REVISIÓN DE TEMA
Utilidad de la resonancia magnética en el diagnóstico del stroke agudo
Usefulness of magnetic resonance imaging in the diagnosis of acute stroke
Utilidad de la resonancia magnética en el diagnóstico del stroke agudo
Revista argentina de radiología, vol. 87, núm. 1, pp. 11-22, 2023
Sociedad Argentina de Radiología (SAR) y Federación Argentina de Diagnóstico por Imágenes y Terapia Radiante (FAARDIT)
Recepción: 22 Octubre 2022
Aprobación: 26 Enero 2023
Publicación: 02 Marzo 2023
Resumen: El ataque cerebrovascular (ACV) es la primera causa de discapacidad y la tercera causa de muerte en la Argentina y en el mundo. La etiología del stroke es isquémica en su mayoría (más del 80% de los casos), siendo las causas más frecuentes las lesiones isquémicas de pequeños vasos de tipo lacunar y las tromboembólicas debido a ateroesclerosis de grandes arterias o cardioembolia. Las secuencias utilizadas en nuestro protocolo de estudio incluyen DWI, FLAIR, angio-RM 3D-TOF, SWI y FSE-T1 (tiempo aproximado de exploración de 13 minutos). Pueden observarse diferentes hallazgos en cada una de estas secuencias que son orientativos para determinar la etiología subyacente y estimar el tiempo de evolución de la lesión. En la actualidad, la trombectomía mecánica se ha convertido en el tratamiento de elección en pacientes seleccionados con accidente cerebral isquémico agudo. La transformación hemorrágica es la complicación más temida luego de la terapia de reperfusión intraarterial. La técnica de difusión de la resonancia magnética (RM) posee una mayor sensibilidad para detectar lesiones isquémicas, permite sospechar la etiología según el patrón lesional y aporta información valiosa para la selección de los pacientes candidatos a la reperfusión arterial.
Palabras clave: Accidente cerebrovascular isquémico, Imagen por resonancia magnética, Imagen de difusión por resonancia magnética.
Abstract: Stroke or cerebrovascular attack (CVA) is the first cause of disability and the third cause of death in Argentina and in the world. The etiology of strokes is mostly ischemic (more than 80% of cases), with the most frequent causes being lacunar-type ischemic lesions of small vessels and thromboembolic lesions due to atherosclerosis of large arteries or cardioembolism. The sequences used in our study protocol include DWI, FLAIR, angio-RM 3D-TOF, SWI, and FSE-T1 (approximate scan time of 13 minutes). Different findings can be observed in each of these sequences that are indicative to determine the underlying etiology and estimate the time of evolution of the lesion. Currently, mechanical thrombectomy has become the treatment of choice in selected patients with acute ischemic stroke. Hemorrhagic transformation is the most feared complication after intra-arterial reperfusion therapy. The diffusion magnetic resonance technique is more sensitive for detecting ischemic lesions, allows one to suspect the etiology based on the lesion pattern, and provides valuable information for the selection of patients who are candidates for arterial reperfusion.
Keywords: Ischemic stroke, Magnetic resonance imaging, Diffusion MRI.
Introducción
El ataque cerebrovascular (ACV) o stroke (terminología en inglés) es una emergencia médico-quirúrgica caracterizada por una alteración en la irrigación, perfusión o vasculatura cerebral. Este puede ser de origen isquémico o hemorrágico. Dentro de los ACV isquémicos, el origen puede ser arterial (más frecuente) o venoso. Dentro de los ACV hemorrágicos (aproximadamente el 15%) se incluyen la hemorragia intraparenquimatosa (HIP), la hemorragia subaracnoidea (HSA) y la trombosis venosa con hemorragia. En esta revisión de tema nos referiremos al ACV isquémico de origen arterial1,2.
El ACV es la primera causa de discapacidad y la tercera causa de muerte en el mundo. La etiología más común es la isquémica (más del 80% de los casos), siendo las causas más frecuentes las lesiones de pequeños vasos (lacunar) y las tromboembólicas debido a ateroesclerosis de grandes arterias o cardioembolia, y la criptogénica en último lugar1,2. El concepto de "Tiempo es cerebro" es crucial, ya que se estima una pérdida de 1.9 millones de neuronas por minuto en el caso de oclusión de la arteria cerebral media (ACM)2. Por ello es muy importante su diagnóstico precoz, para disminuir la tasa de mortalidad y de discapacidad, sobre todo en personas jóvenes1.
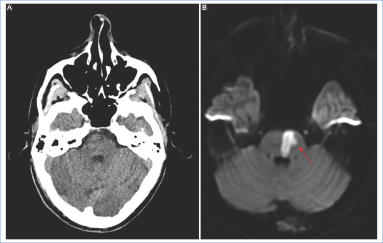
Dentro del espectro de los estudios por imágenes, la tomografía computada (TC) con angiotomografía computada (angio-TC) es de amplia disponibilidad y permite visualizar algunos signos tempranos de isquemia y la presencia de hemorragias; sin embargo, posee una baja sensibilidad para la detección de pequeñas lesiones isquémicas, sobre todo las ubicadas en la fosa posterior o bien lesiones corticales focales2 (Fig. 1).

La resonancia magnética (RM) con técnica de difusión (DWI, diffusion weighted image) tiene la gran ventaja respecto a la TC de que permite visualizar el área o core de la isquemia en las primeras horas de iniciado el evento, y además nos permitiría sospechar la etiología según el patrón lesional. La RM además tiene mayor sensibilidad en la detección de microsangrados.
En conjunto con la angio-RM y la clínica del paciente al ingreso (National Institute of Health Stroke Scale [NIHSS]), nos posibilita seleccionar adecuadamente el tratamiento de los pacientes, en especial aquellos que por encontrarse dentro de la ventana terapéutica puedan ser candidatos para trombólisis endovenosa (4,5 h) o trombectomía mecánica (6 h). Esta última, en la actualidad, constituye el tratamiento de elección en pacientes seleccionados con ACV hiperagudo que presentan una obstrucción de un vaso de mediano calibre como la arteria carótida interna (ACI) o la ACM3.
En nuestra institución empleamos la RM con angio-RM intracraneana para el diagnóstico de stroke agudo, ya que nos brinda información del área de isquemia, tiempo de evolución, patrón lesional, presencia de microhemorragias y diferencia de stroke-mimics2.
El objetivo principal de este trabajo fue revisar el aporte de las diferentes secuencias de la RM para el diagnóstico y caracterización de las lesiones en paciente con stroke isquémico agudo, con alusión a nuestra experiencia en el empleo de un protocolo institucional optimizado.
Secuencias de RM y su implicancia clínica en el ACV
Protocolo de estudio en RM
En nuestra experiencia en el stroke agudo, en un paciente que muchas veces no colabora debido al estado de deterioro neurológico, los tiempos de exploración deben ser optimizados y reducidos. Empleamos pocas secuencias para el diagnóstico del ACV, priorizando las que mayor información nos brindan de manera inmediata. Con este protocolo optimizado no se deberían superar los 10 a 12 minutos de exploración si el paciente colabora. Solo en los casos que la angio-RM intracraneal demuestra oclusión u obstrucción severa de la ACI (hipoflujo), completamos el examen con angio-RM con gadolinio de los troncos supraaórticos (angio-RM TSA) en plano coronal, 30 cortes de 1 mm sin gap. Los parámetros que utilizamos se resumen en la tabla 1.

No empleamos las secuencias de perfusión T2 con contraste en nuestro protocolo, debido a que extiende el tiempo de exploración y requiere de personal entrenado durante la guardia para su adecuado posprocesamiento e interpretación, lo que retrasa el diagnóstico o puede conducir a un diagnóstico erróneo en caso de no realizarse de manera técnicamente adecuada.
Los objetivos del estudio de los pacientes con sospecha de ACV mediante técnicas de neuroimágenes son seis:
Confirmar el diagnóstico de ACV.
Excluir la presencia de hemorragia.
Excluir stroke-mimics.
Identificar el sitio de oclusión.
Determinar la extensión del tejido isquémico (por volumen o por ASPECTS)
Evaluar las "3 C" (core, clot, collaterals)3, pudiendo agregarse una cuarta "C" (clock).
DWI y mapa de ADC
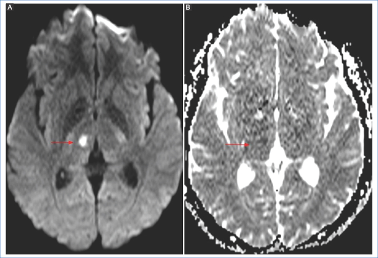
Luego de la oclusión vascular comienza una cascada de eventos, como la falla de la bomba de sodio y potasio, aumento del calcio intracelular, despolarización celular, generación de radicales libres, inflamación y apoptosis, produciendo edema intracelular (citotóxico) y disminución del movimiento browniano de los líquidos4. Dentro de la evaluación del parénquima cerebral, la secuencia DWI y el mapa de coeficiente de difusión aparente (ADC, por sus siglas en inglés), son las que presentan mayor sensibilidad para la detección de isquemia parenquimatosa, con una sensibilidad del 88-100% y especificidad del 95% para detectar el core del infarto, en relación con la TC5,6, aunque hay un pequeño número de pacientes en los cuales no se observan alteraciones (stroke DWI-negativo)6. La anormalidad de señal en la secuencia DWI (representando el edema citotóxico) se observa hiperintensa y corresponde a una restricción en la difusión normal de la molécula de agua dentro del parénquima encefálico, con la equivalente reducción de los valores de ADC (hiposeñal). Esto representa signos de lesión irreversible y corresponde al core del infarto7 (Fig. 1). La reducción de los valores del coeficiente de difusión en el mapa de ADC pueden observarse a los 30 minutos luego del comienzo de la isquemia, alcanzando valores más bajos alrededor de los 3-5 días. Luego los valores de ADC comenzarán a incrementarse, hasta alcanzar una pseudonormalización alrededor de las 2-4 semanas, debido al mayor componente vasogénico del edema, en vez de citotóxico (efecto T2 shine through)2,7.
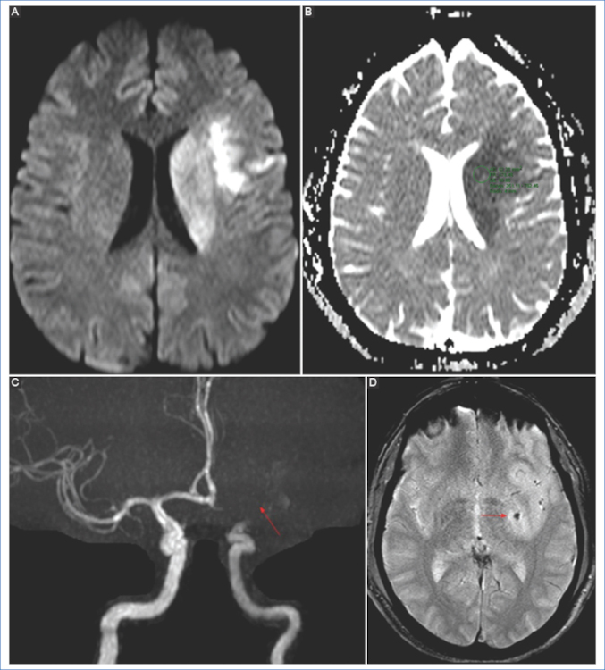
Se acepta que un volumen de infarto mayor de 70 ml, o un DWI-ASPECTS menor a 7 indican un volumen de core alto2 y se asocian con una mayor incidencia de hemorragia parenquimatosa en relación con la terapia con trombolíticos8.
Algunos autores sugieren que un valor bajo del coeficiente de ADC menor a 550 × 10−6 mm2 es un predictor independiente de transformación hemorrágica luego de la trombólisis 9,10 (Fig. 2).

La RM es superior a la TC en identificar la causa subyacente del stroke, ya que algunos patrones lesionales vistos en la DWI pueden ayudar a diferenciar entre enfermedades de grandes vasos, origen cardioembólico (en el cual estarán afectados varios territorios vasculares generalmente distales), vasculitis, procesos hemodinámicos (como en el caso de los infartos en territorios frontera). También posee una mayor sensibilidad para la detección de infartos lacunares y lesiones isquémicas en fosa posterior11.
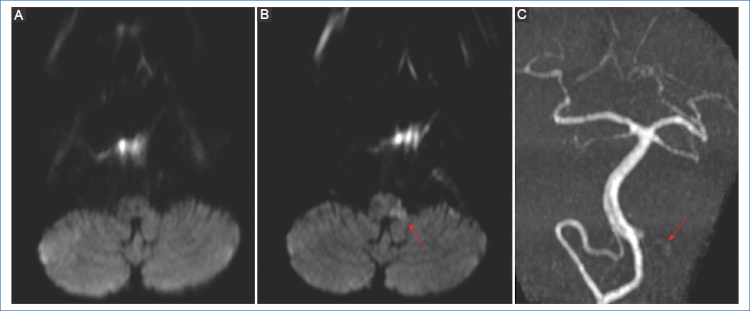
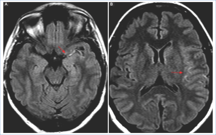
No obstante, a pesar de la alta sensibilidad de las secuencias de DWI, está descrito en la bibliografía que pequeñas lesiones ubicadas en el tronco encefálico con sintomatología leve (como la oftalmoplejía internuclear) pueden ser invisibles inicialmente5,7 (Fig. 3).

Pueden observarse diversos patrones de afectación según la etiología subyacente. Múltiples lesiones en la circulación anterior o pequeñas lesiones secuelares en un territorio vascular específico tienen como origen la ateroesclerosis de grandes vasos (ATEGV). Los infartos de vasos perforantes, piales o border-zone se deben a ateroesclerosis intracraneal5.
La embolia proveniente de ateroesclerosis del arco aórtico es propensa a afectar el hemisferio cerebral izquierdo5. La presencia de lesiones múltiples unilaterales en la circulación anterior está relacionada con la embolia arterio-arterial5,11.
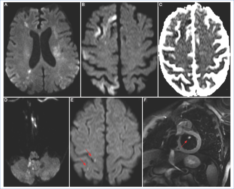
En la isquemia de origen cardioembólico se observan lesiones en múltiples territorios vasculares de manera bilateral, supra e infratentorial, o bien una lesión única distal cortical/subcortical5 (Fig. 4).

El foramen oval permeable (FOP) usualmente produce pequeñas lesiones corticales, únicas o múltiples, en la circulación vertebro-basilar, así como en el tálamo12 (Fig. 5).

En el caso de las disecciones que involucran el circuito anterior (carotídeo), los patrones más frecuentemente observados son los de embolia cortical (80%) y subcortical, siendo la ACM la más frecuentemente afectada13, así como también infartos en territorio frontera por hipoperfusión y fallo hemodinámico.
Los infartos en territorio frontera se dan en la unión de dos territorios vasculares arteriales y se clasifican en corticales e internos. Se producen por mecanismos hemodinámicos (estenosis u oclusión arterial, hipotensión sistémica y eventos embólicos). Se cree que los infartos corticales en territorio frontera se dan por microembolización de aterosclerosis carotídea o placas vulnerables, o por embolización arterio-arterial precipitada por un episodio de hipotensión sistémica4.
Un patrón clásico descrito en la literatura radiológica es el del infarto de la arteria de Percheron, en el cual se observan infartos bitalámicos. Esta arteria es una variante anatómica de las arterias paramedianas, en la cual una arteria única se origina en el segmento P1 de la arteria cerebral posterior irrigando el territorio paramedial de ambos tálamos y sector anterior del mesencéfalo14.
Existen entidades que pueden simular falsos positivos en las imágenes DWI, como los abscesos (difusión restringida debido a la viscosidad), algunos tumores (lesión con un alto grado de relación citoplasma/núcleo, como el linfoma), encefalitis, estatus posconvulsión o amnesia global transitoria (edema citotóxico). Los pequeños focos de hemorragia aguda restringen en difusión, pero habitualmente pueden distinguirse en base a su apariencia en el resto las secuencias y por la clínica del paciente2,7.
FLAIR
Las secuencias FLAIR/T2 son positivas pasadas las 6-8 h. Los signos incluyen aumento de la intensidad de señal del territorio afectado, aspecto edematoso de la corteza cerebral con efecto de masa y señal aumentada en el lumen de los vasos debido a la oclusión o hipoflujo severo2,7. Esta hiperseñal o pérdida del vacío de flujo dentro de los vasos proximales se correlaciona con la presencia del trombo (hallazgo similar al signo de la cuerda hiperdensa en TC), mientras que en los vasos segmentarios distales se vincula con la presencia de un flujo lento (hipoflujo) y disminución de oxihemoglobina15 (Fig. 6). Según algunos autores, los vasos hiperintensos distales en las secuencias FLAIR estarían en relación con estrés hemodinámico, colateralización inadecuada, crecimiento del infarto y mala recuperación funcional (signos de isquemia grave)16. Para otros, correspondería a una mayor colateralización leptomeníngea, asociada con lesiones más pequeñas, una progresión más lenta del infarto y un mejor pronóstico17.

La especificidad del mismatch FLAIR/DWI, en el cual las imágenes son positivas en DWI y negativas en FLAIR, es de aproximadamente el 78-93% para strokes con menos de 3-4.5 h de evolución2. Este mismatch es particularmente útil para predecir cuándo ocurrió el ACV, particularmente en pacientes con stroke del despertar (wake-up stroke) o pacientes con pérdida de conocimiento, que pueden ser candidatos al tratamiento de revascularización6,10.
La secuencia FLAIR satura la señal del líquido cefalorraquídeo (LCR) y potencia fuertemente el T2 del parénquima encefálico, permitiendo hacer un análisis más detallado de las regiones yuxtacorticales o periventriculares. Es útil para descartar otras etiologías que puedan simular un ACV como una encefalitis, o diagnosticar una hiperseñal del espacio aracnoideo por una HSA o por un proceso infeccioso que aumente el contenido de proteínas en el LCR.
Secuencias de susceptibilidad magnética (GRE/SWI)
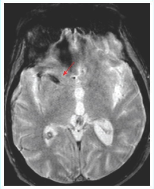
En la fase aguda, tanto la TC como la RM usando secuencias de susceptibilidad magnética nos permitirán la detección de hemorragias; aunque la RM es más sensible para la detección de hemorragias petequiales (microhemorragias), de hematomas o microsangrados previos, y en la detección de trombo intraluminal en vaso de mediano calibre. Puede observarse en la RM el equivalente al signo de la cuerda hiperdensa en las secuencias de susceptibilidad, signo que tiene una alta especificidad para detectar el sitio de la oclusión. La visualización del trombo en esta secuencia se relaciona con la presencia de un trombo rojo (desoxihemoglobina), asociada por lo general a etiología cardioembólica2,5 (Fig. 7).

La oclusión de la ACI distal o de la ACM proximal (segmento M1) por un trombo mayor a 5-8 mm prácticamente excluye la recanalización mediante trombolíticos2.
La presencia de microhemorragias en estas secuencias antes de la administración de terapia trombolítica endovenosa predice el mayor riesgo de nuevos sangrados luego del tratamiento18.
Recientes estudios con resonadores de 3T han descrito un mismatch entre las secuencias SWI/DWI, comparable al mismatch DWI/PWI. En ocasiones podemos observar el core del infarto en la secuencia DWI, y múltiples vasos hipointensos adyacentes en la secuencia de susceptibilidad (mismatch total DWI-SWI), que indicaría tejido cerebral hipoperfundido (penumbra). Esto corresponde a múltiples venas dilatadas y prominentes con una alta concentración de desoxihemoglobina en un tejido que tiene una elevada fracción de extracción de O2.
Fisiopatológicamente este hallazgo corresponde a una relación desoxihemoglobina/oxihemoglobina incrementada, debido a la creciente demanda de oxígeno del tejido cerebral hipoperfundido, aunque no irreversiblemente dañado, siendo un indicador de buena circulación colateral y mejor pronóstico o respuesta al tratamiento19 (Fig. 8). La localización de las hemorragias además nos permitiría dilucidar la etiología, dado que las hemorragias hipertensivas suelen localizarse en los ganglios de la base, tálamo, protuberancia y cerebelo, mientras que las hemorragias lobares son frecuentes en la angiopatía amiloide o en el sangrado de malformaciones vasculares (angiomas cavernosos, malformaciones arteriovenosas, fístulas durales, etc.)3.

Secuencias angiográficas
El empleo de secuencias GRE 3D-TOF permite la evaluación de la circulación intracraneal sin la utilización de medios de contraste endovenosos. La utilidad de la angio-RM es determinar la presencia de una oclusión proximal de un vaso de mediano calibre intracraneal para considerar la terapia de revascularización endovascular dentro de las primeras horas. La localización de la oclusión/coágulo predice el éxito de la recanalización2.
La adición de secuencias angiográficas con contraste que incluyan los troncos supraaórticos deben obtenerse incluyendo el arco aórtico, siendo de utilidad para evaluar la anatomía vascular, mostrar el sitio de oclusión, y además demostrar otras posibles fuentes embolígenas, como por ejemplo la presencia de aterosclerosis en la bifurcación carotídea o disecciones craneocervicales.
No utilizamos la angio-RM TSA de manera rutinaria sistemática en nuestro protocolo, a menos que se observen signos sugestivos de oclusión carotídea en la angio-RM arterial intracraneal.
La disección arterial es una de las causas más frecuentes de stroke en pacientes adultos jóvenes.
El mecanismo es una ruptura de la íntima con extravasación del torrente sanguíneo hacia la pared vascular formando un hematoma intramural, aneurisma y estenosis. Esto produce que la arteria presente una morfología irregular con áreas de lobulaciones y estrechamiento.
Aunque un gran porcentaje de las disecciones cráneo-cervicales se consideran idiopáticas, las disecciones vértebro-cervicales pueden ser de origen hipertensivo o traumático13,20.
La disección de la ACI puede ser intracraneal o extracraneal. La disección extracraneal ocurre frecuentemente a 2-3 cm de la bifurcación21, mientras que en las arterias vertebrales se produce en el segmento V2 o V3.
Las secuencias angiográficas en la disección de la ACI pueden mostrar oclusión total con preservación del bulbo, o un segmento largo e irregular de estenosis filiforme por estrechez de la luz y engrosamiento parietal debido a hemorragia intramural (signo del collar de perlas) y/o pseudoaneurismas22 (Fig. 9). En la RM de las disecciones extracraneales, las secuencias ponderadas en T1 con saturación grasa son el mejor método para visualización del hematoma mural hiperintenso en las fases subagudas, debido a la metahemoglobina en el lumen falso13.

Las limitaciones de la angio-RM en relación con la angio-TC son el mayor tiempo de exploración, la imposibilidad de evaluar la pared vascular (con secuencias TOF) y que se requieren dos secuencias diferentes para evaluar los vasos intracraneales y los vasos del cuello.
SECUENCIAS PONDERADAS EN T1 RÁPIDAS (TURBO O FAST SPIN ECHO)
Esta secuencia la utilizamos fundamentalmente para evaluar la anatomía del encéfalo y visualizar lesiones espontáneamente hiperintensas (sangre, melanina, etc.)7, y para tener una secuencia opuesta a las restantes que ponderan el T2 de los tejidos.
Perfusión RM
Así como las imágenes ponderadas en DWI son útiles para detectar áreas de infarto irreversible, las imágenes de perfusión (PWI) son de utilidad para demarcar áreas de isquemia potencialmente reversibles luego del tratamiento, las cuales están conformadas por áreas de tejido cerebral viable con pérdida de la actividad eléctrica (área de penumbra)7,22.
Existen dos tipos de modalidades de perfusión cerebral, según si usa o no gadolinio. La primera se denomina ASL (arterial spin labeling); no emplea gadolinio, sino que marca magnéticamente la sangre entrante. La segunda modalidad utiliza gadolinio y corresponde a las técnicas de dynamic susceptibility contrast (DSC-MRI) y dynamic contrast enhanced (DCE-MRI). Con las técnicas de perfusión podemos evaluar parámetros hemodinámicos, como el volumen sanguíneo cerebral, flujo sanguíneo cerebral y tiempo de tránsito medio23.
En nuestra práctica diaria no la empleamos de manera rutinaria, ya que implica un incremento del tiempo de exploración en un paciente que en muchas ocasiones no colabora o se encuentra con un importante deterioro del estado de consciencia.
Conclusiones
- Es de suma importancia estandarizar el protocolo de estudio en los pacientes con sospecha de ACV isquémico agudo para optimizar el tiempo de exploración.
- La secuencia DWI es el gold standard en la detección de lesiones encefálicas isquémicas hiperagudas y agudas, y es de utilidad para determinar el core del infarto, permitiendo la elección de pacientes candidatos a terapia de reperfusión intraarterial.
- La RM permite sospechar la etiología del stroke según el patrón lesional.
Bibliografía
Pigretti S, Alet M, Mamani C, Alonzo C, Aguilar M, Álvarez H, et al. Consenso sobre accidente cerebral isquémico agudo. Medicina. 2019;79:1-46.
Vilela P, Rowley H. Brain ischemia:CT and MRI techniques in acute ischemic Stroke. Eur J Radiol. 2017;96:162-172.
McDonough R, Ospel J, Goyal M. State of the art stroke imaging:A current perspective. Can Assoc Radiol J. 2022;73(2):371-383.
Kanekar SG, Zacharia T, Roller R. Imaging of stroke:Part 2, Pathophysiology at the molecular and cellular levels and corresponding imaging changes. AJR Am J Roentgenol. 2012;198(1):63-74.
Kim BJ, Kang HG, Kim HJ, Ahn SH, Kim NY, Warach S, et al. Magnetic resonance imaging in acute ischemic stroke treatment. J Stroke. 2014;16(3):131-145.
Bonney P, Walcott B, Singh P, Nguyen P, Sanossian N, Mack W. The continued role and value of imaging for acute ischemic stroke. Neurosurgery. 2019;85:23-30.
Srinivasan A, Goyal M, Al Azri F, Lum C. State-of-the-art imaging of acute stroke. Radiographics. 2006;26:75-85.
Jadhav AP, Desai SM, Liebeskind DS, Wechsler LR. Neuroimaging of acute stroke. Neurol Clin. 2020;38(1):185-199.
Edgell R, Vora N. Neuroimaging markers of hemorrhagic risk with stroke reperfusion therapy. Neurology. 2012;79:100-104.
Bang O, Li W. Applications of diffusion-weighted imaging in diagnosis, evaluation, and treatment of acute ischemic stroke. Precision and Future Medicine. 2019;3(2):69-76
Shams M, Shams S, Wintermark M. What's new in imaging of acute Stroke. Intensive Care Med. 2020;46(7):1453-1456.
Kim BJ, Sohn H, Sun BJ, Song J-K, Kang D-W, Kim JS, et al. Imaging characteristics of ischemic strokes related to patent foramen ovale. Stroke. 2013;44(12):3350-3356.
Hakimi R, Sivakumar S. Imaging of carotid dissection. Curr Pain Headache Rep. 2019;23:2.
Muñoz Quirland H, Lázaro González V. Infarto de la arteria de Percheron:reporte de un caso y revisión de la literatura. Rev Argent Radiol. 2018;82(04):184-186.
Zhou Y, Zhang S, Lou M. Imaging markers in acute phase of stroke:Implication for prognosis. Brain Hemorrhages. 2020;1:19-23.
Cheng B, Ebinger M, Kufner A, Köhrmann M, Wu O, Kang D-W, et al. Hyperintense vessels on acute stroke fluid-attenuated inversion recovery imaging:associations with clinical and other MRI findings:Associations with clinical and other MRI findings. Stroke . 2012;43(11):2957-2961.
Kufner A, Galinovic I, Ambrosi V, Nolte CH, Endres M, Fiebach JB, et al. Hyperintense vessels on FLAIR:Hemodynamic correlates and response to thrombolysis. AJNR Am J Neuroradiol. 2015;36(8):1426-1430.
Christensen A, Christensen H. Imaging in acute stroke. New options and state of the art. Front Neurol. 2018;8:736.
Park M, Yeom J, Baik S, Park K. Total mismatch of diffusion-weighted imaging and susceptibility-weighted imaging in patients with acute cerebral ischemia. J Neuroradiol. 2017;44:308-312.
Mehdi E, Aralasmak A, Toprak H, Yildiz S, Kurtcan S, Kolukisa M, et al. Craniocervical dissections:Radiologic findings, pitfalls, mimicking diseases:A pictorial review. Curr Med Imaging Rev. 2018;14:207-222.
Blum CA, Yaghi S. Cervical artery dissection:A review of the epidemiology, pathophysiology, treatment, and outcome. Arch Neurosci. 2015;2(4):e26670.
Nael K, Khan R, Choudhary G, Meshksar A, Villablanca P, Tay J, et al. Six-minute magnetic resonance imaging protocol for evaluation of acute ischemic stroke:pushing the boundaries:Pushing the boundaries. Stroke . 2014;45(7):1985-1991.
Jahng G-H, Li K-L, Ostergaard L, Calamante F. Perfusion magnetic resonance imaging:a comprehensive update on principles and techniques. Korean J Radiol. 2014;15(5):554-577.
Notas
Confidencialidad de los datos. Los autores declaran que en este artículo no aparecen datos de pacientes.
Derecho a la privacidad y consentimiento informado. Los autores declaran que en este artículo no aparecen datos de pacientes.
Notas de autor
*Correspondencia: Salvatore Cappelli. E-mail: salvatorecappelli@gmail.com
Declaración de intereses