ENSAYO ICONOGRÁFICO
Hallazgos ecográficos de nódulos tiroideos: un reto diagnóstico en pediatría
Ultrasound findings of thyroid nodules: a diagnostic challenge in pediatrics
Hallazgos ecográficos de nódulos tiroideos: un reto diagnóstico en pediatría
Revista argentina de radiología, vol. 87, núm. 2, pp. 66-75, 2023
Sociedad Argentina de Radiología (SAR) y Federación Argentina de Diagnóstico por Imágenes y Terapia Radiante (FAARDIT)
Recepción: 01 Julio 2022
Aprobación: 04 Abril 2023
Resumen: Los nódulos tiroideos son poco frecuentes en pediatría, pero uno de cada cuatro de ellos es maligno. La ecografía es el método de elección en la detección de estos nódulos porque brinda información que permite, en muchos casos, determinar la probabilidad de malignidad. Las características a definir en un nódulo tiroideo son: composición, márgenes, ecogenicidad, calcificaciones, vascularización, dureza y la presencia de ganglios linfáticos cervicales patológicos. La composición comprende la apariencia quística, sólida o mixta (contiene al subtipo espongiforme). Los márgenes se describen como lisos, irregulares, mal definidos o lobulados. La ecogenicidad se define como hiperecoicos, hipoecoicos o isoecoicos en relación con el parénquima tiroideo adyacente. En los casos de nódulos heterogéneos se describe el patrón predominante. Dentro de las calcificaciones se describen las microcalcificaciones y macrocalcificaciones. La vascularización se clasifica como normal, aumentada central o periférica, y mixta al examen Doppler color. La elastografía mide la rigidez del nódulo evaluado en comparación con el tejido tiroideo adyacente. Por último, se debe evaluar la cadena ganglionar cervical en búsqueda de alteración de su ecoestructura. Es primordial el reconocimiento de las características de benignidad y malignidad de estas lesiones, ya que permitirá guiar al especialista para la toma de decisiones.
Palabras clave: Nódulos tiroideos, Pediatría, Ecografía tiroidea, Tiroides pediátrica.
Abstract: Thyroid nodules are rare in pediatrics, but up to one in four of them is malignant. Ultrasound is the method of choice in the detection of thyroid nodules because it provides information that allows to determine the probability of malignancy in many patients. The characteristics to be defined in a thyroid nodule are: composition, margins, echogenicity, calcifications, vascularization, stiffness and the presence of pathological cervical lymph nodes. Composition includes cystic, solid or mixed appearance (contains the spongiform subtype). Margins are described as smooth, irregular, ill-defined or lobulated. Echogenicity is defined as hyper-, hypoor isoechoic to the adjacent thyroid parenchyma. Calcifications are described as microcalcifications and macrocalcifications. Vascularization is classified as normal, increased central or peripheral, and mixed on color Doppler. Elastography measures the stiffness of the evaluated nodule compared to the adjacent thyroid tissue. Finally, cervical lymph nodes should be evaluated for alterations in its echostructure. It is essential to recognize the benign and malignant characteristics of this type of lesions, as this will guide the specialist in making decisions.
Keywords: Thyroid nodule, Pediatrics, Thyroid, Ultrasound.
Introducción
Los nódulos tiroideos en pediatría son un hallazgo poco frecuente que, en general, causan cierto desconcierto en los radiólogos pediatras en relación a cómo describir su aspecto y sugerir una conducta a seguir. Su incidencia es del 0,05-5,1%, pero tienen una alta tasa de malignidad, siendo maligno uno de cada cuatro de ellos1,2; a diferencia de la población adulta en la cual la probabilidad de malignidad es mucho menor (5-10%)2,3.
Los nódulos tiroideos de origen benigno comprenden el quiste simple, adenoma folicular, absceso intratiroideo, timo ectópico intratiroideo y bocio nodular, entre otros4,5,6,7. La patología nodular tiroidea maligna corresponde en el 90% al carcinoma papilar de tiroides (CPT), cuyas variantes histológicas son: clásico, sólido, folicular y esclerosante difusa1. Le sigue en frecuencia el carcinoma folicular de tiroides, y más raramente el carcinoma medular de tiroides, tumores pobremente diferenciados, carcinomas anaplásicos, linfoma y metástasis1. Pueden ser un hallazgo incidental en un estudio realizado por otra causa, o presentarse clínicamente como nódulo palpable y menos frecuentemente con disfunción tiroidea o síntomas de compresión8.
La ecografía es el método más sensible en la detección de los nódulos tiroideos, porque brinda información que permite en muchos casos determinar la probabilidad de malignidad2. Además, permite la valoración de las cadenas ganglionares cervicales.
El objetivo de este artículo es describir los hallazgos ecográficos de los nódulos tiroideos en la población pediátrica y diferenciar las características de benignidad de malignidad, sugiriendo la utilización de una checklist para el reconocimiento adecuado de estas características.
Técnica
Para la evaluación de la glándula tiroides por ecografía el paciente debe estar en posición supina, con hiperextensión del cuello. El transductor ubicado en región anterior del cuello debe deslizarse en todo el recorrido embriológico de la tiroides desde la mandíbula hasta la escotadura esternal. La tiroides debe evaluarse en su totalidad incluyendo ambos lóbulos y el istmo, en planos longitudinal y transversal. Además, es importante valorar las cadenas ganglionares cervicales, la arteria carótida común y la vena yugular interna.
Deben utilizarse transductores de alta frecuencia (7-18 MHz) lineares o palo de hockey, para obtener mejor detalle anatómico de las estructuras evaluadas.
Dentro de los ajustes se menciona ubicación del foco en la región tiroidea con adecuada profundidad y escala de ganancias. Es importante la utilización de la herramienta del Doppler color y la elastografía cuando esté disponible, ya que brindarán información sobre la vascularización y la elasticidad respectivamente de la estructura evaluada9,10,11.
Características ecográficas
En la población adulta existe un sistema estandarizado de estratificación de riesgo de los nódulos tiroideos denominado Thyroid Imaging Reporting and Data System (TI-RADS), propuesto por Horvath et al. en 2009, basado en los hallazgos por ecografía que ha sufrido modificaciones a lo largo de los años. Una de ellas es la propuesta por el American College of Radiology (ACR), ACR TI-RADS, donde se establece un sistema de puntuación a los diferentes hallazgos ecográficos definiendo de esta manera un riesgo y consecuentemente una guía hacia la punción aspiración con aguja fina (PAAF) o el seguimiento ecográfico12. Hasta la fecha ninguno de estos sistemas ha sido aceptado en la población pediátrica, por ello es importante evaluar y describir las características ecográficas que se encuentran resumidas en la tabla 1 y se detallan a continuación.

Composición
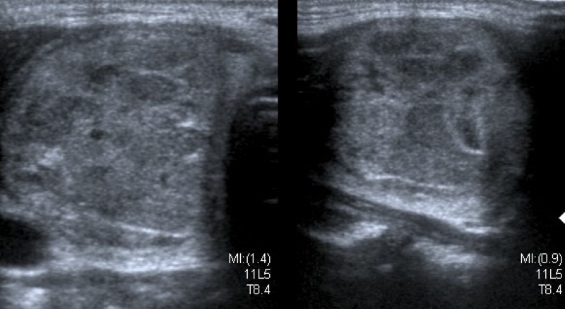
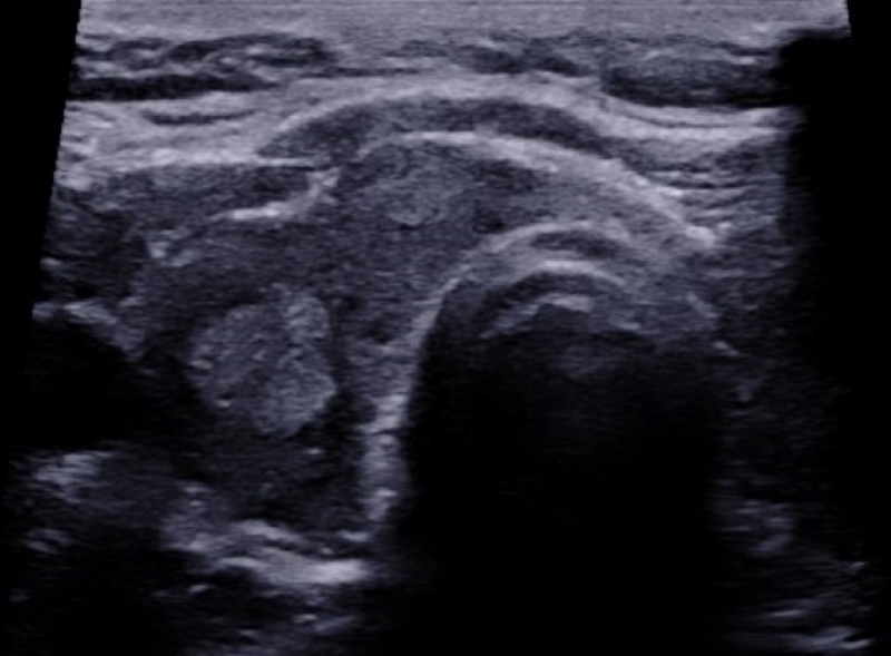
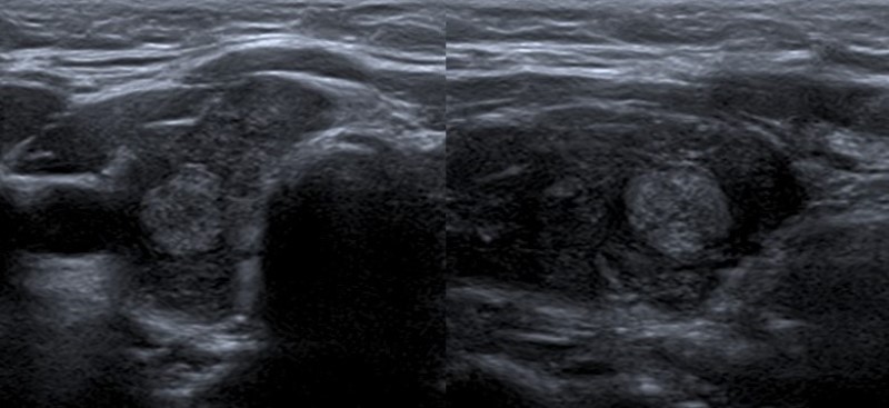
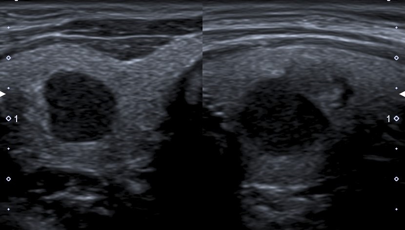
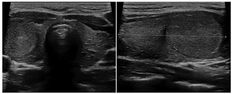
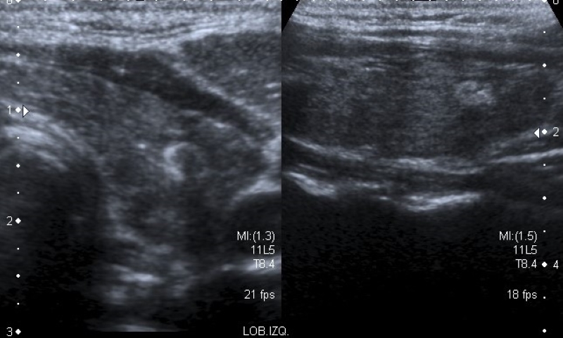
Describe el componente interno del nódulo, identificando la presencia de contenido sólido (Fig. 1) o quístico (Fig. 2), y en los casos de nódulos mixtos (Fig. 3) la proporción de cada uno (predominantemente sólido/ predominantemente quístico). Cuando se evalúa un nódulo parcialmente quístico es importante caracterizar su componente sólido indicando además si tiene localización central o periférica (esta última podría asociarse con mayor riesgo de malignidad)13.



Los nódulos completamente quísticos son considerados benignos2,14,15) y los sólidos se asocian mayormente a malignidad15,16, pero hay descriptos nódulos sólidos benignos, como así también nódulos confirmados como CPT con componente mixto2,15,17.
Existen otro tipo de nódulos, los espongiformes, que presentan un patrón mixto con múltiples quistes pequeños en su interior, y tienen un muy bajo riesgo de Malignidad2,13,14,18.
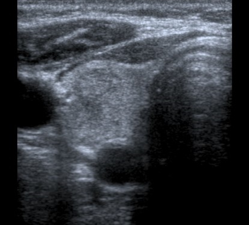
Márgenes
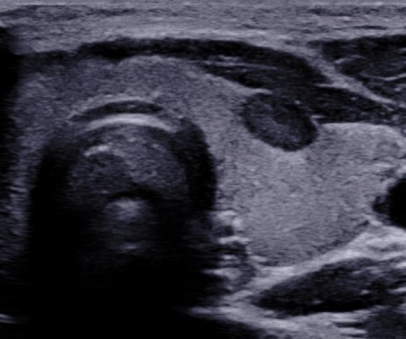
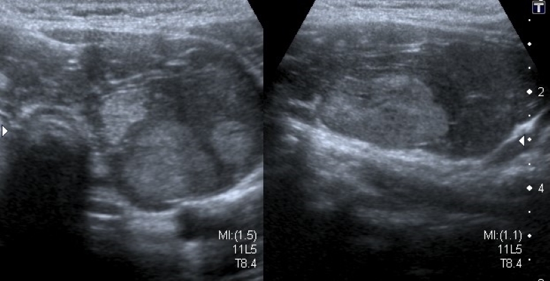
Es el borde entre el nódulo y el parénquima tiroideo adyacente o las estructuras extratiroideas. Se clasifican en “lisos” (Fig. 4) cuando son bien definidos, curvilíneos, de forma esférica o elíptica y no presentan interrupción en su extensión; “irregulares” (Fig. 5) cuando son espiculados o dentados, y puede dibujarse todo el contorno, lo que los diferencia de los “mal definidos” (Fig. 6), en los cuales es difícil distinguir adecuadamente del parénquima tiroideo. Se denominan “lobulados” (Fig. 7) cuando presentan protrusiones redondeadas y de diferentes tamaños. El “halo” (Fig. 8) es un anillo hipoecoico que rodea al nódulo, y puede rodearlo en forma parcial o completa. Este se considera una cápsula fibrosa que se observa más comúnmente en nódulos benignos, aunque también puede estar presente en algunos nódulos malignos2,18. En la literatura publicada, la mayoría de los autores mencionan que el tipo de márgenes que más frecuentemente se asocia a malignidad son los irregulares1,2,12,15,19,20,21,22, mientras que otros autores indican a los mal definidos16,23) como característica de malignidad.





Ecogenicidad
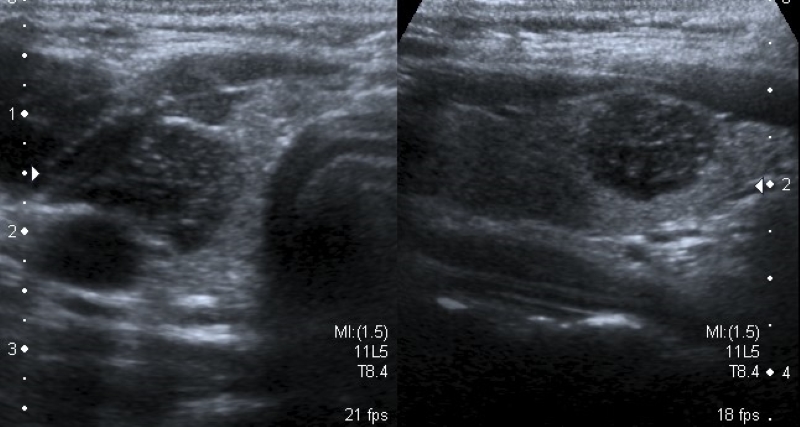
Refiere al grado de ecogenicidad (no calcificado ni quístico) que presenta el nódulo respecto al parénquima tiroideo: hiperecoicos (Fig. 9), isoecoicos (Fig. 10) e hipoecoicos (Fig. 11). En el caso de los nódulos muy hipoecoicos (Fig. 12) se realiza la comparación con la ecogenicidad de los músculos adyacentes.
Si bien los nódulos malignos son más frecuentemente hipoecoicos, también lo son muchos nódulos histológicamente benignos20. Según la literatura los nódulos muy hipoecoicos presentan mayor riesgo de malignidad2,13,16, pero esta característica ha sido descripta solo en la población adulta.




En caso de nódulos con componente sólido y quístico la ecogenicidad debe describirse en relación con la porción sólida, con el fin de no confundir el término heterogéneo con el componente mixto sólido y quístico.
También podemos diferenciar los nódulos en homogéneos (Fig. 13) o heterogéneos (Fig. 14). Estos últimos contienen áreas con diferente ecogenicidad, y para poder brindar más información descriptiva es necesario mencionar el patrón predominante.


Calcificaciones
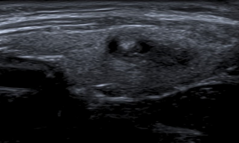
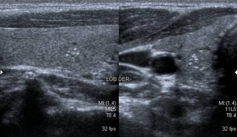
Focos ecogénicos que pueden clasificarse según su tamaño en microcalcificaciones (Fig. 15) y macrocalcificaciones (Fig. 16). Las primeras miden menos de 1 mm y no presentan sombra acústica posterior, a diferencia de las macrocalcificaciones que son mayores de 1 mm con sombra acústica posterior.


Las microcalcificaciones presentan un alto riesgo de malignidad. De hecho, algunos autores las consideran por sí solas un predictor de malignidad20, y otros sostienen que la presencia de microcalcificaciones sumado al aumento de la vascularización central y una imagen ganglionar patológica son suficientes para indicar una punción aspiración con aguja fina23.
El artefacto en cola de cometa (Fig. 17) es producido por la reverberación en los quistes coloides, que pueden confundir con microcalcificaciones. A diferencia de estas últimas, el artefacto en cola de cometa se visualiza como una línea ecogénica brillante con un triángulo o líneas ecogénicas posteriores, y se suele asociar a benignidad2.

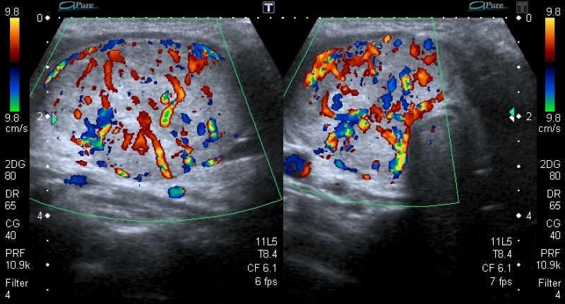
Vascularización
La vascularización se evalúa con la herramienta de Doppler color, y se debe determinar si esta se encuentra ausente (Fig. 18) o aumentada en el nódulo en relación con el parénquima tiroideo. La vascularización aumentada puede presentar dos patrones: central (Fig. 19) y periférico (Fig. 20), siendo el aumento de la vascularización central con disposición caótica la que presenta mayor riesgo de malignidad2,14,19,22,23,24. Un patrón vascular periférico se asocia mayormente con benignidad15,18, aunque algunos autores han calificado a la vascularización como una característica no significativa para diferenciar nódulos benignos de malignos2,3,14,16.



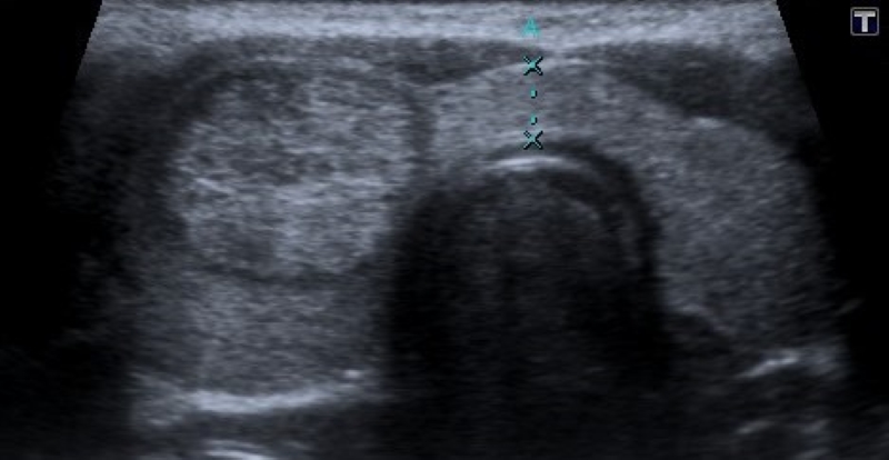
Dureza
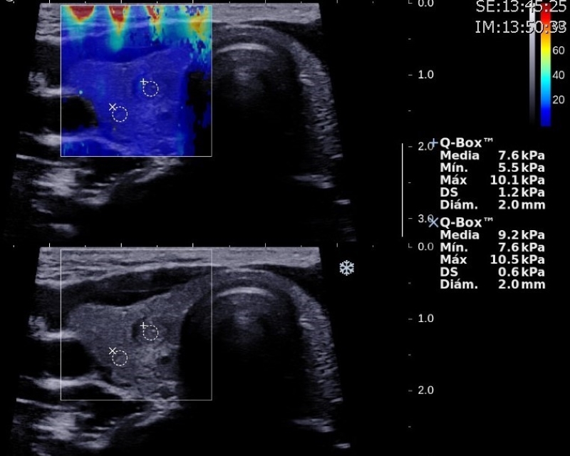
La share wave elastography (SWE) es una nueva herramienta ecográfica que mide de manera cuantitativa la dureza o rigidez de un tejido, y reduce la subjetividad del diagnóstico clínico de la elasticidad de los nódulos. La SWE es efectiva para aumentar la sensibilidad de la ecografía en la detección de neoplasias tiroideas. Algunos autores definen al aumento de la elasticidad de un nódulo en relación con el parénquima tiroideo adyacente como mayor riesgo de malignidad. Hazem et al. establecen un valor medio para nódulos benignos de 33,46 ± 5,02 kPa y de 49,71 ± 11,16 kPa para nódulos malignos11,25. Las guías y recomendaciones de SWE publicadas por Ferraioli et al. en 2021 sugieren que los nódulos benignos muestran una elasticidad media de 15,3-28 kPa y que el punto de corte óptimo entre nódulos benignos y malignos es de 34,5-37,5 kPa26) (Figs. 21 y 22).


Ganglios linfáticos
Las cadenas ganglionares cervicales deben ser evaluadas siempre que se detecta un nódulo tiroideo. Esto tiene su fundamento en que el CPT tiene una alta tasa de metástasis ganglionares1, siendo estas, además, más frecuentes en la población pediátrica en comparación con la población adulta14,27,28.
Se define como ganglio linfático patológico o adenopatía (Fig. 23) cuando presenta ecoestructura heterogénea, calcificaciones en el interior, forma redondeada y ausencia de hilio ecogénico2,29. El aumento de tamaño y vascularización también pueden hacer sospechar el compromiso maligno del ganglio2. Según diversos autores, la presencia de ganglios cervicales patológicos aumenta significativamente el riesgo de malignidad de un nódulo tiroideo1,2,3,14,16,20,23,27,30.

El tamaño del nódulo tiene menor relevancia en la población pediátrica en relación con los adultos, ya que en los primeros el volumen de la glándula tiroides se modifica con la edad y además no constituye un predictor de malignidad1,2,14,17,19,21,23,27,31,32.
Todas estas características no constituyen de manera aislada un riesgo de malignidad, sino que deben ser evaluadas en conjunto y en el contexto clínico del paciente por parte del equipo médico tratante.
La guía de estratificación de riesgo de la Asociación Americana de Tiroides (ATA, por sus siglas en inglés) para adultos propuesta en 2015 por Haugen et al.29 define el riesgo de malignidad de los nódulos tiroideos según los hallazgos ecográficos (Tabla 2), que actualmente también se utiliza en pediatría debido a la inexistencia de un sistema de puntaje específico para esta población, como mencionamos anteriormente.
Si bien los criterios de malignidad mencionados por la ATA son la ecoestructura hipoecoica, márgenes irregulares, el aumento de la vascularización central, la presencia de microcalcificaciones y de ganglios cervicales patológicos1, existen variaciones de estos criterios en la literatura publicada. Por ello, y debido a la falta de consensos y a la alta tasa de malignidad de los nódulos tiroideos en pediatría es que puede ser difícil tomar la decisión de no realizar una PAAF y reducir el número de punciones innecesarias en dicha población, sumado a la dificultad que presentan los nódulos con características intermedias.

Conclusión
La ecografía es una excelente herramienta no invasiva para obtener imágenes en la edad pediátrica debido a que es un método accesible y habitualmente disponible en los centros. Es rápido, de bajo costo, no utiliza radiación ni requiere anestesia. Este método continúa siendo de elección para la evaluación y estratificación de riesgo de los nódulos tiroideos, ya que permite evaluar las diferentes características que, en conjunto, nos pueden orientar hacia la benignidad o malignidad de las lesiones.
Como se menciona previamente, la probabilidad de malignidad se obtiene a partir de una sumatoria de hallazgos ecográficos. Es por ello que, al momento de realizar una ecografía de rutina, proponemos la utilización de una checklist (Tabla 3) con los puntos claves a evaluar para un sencillo reconocimiento de estas características.

Sin embargo, se sugiere la realización de biopsia siempre que el criterio médico del equipo tratante lo considere.
Bibliografía
Francis GL, Waguespack SG, Bauer AJ, Angelos P, Benvenga S, Cerutti JM, et al. Management guidelines for children with thyroid nodules and differentiated thyroid cancer. Thyroid. 2015;25(7):716-59.
Essenmacher AC, Joyce PH, Kao SC, Epelman M, Pesce LM, D’Alessandro MP, et al. Sonographic evaluation of pediatric thyroid nodules. Radiographics. 2017;37(6):1731-52.
Fornwalt B, Melachuri M, Kubina M, McDaniel J, Jeyakumar A. Pediatric thyroid nodules: Ultrasound characteristics as indicators of malignancy. OTO Open. 2022;6(1):1-5.
Crockett DJ, Faucett EA, Gnagi SH. Thyroid nodule/differentiated thyroid carcinoma in the pediatric population. Pediatr Ann. 2021;50(7):e282-e285.
Oyarzábal M, Chueca M, Berrade S. Nódulo tiroideo en la infancia. Rev Esp Endocrinol Pediatr. 2011;2(Suppl):53-8.
Azcona San Julián C. Nódulos tiroideos en la infancia. An Pediatr Contin. 2013;11(4):181-6.
Williams KM, Leibel N, Oberfield SE. 6: Endocrinology. En: R. Polin, M. Ditmar. Pediatric Secret (183-212).
Popoveniuc G, Jonklaas J. Thyroid nodules. Med Clin North Am. 2012;96(2):329-49.
Tritou I, Vakaki M, Sfakiotaki R, Kalaitzaki K, Raissaki M. Pediatric thyroid ultrasound: a radiologist’s checklist. Pediatr Radiol. 2020;50(4):563-74.
Moschos E, Mentzel HJ. Ultrasound findings of the thyroid gland in children and adolescents. J Ultrasound. 2023;26(1):211-21.
Hazem M, Zakaria OM, Daoud MYI, Al Jabr IK, AlYahya AA, Hassanein AG, et al. Accuracy of shear wave elastography in characterization of thyroid nodules in children and adolescents. Insights Imaging. 2021;12(1):128.
Tessler FN, Middleton WD, Grant EG, Hoang JK, Berland LL, Teefey SA, et al. ACR Thyroid Imaging, Reporting and Data System (TI-RADS): White Paper of the ACR TI-RADS Committee. J Am Coll Radiol. 2017;14(5):587-95.
Grant EG, Tessler FN, Hoang JK, Langer JE, Beland MD, Berland LL, et al. Thyroid ultrasound reporting lexicon: White paper of the ACR thyroid imaging, reporting and data system (TIRADS) committee. J Am Coll Radiol . 2015;12(12):1272-9.
Iakovou I, Giannoula E, Sachpekidis C. Imaging and imaging-based management of pediatric thyroid nodules. J Clin Med. 2020;9(2):1-15.
Rios A, Torregrosa B, Rodríguez JM, et al. Ultrasonographic risk factors of malignancy in thyroid nodules. Langenbeck’s Arch Surg. 2016;401(6):839-49.
Richman DM, Benson CB, Doubilet PM, Peters HE, Huang SA, Asch E, et al. Thyroid nodules in pediatric patients: Sonographic characteristics and likelihood of cancer. Radiology. 2018;288(2):591-9.
Moudgil P, Vellody R, Heider A, Smith EA, Grove JJ, Jarboe MD, et al. Ultrasound-guided fine-needle aspiration biopsy of pediatric thyroid nodules. Pediatr Radiol . 2016;46(3):365-71.
Bonavita JA, Mayo J, Babb J, Bennett G, Oweity T, Macari M, et al. Pattern recognition of benign nodules at ultrasound of the thyroid: Which nodules can be left alone? Am J Roentgenol. 2009;193(1):207-13.
Lyshchik A, Drozd V, Demidchik Y, Reiners C. Diagnosis of thyroid cancer in children: Value of gray-scale and power Doppler US. Radiology . 2005;235(2):604-13.
Corrias A, Mussa A, Baronio F, Arrigo T, Salerno M, Segni M, et al. Diagnostic features of thyroid nodules in pediatrics. Arch Pediatr Adolesc Med. 2010;164(8):714-19.
Creo A, Alahdab F, Al Nofal A, Thomas K, Kolbe A, Pittock ST. Ultrasonography and the American thyroid association ultrasound-based risk stratification tool: Utility in pediatric and adolescent thyroid nodules. Horm Res Paediatr. 2018;90(2):93-101.
Papini E, Guglielmi R, Bianchini A, Crescenzi A, Taccogna S, Nardi F, et al. Risk of malignancy in nonpalpable thyroid nodules: Predictive value of ultrasound and color-Doppler features. 2014;87(June 2000):1941-6.
Mussa A, De Andrea M, Motta M, Mormile A, Palestini N, Corrias A. Predictors of Malignancy in Children with Thyroid Nodules. J Pediatr. 2015;167(4):886-892.e1.
Kobaly K, Kim CS, Langer JE, Mandel SJ. Macrocalcifications do not alter malignancy risk within the American Thyroid Association Sonographic Pattern System when present in non-high suspicion thyroid nodules. thyroid. 2021;31(10):1542-8.
Borysewicz-Sanczyk H, Dzieciol J, Sawicka B, Bossowski A. Practical application of elastography in the diagnosis of thyroid nodules in children and adolescents. Horm Res Paediatr . 2016;86(1):39-44.
Ferraioli G, Barr RG, Farrokh A, Radzina M, Cui XW, Dong Y, et al. How to perform shear wave elastography. Part I. Med Ultrason. 2022;24(1): 95-106.
Lim-Dunham JE. Ultrasound guidelines for pediatric thyroid nodules: proceeding with caution. Pediatr Radiol . 2019;49(7):851-3.
Sapuppo G, Hartl D, Fresneau B, Hadoux J, Breuskin I, Baudin E, et al. Differentiated thyroid cancer in children and adolescents: Long term outcome and risk factors for persistent disease. Cancers (Basel). 2021;13(15):1-18.
Haugen BR, Alexander EK, Bible KC, Doherty GM, Mandel SJ, Nikiforov YE, et al. 2015 American Thyroid Association Management Guidelines for Adult Patients with Thyroid Nodules and Differentiated Thyroid Cancer: The American Thyroid Association Guidelines Task Force on Thyroid Nodules and Differentiated Thyroid Cancer. Thyroid . 2016;26(1):1-133.
Gupta A, Ly S, Castroneves LA, Frates MC, Benson CB, Feldman HA, et al. A Standardized assessment of thyroid nodules in children confirms higher cancer prevalence than in adults. 2015;98(August 2013):3238-45.
Sawicka B, Karny A, Bossowski F, Marcinkiewicz K, Borysewicz-sa H. Suspected malignant thyroid nodules in children and adolescents according to ultrasound elastography and ultrasound-based risk stratification systems Experience from one center. J Clin Med . 2022;11(7):1768.
Galuppini F, Vianello F, Censi S, Barollo S, Bertazza L, Carducci S, et al. Differentiated thyroid carcinoma in pediatric age: Genetic and clinical scenario. Front Endocrinol (Lausanne). 2019;10(August):1-11.
Financiamiento
Responsabilidades éticas
Confidencialidad de los datos. Los autores declaran que han seguido los protocolos de su centro de trabajo sobre la publicación de datos de pacientes.
Derecho a la privacidad y consentimiento informado. Derecho a la privacidad y consentimiento informado. Los autores han obtenido la aprobación del Comité de Ética para el análisis y publicación de datos clínicos obtenidos de forma rutinaria. El consentimiento informado de los pacientes no fue requerido por tratarse de un estudio observacional retrospectivo.
Uso de inteligencia artificial para generar textos. Los autores declaran que no han utilizado ningún tipo de inteligencia artificial generativa en la redacción de este manuscrito ni para la creación de figuras, gráficos, tablas o sus correspondientes pies o leyendas.
Notas de autor
*Correspondencia: Vanesa Oliva E-mail: vanesaolivab@gmail.com
Declaración de intereses