ARTÍCULO ORIGINAL
Recepción: 22 Diciembre 2021
Aprobación: 22 Septiembre 2022
Publicación: 02 Marzo 2023
DOI: https://doi.org/10.24875/RAR.21000011
Resumen
Objetivo: Evaluar la función del ventrículo derecho (VD) e izquierdo (VI) en la hipertensión pulmonar (HP) mediante resonancia magnética cardíaca (RMC).
Material y métodos: En pacientes con (grupo HP; n = 9) y sin (grupo control; n = 9) HP se evaluó volumen telediastólico (VTD) y telesistólico (VTS) y fracción de eyección (FE) de ventrículo derecho (VD) e izquierdo (VI), área de aurícula derecha (AD) e izquierda y diámetro de arteria pulmonar (AP).
Resultados: En HP, el VD presentó mayor VTD y VTS y menor FE (HP 52 ± 5% vs. control 64 ± 2%; p < 0,05). Solo en HP se observó movimiento anormal del tabique interventricular y realce tardío en los puntos de inserción del VD en VI. En HP aumentó el área de AD y el diámetro de AP. En VD, solo en HP, la FE se correlacionó negativamente con VTD (Pearson r: -0,8290; p < 0,01) y VTS (Pearson r: -0,7869; p < 0,05).
Conclusiones: La evaluación de pacientes con HP mediante RMC demuestra alteraciones fisiológicas y anatómicas de las cavidades derechas con disminución de la FE del VD que también afecta la interrelación VD/VI. Se recalca la importancia de una evaluación temprana y secuencial del VD con RMC para valorar la mejor estrategia terapéutica para cada caso en particular.
Palabras clave: Hipertensión pulmonar, Resonancia magnética cardíaca, Ventrículo derecho.
Abstract
Objective: To evaluate the function of the right ventricle (RV) and left ventricle (LV) in pulmonary hypertension (PH) through cardiac magnetic resonance imaging (CMR).
Material and method: In patients with (PH group; n = 9) and without PH (control group; n = 9), end-diastolic volume (EDV) and end-systolic volume (ESV) and ejection fraction (EF) of right (RV) and left (LV) ventricle, area of the right (RA) and left (LA) atrium and diameter of the pulmonary artery (PA) were evaluated.
Results: In PH, the RV increased EDV and ESV and decreased EF (PH: 52 ± 5% vs. control: 64 ± 2%; p < 0.05). Abnormal movement of the interventricular septum and late enhancement in the insertion points of the RV in the LV were only observed in HP. HP increased the area of RA and the diameter of PA. In LV, only in HP, EF was negatively correlated with EDV (Pearson r: -0.8290; p < 0.01) and ESV (Pearson r: -0.7869; p < 0.05).
Conclusions: CMR evaluation of patients with PH demonstrates physiological and anatomical alterations of the right cavities with decreased EF in RV that also affects the RV/LV interrelationship. The importance of an early and sequential evaluation of the RV with CMR is emphasized to assess the best therapeutic strategy for each particular case.
Keywords: Pulmonary hypertension, Cardiac magnetic resonance, Right ventricle.
Introducción
La hipertensión pulmonar (HP) es un síndrome caracterizado por un marcado remodelado de la vasculatura pulmonar y un aumento progresivo de la resistencia vascular pulmonar, desencadenando hipertrofia y remodelado del ventrículo derecho (VD). Si la HP no es tratada puede ocurrir la muerte por insuficiencia cardíaca derecha. Actualmente la HP se define hemodinámicamente por una presión arterial pulmonar media superior a 20 mmHg en reposo, medida mediante cateterismo cardíaco derecho1. Si bien la HP es una enfermedad poco frecuente, con una prevalencia de 5 a 25 casos por millón de habitantes2, la HP presenta una alta morbimortalidad a pesar de que los recientes avances terapéuticos han mejorado el pronóstico a corto y mediano plazo3 y su pronóstico continúa siendo grave4.
La HP se puede clasificar desde un punto de vista fisiopatológico en cinco grupos5: 1) hipertensión arterial pulmonar (HTAP); 2) por patología izquierda; 3) por enfermedad pulmonar y/o hipoxia; 4) por tromboembolia crónica y otras obstrucciones de la arteria pulmonar; 5) por mecanismos multifactoriales y/o no esclarecidos.
Independientemente de la causa, la evaluación del VD es una herramienta clave, ya que su deterioro precede a la manifestación clínica. Si bien la función del ventrículo izquierdo (VI) puede ser estudiada en forma exhaustiva por ecocardiografía Doppler, este método tiene limitaciones en la valoración del VD debido a su situación retroesternal, la mala definición de su superficie endocárdica y la dificultad para aplicar modelos volumétricos que permitan calcular su volumen puesto que los modelos se basan en presunciones geométricas difíciles de adaptar a la compleja morfología del VD. A pesar de que la ecocardiografía tridimensional podría ser un método más prometedor, no siempre garantiza una visualización adecuada del VD completo6. Surge así la resonancia magnética cardíaca (RMC) como un método no invasivo indispensable para el estudio del VD, al permitir valorar -gracias a su resolución espacial y temporal y a su capacidad multiplanar- el tamaño, la morfología, los volúmenes y la masa, así como determinar la fracción de eyección (FE) del VD y la presencia de fibrosis. Se puede analizar, además, la anatomía de la arteria pulmonar (AP) y sus ramas y, por medio de la secuencia de contraste de fase, permite valorar la velocidad pico y promedio de la AP y el grado de insuficiencia de la válvula pulmonar. También evidencia el comportamiento del tabique interventricular (TIV) y puede detectar cardiopatías asociadas. Por todo esto, la RMC brindaría amplia información pronóstica en pacientes con HP en su fase inicial y permitiría evaluar un seguimiento7,8. Cabe aclarar que la RMC presenta algunas limitaciones inherentes a la técnica, tales como el tiempo de estudio, colaboración del paciente y problemas de sincronización en corazones arrítmicos.
Por lo mencionado anteriormente, el objetivo de este estudio fue evaluar la función del VD y VI en la HP mediante RMC.
Materiales y métodos
Los criterios de inclusión fueron: pacientes de ambos sexos, mayores de 18 años, con diagnóstico previo (mediante cateterismo cardíaco derecho) de HP derivados para su evaluación, mediante RMC, durante el periodo julio de 2016 a septiembre de 2017. Se excluyeron pacientes con contraindicación para RMC, tales como dispositivos implantados o claustrofobia. Se comparó con un grupo control de pacientes sin HP que no presentaron hallazgos patológicos en la RMC de similar edad y distribución por sexo que consultaron en el mismo periodo (estudio prospectivo de casos y controles). Para el presente trabajo se incluyeron nueve pacientes y nueve controles. Todos los participantes dieron el correspondiente consentimiento informado oral y escrito para acceder a participar en el presente estudio.
Se utilizó un resonador Philips Achieva 1.5 Tesla, realizándose secuencias de Turbo Field Echo (TFE) para el estudio de la anatomía cardíaca y función ventricular, adquiriendo imágenes en planos de dos, tres y cuatro cámaras y eje corto de los ventrículos, e imágenes en corte axial para valoración de AP. Las imágenes del eje corto para la medición de volúmenes ventriculares y función ventricular fueron adquiridas desde la base al ápex de ambos ventrículos. Posteriormente, se realizaron secuencias de Inversion Recovery Turbo Field Echo tardía (IR-TFE tardía) 10 minutos después de la administración de gadolinio (0,2 mmol/kg de peso) para la valoración del realce tardío (estudio de fibrosis/necrosis miocárdica) en planos de dos, tres y cuatro cámaras y eje corto. La adquisición se sincronizó con el ciclo cardíaco mediante señal de electrocardiograma. Todas las secuencias fueron adquiridas en apnea espiratoria9. Las principales características de TFE y IR-TFE tardía se muestran en la tabla 1.
Todos los estudios fueron evaluados por un cardiólogo especialista en RMC con cinco años de experiencia. No hubo cegamiento en la evaluación de las imágenes.
Se midió el volumen telediastólico (VTD) y volumen telesistólico (VTS) del VD y VI, excluyéndose de la cavidad los músculos papilares y las trabéculas. La FE fue calculada mediante la fórmula: (VTD - VTS) x 100/VTD. Se calculó la superficie corporal de los pacientes mediante la fórmula de Dubois y Dubois10 a fin de indexar el VTD y VTS de ambos ventrículos (volumen/superficie corporal en m2). Se evaluó la presencia de movimiento anómalo del TIV. Se compararon los valores de estas variables encontrados en el VD con los encontrados en VI (interrelación VD/VI).
Se calculó el área de la aurícula derecha (AD) y de la aurícula izquierda (AI). Se midió el diámetro del tronco de la AP y sus ramas derecha e izquierda. Finalmente se analizó la presencia de realce tardío en ambos ventrículos.
Las variables estudiadas se graficaron y analizaron con el programa GraphPad Prism 5.0. Los resultados se presentaron como un número n de determinaciones ± error estándar. Se realizó prueba t de Student para datos agrupados o pareados, chi-cuadrado (χ2) o correlación de Pearson según el caso. Se consideró estadísticamente significativa un grado de significación de la diferencia menor al 5% (p < 0,05).
Resultados
Todos los pacientes del grupo HP pertenecían al grupo 1, HTAP, de la clasificación de la European Society of Cardiology (ESC) y la European Respiratory Society (ERS)5. Ambos grupos presentaron similar edad (control 56 ± 2 años; n = 9 vs. HP 54 ± 2 años; n = 9; p = 0,33), superficie corporal (control 1,9 ± 0,0 m2; n = 9 vs. HP 1,8 ± 0,1 m2; n = 9; p = 0,13) y distribución por sexo (control 5 mujeres y 4 varones vs. HP 4 mujeres y 5 varones; χ2: 0,22; p = 0,64).
Hallazgos en VI
La FE del VI fue similar en ambos grupos (control 66 ± 2% vs. HP 63 ± 4%; p = 0,30). Además, en VI ambos grupos presentaron similares valores de VTD (control 132 ± 11 ml vs. HP 145 ± 16 ml; p = 0,25) y VTS (control 44 ± 5 ml vs. HP 56 ± 11 ml; p = 0,39). Al indexar los volúmenes se mantuvo esta similitud (Fig. 1).

Hallazgos en VD
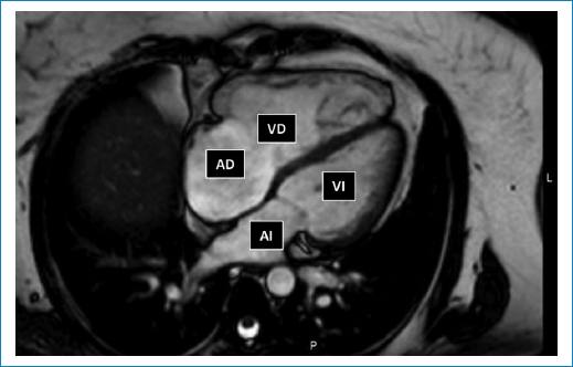
La FE fue menor en HP (control 64 ± 2% vs. HP 52 ± 5%; p < 0,05). La figura 2A muestra imágenes de cuatro cámaras en un paciente del grupo control y uno del grupo HP donde se puede observar la dilatación del VD en el paciente HP. El grupo HP presentó mayor VTD y VTS (Fig. 2B). Estas diferencias se mantuvieron al indexar los volúmenes (Fig. 2C). En HP, el aumento de VTD fue menor que el de VTS (VTD 70 ± 9% respecto a control vs. VTS 152 ± 36% respecto a control; p < 0,05). Esta diferencia se hizo más evidente al indexar los volúmenes a la superficie corporal (VTD indexado 63 ± 11% respecto a control vs. VTS indexado 183 ± 44% respecto a control; p < 0,001).

Interrelación VD/VI
En el grupo control, en el VD se mantuvieron similares los valores de VTD (104 ± 9% respecto a VI; p = 0,18) y VTS (111 ± 12% respecto a VI; p = 0,15). Sin embargo, en el grupo HP estos valores incrementaron en el VD: VTD (160 ± 9% respecto a VI; p < 0,001) y VTS (223 ± 33% respecto a VI; p < 0,001). Estas diferencias observadas en HP se mantuvieron al indexar ambos volúmenes.
En el grupo control, la FE del VD se mantuvo en valores similares que el VI (97 ± 3% respecto a VI; p = 0,26) pero en el grupo HP la FE del VD estuvo disminuida (82 ± 9% respecto a VI; p < 0,05).
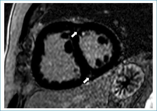
En cuatro pacientes del grupo HP se observó movimiento anormal del TIV con curvatura hacia la izquierda en diástole, no encontrándose este hallazgo en los pacientes del grupo control (control 0 pacientes con y 9 sin movimiento anormal vs. HP 4 pacientes con y 5 sin movimiento anormal; χ2: 5,14; p < 0,05). Asimismo, en tres pacientes del grupo HP se encontró realce tardío intramiocárdico en los puntos de inserción del VD en VI (Fig. 3) no encontrándose este hallazgo en el grupo control (control 0 pacientes con y 9 sin realce tardío intramiocárdico vs. HP 3 pacientes con y 6 sin realce tardío intramiocárdico; χ2: 3,6; p < 0,05).

Hallazgos en aurículas
El área de AI fue similar en ambos grupos (control 24 ± 5 cm2 vs. HP 26 ± 2 cm2; p = 0,36) y el área de AD estuvo aumentada en HP (control 21 ± 2 cm2 vs. HP 31 ± 3 cm2; p < 0,01). Asimismo, en el grupo control no hubo diferencias entre el área de la AD con respecto a la AI, pero, tal como se observa en la figura 4, en el grupo HP se observó un incremento del área de la AD (19 ± 5% de aumento respecto a la AI; p < 0,05).

Hallazgos en AP y sus ramas
La figura 5A muestra imágenes del tronco de la AP y las figuras 5B y C muestran imágenes de sus ramas en un paciente con HP. En el grupo HP los diámetros del tronco de la AP y sus ramas derecha e izquierda estuvieron incrementados con respecto al grupo control y eran mayores que los valores máximos considerados normales (Fig. 5 D).

Correlaciones de las variables estudiadas
La edad y la distribución por sexo no se correlacionaron con ninguna de las variables estudiadas, tanto en HP como en control.
En el VI, el VTD no se correlacionó con FE en ninguno de los dos grupos. Con respecto al VTS del VI, en los pacientes con HP se encontró correlación negativa entre VTS y FE en VI (Pearson r: -0,8643; intervalo de confianza del 95% [IC95%]: -0,9711 a -0,4699; p < 0,01) que se mantuvo al indexar los volúmenes a la superficie corporal (Pearson r: -0,8569; IC95%: -0,9737 a -0,3842; p < 0,01). Esta correlación no se encontró en el grupo control (Pearson r: -0,5629; IC95%: -0,8932 a 0,1618; p = 0,11).
En el VD, solo en HP se observó una correlación negativa entre FE con VTD (Fig. 6 A) y VTS (Fig. 6 B). Estas correlaciones se mantuvieron al indexar los volúmenes a la superficie corporal.

Discusión
El principal resultado del presente trabajo es que los pacientes con HP presentan dilatación de la AP y de las cavidades derechas con disminución de la FE del VD que afecta la interrelación VD/VI.
El hecho de que se hayan enrolado nueve pacientes en 15 meses de estudio podría deberse a la baja prevalencia de la HP2. Sin embargo no se puede descartar que, en nuestro medio, la RMC no sea usada aún de rutina debido a causas por parte del médico tratante (desconocimiento de los aportes del método) y por parte del paciente (falta de accesibilidad principalmente por el alto costo del estudio o porque la obra social no lo cubre).
En casi la mitad de los pacientes se evidenció curvatura del TIV hacia la izquierda en diástole. Roeleveld et al. demostraron que en la HP la presión sistólica de la AP puede superar los 67 mmHg cuando se observa curvatura hacia la izquierda del TIV, encontrándose la máxima distorsión del septum durante la fase de relajación del VD y que la curvatura del TIV se relacionó de forma inversa con la presión del VD11. Los sitios de inserción del VD en VI son regiones sometidas a estrés mecánico, incluso bajo condiciones fisiológicas normales, que se amplifican con la elevación de la presión del VD generando un gradiente de presión transeptal hacia la izquierda. El estrés mecánico de la pared sería el precipitante de la fibrosis focal del miocardio12, observado por la RMC como retención tardía de gadolinio en dichas regiones, hallazgos presentes en el 33% de nuestra serie. Hay estudios que muestran que la extensión del realce tardío intramiocárdico en estas regiones son directamente proporcionales al VTD, masa del VD y presión de la AP e inversamente proporcionales a la FE del VD13. En el presente trabajo, si bien el grupo HP presentó aumento del VTD con disminución de la FE, solo en tres pacientes se observó realce tardío intramiocárdico en sitios de inserción del VD en VI, hecho que podría indicar que este es un signo tardío de HP.
El aumento del VTD del VD es predictor independiente de la mortalidad y fracaso del tratamiento14 y la pérdida de la función sistólica del VD está asociada con un mal pronóstico15.
En nuestro trabajo encontramos aumento de VTD y disminución de la FE en el grupo HP, lo que supondría un peor pronóstico en este grupo16. Apoya este concepto el hecho de que la disminución de la FE del VD se correlacionó con un aumento de VTD y VTS, hecho no modificado por la edad de los pacientes. La RMC, al poder predecir la falla del VD en una etapa temprana, tendría un rol destacado no solo en el estudio del paciente con HTAP, sino en la estratificación precoz del riesgo. La evaluación por imágenes de la forma y función del VD, sumado a variables clínicas, hemodinámicas, neurohormonales y funcionales permitiría definir precozmente la mejor estrategia terapéutica, cuyo objetivo es mejorar y/o intentar revertir la disfunción del VD y mantener una condición de bajo riesgo. Es llamativo que, a la fecha, las escalas de riesgo de algunas sociedades científicas no consideren a la función del VD como un marcador pronóstico que impacte en la toma de decisión terapéutica5,17; sin duda urge este cambio de opinión en las actuales recomendaciones científicas.
Es interesante destacar que el deterioro en la FE del VD puede ocurrir incluso en pacientes clínicamente estables18,19, lo que demuestra la importancia del estudio sistemático del VD. Este cambio de paradigma debe estar acompañado de una recomendación adecuada sobre el método de mejor performance para una evaluación correcta de la función del VD. Si bien reconocemos las bondades de la ecocardiografía con su modo bidimensional, Doppler, strain y 3D, creemos que la RMC debería ser considerada en este desafiante escenario como un estándar de oro para una correcta estratificación de riesgo en la HP.
Conclusiones
La evaluación de los pacientes con HTAP mediante RMC demuestra alteraciones fisiológicas y anatómicas de las cavidades derechas con disminución de la FE del VD que también afecta la interrelación VD/VI, independientemente de la edad de los pacientes. Se recalca la importancia de una evaluación temprana y secuencial del VD con RMC en estos pacientes para una adecuada estratificación de riesgo, determinar su pronóstico y valorar la mejor estrategia terapéutica para cada caso en particular.
Bibliografía
Simonneau G, Montani D, Celermajer DS, Denton C, Gatzoulis M, Krowka M, et al. Haemodynamic definitions and updated clinical classification of pulmonary hypertension. Eur Respir J. 2019;53:1801913.
Hyduk A, Croft JB, Ayala C, Zheng K, Zheng ZJ, Mensah GA, et al. Pulmonary hypertension surveillance-United States, 1980-2002. MMWR Surveill Summ. 2005;54:1-28.
Wilkins M, Paul G, Strange J, Tunariu N, Gin-Sing W, Banya W, et al. Sildenafil versus endothelin receptor antagonist for pulmonary hypertension (SERAPH) study. Am J Respir Crit Care Med. 2005;171:1292-1297.
Valverde AB, Soares JM, Viana KP, Gomes B, Soares C, Souza R. Pulmonary arterial hypertension in Latin America:epidemiological data from local studies. BMC Pulm Med. 2018;18:106.
Galiè N, Humbert M, Vachiery JL, Gibbs S, Lang I, Torbicki A, et al. Guidelines for the diagnosis and treatment of pulmonary hypertension. The Joint Task Force for the Diagnosis and Treatment of Pulmonary Hypertension of the European Society of Cardiology (ESC) and the European Respiratory Society (ERS). Eur Heart J. 2016;37:67-119.
Pamboucas C, Nihoyannopoulos P. Papel de la resonancia magnética cardiovascular en el diagnóstico y evaluación de la hipertensión arterial pulmonar. Rev Esp Cardiol. 2006;59:755-760.
Ley S, Kauczor H, Heussel C, Kramm T, Mayer E, Thelen M, et al. Value of contrast-enhanced MR angiography and helical CT angiography in chronic thromboembolic pulmonary hypertension. Eur Radiol. 2003;13:2365-2371.
Humbert M, Sitbon O, Chaouat A, Bertocchi M, Habib G, Gressin V, et al. Survival in patients with idiopathic, familial, and anorexigen-associated pulmonary arterial hypertension in the modern management era. Circulation. 2010;122:156-163.
Ridgway J. Cardiovascular magnetic resonance physics for clinicians:part I. J Cardiovasc Magn Reson. 2010;12:71.
Dubois D, Dubois EF. Fifth paper the measurement of the surface area of man. Arch Intern Med (Chic). 1915;15:868-881.
Roeleveld RJ, Marcus T, Faes T, Gan T, Boonstra A, Postmus P, et al. Interventricular septal configuration at mr imaging and pulmonary arterial pressure in pulmonary hypertension. Radiology. 2005;234:710-7.
Frangogiannis N. Cardiac fibrosis. Cardiovasc Res. 2021;117:1450-1488.
Blyth KG, Groenning BA, Martin T, Foster JE, Mark P, Dargie H, et al. Contrast enhanced-cardiovascular magnetic resonance imaging in patients with pulmonary hypertension. Eur Heart J . 2001;26:1993-1999.
Wolferen S, Marcus JT, Boonstra A, Marques K, Bronzwaer J, Spreeuwenberg M, et al. Prognostic value of right ventricular mass, volume, and function in idiopathic pulmonary arterial hypertension. Eur Heart J . 2007;28:1250-1257.
van de Veerdonk MC, Kind T, Marcus J, Mauritz G, Heymans M, Bogaard H, et al. Progressive right ventricular dysfunction in patients with pulmonary arterial hypertension responding to therapy. J Am Coll Cardiol. 2011;57:2511-2519.
Dong Y, Pan Z, Wang D, Lv J, Fang J, Xu R, et al. Prognostic value of cardiac magnetic resonance-derived right ventricular remodeling parameters in pulmonary hypertension:A systematic review and meta-analysis. Circ Cardiovasc Imaging. 2020;13:e010568.
Abouzed R, Barro A, Bertorello F, Bustos D, Chertcoff J, Coronel M, et al. Guías argentinas de consenso en diagnóstico y tratamiento de la hipertensión pulmonar. Rev Argent Cardiol. 2017;85:1-62.
Kylhammar D, Kjellström B, Hjalmarsson C, Jansson K, Nisell M, Söderberg S, et al. A comprehensive risk stratification at early follow-up determines prognosis in pulmonary arterial hypertension. Eur Heart J . 2018;39:4175-4181.
Huis in 't Veld AE, van de Veerdonk M, Spruijt O, Groeneveldt JA, Marcus JT, Westerhof N, et al. EXPRESS:Preserving right ventricular function in patients with pulmonary arterial hypertension:single centre experience with a cardiac magnetic resonance imaging-guided treatment strategy. Pulm Circ. 2019;204589401882455. doi:10.1177/2045894018824553. Online ahead of print.
Notas
Confidencialidad de los datos. Los autores declaran que han seguido los protocolos de su centro de trabajo sobre la publicación de datos de pacientes.
Derecho a la privacidad y consentimiento informado. Los autores han obtenido el consentimiento informado de los pacientes y/o sujetos referidos en el artículo. Este documento obra en poder del autor de correspondencia.
Notas de autor
*Correspondencia: Claudio Joo-Turoni. E-mail: claudiojoo@fm.unt.edu.ar
Declaración de intereses