CARTA CIENTÍFICA
Síndrome de Mazabraud asociado con síndrome de McCune-Albright. Reporte de un caso
Mazabraud syndrome associated with McCune-Albright syndrome. Case report
Síndrome de Mazabraud asociado con síndrome de McCune-Albright. Reporte de un caso
Revista argentina de radiología, vol. 87, núm. 2, pp. 79-83, 2023
Sociedad Argentina de Radiología (SAR) y Federación Argentina de Diagnóstico por Imágenes y Terapia Radiante (FAARDIT)
Recepción: 04 Abril 2022
Aprobación: 18 Octubre 2022
Estimados editores:
El síndrome de Mazabraud es un raro desorden benigno que asocia displasia fibrosa y mixomas intramusculares, con solo 106 casos reportados hasta el año 20191,2. El síndrome de McCune-Albright es una condición esporádica, definida por la tríada de displasia fibrosa, manchas cutáneas de color café con leche y alteraciones endocrinas como menarca precoz3. La presencia simultánea de ambos síndromes constituye un evento aún más infrecuente, con solo 26 casos reportados en la literatura4,5.
Se presenta el caso clínico de una paciente de 70 años con bocio multinodular, hipertensión arterial y síndrome de McCune-Albright dado por menarca precoz a los seis años y displasia fibrosa. Acude a la consulta por tumoraciones indoloras en las partes blandas del brazo derecho y en la región glútea izquierda, por lo que se solicita resonancia magnética (RM) de las lesiones de partes blandas, radiologías de los miembros y tomografía computada (TC) de macizo facial para valorar las estructuras óseas.
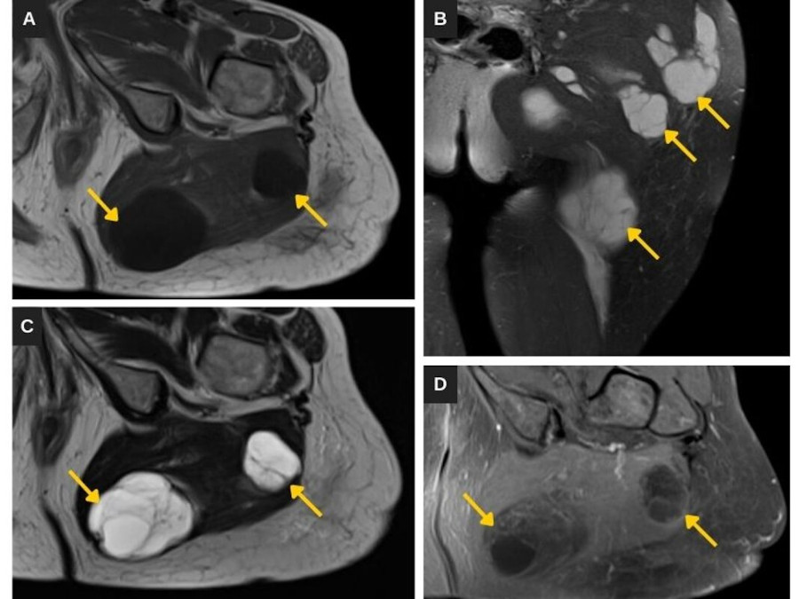
La RM muestra múltiples masas intramusculares en el brazo derecho (Fig. 1) y la región glútea izquierda (Fig. 2), de contornos netos, señal baja potenciada en T1 y alta en T2/STIR, y captación heterogénea del gadolinio.


La displasia fibrosa asocia deformidad ósea y fracturas patológicas (Fig. 3). Los estudios radiológicos ponen de manifiesto el patrón en densidad mixta, con sectores en vidrio deslustrado, expansión y festoneado endostal (Fig. 3). En la RM las lesiones presentan señal heterogénea potenciada en T1 y T2, con sectores quísticos y captación heterogénea del contraste (Fig. 4).


El equipo quirúrgico realiza la exéresis de las masas braquial y glútea de mayor tamaño. El estudio anatomopatológico revela proliferaciones de estirpe mesenquimática benignas, compuestas por células inmersas en una matriz mixoide con fibras de colágeno, rodeadas de una cápsula de tejido conjuntivo fibroso, compatibles con mixomas intramusculares, sin evidencia de malignidad. De esta manera se confirma el diagnóstico de síndrome de Mazabraud.
El primer caso de displasia fibrosa asociado a mixomas intramusculares fue descrito en 1926 por Henschen, pero la asociación entre ambas afecciones fue establecida por Mazabraud en 19676. El síndrome de McCune-Albright se describió originalmente en 19364. El síndrome de Mazabraud predomina en el sexo femenino y el síndrome de McCune-Albright afecta casi exclusivamente a niñas.
La displasia fibrosa implica reemplazo de la médula ósea por tejido fibroso anormal, resultando en fragilidad y deformidad ósea, generando dolor, fracturas patológicas y deterioro funcional7. Se ha detectado una mutación en el gen GNAS en el síndrome de McCune-Albright, en la displasia fibrosa y en los mixomas del síndrome de Mazabraud, lo cual podría sugerir un mecanismo causal similar5,6.
La displasia fibrosa en el síndrome de Mazabraud puede ser monostótica o poliostótica, siendo más frecuente esta última y a edades avanzadas, con curso más indolente1,2. En el síndrome de McCune-Albright, la displasia fibrosa suele ser poliostótica y extensa, con un curso más severo8. La transformación maligna de la displasia fibrosa a osteosarcoma puede presentarse en ambos síndromes, siendo el riesgo más alto para los pacientes con síndrome de Mazabraud que para aquellos con displasia fibrosa esporádica4,9.
Los mixomas intramusculares son neoplasias benignas mesenquimales infrecuentes, que consisten en fibras indiferenciadas con estroma mixoide. Su transformación maligna es extremadamente rara, siendo las localizaciones más comunes los brazos, la pared torácica, la región glútea y los muslos10. En el síndrome de Mazabraud, los mixomas pueden ser únicos o múltiples, y generalmente se encuentran en la misma región anatómica que los huesos afectados por la displasia fibrosa1.
Las técnicas de imagen son importantes para el diagnóstico y el seguimiento. Las radiografías y la TC de nuestro caso ponen de manifiesto los cambios óseos compatibles con displasia fibrosa: lesiones intramedulares, expansivas, de densidad mixta, con sectores en vidrio deslustrado característico de las lesiones fibrosas, que determinan festoneado endostal. En la RM presentan señal y captación heterogénea, predominantemente baja potenciada en T1 y de intermedia a alta en T2/STIR, con sectores quísticos. Si bien se evidencian deformidad ósea y fracturas patológicas como complicaciones de la displasia fibrosa, no se identifican signos sugestivos de transformación maligna.
Las masas intramusculares muestran las características típicas de mixomas por RM, que consisten en márgenes bien definidos, señal relativamente homogénea, baja en T1 y alta en T2/DP, y captación de contraste predominantemente periférica y central heterogénea. El realce periférico se debe a la presencia de abundantes vasos sanguíneos en la pseudocápsula, mientras que la captación central heterogénea se debe a septos fibrosos y tejido mixoide sólido10. Estas características, sumadas a la presentación clínica, su multiplicidad y la localización típica adyacente a la displasia fibrosa, permiten diferenciar los mixomas de otras lesiones quísticas de naturaleza más homogénea y de algunos sarcomas de partes blandas.
Como tratamiento de los mixomas, se opta por la exéresis cuando generan síntomas (dolor, compresión de estructuras nerviosas) y es importante el seguimiento, ya que pueden recurrir o aparecer nuevos1,6. La displasia fibrosa se maneja con bisfosfonatos, y la intervención quirúrgica se reserva para casos con riesgo de fractura o con fractura instalada1,2. Es de suma importancia su seguimiento, dado el mayor riesgo de transformación maligna en estas afecciones4,9.
Bibliografía
Jalan D, Jain P. Mazabraud’s syndrome a diagnosis commonly missed. J Orthop Case Rep. 2019;9:26-9.
Vescini F, Falchetti A, Tonelli V, Carpentieri M, Cipri C, Cosso R, et al. Mazabraud’s syndrome: a case report and up-to-date literature review. Endocr Metab Immune Disord Drug Targets. 2019;19:885-9.
Bousson V, Rey-Jouvin C, Laredo JD, Le Merrer M, Martin-Duverneuil N, Feydy A, et al. Fibrous dysplasia and McCune-Albright syndrome: imaging for positive and differential diagnoses, prognosis, and follow-up guidelines. Eur J Radiol. 2014;83:1828-42.
Biazzo A, Di Bernardo A, Parafioriti A, Confalonieri N. Mazabraud syndrome associated with McCune-Albright syndrome. Acta Biomed. 2017;88:198-200.
Kitagawa Y, Ishihara Y, Hayashi M, Kim Y, Fujii N, Ito H. Mazabraud syndrome associated with McCune-Albright syndrome. J Orthop Sci. 2011;16:129-32.
Majoor BCJ, van de Sande MAJ, Appelman-Dijkstra NM, Leithner A, Jutte PC, Vélez R, et al. Prevalence and clinical features of Mazabraud syndrome: a multicenter European study. J Bone Joint Surg Am. 2019;101:160-8.
Fitzpatrick KA, Taljanovic MS, Speer DP, Graham AR, Jacobsom JA, Barnes GR, et al. Imaging findings of fibrous dysplasia with histopathologic and intraoperative correlation. AJR Am J Roentgenol. 2004;182:1389-98.
Kushchayeva YS, Kushchayev SV, Glushko TY, Tella SH, Teytelboym OM, Collins MT, et al. Fibrous dysplasia for radiologists: beyond ground glass bone matrix. Insights Imaging. 2018;9:1035-56.
Multani I, Popovic S, Parasu N, Ghert M. Osteosarcomatous transformation in the setting of Mazabraud’s syndrome: a case report and review of the literature. Case Rep Orthop. 2019;10:1-5.
Iwasko N, Steinbach LS, Disler D, Pathria M, Hottya GA, Kattapuram S, et al. Imaging findings in Mazabraud’s syndrome: seven new cases. Skeletal Radiol. 2002;31:81-7.
Financiamiento
Responsabilidades éticas
Confidencialidad de los datos. Los autores declaran que han seguido los protocolos de su centro de trabajo sobre la publicación de datos de pacientes.
Derecho a la privacidad y consentimiento informado. Los autores han obtenido el consentimiento informado de los pacientes y/o sujetos referidos en el artículo. Este documento obra en poder del autor de correspondencia.
Notas de autor
*Correspondencia: Pamela S. Galetta-Paz E-mail: soledadgaletta@gmail.com
Declaración de intereses