CARTA CIENTÍFICA
Esplenosis, un imitador de lesión focal hepática
Splenosis, a mimic of focal liver lesion
Recepción: 07 Febrero 2022
Aprobación: 22 Noviembre 2022
Publicación: 02 Marzo 2023
Estimados editores:
La esplenosis se define como el autotrasplante de tejido esplénico, poco frecuente, que se presenta como resultado de una rotura traumática del bazo o una esplenectomía. Estos implantes, que suelen ser múltiples, pueden ubicarse en la cavidad peritoneal, pélvica o torácica1. Sin embargo, la esplenosis perihepática es aún menos frecuente y genera dificultad a la hora de su diagnóstico.
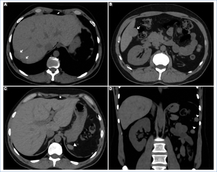
Presentamos el caso de un hombre de 43 años con antecedentes de nefrectomía izquierda y esplenectomía como consecuencia de un trauma cerrado de abdomen por accidente de tránsito, que consulta para caracterización de lesiones hepáticas. Presenta tomografías computadas (TC) previas no contrastadas de control y posteriores a la cirugía, en las que se observaban a nivel peritoneal múltiples imágenes nodulares en el flanco izquierdo y subdiafragmáticas bilaterales; las ubicadas a nivel subdiafragmático derecho se encontraban en íntima relación con la cápsula hepática, cercanas a los segmentos VII y VIII, y persistieron sin cambios en los sucesivos estudios (Fig. 1).

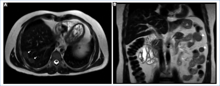
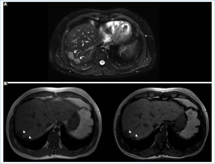
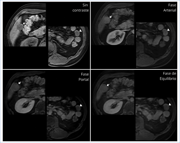
Se decide realizar una resonancia magnética (RM) para mejor caracterización de dichas lesiones, las cuales, junto con las observadas a nivel peritoneal ya descritas anteriormente como esplénulos por su estabilidad en el tiempo, son hipointensas en las secuencias ponderadas en T1, ligeramente hiperintensas en T2 y FATSAT, con tenue restricción de la difusión (DWI) y con similar realce tras la administración del contraste paramagnético (Figs. 2a4).



Teniendo en cuenta las características y la estabilidad de las imágenes, su historial de esplenectomía, los resultados de laboratorio normales y la ausencia de síntomas clínicos, el diagnóstico se orienta a esplenosis perihepática que simula lesiones hepáticas.
Es importante poder diferenciar la esplenosis como tal de los esplénulos o bazos accesorios. Ambas son condiciones de tejido esplénico ectópico. La esplenosis es una condición benigna, adquirida, que se produce como resultado del autotrasplante de tejido esplénico después de un traumatismo del bazo o una esplenectomía1. Estos implantes, que suelen ser múltiples, con arquitectura distorsionada y sin hilio, pueden volver a crecer adquiriendo un suministro vascular de arterias cercanas al sitio de implantación, que puede ocurrir en cualquier parte del cuerpo. El bazo accesorio, en cambio, se refiere a la presencia de focos congénitos de tejido esplénico sano que están separados del cuerpo principal del bazo. Suele aparecer como una masa solitaria, redonda, bien delimitada, menor de 2 cm que realza homogéneamente en las secuencias con contraste, y se ubica con mayor frecuencia posteromedial al bazo (22%), anterolateral al polo superior del riñón izquierdo, pero también lateral, posterior y superior a la cola del páncreas2.
Debido a que los focos de esplenosis perihepática suelen ser asintomáticos, o mostrar clínica inespecífica3, es habitual encontrarlos como un hallazgo incidental en las pruebas de imagen y confundirlos con otras afecciones focales hepáticas.
En los estudios de TC multidetector y RM, el tejido esplénico heterotópico tiene la misma apariencia e igual comportamiento que el bazo tras la administración del contraste endovenoso. En la TC sin contraste, la lesión es isodensa con respecto al parénquima hepático y presenta realce en fase arterial, difícil de diferenciar de un adenoma o un hepatocarcinoma4. En la RM, previo a la administración de contraste paramagnético, la lesión es homogéneamente hipointensa en las secuencias ponderadas en T1 e hiperintensas en las ponderadas en T2; después de la administración del gadolinio es hiperintensa en comparación con el resto del parénquima hepático1,5.
El hepatocarcinoma también se propone como uno de los diagnósticos diferenciales4. Sin embargo, este suele estar asociado a hepatopatía crónica como antecedente principal y el patrón característico es de realce en fase arterial, con lavado en fases portal/tardía, dando apariencia de cápsula periférica en estas últimas6. Los adenomas hepatocelulares, otro diagnóstico planteado, son tumores encapsulados grandes y bien delimitados, cuyo patrón radiológico muestra una lesión con realce homogéneo en la fase arterial tardía, que permanecerá isodensa al hígado en fases posteriores.
Al formar parte de una condición benigna, los pacientes asintomáticos no requieren ningún tipo de tratamiento conservador ni quirúrgico4.
Existen múltiples lesiones hepáticas diferenciables gracias a las distintas modalidades imagenológicas que contribuyen a su caracterización. Es de suma importancia poder diagnosticar la esplenosis por imágenes con el fin de evitar intervenciones diagnósticas invasivas en pacientes con antecedentes de traumatismo esplénico o esplenectomía.
Confidencialidad de los datos. Los autores declaran que en este artículo no aparecen datos de pacientes.
Derecho a la privacidad y consentimiento informado. Los autores declaran que en este artículo no aparecen datos de pacientes.
*Correspondencia: Jorge Pérez-Rosales. E-mail: jorgedavid07@gmail.com



