Resumen: El síndrome linfoproliferativo postrasplante (SLPT o PTLD por sus siglas en inglés, posttransplantation lymphoproliferative disorder) consiste en un grupo heterogéneo de enfermedades linfoproliferativas que ocurren en el marco de la inmunosupresión postrasplante, que pueden abarcar desde una simple hiperplasia linfoidea hasta un linfoma maligno de alto grado, con eventual evolución fatal. Se estima su desarrollo entre el 1 y el 20% de los pacientes trasplantados. Los principales factores asociados con el desarrollo de SLPT son el grado de inmunosupresión y el virus de Epstein Barr (VEB). La mayoría suceden dentro del primer año postrasplante, pero el riesgo de desarrollarlo continúa hasta los 10 años. Su presentación es variable, puede ser asintomático o con manifestaciones inespecíficas (fiebre, linfadenopatías), lo que dificulta su diagnóstico desde el punto de vista clínico. Por este motivo, los métodos de imagen cumplen un rol fundamental en su diagnóstico, siendo la tomografía computada (TC) el más utilizado. Se deberá sospechar desde las imágenes en todo paciente trasplantado con afección nodal, principalmente en retroperitoneo y mesenterio; y/o extranodal, como el tracto gastrointestinal, órganos y el sistema nervioso central. El objetivo del presente trabajo consiste en realizar una revisión sobre el SLPT mediante las imágenes y conocer la importancia de su sospecha y diagnóstico.
Palabras clave: Trasplante, Síndrome linfoproliferativo postrasplante, Oncología.
Abstract: Post-transplantation lymphoproliferative disease (PTLD) is a heterogeneous group of lymphoproliferative diseases in behave of posttransplant immunosuppression, which ranges from relatively benign lymphoid hyperplasia to poorly differentiated lymphoma, affecting different organs with fatal evolution, eventually. PTLD constitutes a disease with an increasing incidence and detection, estimating its development between 1 and 20% of transplant patients. Although it is based on a multifactorial etiology, the main factors associated with the development of PTLD are the degree of immunosuppression and the Epstein Barr virus (EBV). Most cases of this disorder occur during the first year posttransplant, however, the risk of developing is included in the next 5 to 10 years. The clinical presentation is variable, and the patient may be asymptomatic, or with nonspecific manifestations such as fever, lymphadenopathy, or digestive symptoms, making it difficult to diagnose this entity from clinical suspicion. Imaging plays a fundamental role in diagnosis of PTLD, with the computed tomography (CT) being the most widely used. Findings can mimic those lymphoproliferative processes in patients with no transplant and should be suspect in every transplant patient with nodal affection, such as retroperitoneum and mesenteric¸ or extranodal compromise, like gastrointestinal tract, solid organs, and central nervous system. The aim of this paper is to revise all about the PTLD trough different imaging methods and to know the importance of its suspicion and diagnosis.
Keywords: Transplant, Post-transplant lymphoproliferative syndrome, Oncology.
REVISIÓN DE TEMA
Todo sobre una entidad poco conocida: el síndrome linfoproliferativo postrasplante
All about a little known entity: post transplant lymphoproliferative syndrome
Recepción: 30 Junio 2022
Aprobación: 06 Febrero 2023
El paciente trasplantado presenta una mayor incidencia de procesos oncológicos respecto de la población general, cuya diferencia varía según la neoplasia considerada y el trasplante realizado. Además, los procesos oncológicos tienden a ser más agresivos y manifestarse a edades más tempranas en estos pacientes1.
El síndrome linfoproliferativo postrasplante (SLPT) es la 2ª neoplasia más frecuente entre los pacientes trasplantados, luego del cáncer de piel y mucosas, ubicándose en 3er lugar en otras series, después del cáncer de cérvix y región vulvar2-5.
El SLPT tiene una manifestación bimodal, con la mayoría de los casos (80%) sucediendo dentro del 1er año postrasplante, y un 2o pico a los cuatro o cinco años postrasplante, aunque pueden existir casos incluso luego de diez años del mismo6. Si bien se considera una rara complicación postrasplante, debido a su alta tasa de mortalidad y su rápida progresión clínica puede suponer una amenaza para la vida del paciente, con una mortalidad estimada en torno al 50% de los casos7,8.
La presentación clínica de los pacientes con SLPT es muy variable y depende tanto del tipo de SLPT desarrollado como de las áreas involucradas9. Por este motivo, las imágenes en el SLPT resultan variadas y multisistémicas, pudiendo comprometer una o varias regiones nodales y/o extranodales. El compromiso extranodal es frecuente en el SLPT y puede afectar cualquier sitio, siendo los más usuales el tracto gastrointestinal, los órganos sólidos o el sistema nervioso central (SNC), pudiendo observarse lesiones únicas o múltiples6.
Debido a que un diagnóstico temprano del SLPT puede mejorar el pronóstico de la enfermedad, las imágenes resultan fundamentales en el contexto del paciente trasplantado, incluso en el asintomático, permitiendo iniciar la sospecha de esta entidad10,11.
El propósito de esta revisión de tema consiste en conocer los diferentes sitios de afectación del SLPT y sus características por imágenes.
El SLPT representa una respuesta no regulada y extendida del sistema linfoide, el cual puede histológicamente variar desde una hiperplasia linfoidea a un linfoma maligno pobremente diferenciado, motivo por el cual es fundamental la toma de muestra en todo caso de sospecha de SLPT11.
Se mencionan al menos tres variables principales para el desarrollo del SLPT: el tipo de órgano trasplantado, la infección o reactivación del virus de EpsteinBarr (VEB) y el régimen de inmunosupresión del paciente12. Otros factores de riesgo adicional incluyen el tiempo posterior al trasplante, la edad del receptor y el origen étnico13,14. Así, se describe un riesgo mayor de desarrollar SLPT en pacientes con inmunosupresión marcada, explicando esto también la variabilidad en la incidencia del síndrome con los diferentes tipos de trasplante15,16. Se han documentado casos de SLPT con VEB negativo en hasta el 30% en algunas series17,18. El SLPT negativo para el VEB parece diferir clínicamente de aquellos relacionados con el virus, con una presentación más tardía luego del trasplante y mayor agresividad19,20.
La presentación clínica de los pacientes con SLPT es variable e inespecífica. Pueden ser asintomáticos o presentarse con síntomas generales como fiebre, adenopatías, dolor abdominal, síndrome de repercusión general, o datos de laboratorio anormal como ser una anemia inexplicable o niveles elevados de lactato deshidrogenasa21. Asimismo, el SLPT puede causar síntomas similares a los observados con el rechazo de órganos o efectos secundarios similares a los de los medicamentos inmunosupresores, motivo por el cual un diagnóstico preciso de SLPT requiere un alto índice de sospecha, ya que el trastorno puede presentarse de manera sutil e inespecífica22.
Para el diagnóstico y la clasificación del SLPT se requiere de una biopsia del tejido afectado, preferiblemente una biopsia por escisión de tamaño suficiente para asegurar la caracterización completa de la lesión11,23. El tejido de la biopsia debe ser revisado por un hematopatólogo experto y evaluado mediante estudios de morfología, inmunofenotipo, presencia o ausencia de VEB, citogenética y reordenamiento del gen del receptor de antígeno24.
El rol de las imágenes en la evaluación del paciente trasplantado consiste no solo en la detección y evaluación de lesiones, sino también en guiar la toma de muestra en caso de biopsia, en evidenciar eventuales infecciones silentes o sintomáticas, y para evaluar la extensión de un proceso conocido12. Por estos motivos, las imágenes resultan fundamentales en el contexto del paciente trasplantado, incluso en el asintomático, permitiendo iniciar la sospecha de SLPT10.
Cada centro de trasplante tiene su protocolo de evaluación del paciente postrasplante, pero como referencia en algunos centros se utiliza el control con tomografía computada (TC) de tórax y abdomen durante el primer año, a los seis y doce meses postrasplante, en pacientes asintomáticos. Imágenes adicionales se deben realizar en cualquier momento si el paciente refiere síntomas y según el área involucrada. En caso de observación de lesiones, estas se podrán controlar estrictamente si son de pequeño tamaño, o bien se tomarán muestras de tejido en caso de síntomas o lesiones de tamaño considerable para un diagnóstico definitivo10. En nuestro país se sugiere, además del screening recomendado en la población general, un examen de piel anual debido a la alta incidencia de este tipo de tumores (Fig. 1). Asimismo, se recomienda realizar cargas virales en forma periódica, debido a la relación del SLPT con el VEB, en especial en la población pediátrica, teniendo en consideración la realización de biopsias en masas tumorales ganglionares, así como la sospecha de esta entidad si existen alteraciones en localizaciones atípicas1,25.

Los hallazgos por imágenes que podemos encontrar en pacientes con SLPT resultan variados y multisistémicos, pudiendo comprometer una o varias regiones nodales y/o extranodales, siendo el compromiso extraganglionar algo distintivo de esta entidad6,11,12. De hecho, más de la mitad de los casos de SLPT se presentan con masas extraganglionares al momento del diagnóstico26.
En general, los órganos involucrados en el SLPT incluyen: el tracto gastrointestinal (estómago e intestino), órganos como pulmones, piel, hígado, SNC y el propio aloinjerto. Se estima que un 20% de los pacientes tiene enfermedad del SNC y una proporción similar tiene lesiones infiltrantes en el aloinjerto27.
La TC con contraste es la modalidad de imagen más útil y aceptada para evaluar la enfermedad cuando compromete el tórax, el abdomen y la pelvis12. Debido a la afectación frecuente extranodal en casos de SLPT, el estudio de tomografía por emisión de positrones-tomografía computada (PET-CT) con fluorodesoxiglucosa (FDG) es de mucha utilidad para identificar el lugar comprometido en esta entidad. La resonancia magnética (RM) tiene su mayor utilidad en el diagnóstico de la enfermedad en el SNC11.
Para facilitar el diagnóstico de SLPT desde las imágenes es útil dividir los hallazgos en compromiso nodal y extranodal, como sugieren Camacho et al.6. Dentro de esta división, la categoría nodal se define como la presencia de adenopatías en cualquier localización, con compromiso a nivel mediastinal o retroperitoneal como principales sitios de afectación. La categoría de hallazgos extranodales se define por la localización de la patología más allá de los ganglios, y se divide en tracto gastrointestinal, afectación de órganos y SNC como los sitios de afectación principal, como se menciona en la figura 2.

El SLPT puede manifestarse únicamente con la presencia de adenopatías, aunque esto es infrecuente, sucediendo en una minoría de los casos. Se estima que resulta de tres a cuatro veces más frecuente el compromiso extranodal que el nodal6.
El SLPT tiene características en común con entidades linfoproliferativas en el contexto de otras inmunosupresiones como ser por VIH, motivo por el cual resulta útil tener en cuenta estos datos para su diagnóstico diferencial28.
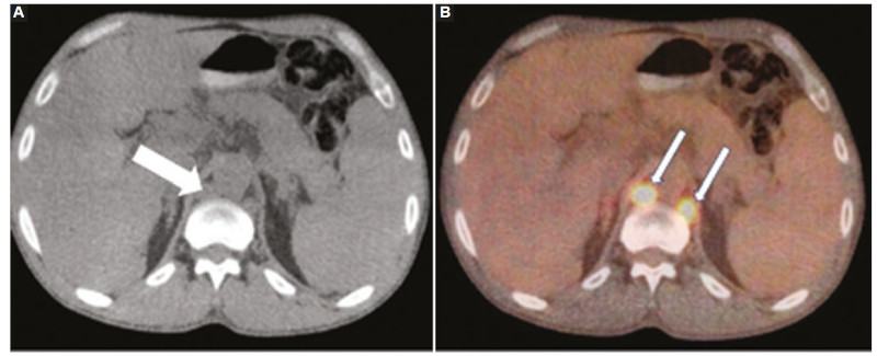
Las adenopatías asociadas al SLPT suelen verse como ganglios aumentados de tamaño, con escaso realce con el contraste endovenoso, homogéneos y con pérdida de su hilio graso en la mayoría de los casos28. Si bien puede afectarse cualquier sitio nodal, los lugares comprometidos más frecuentes son el mediastino y el retroperitoneo, en general acompañando un compromiso extraganglionar a nivel del tórax o cavidad abdominal, respectivamente.
Los estudios de PET-TC mostrarán aumento del consumo de FDG de las adenopatías (Fig. 3), con un SUV promedio entre 8 y 17 según algunos autores29,30.

La PET-CT puede mostrar casos de falsos positivos en infecciones y procesos inflamatorios, o bien falsos negativos debido a lesiones de pequeño tamaño, reportándose una sensibilidad aproximada al 89% para el diagnóstico del SLPT30. La PET-CT es útil para realizar diagnósticos diferenciales de esta entidad, así como para colaborar en una evaluación más precisa de la extensión y estadio de la enfermedad31.
La categoría extranodal se caracteriza por la localización de la patología más allá de los ganglios, y se divide según comprometa el tracto gastrointestinal, los diferentes órganos y el SNC, como los sitios de afectación principal6. Como ya se mencionó, más de la mitad de los casos de SLPT se presentan con masas extraganglionares como presentación extranodal26.
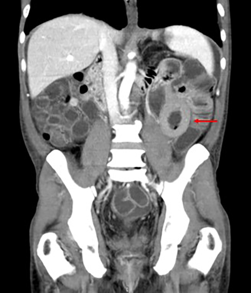
La cavidad abdominal es la región anatómica más afectada por el SLPT, con el tracto gastrointestinal y el hígado como los sitios más frecuentemente comprometidos, difiriendo su incidencia según el tipo de trasplante11,12,28,32,33.
La región distal del intestino delgado es el sitio más frecuente de afectación del tracto gastrointestinal en el SLPT, seguido por el colon proximal, el estómago, el duodeno y el esófago28,34. Más de la mitad de los SLPT muestran compromiso del intestino delgado, aunque es rara la afectación aislada del tracto gastrointestinal, acompañándose en general de compromiso nodal, usualmente mesentérico35) (Fig. 4).

En cuanto a los patrones por imágenes en el SLPT del tracto gastrointestinal se describen el engrosamiento parietal circunferencial, siendo infrecuente que condicione una obstrucción al igual que los demás procesos linfoproliferativos; la dilatación intestinal aneurismática; ulceraciones; invaginaciones de segmentos cortos e imágenes polipoides conformando masas excéntricas11,28,36 (Figs. 5 y 6).
La presentación clínica del compromiso gastrointestinal suele darse con dolor abdominal difuso, vómitos, diarrea, fiebre y raramente con hemorragia digestiva35.


El hígado es el órgano sólido más comprometido según varios estudios6,11, afectándose en el 5 a 12% de los casos de trasplante de órgano sólido, incluso hasta en el 20% de los casos de trasplante hepático37. Es frecuente que el SLPT afecte al órgano trasplantado, como el riñón que puede afectarse hasta en un 15% de los casos37. Esta proporción puede ser incluso mayor en el caso de los órganos cardiotorácicos.
En cuanto a los patrones de afectación de los órganos se mencionan cuatro formas principales, sea como una masa obstructiva a nivel del hilio del órgano, con sus complicaciones a nivel vascular; como una lesión focal única parenquimatosa, lesiones múltiples parenquimatosas o un patrón infiltrativo difuso del órgano cuestión6,11.
Con respecto al hígado, en una serie publicada sobre SLPT por Pickhardt et al.28, combinando pacientes pediátricos y adultos trasplantados, se reportó una afectación hepática del 53% de los casos. La enfermedad en el hígado se presenta principalmente como lesiones focales únicas o múltiples que rondan entre 1-4 cm, hipoecogénicas en el examen ecográfico, sin vascularización en el examen con Doppler color, e hipovasculares y sin calcificaciones en la TC. De modo menos frecuente, se observa un compromiso infiltrativo periportal, que puede obliterar tanto el flujo vascular como el drenaje biliar con dilatación de la vía biliar y las consiguientes complicaciones38,39.
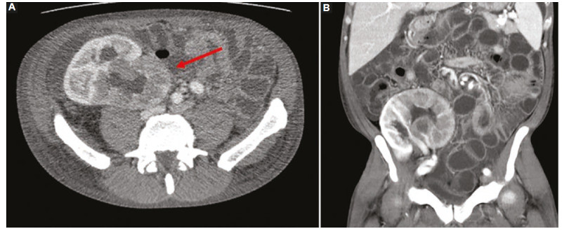
El riñón se compromete principalmente en los casos de trasplante renal, reportándose entre el 10 y 75% de estos casos según variados estudios11,37,40. Las manifestaciones más frecuentes la representan como una masa que rodea el hilio renal, con compromiso subsecuente vascular; y un patrón infiltrativo difuso del parénquima6,11,38) (Fig. 7).

En el caso de una masa renal, esta se presenta con conservación del tamaño renal; mientras que si se manifiesta con un patrón infiltrativo se observará un aumento de tamaño renal con posible extensión extrarrenal y compromiso de órganos adyacentes, permitiendo esto iniciar la sospecha de la entidad38.
La afectación intratorácica por SLPT es menos frecuente que la abdominal y su incidencia está relacionada fundamentalmente con el tipo de trasplante de órgano, siendo el relacionado al trasplante de pulmón o corazón-pulmón (53% de los casos) el de mayor incidencia8,11.
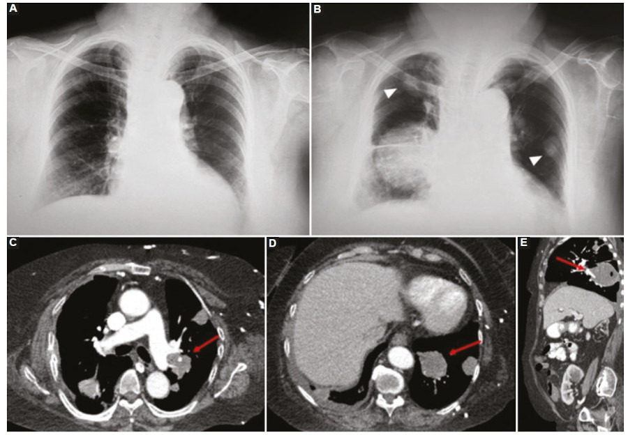
A nivel torácico el SLPT se puede manifestar como compromiso ganglionar (nodal) con adenopatías mediastinales y perihiliares (7-10%), con masa parenquimatosa única o nódulos pulmonares múltiples (80%), o bien un área de consolidación parenquimatosa (7-10%)11.
Raramente, puede existir una afectación torácica de tipo infiltrativa, desde una lesión intratorácica hacia la pared misma y sus partes blandas, o bien hacia estructuras cercanas. Otras manifestaciones intratorácicas iniciales menos frecuentes son el compromiso pleural, derrame pleural, derrame pericárdico o el aumento del tamaño tímico41.
Cuando la afectación pulmonar se observa como masas parenquimatosas o nódulos sólidos, estos son frecuentemente múltiples, de bordes irregulares o lisos, atenuación homogénea y similar a la de partes blandas en la TC6,11,12) (Fig. 8). Si son múltiples presentan una distribución al azar y raramente pueden presentar halo en vidrio esmerilado o cavitaciones, datos que resultan útiles para un eventual diagnóstico diferencial con las infecciones oportunistas como la aspergilosis42,43.

Además de los órganos mencionados previamente, el SLPT puede comprometer cualquier órgano del cuerpo; vale recordar que la enfermedad extraganglionar es el sello distintivo del trastorno linfoproliferativo postrasplante39. Además, el frecuente compromiso extranodal del SLPT permite sospecharlo por encima de los otros procesos linfoproliferativos en el paciente inmunosuprimido44.
El bazo se encuentra afectado en pocos casos, manifestándose como masas focales con o sin esplenomegalia. Es raro el compromiso del páncreas, aunque puede verse en casos de trasplante de este órgano con compromiso difuso que se confunde con un proceso inflamatorio41.
Menos frecuentemente se han descrito casos de SLPT con afectación en lugares como articulaciones, laringe, faringe, encías, cuello y cabeza extracraneal, principalmente órbita y senos paranasales. Dentro esta rareza, un lugar de presentación del SLPT que considerar, sobre todo en la población pediátrica, es a nivel faríngeo en el anillo de Waldeyer. En los estudios por imágenes se presentan una o más masas debajo de la mucosa faríngea, de entre 2 y 4,5 cm de diámetro, con un área central de baja densidad en los estudios tomográficos. La periferia de las lesiones se compone de tejido con captación de contraste endovenoso, por lo cual hacen que muchas veces sean confundidos con abscesos faríngeos45,46. Dado que las repercusiones en el tejido linfático de nasofaringe se encuentran recubiertas por mucosa, puede resultar muy difícil su identificación clínica y es por esto la importancia de la evaluación mediante métodos por imágenes que faciliten su detección.
Dentro de los trastornos del SNC en pacientes trasplantados, el SLPT se ubica tercero en orden de frecuencia detrás de las enfermedades cerebrovasculares y las infecciones47. Algunas series basadas en autopsias han identificado SLPT del SNC en el 2-7% de los pacientes. Sin embargo, solo un pequeño subconjunto de estos pacientes habría tenido evidencia clínica de enfermedad47.
El diagnóstico debe sospecharse en receptores de trasplante con cambios en el estado mental o nuevos hallazgos neurológicos. Se describe mayor agresividad del SLPT del SNC que los SLPT que involucran otros sistemas de órganos47.
El SLPT del SNC puede afectar el parénquima cerebral, las leptomeninges, los nervios craneales, la médula espinal y los globos oculares48.
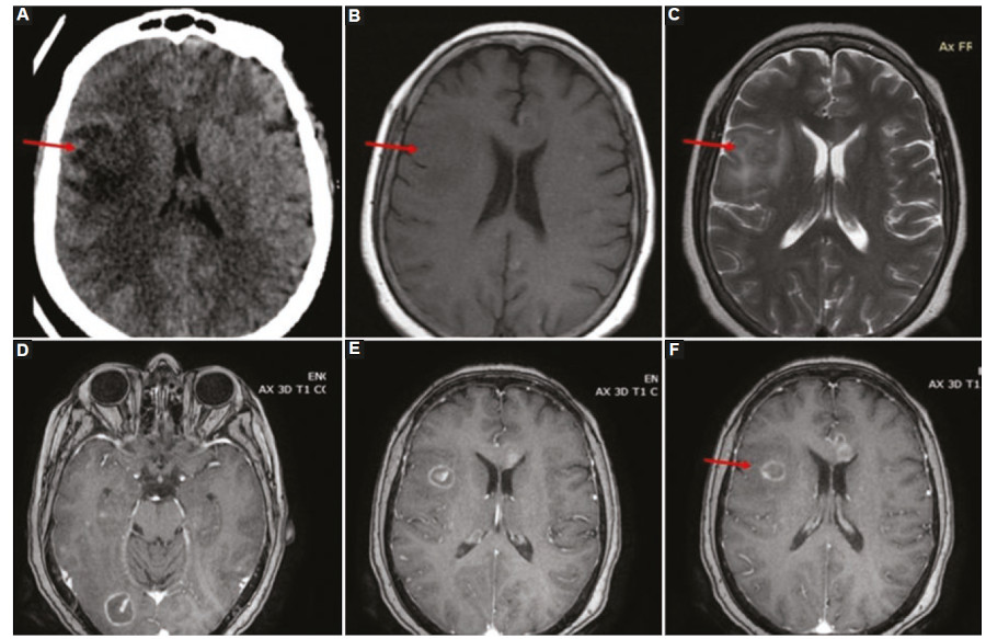
Las lesiones por SLPT del parénquima encefálico suelen ser masas corticales y subcorticales intraaxiales múltiples, con hemorragia, necrosis y edema perilesional, en general ubicadas en las estructuras supratentoriales más profundas, los ganglios basales, el tálamo y la región periventricular. Sin embargo, también pueden verse en el cerebelo y tronco encefálico48. Las lesiones tienden a infiltrar los tractos de sustancia blanca, incluido el cuerpo calloso y la cápsula interna. Las características de neuroimagen del SLPT son similares a las que se observan en personas inmunodeprimidas con linfoma primario del SNC11,48. En la TC, las lesiones parenquimatosas son isodensas-hiperdensas en relación con la corteza debido a su alta celularidad, característica que condiciona hipointensidad en secuencias ponderadas en T2 en la RM. Asimismo, con respecto a las demás secuencias de RM, las lesiones del SLPT se visualizan hipointensas o isointensas en secuencias ponderadas en T1, con áreas hiperintensas ocasionales que se deben a hemorragia intratumoral, con edema vasogénico peritumoral moderado. Ante la administración de contraste endovenoso se observa un patrón de realce en anillo similar al de un absceso cerebral en el 87% de los casos, o menos frecuentemente, con realce homogéneo, acompañado de edema vasogénico perilesional48) (Fig. 9).

Uno de los hallazgos característicos del SLPT del SNC es la marcada restricción en secuencias de difusión de la periferia de la lesión debido a la hipercelularidad, que corresponde a las áreas de realce periférico luego de la administración de gadolinio. Contrariamente a la apariencia de las lesiones de SLPT, los abscesos piógenos y, con menos frecuencia, los abscesos fúngicos pueden mostrar una difusión central restringida, ambos diagnósticos diferenciales del SLPT del SNC848.
La frecuencia de afectación leptomeníngea puede subestimarse porque es difícil de diagnosticar en la RM. Puede aparecer como realce leptomeníngeo, subependimario o dural48.
La afectación de los nervios craneales es rara y puede pasarse por alto. La RM demuestra agrandamiento del nervio con o sin realce luego de la administración del material de contraste48.
El SLPT de la médula espinal es poco común, con aislados casos publicados en la literatura49.
Los diagnósticos diferenciales del SLPT incluyen además de otros procesos linfoproliferativos como mencionamos, otros trastornos que a veces se presentan de forma similar en el paciente trasplantado, con síntomas generales inespecíficos, debiendo considerarse diversas infecciones oportunistas, como infecciones micobacterianas o fúngicas diseminadas43.
Entre los receptores de trasplantes de órganos sólidos, el SLPT que afecta al aloinjerto puede tener características patológicas que morfológicamente se asemejan a las observadas con el rechazo del injerto. Dado que las opciones de tratamiento para el rechazo y el SLPT son marcadamente diferentes, es fundamental realizar estudios adicionales para diferenciar las dos posibilidades43.
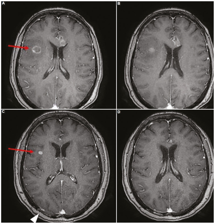
Para finalizar debemos mencionar que, debido a la relación conocida entre el SLPT y el tiempo y duración de la inmunosupresión, el tratamiento de inicio de esta entidad consiste en reducir la inmunosupresión como primer peldaño (Fig. 10). Se estima que la regresión de los SLPT tras la reducción de la inmunosupresión recibida se encuentra en una tasa de entre el 23-50% de los casos50. Se podrán considerar, asimismo, tratamiento con quimioterapia, anticuerpos contra células B, o citocinas según cada caso(7, 43).

El SLPT presenta un amplio abanico tanto de manifestaciones clínicas como desde las imágenes, siendo una entidad de dificultoso diagnóstico debido a su poco conocimiento e índice bajo de sospecha.
Conocer las características principales del SLPT en los diferentes métodos de imágenes de cada área, así como recordar su posible compromiso nodal y más frecuentemente extraganglionar de cualquier parte del organismo, nos permitirá iniciar la sospecha de esta entidad en un gran número de casos, colaborando en el diagnóstico.
Debido a la presentación clínica inespecífica, al frecuente compromiso extranodal y su amplio espectro histopatológico, resulta fundamental para el especialista en imágenes el conocimiento del SLPT, para así colaborar en un diagnóstico temprano y tratamiento oportuno del paciente trasplantado.
Al Servicio de Trasplante del Hospital San Martín de La Plata y al Dr. Horacio Belhart por su colaboración permanente y desinteresada para la confección del manuscrito y el aporte de casos.
Confidencialidad de los datos. Los autores declaran que en este artículo no aparecen datos de pacientes.
Derecho a la privacidad y consentimiento informado. Los autores declaran que en este artículo no aparecen datos de pacientes.
*Correspondencia: Jimena Mariano E-mail: jimenamariano@hotmail.com









