CARTA CIENTÍFICA
Enfermedad de Creutzfeldt-Jakob: reporte de caso
Creutzfeldt-Jakob disease: case report
Recepción: 07 Septiembre 2022
Aprobación: 09 Febrero 2023
Estimados editores,
La enfermedad de Creutzfeldt-Jakob (ECJ) es una enfermedad neurodegenerativa transmisible, rápidamente progresiva y fatal, perteneciente al grupo de las enfermedades por priones. Su característica principal es la alteración de una proteína priónica normal ubicada en la membrana celular y la sinapsis (PrPc) por una proteína insoluble (PrPsc)1. Presenta una acumulación progresiva de placas amiloides extracelulares alrededor de las neuronas, provocando una degeneración espongiforme neuronal y posteriormente la muerte celular1. Existen tres formas de la enfermedad: esporádica, heredada y familiar. La más frecuente es la esporádica (85% de los casos) y usualmente se presenta entre los 45 y 75 años, se caracteriza por una demencia multifocal progresiva con mioclonías. La familiar se presenta generalmente antes de los 60 años y tiene un curso menos prolongado del síndrome demencial2,3; sus hallazgos electroencefalográficos e histológicos son similares a los que se describen en la forma esporádica. Finalmente, la forma iatrogénica corresponde al 1% y usualmente está asociada a tratamiento previo con hormonas derivadas de la glándula pituitaria o injertos de duramadre3,4.
El diagnóstico definitivo se basa en los hallazgos clínicos e histopatológicos4. Sin embargo, el uso de estudios complementarios también permite su diagnóstico con cierto grado de confianza5. Los criterios diagnósticos dividen la probabilidad de sufrir la enfermedad en tres categorías: definitivo, probable y posible (Tabla 1).
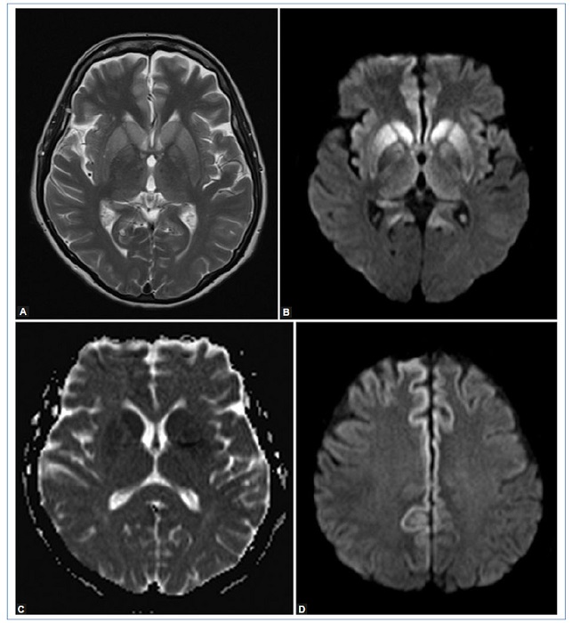
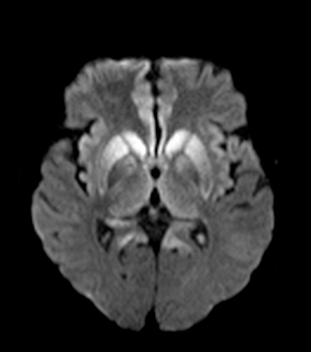
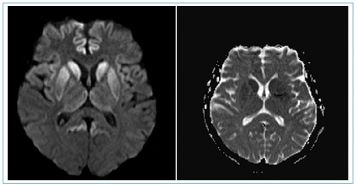
El uso de resonancia magnética (RM) en pacientes que presentan síntomas compatibles con la enfermedad aumenta la sensibilidad del diagnóstico hasta el 98%4. Los hallazgos característicos en esta consisten en hiperintensidad de la corteza cerebral y/o núcleos de la base, especialmente caudado y putamen. También se ha descrito el signo del pulvinar, que consiste en un aumento de señal simétrico en ambos núcleos pulvinares del tálamo con respecto a la corteza cerebral y la parte anterior del putamen; sin embargo, se pueden presentar falsos positivos. Otro signo descrito es el signo del “palo de hockey”, en el cual se observa un compromiso de los núcleos dorsomediales y pulvinares del tálamo3,4,5,6,7.
El objetivo de este caso es describir la importancia de los hallazgos imagenológicos por resonancia de la ECJ. Se hace énfasis en los signos descritos imagenológicos para llegar al diagnóstico, haciendo una correcta correlación con otros hallazgos de laboratorio, clínicos y electroencefalográficos, y así iniciar medidas de soporte al paciente que lo requiera.
Se describe un caso de una paciente de 64 años quien en un periodo de cuatro meses presenta: deterioro de su clase funcional, alteraciones de la memoria reciente, mareo, debilidad, trastorno en el ánimo, en el sueño, mioclonías, desorientación y dependencia en sus actividades diarias. Dentro de su examen neurológico presentaba hiperreflexia, episodios de dificultad para la emisión del lenguaje y desorientación con fluctuación en el estado de consciencia.
Se realizaron estudios sanguíneos para descartar causas infecciosas, metabólicas y autoinmunes, además del uso de RM cerebral contrastada y electroencefalograma (EEG), en el cual se reportó: “encefalopatía moderada, actividad epileptiforme frontal bilateral y descargas generalizadas periódicas de morfología trifásica, que sustentan fuertemente la hipótesis planteada de una ECJ”.
Se llegó al diagnóstico gracias a los hallazgos imagenológicos donde se pueden detallar los signos más comunes encontrados y descritos de la enfermedad en la literatura (hiperintensidad de los núcleos de la base, restricción a la difusión de los núcleos de la base, la corteza frontal y el giro del cíngulo y signo del “palo de hockey”) (Figs. 1,2y3), que junto con la clínica de la paciente y hallazgos en el EEG permitieron realizar el diagnóstico de ECJ.



En nuestro caso, los principales criterios diagnósticos fueron: el deterioro neurológico rápidamente progresivo, dos manifestaciones clínicas (mioclonías, compromiso de la vía piramidal), hallazgos típicos del EEG y de la RM cerebral, tratándose entonces de un caso probable de la enfermedad. Dentro de los diagnósticos diferenciales por RM están: enfermedad de Gerst mann-Sträussler-Scheinker2, encefalitis autoinmune, desmielinización osmótica, lesión cerebral hipóxica/ anóxica, encefalopatía hepática, encefalopatía hipoglucémica y enfermedad mitocondrial.
Hacemos énfasis en conocer los signos clásicos descritos de la enfermedad por RM, que en un contexto clínico y apoyado de otros estudios puede conducir a un diagnóstico certero de ECJ.
Los autores agradecen al Instituto Neurológico de Colombia.
*Correspondencia: Alexander Aguilar-Arias E-mail: alexaguilar92@gmail.com


