CARTA CIENTÍFICA
Una causa infrecuente de masa en el mediastino posterior: plasmocitoma solitario extramedular
A rare cause of posterior mediastinal mass: solitary extramedular plasmacytoma
Una causa infrecuente de masa en el mediastino posterior: plasmocitoma solitario extramedular
Revista argentina de radiología, vol. 86, núm. 4, pp. 291-294, 2022
Sociedad Argentina de Radiología (SAR) y Federación Argentina de Diagnóstico por Imágenes y Terapia Radiante (FAARDIT)
Recepción: 31 Enero 2022
Aprobación: 03 Septiembre 2022
Publicación: 30 Diciembre 2022
Estimados editores:
Las neoplasias de células plasmáticas son causadas por la proliferación monoclonal de células linfoides B. Se pueden presentar como una afectación sistémica que produce lesiones en diferentes localizaciones del esqueleto (mieloma múltiple) o como una lesión solitaria (plasmocitoma)1. La Organización Mundial de la Salud reconoce dos tipos de plasmocitoma solitario: los que se originan en el hueso, llamados “plasmocitomas óseos solitarios”, y los que se inician en los tejidos blandos, que se denominan “plasmocitomas solitarios extramedulares” (2. Estos últimos pueden presentarse en cualquier parte fuera de la médula ósea, pero alrededor del 80% lo hacen en la cabeza y el cuello3,4,5,6. La presentación en el mediastino posterior como una lesión solitaria primaria es rara4.
Los hallazgos con los métodos de imagen no son específicos, pues pueden simular otras patologías. El hallazgo más común es una masa de partes blandas, generalmente homogénea, sin necrosis ni calcificaciones. Suelen ser isointensos en las secuencias potenciadas en T1 e iso-hiperintensos en las secuencias ponderadas en T2. Tras la administración del medio de contraste presentan un realce leve a moderado5. En la tomografía por emisión de positrones con tomografía computada y con 18F-fluorodesoxiglucosa (PET/TC 18F-FDG) suelen ser hipercaptantes por su avidez por la glucosa. El diagnóstico definitivo se basa en el estudio histológico e inmunohistoquímico7.
El objetivo de esta carta es presentar el caso clínico-imagenológico de un plasmocitoma solitario extramedular como causa infrecuente de una masa en el mediastino posterior.
Se trata de un paciente de sexo masculino, de 27 años, que consultó por dolor en el hemitórax izquierdo de 2 meses de evolución, al que se agregaron en las semanas previas a la consulta parestesias en el miembro superior izquierdo y trastornos en la marcha.
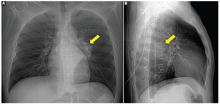
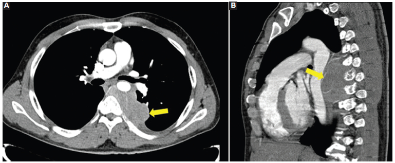
Se solicitaron radiografías de tórax de frente y de perfil, que mostraron una masa en el mediastino posterior (Fig. 1). Para mejor caracterización se realizó una tomografía computada (TC) de tórax, en la que se confirmó la presencia de una voluminosa tumoración sólida ubicada en el tercio medio del mediastino posterior, lateralizada a la izquierda, hipodensa, homogénea y con escaso realce del medio de contraste (Fig. 2). Desplazaba las estructuras mediastinales adyacentes, sin invadirlas, y por su sector posterior se introducía en el canal raquídeo. A pesar del amplio contacto óseo con los cuerpos vertebrales y los arcos costales, la única alteración observada fue en los arcos costales izquierdos, en los que producía un mínimo adelgazamiento de la cortical, sin interrupción de la misma.


Se realizó una resonancia magnética (RM) de columna vertebral para evaluar un posible compromiso de la médula espinal, en la que se evidenció la tumoración en el mediastino posterior, isointensa en las secuencias potenciadas en T2, con realce moderado y homogéneo tras la inyección de gadolinio. La misma se introducía al interior del canal raquídeo y provocaba una marcada compresión de la médula espinal dorsal, desplazándola en sentido anterior y lateral (Fig. 3).

Entre los diagnósticos diferenciales se encontraban: un linfoma, un tumor de origen neurogénico y, menos probablemente, un sarcoma de partes blandas. Por el compromiso intracanal y la sintomatología neurológica, se decidió realizar cirugía descompresiva con biopsia de la lesión. La anatomía patológica mostró infiltración por una población plasmocítica de morfología madura clonal Lambda CD38+, CD138+ y CD56+, concordante con una discrasia plasmocitaria de tipo plasmocitoma o mieloma múltiple (Fig. 4 A).

Tanto el manejo terapéutico como el pronóstico son diferentes en estas dos afecciones. Por tales motivos, se realizaron estudios adicionales para descartar la presencia de enfermedad sistémica, incluyendo hemograma, mielograma, biopsia de médula ósea, perfil bioquímico completo, calcio, proteínas séricas y electroforesis de proteínas plasmáticas y urinarias3, así como también fue importante la evaluación radiológica para excluir otras lesiones1. El examen de orina no mostró proteinuria. El mielograma y la biopsia de médula ósea no evidenciaron infiltración por células plasmáticas. Para analizar el compromiso óseo se realizó una TC de baja dosis de cuerpo entero, que no identificó lesiones líticas, y un PET/TC con 18F-FDG, que mostró como único hallazgo hipermetabolismo en la masa del mediastino posterior (Fig. 4 B y C). Descartada entonces la presencia de mieloma múltiple, se confirmó el diagnóstico de plasmocitoma solitario. Generalmente, los plasmocitomas óseos destruyen el hueso de origen con alteraciones mayores que las observadas en nuestro caso, en el que solo había alteraciones mínimas en los arcos costales que fueron interpretadas como afectación por compromiso local de la tumoración. Dados los hallazgos imagenológicos, de laboratorio y de las biopsias de la lesión y medular, analizado el caso en ateneo multidisciplinario, se arribó al diagnóstico de plasmocitoma solitario extramedular.
Los plasmocitomas son altamente radiosensibles y se ha demostrado que la radioterapia proporciona un excelente control local, pudiendo utilizarse sola o seguida de cirugía3,7. El paciente fue tratado con radioterapia y evolucionó favorablemente, con mejoría del dolor y de la sintomatología neurológica.
El plasmocitoma extramedular tiene un pronóstico relativamente bueno (el 70% de los pacientes libres de enfermedad a los 10 años)4,5,7. La recurrencia local se observa hasta en un 30% de los casos y el riesgo de progresión a mieloma múltiple es del 10-30% en los primeros 2 años5. El aumento en los valores basales de proteínas monoclonales séricas o de proteína de Bence-Jones urinaria podría significar la recurrencia de la enfermedad o la aparición de mieloma múltiple. Se recomienda un seguimiento imagenológico anual durante los primeros 5 años2.
Bibliografía
Ormond Filho AG, Carneiro BC, Pastore D, Silva IP, Yamashita SR, Consolo FD, et al. Whole-body imaging of multiple myeloma: diagnostic criteria. RadioGraphics. 2019;39:1077-97.
Hillengass J, Usmani S, Rajkumar SV, Durie BGM, Mateos MV, Lonial S, et al. International myeloma working group consensus recommendations on imaging in monoclonal plasma cell disorders. Lancet Oncol. 2019;20:e302-12.
Morales CM, García PR, Curiel AC. Plasmocitoma extramedular. An Orl Mex 2003;48:49-53.
Quilodrán J, Peña C, Valladares X. Plasmocitoma extramedular. Una rara causa de masa mediastínica. Rev Med Chile. 2017;145:812-5.
Lee SY, Kim JH, Shin JS, Shin C, In KH, Kang KH, et al. A case of extramedullary plasmacytoma arising from the posterior mediastinum. Korean J Intern Med. 2005;20:173-6.
Miyazaki T, Kohno S, Sakamoto A, Komori K, Sasagawa I, Futagawa S, et al. A rare case of extramedullary plasmacytoma in the mediastinum. Intern Med. 1992;31:1363-7.
Gupta D, Goyal J. A rare case of extramedullary plasmacytoma arising from posterior mediastinum. Indian J Cancer. 2015;52:428-9.
Notas
Confidencialidad de los datos. Los autores declaran que han seguido los protocolos de su centro de trabajo sobre la publicación de datos de pacientes.
Derecho a la privacidad y consentimiento informado. Los autores han obtenido el consentimiento informado de los pacientes y/o sujetos referidos en el artículo. Este documento obra en poder del autor de correspondencia.
Notas de autor
Correspondencia: Francisco Estévez E-mail: srad@hc.edu.uy
Declaración de intereses