derivadas del intestino anterior, el hígado, la vesícula biliar, el páncreas y el bazo. Se han descrito dos formas de trifurcación:
S e considera un trípode “verdadero” cuando la AHC, la AGI y la AEsp tienen un origen común, constituyendo un tronco hepato-gastro-esplénico.
S e denomina “falso” trípode cuando una de estas arterias surge antes que las dos restantes en el trayecto del tronco celíaco.
Diversas clasificaciones también admiten un tronco celíaco incompleto por bifurcación, a diferencia de la tercera rama que se origina en una arteria diferente y la AMS o inferior que se origina en combinación con las variaciones anteriores, incluyendo orígenes independientes de la AHC, la AGI y la AEsp; ambas se conocen como “ausencia del tronco celíaco” (2,3,4,5,8.
En su origen, la AHC toma contacto con el borde superior del páncreas, luego cruza el pilar derecho del diafragma, se sitúa en el piso del vestíbulo de la bolsa omental cubierta por peritoneo parietal10 y posteriormente, en el foramen epiploico, se divide en la arteria gastroduodenal (AGD) y la arteria hepática propia (AHP) (11. La AGD irriga principalmente la cabeza del páncreas y el duodeno, y se anastomosa con la AMS a través de los arcos pancreático-duodenales anterior y posterior. Asimismo, puede dar origen a la arteria gástrica derecha (10%), la arteria supraduodenal (27%) y la arteria cística (1%)12. En general, la arteria gástrica derecha se origina de la AHP, pero este origen es muy variable y puede nacer de la terminación de la AHC o de sus ramas10.
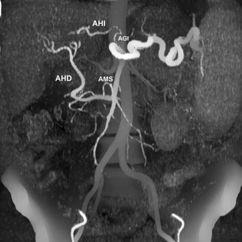
La AHP recorre hacia la derecha y por encima del borde anterior del foramen epiploico y a nivel del hilio hepático se bifurca en la arteria hepática derecha (AHD) y la arteria hepática izquierda (AHI). Estas ramas terminales hepáticas penetran el porta hepático, por delante de la rama de la vena porta hepática correspondiente, y se distribuyen siguiendo las ramificaciones venosas portales intrahepáticas de la segmentación de Couinaud10,13. En la presentación anatómica clásica, la AHI se extiende hacia la base de la fisura umbilical y desprende ramas hacia el lóbulo caudado o segmento I y los segmentos II (A2) y III (A3). El lóbulo caudado está irrigado por ramas de pequeño calibre de la AHD (35%), de la AHI (12%) o de ambas (53%)5 (Fig. 2). La AGI infrecuentemente puede dar una AHI aberrante o accesoria5,13.

Con respecto a la arteria del segmento IV (A4), tiene dos patrones de ramificaciones principales:
P atrón habitual que nace de la AHI; no obstante, son frecuentes las variantes originarias de la AHD.
P atrón de trifurcación de la AHP, en cuyo caso se denomina arteria hepática media11.
La AHD suele pasar por detrás del conducto hepático común y típicamente se divide en una rama anterior y otra posterior. La rama anterior se dirige hacia los segmentos V y VIII (A5 y A8), y la rama posterior hacia los segmentos VI y VII (A6 y A7).
La AMS se origina de la cara anterior de la aorta abdominal, a 2 cm, por término medio, por debajo del tronco celíaco, e irriga el yeyuno-íleon, el duodeno, el páncreas y el colon derecho10. Es relativamente frecuente observar que la AHC, la AHD aberrante o la AHD accesoria se originan de la AMS13.
Se ha utilizado la clasificación de Michels5 y consideramos oportuno, en primer lugar, definir los términos “aberrante”, “accesoria” y “reemplazante”. El término “aberrante” se aplica a aquellas arterias hepáticas que aparecen en forma variable, originándose en un sitio distinto al del vaso normal (por ejemplo, la aorta, la AMS, la arteria mesentérica inferior, etc.), que clásicamente no se encuentran en la región estudiada. A las arterias hepáticas aberrantes se las dividió en dos tipos: “accesoria” y “reemplazante”.
Las arterias hepáticas aberrantes “accesorias” son aquellas que, originándose en un sitio distinto del normal, se presentan cercanas al vaso de anatomía clásica, sumándose a este para la vascularización de un sector determinado del hígado. En cambio, las arterias hepáticas aberrantes “reemplazantes” son aquellas que se encuentran presentes en ausencia del vaso de disposición normal, originándose en un sitio distinto del habitual. De esta manera, estas arterias reemplazan la función de las arterias de origen normal y se encargan por sí solas de la vascularización de un determinado sector hepático (Fig. 3). Asimismo, la presencia de una rama venosa portal sin una arteria correspondiente indica una anatomía vascular reemplazada o accesoria, o vasos colaterales hepatófugos transhepáticos11.

Clasificación anatómica de las variantes de la arteria hepática según Michels
Tipo 1: AHD y AHI con origen en la AHC (Fig. 4).
Tipo 2: AHD con origen en la AHC. AHI aberrante con origen en la AGI (Fig. 5).
Tipo 3: AHD aberrante con origen en la AMS. AHI con origen en la AHC (Figs. 6 y 7).
Tipo 5: AHD y AHI con origen en la AHC. AHI accesoria desde la AGI (Fig. 10).
Tipo 6: AHD y AHI con origen en la AHC. AHD accesoria desde la AMS (Figs. 11 y 12).
Tipo 7: AHD y AHI con origen en la AHC. AHD accesoria desde la AMS y AHI accesoria desde la AGI (Figs. 13 y 14).
Tipo 8: AHD aberrante y AHI accesoria, o AHD accesoria y AHI aberrante (Figs. 15 y 16).
Tipo 9: la AHC emerge de la AMS (Fig. 17).
Tipo 10: la AHC emerge de la AGI.














Método
Se realizó un análisis retrospectivo de 393 angiografías abdominales realizadas en 275 pacientes mediante el uso de base de datos de anatomía arterial según la clasificación de Michels, así como las arterias extrahepáticas con aporte a tumores hepáticos, que fueron completadas en el momento del examen angiográfico visceral efectuado entre febrero de 2009 y diciembre de 2020 en tres hospitales del Área Metropolitana de Buenos Aires. Se excluyeron los pacientes con antecedentes de cirugía mayor abdominal superior previa al estudio angiográfico.
La angiografía digital se realizó como estudio de referencia para la quimioembolización transarterial de tumores hepáticos. Se realizaron angiografías con sustracción digital por acceso femoral, mediante cateterismo selectivo del tronco celíaco y la AMS con catéteres angiográficos convencionales de 5 o 6 Fr administrando contraste no iónico (300-370 mgI/ml). Además, se evaluaron las angiografías completas de la AGI, la AEsp y todas las arterias hepáticas que irrigan el parénquima hepático, independientemente de su origen.
Las TC helicoidales dinámicas obtenidas en la evaluación inicial de estos pacientes también fueron analizadas en este estudio retrospectivo. En los pacientes iniciales del presente estudio se utilizaron TC helicoidal de un solo detector en fila y posteriormente TC multidetector de diferentes fabricantes. En primer lugar, se obtuvieron imágenes de TC sin contraste en una dirección craneocaudal, seguidas de imágenes dinámicas durante las fases arterial hepática y venosa portal tras la administración de contraste intravenoso no iónico (300-370 mgI/ml). Volúmenes de medio de contraste administrados: 1 ml/kg de peso corporal.
Los estudios tomográficos efectuados con TC multidetector se analizaron en una estación de trabajo diagnóstica Vitrea™ Advanced Visualization (Canon Group Company), IntelliSpace Portal (Philips Medical Systems) o mediante el software Horos™ viewer (Horos Project), revisando los cortes axiales con ventana para parénquima hepático y efectuando reconstrucciones multiplanares con proyecciones de máxima intensidad (MIP).
Resultados
La población estudiada fue de 275 pacientes, con una edad mediana de 58.5 años y de sexo masculino el 73.1% (n = 201). Se han constatado las variantes tipo 1 (normal) de anatomía de la arteria hepática en 192 casos (69.8%), tipo 2 en 18 casos (6.5%), tipo 3 en 19 casos (6.9%), tipo 4 en 7 casos (2.5%), tipo 5 en 4 casos (1.5%), tipo 6 en 3 casos (1.1%), tipo 7 en 2 casos (0.7%), tipo 8 en 7 casos (2.5%), tipo 9 en 17 casos (6.2%).
Además, se observaron variantes fuera de la clasificación de Michels en 6 casos (2.2%): ausencia del tronco celíaco en 3 casos, tronco celíaco mesentérico en 2 casos (Fig. 18), y arterias hepáticas aberrantes derecha e izquierda originarias de AMS en 1 caso. Asimismo, en 3 casos de la variante tipo 1 de Michels se observaron los hallazgos asociados del arco de Bühler (Fig. 19).


Discusión
Los pacientes incluidos en este estudio retrospectivo (n = 275) fueron sometidos a 393 procedimientos angiográficos diagnósticos y terapéuticos debido a que algunos requirieron reintervenciones o procedimientos en dos tiempos según su patología o variante anatómica, destacando los casos de tumores hepáticos irrigados simultáneamente por diferentes ramas originarias de la AHD y AHI, incluyendo las ramas aberrantes. Por esta razón, el conocimiento completo y sistemático de la anatomía del tronco celíaco y el espectro de las variantes de la arteria hepática son de suma utilidad para realizar interpretaciones precisas de las imágenes de angiografía digital y de TC de la parte superior del abdomen11,13.
El desarrollo embrionario del tronco celíaco y la AMS desde cuatro ramas ventrales primitivas emergentes de la aorta abdominal durante la fase temprana de la embriogénesis humana fue descrito por Tandler7. Posteriormente, basado en esta hipótesis, Morita4) describió 15 tipos de variaciones lógicas posibles del tronco celíaco en combinación con las cuatro arterias vitelinas principales de esta región; sin embargo, en la actualidad no se conoce el reporte de la totalidad de las variaciones postuladas14.
Hemos utilizado la clasificación de Michels porque desde el punto de vista quirúrgico creemos que es completa, ya que establece las diferencias entre los conceptos de arteria “accesoria” y arteria “remplazada”, no explicados en clasificaciones más recientes15.
La variante anatómica más frecuente de vascularización hepática en esta investigación fue el tipo 1, que hemos encontrado en un 69.8% de nuestra serie. Esta frecuencia es superior a la descrita por Michels5) (55.0%) y Covey et al. (16) (61.3%); no obstante, es inferior a la reportada en la serie de Song et al. (17) (89.1%) y la revisión de Noussios et al. (15) (81.0%) (Tabla 1).

Las siguientes variantes más frecuentes halladas fueron los tipos 2, 3 y 9. Las prevalencias de los tipos 2 y 3 fueron cercanas a la reportada por Fonseca-Neto et al. (18; asimismo, destacamos la prevalencia aumentada de la variante de Michels tipo 9 en nuestra serie comparada con otras publicaciones5,13,15,17,19. Al igual que Covey et al. (16, no hemos detectado la variante de Michels tipo 10; sin embargo, observamos otros hallazgos infrecuentes fuera de la clasificación de Michels, como dos casos de tronco celíaco-mesentérico (0.7%), ausencia del tronco celíaco (emergencia independiente de la AHC y esplénica), AHI accesoria emergente de la AGD y la emergencia de las AHD e AHI aberrantes de la AMS. También hallamos tres casos con arco de Bühler (1.1%), con una frecuencia similar a la de otros reportes (1.0 a 4.0%)20.
Nuestro estudio se basó en el análisis de imágenes radiológicas y las descripciones de las redes arteriales finas podrían ser inexactas por limitaciones tecnológicas en los equipos tomográficos de los primeros casos registrados. Consecuentemente, cabe mencionar que las modernas herramientas de posprocesamiento de imágenes tomográficas, como MIP y renderizado de volumen (VR), son precisas para la identificación de la anatomía arterial hepática21,22, y los estudios con TC en arco en C son superiores a la angiografía por sustracción digital para identificar las arterias que nutren al tumor durante la quimioembolización hepática transarterial superselectiva23.
Limitaciones del estudio
El presente estudio tuvo algunas limitaciones. En primer lugar, se realizó de forma retrospectiva. En segundo lugar, el análisis comparativo de la prevalencia de las variantes anatómicas de la arteria hepática según la clasificación de Michels fue realizado tomando las publicaciones indexadas en inglés, por lo cual es posible advertir diferencias por factores étnico-geográficos.
Conclusiones
En nuestra serie, aproximadamente un tercio de los casos presentó variantes anatómicas no clásicas de la arteria hepática. El conocimiento de las variantes anatómicas es esencial para la planificación y la realización de los procedimientos quirúrgicos y radiológicos del abdomen superior, principalmente en el tratamiento de los tumores hepáticos mediante quimioembolización hepática transarterial selectiva, determinando la técnica de abordaje de las arterias involucradas.
Bibliografía
Haller A. Icones anatomicae in quibus aliquae partes corporis humani delineatae proponuntur et arteriarum potissimum historia continetur. Gottingen: Vandenhoeck; 1756.
Lipshutz B. A composite study of the coeliac axis artery. Ann Surg. 1917;65:159-69.
Adachi B. Das Arteriensystem der Japaner. Vol. 2. Verlag der Kaiserlich-Japanischen Universitat zu Kyoto; 1928.
Morita M. [Reports and conception of three anomalous cases on the area of the celiac and the superior mesenteric arteries.] Igaku Kenkyu (Acta Med). 1935;9:159-72.
Michels NA. Blood supply and anatomy of the upper abdominal organs with a descriptive atlas. Philadelphia: Lippincott; 1955. p. 139-43.
Favelier S, Germain T, Genson PY, Cercueil JP, Denys A, Krausé D, et al. Anatomy of liver arteries for interventional radiology. Diagn Interv Imaging. 2015;96:537-46.
Tandler J. Über die Varietäten der Arteria coeliaca und deren Entwickelung. Anat Hefte. 1904;25:473-500.
Walker TG. Mesenteric vasculature and collateral pathways. Semin Intervent Radiol. 2009;26:167-74.
Pitman AG, Moss D, Stringer MD. Posterior abdominal wall and retroperitoneum. En: Standring S, editor. Gray’s Anatomy. The anatomical basis of clinical practice. 41st ed. Edinburgh: Elsevier; 2015. p. 1083-97.
Latarjet M, Ruiz Liard A, Pró E. Anatomía humana. Tomo II. 5.a ed. Buenos Aires: Médica Panamericana; 2019. p. 1307-10.
Furuta T, Maeda E, Akai H, Hanaoka S, Yoshioka N, Akahane M, et al. Hepatic segments and vasculature: projecting CT anatomy onto angiograms. Radiographics. 2009;29:1-22.
Arias Fernández J, Martín Martín B, Pinheiro da Silva N, Díaz ML, Bilbao JI. Vasos extrahepáticos dependientes de la arteria hepática. Identificación y manejo. Radiologia. 2011;53:18-26.
Lowe MC, D’Angelica MI. Anatomy of hepatic resectional surgery. Surg Clin North Am. 2016;96:183-95.
Takeuchi K. An anomalous case of the splenic artery. Okajimas Folia Anat Jpn. 1987;63:407-13.
Noussios G, Dimitriou I, Chatzis I, Katsourakis A. The main anatomic variations of the hepatic artery and their importance in surgical practice: review of the literature. J Clin Med Res. 2017;9:248-52.
Covey AM, Brody LA, Maluccio MA, Getrajdman GI, Brown KT. Variant hepatic arterial anatomy revisited: digital subtraction angiography performed in 600 patients. Radiology. 2002;224:542-7.
Song SY, Chung JW, Yin YH, Jae HJ, Kim HC, Jeon UB, et al. Celiac axis and common hepatic artery variations in 5002 patients: systematic analysis with spiral CT and DSA. Radiology. 2010;255:278-88.
Fonseca-Neto OCLD, Lima HCS, Rabelo P, Melo PSV, Amorim AG, Lacerda CM. Anatomic variations of hepatic artery: a study in 479 liver transplantations. Arq Bras Cir Dig. 2017;30:35-7.
Harada H, Yamaki K, Doi Y, Saga T, Sannomiya T, Ichigatani M, et al. An anomalous case of the gastro-splenic and the hepato-mesenteric trunks independently arising from the abdominal aorta. Kurume Med J. 1996;43:181-4.
Saad WE, Davies MG, Sahler L, Lee D, Patel N, Kitanosono T, et al. Arc of Buhler: incidence and diameter in asymptomatic individuals. Vasc Endovascular Surg. 2005;39:347-9.
Saba L, Sanfilippo R, Anzidei M, Montisci R, Pascalis L, Mallarini G. Comparison between postprocessing techniques in the analysis of hepatic arteries using multi-detector-row computed tomography angiography. J Comput Assist Tomogr. 2011;35:174-80.
Sone M, Kato K, Hirose A, Nakasato T, Tomabechi M, Ehara S, et al. Impact of multislice CT angiography on planning of radiological catheter placement for hepatic arterial infusion chemotherapy. Cardiovasc Intervent Radiol. 2008;31:91-7.
Iwazawa J, Ohue S, Mitani T, Abe H, Hashimoto N, Hamuro M, et al. Identifying feeding arteries during TACE of hepatic tumors: comparison of C-arm CT and digital subtraction angiography. AJR Am J Roentgenol. 2009;192:1057-63.
Notas
Confidencialidad de los datos. Los autores declaran que en este artículo no aparecen datos de pacientes.
Derecho a la privacidad y consentimiento informado. Los autores declaran que en este artículo no aparecen datos de pacientes.
Notas de autor
Correspondencia: Ichiro Suzuki E-mail: ichirosuz@gmail.com
Declaración de intereses