CARTA CIENTÍFICA
Endometriosis sobre cicatriz de cesárea: presentación de un caso
Scar endometriosis: a case report
Recepción: 03 Enero 2022
Aprobación: 22 Noviembre 2022
Publicación: 02 Marzo 2023
Estimados editores,
La endometriosis es una patología frecuente que afecta a mujeres en edad reproductiva. Se caracteriza por la presencia de tejido endometrial funcional por fuera de la cavidad uterina, pudiendo afectar a cualquier órgano; sin embargo, la mayoría de los implantes endometriales están ubicados en la pelvis1. Las pacientes con antecedentes de instrumentación quirúrgica uterina tienen mayor riesgo de presentar implantes endometriales extrapélvicos. La endometriosis sobre cicatriz de cesárea es una forma infrecuente de endometriosis. Por este motivo, nuestro objetivo será repasar sus características e ilustrar con un caso propio.
La endometriosis sobre la cicatriz de cesárea es la forma de presentación más frecuente de las variantes extrapélvicas1,2. La clínica es variable, desde asintomática hasta dolor severo crónico, o puede presentarse como una tumoración y el motivo de consulta puede estar referido a motivos estéticos. El tejido endometrial puede depositarse desde el tejido celular subcutáneo hasta la profundidad de la cavidad pelviana, incluso a distancia sobre vísceras huecas o en el tórax, generando afección y sintomatología locorregional. Si bien la presentación clínica puede ser inespecífica, la presencia de una tumoración asociada a dolor menstrual es patognomónica de esta afección. Concomitantemente, la endometriosis pelviana tradicional puede presentarse con trastornos de fertilidad, dismenorrea o alteraciones menstruales1.
Existen dos teorías que argumentan el desarrollo de los focos de endometriosis: la primera explica que células multipotenciales mesenquimáticas, bajo un estímulo adecuado, pueden sufrir metaplasia y devenir en endometriomas; la segunda indica que existen traslado y migración de células endometriales, las cuales -luego de estímulos hormonales- desarrollarían a distancia focos de endometriosis3.
Si bien existe discrepancia en cuanto al porcentaje exacto de mujeres que sufren endometriosis, según el metaanálisis de Moradi et al.4 la prevalencia estimada de endometriosis a nivel mundial es del 18%, con mayor afectación en los países en desarrollo. Por otro lado, la incidencia de la endometriosis en cicatriz de cesárea es baja, con un estimado del 0.03-0.45%. Algunos autores sugieren que este valor no es real debido a la falta de datos epidemiológicos y que puede ser una subestimación, ya que existen pacientes asintomáticas5.
Los estudios por imágenes sirven para descartar patología relacionada con la instrumentación previa, como la eventración. Si bien podrían acercar al diagnóstico definitivo, son inespecíficos si se toman aisladamente sin el contexto clínico, debiendo tener en cuenta como diagnósticos diferenciales el granuloma y lesiones tumorales como, por ejemplo, el tumor desmoide, el sarcoma, el linfoma y las metástasis.
El rol fundamental de las imágenes es la valoración prequirúrgica y la determinación de la extensión regional de la lesión, siendo la ecografía transvaginal y la resonancia magnética (RM) los métodos utilizados para el estudio de la endometriosis profunda como la afectación de los espacios subperitoneales1. La apariencia de la endometriosis cicatrizal en la pared abdominal es variable y dependerá de la fase del ciclo menstrual, la cronicidad y la cantidad de elementos estromales o glandulares. Por RM, la formación suele ser hiperintensa y heterogénea en T1 y T2, como resultado de hemorragia subaguda en las criptas endometriales, aunque esto puede variar1. Por tomografía computada (TC) se observa como una formación nodular de densidad de partes blandas en relación a la cicatriz de cesárea, puede ser levemente hiperdensa con respecto al músculo y realza moderadamente con el contraste endovenoso.
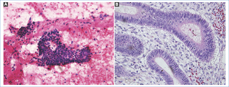
La punción-biopsia bajo ecografía es un método accesible y mínimamente invasivo para el diagnóstico de endometriosis de cicatriz. El hallazgo de tejido glandular endometrial, células estromales y macrófagos cargados con hemosiderina confirma el diagnóstico de endometriosis6-8.
Si bien existe tratamiento médico, el tratamiento por excelencia es la resección quirúrgica con márgenes de seguridad para evitar la recidiva local. La afectación de planos musculares obliga a la resección en bloque8. Como alternativa terapéutica mínimamente invasiva se ha planteado la posibilidad de crioablación bajo guía tomográfica para casos seleccionados9.
Presentamos el caso de una paciente de 37 años, con antecedentes de cesárea (G1P0C1) dos años atrás, que consulta por una masa palpable no móvil en la pared abdominal anterior, en situación parasagital izquierda, en relación a una cicatriz de cesárea, de un año de evolución. La masa presentaba pequeño tamaño y se asociaba a dolor cíclico que aumentaba durante la menstruación, disminuyendo en los días intermenstruales. No se revelaron otros antecedentes de importancia al momento de la consulta. El médico derivante ordenó una TC abdominopélvica con contraste oral y endovenoso, que demostró la presencia de una imagen nodular con realce luego de la administración de contraste endovenoso en el espesor del músculo recto anterior izquierdo del abdomen, sin compromiso de la cavidad abdominal (Fig. 1). Debido a los hallazgos evidenciados y los antecedentes ginecológicos (cesárea previa y aumento del dolor en el ciclo menstrual), la probabilidad era muy alta para enfermedad endometrial, por lo que se descartó proseguir con otros estudios imagenológicos10 y se solicitó una punción-biopsia guiada por ecografía (Fig. 2). Este procedimiento se llevó a cabo utilizando un transductor lineal de 7.5 MHz (ecógrafo Esaote MyLab Twice) y una aguja Franseen de 20 G. La biopsia, mediante estudio citológico e histológico, confirmó el diagnóstico de endometriosis (Fig. 3).



Dado el resultado, se decidió realizar la resección tumoral mediante incisión suprapúbica por la cicatriz de cesárea previa. Actualmente, luego de tres años, la paciente permanece en seguimiento por ginecología y cirugía de paredes abdominales, sin hallazgos vinculables a su antecedente.
Confidencialidad de los datos. Los autores declaran que en este artículo no aparecen datos de pacientes.
Derecho a la privacidad y consentimiento informado. Los autores declaran que en este artículo no aparecen datos de pacientes.
*Correspondencia: Fausto O. Rendón. E-mail: omar.rendon@hospitalitaliano.org.ar


