Resumen: El trauma del globo ocular es una emergencia frecuente en los servicios de urgencia. Su importancia radica en el riesgo de la pérdida visual e incluso la ceguera. La valoración clínica del trauma ocular es un reto diagnóstico. Clínicamente se pueden realizar algunos diagnósticos, pero muchas veces se requiere de la valoración imagenológica para determinar lesiones asociadas. La tomografía computada (TC) permite el diagnóstico oportuno de las lesiones traumáticas del globo ocular, especialmente la presencia de cuerpos extraños. Adicionalmente, el conocimiento de los hallazgos imagenológicos en otras patologías oculares que pueden confundirse con patologías traumáticas es importante para hacer un adecuado diagnóstico diferencial. El objetivo del presente artículo es realizar una revisión de los hallazgos por imagen de las lesiones traumáticas del globo ocular.
Palabras clave: Ojo, Trauma, Tomografía computada.
Abstract: Traumatic ocular injuries are common cause of emergency room visits. Injuries of the globe are a significant cause of blindness and visual deficits. The clinical assessment of globe trauma can be challenging. Some diagnoses can be made clinically, but imaging assessment is often required to determine associated lesions. Computed tomography (CT) allows the timely diagnosis of traumatic injuries of the globe, especially the presence of foreign bodies. In addition, knowledge of the imaging findings in other ocular pathologies that can be confused with traumatic pathologies is important to make an adequate differential diagnosis. The aim of this article is to carry out a review of imaging findings of traumatic ocular injuries.
Keywords: Eye, Trauma, Computed tomography.
ENSAYO ICONOGRÁFICO
Hallazgos tomográficos en el trauma del globo ocular
Tomographic findings in traumatic ocular injuries
Recepción: 20 Mayo 2021
Aprobación: 01 Diciembre 2021
Publicación: 30 Diciembre 2022
El trauma ocular es una emergencia común que puede llevar a deterioro de la visión e incluso a ceguera. La mayoría de las lesiones son secundarias a trauma cerrado y hay mayor prevalencia en los hombres jóvenes1. Los mecanismos de trauma incluyen accidentes de tránsito, lesiones deportivas, accidentes laborales o industriales, caídas o trauma violento. La tomografía computada (TC) es el método imagenológico de elección en el trauma ocular, especialmente en los casos de cuerpos extraños1,2,3.
La TC es la técnica de elección en la valoración del trauma orbitario, es ampliamente disponible y requiere poco tiempo para su realización. Permite adecuada caracterización de los huesos y determinar la presencia de cuerpos extraños1,3. Sin embargo, tiene menor resolución de contraste de los tejidos blandos al comparar con la resonancia magnética (RM). Adicionalmente, los objetos metálicos y los dispositivos médicos pueden limitar la valoración tomográfica al crear artefactos de destello que pueden ocultar algunos hallazgos1,2. La técnica de la valoración ocular con TC requiere imágenes axiales de 0,625 a 1,25 mm de grosor, con reconstrucciones axiales y coronales en el eje del paladar duro en ventana de tejidos blandos y ventana ósea. El campo de visión debe incluir más allá del ápex orbitario para valorar el segmento canalicular del nervio óptico, el quiasma óptico, los tractos ópticos proximales y las radiaciones ópticas. La dosis de kVp recomendadas varían entre 120 y 140 kVp, y de mAs entre 100 y 200 mAs. Sin embargo, se recomienda mantener la dosis de radiación al mínimo posible en todos los pacientes. El contraste intravenoso no es necesario de forma sistemática, pero puede ser útil en los casos en que se sospeche trauma vascular como disecciones arteriales, fístulas carotidocarvernosas o la localización de un cuerpo extraño en relación con una estructura vascular1,2,3.
Aunque el ultrasonido puede ser de utilidad en la valoración del trauma ocular, la TC sigue siendo el examen de elección en la sospecha de rotura ocular y cuerpos extraños intraoculares1,4,5. La RM se recomienda en la valoración de roturas oculares sutiles o cuerpos extraños orgánicos no evidentes en la TC1.
El globo ocular se localiza en la órbita anterior y corresponde a un tercio del volumen total de la órbita. La pared del globo ocular tiene tres capas: la esclerótica o capa externa, que es la capa protectora fibrosa y se continúa con la córnea en la parte anterior, es la encargada de mantener la forma y la presión del globo ocular; la úvea o capa media, que es hipervascular y contiene la coroides, el cuerpo ciliar y el iris; y la retina o capa interna, que tiene la función sensorial del ojo. La cápsula de Tenon o fascia bulbi envuelve el globo ocular y lo separa de la grasa orbitaria. Las diferentes capas del globo ocular son difíciles de diferenciar en la TC (Fig. 1), mientras que con la RM se puede diferenciar la esclera de la coroides1,2,5,6.

El cristalino es biconvexo y se conecta a la esclera por las fibras zonulares que están orientadas radialmente, dividiendo el globo ocular en segmento anterior que contiene el humor acuoso y el posterior que contiene el humor o cuerpo vítreo. El iris subdivide el segmento anterior en cámara anterior y posterior. Sin embargo, la cámara posterior no se visualiza en las imágenes debido a su pequeño tamaño. La irrigación arterial se da principalmente por la arteria oftálmica. que es rama de la arteria carótida interna, y sus principales ramas son la arteria central de la retina y las arterias ciliares posteriores. El drenaje venoso mayor ocurre por la vena oftálmica superior5.
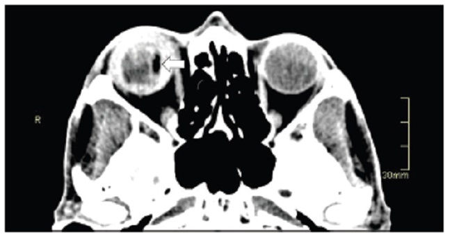
Usualmente ocurre por trauma penetrante. Las laceraciones superficiales solo son evidentes a la valoración oftalmológica clínica. Las laceraciones profundas que penetran por completo la córnea se observan en la TC como disminución del volumen de la cámara anterior, evidente al comparar con el globo ocular normal (Figs. 2 y 3). La subluxación anterior del cristalino es un imitador de laceración corneal1,5,6. Gad et al. (7 describieron que la sensibilidad y especificidad de la TC para lesiones corneales era del 50 y 93,1% respectivamente.


Es la acumulación de sangre en la cámara anterior por rotura de vasos sanguíneos en el iris o el cuerpo ciliar. Al examen clínico se ve un nivel líquido-hemorragia que impide la valoración de las estructuras posteriores a este. En la TC corresponde a un área hiperdensa en la cámara anterior1,7,8. La TC tiene sensibilidad del 77,4% y especificidad del 88,4% para la detección del hifema7.
El trauma contundente con fuerzas aplicadas en dirección anteroposterior se redistribuye en la dirección ecuatorial, haciendo que las uniones de las fibras zonulares del cristalino se traccionen y se rompan, resultando en luxación parcial (subluxación) o completa del cristalino1,6.
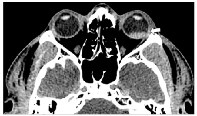
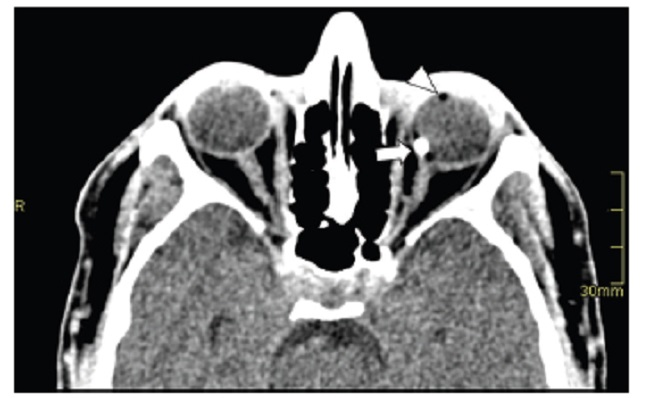
En las luxaciones parciales se compromete un solo lado de las fibras zonulares. Esto permite que el cristalino se mueva libremente en un lado mientras el otro permanece fijo detrás del iris, generando orientación anormal que depende del lado desplazado (Figs. 4 y 5). Las luxaciones completas se dan por lesiones que comprometen todas las fibras zonulares alrededor del cristalino, este último se desplaza usualmente hacia la porción dependiente en el humor vítreo. La luxación anterior es poco frecuente porque el iris limita el movimiento anterior del cristalino1,5,6. Las luxaciones se pueden asociar a otras lesiones, como catarata traumática o hemorragia vítrea5. La TC puede mostrar tanto el desplazamiento del cristalino como las lesiones asociadas3,6. Gad et al. (7 describieron que la sensibilidad y especificidad de la TC para la detección de luxaciones parciales o completas del 88% y 90,7% respectivamente7.


Aunque el trauma es la causa más común de luxación del cristalino, esta también puede ser no traumática, debida a enfermedades del tejido conectivo, como el síndrome de Marfan, síndrome de Ehlers-Danlos, homocistinuria y el síndrome de Weill-Marchesani1,5,6,8.
Consiste en un edema agudo del cristalino por disrupción de su cápsula, secundario a trauma penetrante o contuso1,8. En la TC se visualiza como disminución de la densidad del cristalino afectado al comparar con el cristalino contralateral normal (Fig. 5). Se ha propuesto que el cristalino lesionado tiene atenuación de 30 unidades Hounsfield (UH) menor a la del cristalino sano. Debe tenerse en cuenta que en los pacientes con diabetes se puede presentar edema bilateral de los cristalinos secundario al gradiente osmótico generado por la glucosa elevada en el globo ocular8. Las cataratas maduras pueden ser hiperdensas o incluso calcificadas1.
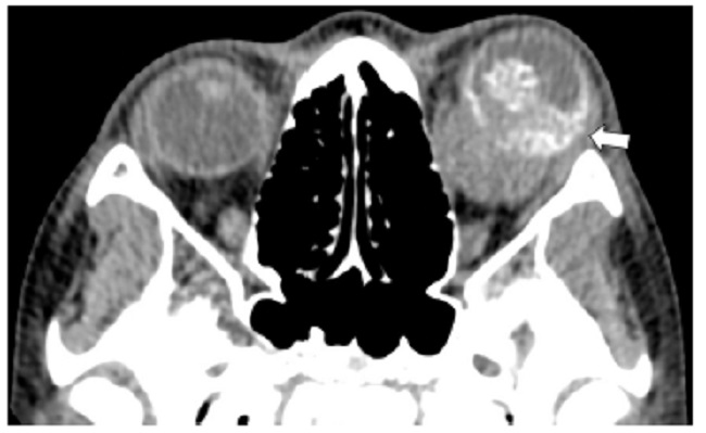
Ocurre por disrupción de los vasos retinianos, lo cual genera sangrado en el humor vítreo. La hemorragia vítrea se ve en la TC como material hiperatenuante en el segmento posterior1,5,6 (Figs. 6 y 7).


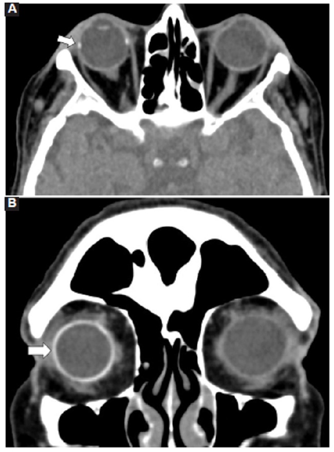
La retina está normalmente adherida a la ora serrata anteriormente y al disco óptico posteriormente. Las lesiones traumáticas de la retina permiten que líquido y sangre se acumulen entre ella y la coroides, generando el desprendimiento de retina1,6. En algunas ocasiones el desprendimiento puede ser parcial5. En la TC se describe la apariencia de V característica con un ángulo agudo con el ápice en el disco óptico y las extremidades en la ora serrata (Fig. 8)1,6.

La coroides es parte de la capa media del globo ocular y se localiza entre la retina y la esclerótica. Las lesiones traumáticas que generan disminución de la presión intraocular generan acumulación de líquido o sangre en el espacio supracoroideo, que está entre la coroides y la esclera, con subsecuente desprendimiento de la capa coroidea. En la TC el desprendimiento tiene forma lentiforme o biconvexo y respeta la porción posterior del globo que se extiende desde el nivel de las venas del vórtice hasta la ora serrata, hallazgo que lo diferencia del desprendimiento de retina1,6 (Fig. 9).

La rotura del globo ocular es una emergencia oftalmológica que puede llevar a complicaciones severas como endoftalmitis postraumática, pérdida de la visión y ceguera, oftalmía simpática, meningitis, abscesos cerebrales o incluso la muerte9,10.
Debido a que la rotura del globo ocular es una causa importante de ceguera, esta debe descartarse en los pacientes con trauma ocular. En los traumas contusos, los sitios de inserción de los músculos intraoculares son los sitios más comunes de rotura debido a que la esclera es más delgada en esta zona1.
El diagnóstico puede ser obvio al examen clínico, pero en los casos dudosos la TC es el examen de elección, con sensibilidad del 56 al 68% en la detección de roturas ocultas al examen físico1,6,9. Yuan et al. (9 reportaron que la TC en el diagnóstico de rotura del globo ocular tiene sensibilidad promedio del 76% y especificidad promedio del 85%. Gad et al. (9 reportaron que la TC tiene sensibilidad del 87% y especificidad del 97,33% para la detección de perforación anterior del globo ocular7.
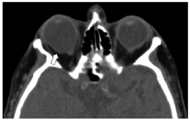
Los hallazgos tomográficos de lesión abierta del globo ocular incluyen el cambio en el contorno del ojo, pérdida obvia de volumen (llanta desinflada), la discontinuidad escleral, y el aire y los cuerpos extraños intraoculares1,6 (Figs. 2, 3, 10, 11, 12). La profundidad de la cámara anterior puede aumentar y asociarse a desplazamiento posterior del cristalino por rotura en el segmento posterior1.



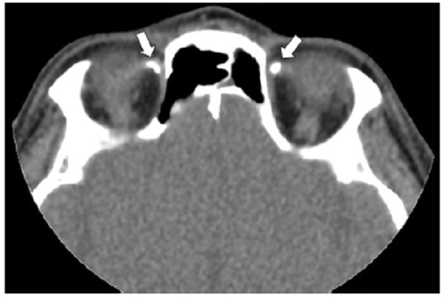
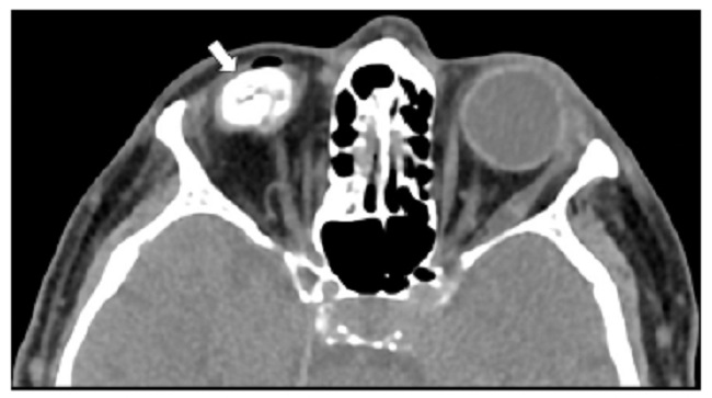
La mayoría de los cuerpos extraños en el trauma ocular son inorgánicos, como el metal y el vidrio. Los orgánicos, como la madera, son más difíciles de valorar y generan mayor respuesta inflamatoria e infecciones graves. En la TC los cuerpos extraños hiperdensos como el metal, el vidrio y el plástico se pueden identificar desde 1 mm de diámetro. Los cuerpos extraños metálicos tienen un hallazgo característico en la TC y es el destello (Fig. 11). Los cuerpos extraños de madera son más difíciles de identificar, debido a que son similares al aire en la fase aguda. Sin embargo, su forma geométrica y la medición de su atenuación ayudan al diagnóstico de cuerpos extraños de madera por TC, ya que inicialmente tienen atenuación de -100 a -200 UH (Fig. 12), la cual incrementa con el paso del tiempo debido a la acumulación de líquido. El aire presenta atenuación de alrededor de -1.000 UH. La TC tiene sensibilidad cercana al 100%, que varía según la localización y características del cuerpo extraño. La RM puede valorar el globo ocular y demostrar cambios inflamatorios asociados al cuerpo extraño cuando este no se identifica por TC. Sin embargo, está contraindicada en los cuerpos extraños intraoculares metálicos1,6.
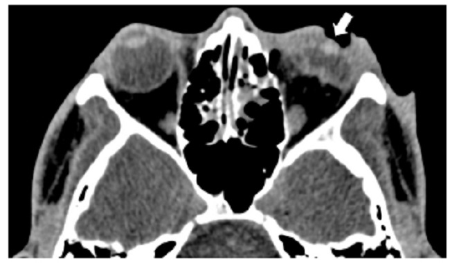
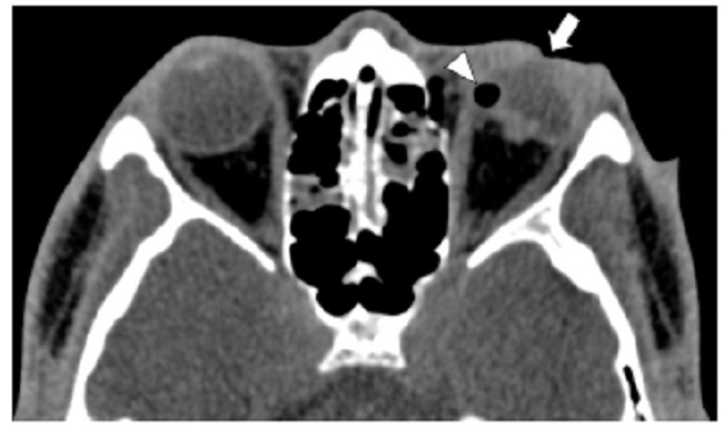
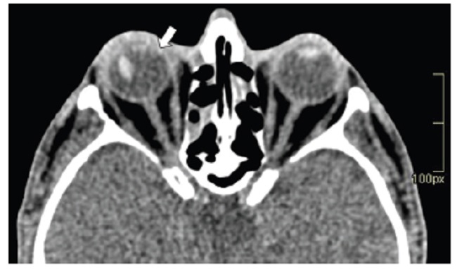
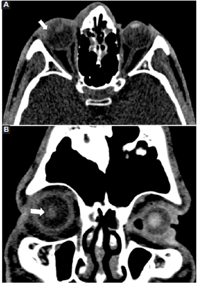
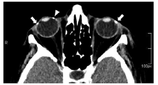
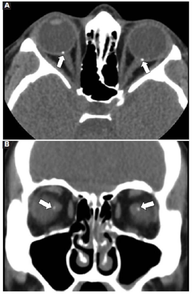
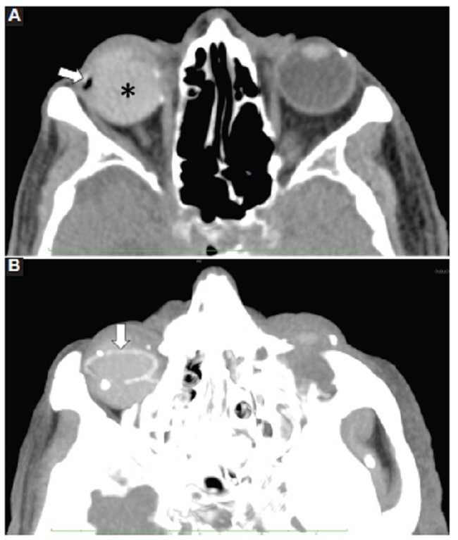
Las calcificaciones oculares y el material médico se pueden confundir con cuerpos extraños u otras lesiones orbitarias1. Las localizaciones típicas de las calcificaciones permiten diferenciarlas de cuerpos extraños hiperdensos. Las más frecuentes son las calcificaciones trocleares, las placas esclerales, las drusas del nervio óptico y la ptisis bulbi. Las primeras tienen localización superomedial dentro de la órbita (Fig. 13), en la tróclea del músculo oblicuo superior, aunque se pueden observar en todas las edades, hay mayor prevalencia de calcificaciones trocleares en pacientes con enfermedades autoinmunes y niveles elevados de fosfatasas alcalinas. Las placas esclerales se localizan en los sitios de inserción de los músculos rectos medial y lateral (Fig. 14) y son más comunes en los pacientes ancianos. Las calcificaciones que ocurren cerca del disco óptico se conocen como drusas del nervio óptico (Fig. 15), las cuales se asocian a degeneración macular y pueden ser causa de pseudopapiledema benigno. La ptisis bulbi es una atrofia y calcificación del globo ocular como secuela de enfermedades infecciosas, inflamatorias o traumáticas previas (Fig. 16) (1,11. Los imitadores de lesiones abiertas del globo ocular incluyen las deformidades como coloboma, estafiloma y el globo ocular elongado por glaucoma o miopía (Fig. 17). Las masas orbitarias y los hematomas también pueden alterar el contorno del globo ocular y asociarse a calcificaciones o relacionarse con desprendimiento de retina (Fig. 18) (1,6,8,11.






Los cambios postratamiento y los dispositivos orbitarios también pueden malinterpretarse como patologías traumáticas. Dentro de estos cambios se incluyen la faquectomía con reemplazo del cristalino, las hebillas esclerales (Figs. 19 y 20), las inyecciones intraoculares de aceite de silicona, la retinopexia neumática y las prótesis de globo ocular1,6,11. Para diferenciar la silicona intraocular de hemorragia se ha propuesto la medición de las UH, siendo la atenuación > 100 UH sugerente de silicona y < 90 UH de sangre11 (Fig. 20).


El conocimiento de los hallazgos tomográficos relacionados con el trauma del globo ocular permite brindar un adecuado diagnóstico y así un tratamiento oportuno a los pacientes.
Confidencialidad de los datos. Los autores declaran que han seguido los protocolos de su centro de trabajo sobre la publicación de datos de pacientes.
Derecho a la privacidad y consentimiento informado. Los autores han obtenido el consentimiento informado de los pacientes y/o sujetos referidos en el artículo. Este documento obra en poder del autor de correspondencia.
Correspondencia: Brian D. Noreña-Rengifo E-mail: brian.norena@udea.edu.co



















