CARTA CIENTÍFICA
Linfoma B de la zona marginal pulmonar: hallazgos por tomografía computada
Marginal zone B-cell lymphoma of the lung: CT findings
Linfoma B de la zona marginal pulmonar: hallazgos por tomografía computada
Revista argentina de radiología, vol. 86, núm. 4, pp. 285-287, 2022
Sociedad Argentina de Radiología (SAR) y Federación Argentina de Diagnóstico por Imágenes y Terapia Radiante (FAARDIT)
Recepción: 13 Julio 2021
Aprobación: 02 Diciembre 2021
Publicación: 30 Diciembre 2022
Estimados editores,
El linfoma del tejido linfoide asociado a mucosas (MALT) pulmonar es una patología rara. Sin embargo, es el linfoma pulmonar primario más frecuente. Surge del tejido linfoide asociado a los bronquios (BALT), motivo por el que también es llamado linfoma BALT (LBALT)1,2. Se lo categoriza como linfoma B, extraganglionar, de la zona marginal2,3. Suele ser una enfermedad silente y su diagnóstico habitualmente es incidental, en contexto de estudios imagenológicos por otros motivos. El LBALT presenta características tomográficas variadas y los diagnósticos diferenciales incluyen otras neoplasias malignas primarias o secundarias, patología infecciosa y/o inflamatoria2.
Nuestro objetivo es describir los hallazgos por tomografía computada (TC) y tomografía computada por emisión de positrones (PET-TC) del LBALT como neoplasia sincrónica, que simulaba secundarismo, en un paciente con un carcinoma epidermoide queratinizante orofaríngeo moderadamente diferenciado.
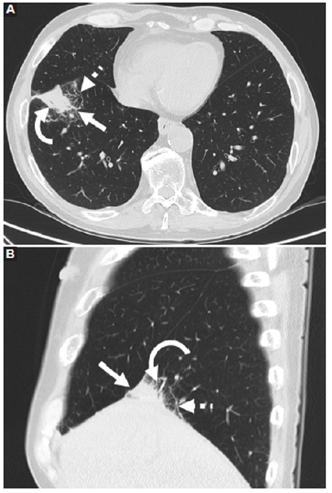
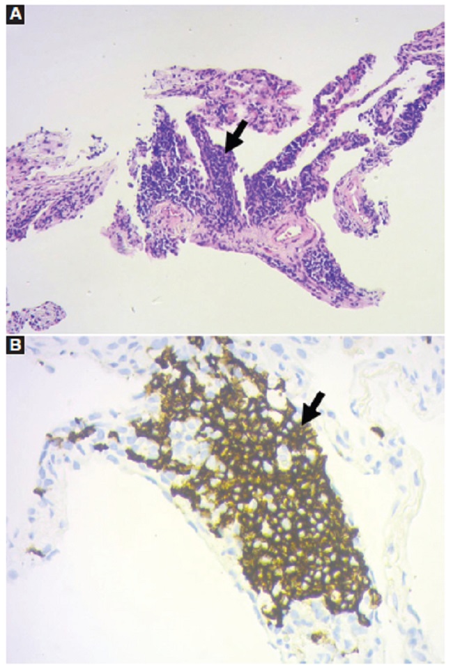
Presentamos el caso de un hombre de 67 años con diagnóstico reciente de carcinoma epidermoide queratinizante orofaríngeo, que en TC y PET-TC de estadificación presentó imagen pulmonar, consolidativa, en contacto con la cisura mayor y el domo diafragmático, con fino broncograma aéreo y reticulación perilesional (Fig. 1). Esta lesión demostró ser hipermetabólica con un SUV de 5,5 (Fig. 2). Dados los hallazgos, se realizó biopsia percutánea guiada por TC para confirmar secundarismo. Sin embargo, se identificó infiltración por población linfocitaria B de pequeño tamaño con perfil inmunohistoquímico positivo para CD20, bcl2 y Kappa, resultando negativo con CD3, CD5, Ciclina D1, CD10 y Lambda (Fig. 3). La citometría de flujo arrojó linfocitos B: 45,32%, población patológica: 96,06%, CD19+, CD20+, CD10-, CD5-, kappa+, CD23-, y CD43+ débil. Se arribó entonces al diagnóstico de infiltración por linfoma B de la zona marginal extraganglionar (MALT). Realizó tratamiento de inducción con esquema docetaxel, 5-fluouracilo y cisplatino. Luego consolidación con radioterapia y carboplatino concurrente. En la nueva PET-TC, seis meses más tarde, se pudo apreciar disminución de la captación de 18-fluorodesoxiglucosa (18F-FDG) y del tamaño de la lesión pulmonar (Fig. 4).




El LBALT corresponde aproximadamente al 9% de todos los linfomas MALT extraganglionares. El estómago es el sitio de aparición más frecuente del linfoma MALT, donde es habitual la coinfección con Helicobacter pylori. Otros sitios menos frecuentes incluyen la región ocular, glándula tiroides, glándulas salivales, intestino delgado, piel y pulmones1. El BALT no se encuentra presente en todos los mamíferos. Llamativamente, está ausente en ratas y humanos, pero es inducible por inflamación o en respuesta a microbios2,4. El LBALT comúnmente presenta un curso silente y permanece en el órgano afectado, pero puede extenderse a otras regiones del cuerpo hasta un 25% de las veces3.
La expresión clínica del LBALT es variable, puede vincularse a síntomas respiratorios como tos no productiva y disnea o ser asintomático. La presencia de “síntomas B” no es frecuente1,2,5.
Con respecto a la presentación en TC, esta entidad adquiere varias formas: consolidaciones, masas y/o nódulos. Se puede asociar a áreas de reticulación, infiltrados peribronquiales y/o broncograma aéreo6,7. El LBALT raramente presenta áreas de cavitación, engrosamiento pleural, derrame pleural o infiltración linfangítica8,9. Asimismo, no suele asociarse a adenopatías mediastinales o hiliares9. Deng et al. (2 encontraron que el formato de presentación más común fue el de consolidación (62%) seguido de nódulos (43%). En forma adicional, describieron que pueden existir formatos mixtos de presentación en los que la consolidación y los nódulos, en conjunto, fueron los hallazgos más frecuentes (13%). Sin embargo, la presentación más frecuente es con formato simple2. La afección puede ser unilateral o bilateral2,7. El realce luego de la inyección de contraste iodado endovenoso es similar al de otras lesiones pulmonares malignas2. Cabe destacar que estas lesiones pueden o no presentar captación de 18F-FDG en PET-TC. En todo caso, la captación suele ser leve y no patognomónica6,9. Sin embargo, la PET-TC puede ser útil para la detección de LBALT, debido a la escasa actividad metabólica pulmonar3,8. Dentro de los diagnósticos diferenciales imagenológicos se encuentran el carcinoma broncoalveolar, amiloidosis, hiperplasia linfoide, granulomatosis de Wegner, neumonía criptogénica o proceso infeccioso. La estabilidad en los sucesivos controles imagenológicos acercan al diagnóstico de LBALT6. El diagnóstico de certeza se logra mediante estudio histológico asistido por inmunofenotipificación para distinguirlo de otros linfomas no Hodgkin de bajo grado.
Microscópicamente se caracteriza por la presencia de linfocitos pequeños y medianos, polimórficos, asociado a plasmocitos, generalmente dispuestos en acúmulos, ocasionalmente acompañados de folículos con área marginal expandida. El inmunofenotipo característico es: CD20+, CD79a+, CD5-, CD10-, y CD23- con restricción para cadenas kappa o lambda9. La biopsia percutánea guiada por TC ha demostrado ser una herramienta efectiva y segura, como alternativa a la biopsia quirúrgica5.
El tratamiento para el LBALT localizado es la cirugía. La radioterapia no es usualmente utilizada, aunque los protocolos de baja dosis parecen tener un resultado prometedor. En pacientes para los cuales el tratamiento local no es aplicable, la quimioterapia es una alternativa viable1,7,10. El pronóstico suele ser favorable, con sobrevida a los 5 y 10 años que se estima superior al 80%2.
Bibliografía
Abramson JS, Ferry JA, Muse VV, Lanuti M. Extranodal marginal zone lymphoma presenting as miliary lung disease. J Clin Oncol. 2016;34(4):27-30.
Deng W, Wan Y, Yu J-Q. Pulmonary MALT lymphoma has variable features on CT. Sci Rep. 2019; 9(1):1-8.
Treglia G, Zucca E, Sadeghi R, Cavalli F, Giovanella L, Ceriani L. Detection rate of fluorine-18-fluorodeoxyglucose positron emission tomography in patients with marginal zone lymphoma of MALT type: a meta-analysis. Hematol Oncol. 2015;33(3):113-24.
Randall TD. Bronchus-associated lymphoid tissue (BALT) structure and function. Adv Immunol. 2010;107:187-241.
Wang Z, Li X, Chen J, Jin Z, Shi H, Zhang X, et al. Value of computed tomography-guided core needle biopsy in diagnosis of primary pulmonary lymphomas. J Vasc Interv Radiol. 2013;24(1):97-102.
Maksimovic O, Bethge WA, Pintoffl JP, Vogel M, Claussen CD, Bares R, et al. Marginal zone B-cell non-Hodgkin’s lymphoma of mucosa-associated lymphoid tissue type: imaging findings. AJR Am J Roentgenol. 2008;191(3):921-30.
Chen Y, Chen A, Jiang H, Zhang Y, Zhu L, Xia C, et al. HRCT in primary pulmonary lymphoma: can CT imaging phenotypes differentiate histological subtypes between mucosa-associated lymphoid tissue (MALT) lymphoma and non-MALT lymphoma? J Thorac Dis. 2018;10(11):6040-9.
Dong A, Xiao Z, Yang J, Zuo C. CT, MRI, and 18F-FDG PET/CT findings in untreated pulmonary and hepatic B-cell lymphoma of mucosa-associated lymphoid tissue (MALT) over a five-year period: A case report. Medicine. 2016;95(12):e3197.
Hayashi D, Devenney-Cakir B, Lee JC, Kim S-H, Cheng J, Goldfeder S, et al. Mucosa-associated lymphoid tissue lymphoma: multimodality imaging and histopathologic correlation. AJR Am J Roentgenol . 2010;195(2):W105-W117.
National Comprehensive Cancer Network [sede web]. National Comprehensive Cancer Network [consultado: julio de 2021]. Disponible en: https://www.nccn.org/professionals/physician_gls/pdf/b-cell.pdf
Notas
Notas de autor
Correspondencia: Juan Bautista-Del Valle E-mail: delvallejuanbautista@gmail.com
Declaración de intereses