CARTA CIENTÍFICA
Derrame articular atlanto-occipital
Atlanto-occipital efussion
Derrame articular atlanto-occipital
Revista argentina de radiología, vol. 86, núm. 4, pp. 288-290, 2022
Sociedad Argentina de Radiología (SAR) y Federación Argentina de Diagnóstico por Imágenes y Terapia Radiante (FAARDIT)
Recepción: 06 Diciembre 2021
Aprobación: 24 Abril 2022
Publicación: 30 Diciembre 2022
Estimados editores:
Describimos aquí dos casos de derrame articular atlanto-occipital (DAAO) unilateral de causa desconocida, dada su presentación infrecuente y escasa mención en la literatura especializada.
El derrame articular es un aumento de la cantidad de líquido sinovial en una articulación, de etiología multifactorial (traumática, inflamatoria, infecciosa, por sobreuso, metabólica, etc.)1,2.
La articulación atlanto-occipital (AAO) es una diartrosis y como tal posee cápsula y ligamentos, estando conformada cefálicamente por los cóndilos del occipital que, a modo de eminencias redondeadas, se articulan con las cavidades condíleas en las masas laterales del atlas (C1) (3,4. La articulación permite esencialmente el movimiento de flexo-extensión del axis cervical, con escasa movilidad en la rotación3,4.
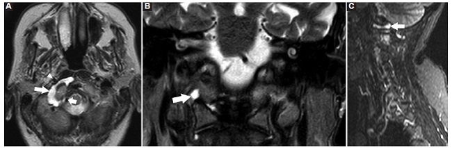
Presentamos dos casos en los que se realizó resonancia magnética (RM) de columna cervical, sin gadolinio. El primero, una mujer de 66 años sin antecedentes relevantes ni enfermedades concomitantes, que consultó por dolor cervical irradiado a ambos miembros superiores. Se realizó radiografía (Rx) de columna cervical, en la que se encontraron signos incipientes de espondiloartrosis. La RM mostró signos de espondiloartrosis y DAAO derecho (Fig. 1).

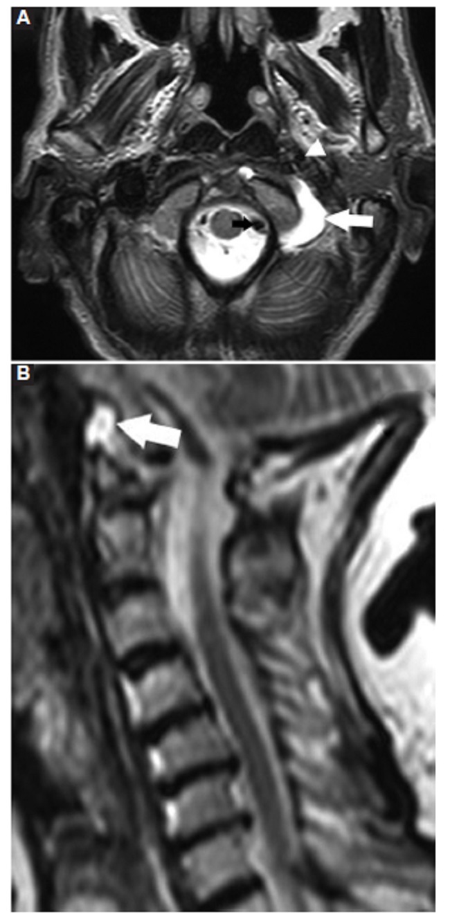
El segundo caso corresponde a un varón de 59 años, sin antecedentes de importancia asociados a su clínica, que consulta por parestesias intermitentes en el miembro superior izquierdo asociadas a cervicalgia. La RM mostró protrusión discal posterocentral en C5-C6 y DAAO izquierdo (Fig. 2).

El aumento de la cantidad de líquido intraarticular de etiología no traumática en la AAO suele estar en relación con patología inflamatoria (p. ej., artritis reumatoidea), descartada por estudios de laboratorio en nuestros pacientes, no pudiendo encontrarse asociación alguna con otras patologías o factores predisponentes y la clínica presentada5,6.
En los casos de cervicalgia no traumática aguda con radiculopatía (e inicio menor de 6 semanas), el American College of Radiology (ACR) (7 recomienda:
La Rx de frente y perfil valora la presencia de fenómenos degenerativos vertebrodiscales, estenosis del canal espinal o desalineaciones posturales4,6,7. No puede utilizarse para valorar la afectación de tejidos blandos7. Dada su disponibilidad y rápida realización, puede emplearse como método inicial de estudio en estos casos4,6,7.
La tomografía computada (TC) es el método de elección para la valoración postraumática o el estudio de fenómenos degenerativos o inflamatorios con compromiso óseo. Valora la estenosis neuroforaminal, así como alteraciones en la alineación, pero sin relevancia para el estudio directo de los tejidos blandos3,6,8. No puede considerarse como primer método de estudio en los casos presentados7.
La RM es el método de elección para la valoración inicial de los casos presentados7. Observa erosiones, edema óseo, extensión periligamentaria, colecciones sinoviales y periarticulares, así como un posible compromiso neuroforaminal o de la médula espinal3,4,6,8. La administración de gadolinio debe efectuarse en los casos que presenten déficits neurológicos, apreciándose realce periférico articular. Por último, el empleo de técnicas con supresión grasa permite diferenciar derrame articular de proliferación sinovial, ya que el primero no realza tras la administración de contraste endovenoso3.
La presencia de DAAO es un hallazgo inusual, bien valorado en la RM con cortes axiales ponderados en T2/STIR con supresión grasa, objetivándose como una colección semilunar hiperintensa, adoptando una morfología en C, rodeando al cóndilo occipital, entre la arteria carótida interna ventralmente y la arteria vertebral dorsalmente.
Bibliografía
Berenstein M, Raijman M, Santini Araujo E, Hofman J. Patología sinovial. Diagnóstico y tratamiento artroscópico. Rev Asoc Arg Ortop Traumatol. 1993;58:479-87.
Dixon A, El-Feky M. Joint effusion. (Consultado el 30-10-2021). Disponible en: https://radiopaedia.org/articles/joint-effusion.
Riascos R, Bonfante E, Cotes C, Guirguis M, Hakimelahi R, West C. Imaging of atlanto-occipital and atlantoaxial traumatic injuries: what the radiologist needs to know. Radiographics. 2015;35:2121-34.
Offiah C, Day E. The craniocervical junction: embryology, anatomy, biomechanics and imaging in blunt trauma. Insights Imaging. 2017; 8:29-47.
Burke C, Alizai H, Beltran L, Regatte R. MRI of synovitis and joint fluid. J Magn Reson Imaging. 2019;49:1512-27.
Joaquim A, Ghizoni E, Tedeschi H, Appenzeller S, Riew D. Radiological evaluation of cervical spine involvement in rheumatoid arthritis. Neurosurg Focus. 2015;38:E4.
Expert Panel on Neurological Imaging, McDonald M, Kirsch C, Amin B, Aulino J, Bell A, Carter Cassidy R, et al. ACR Appropriateness criteria cervical neck pain or cervical radiculopathy. J Am Coll Radiol. 2019;16(5S):S57-S76.
Kosic D, Bjelan M, Njagulj V, Lucic M, Semnic M, Cupara S. Isolated inflammatory arthritis of the atlantooccipital joint confused with migraine. J Rheumatol. 2013;40:2097-209.
Notas
Confidencialidad de los datos. Los autores declaran que han seguido los protocolos de su centro de trabajo sobre la publicación de datos de pacientes.
Derecho a la privacidad y consentimiento informado. Los autores han obtenido la aprobación del Comité de Ética para el análisis y publicación de datos clínicos obtenidos de forma rutinaria. El consentimiento informado de los pacientes no fue requerido por tratarse de un estudio observacional retrospectivo.
Notas de autor
Correspondencia: Pablo M. Sartori E-mail: pablomsar@yahoo.com.ar
Declaración de intereses