SIGNO RADIOLÓGICO
Signo del punto caliente
Hot spot sign
Recepción: 26 Agosto 2022
Aprobación: 03 Julio 2023
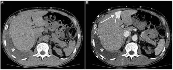
El signo del punto caliente se describe como un área de parénquima hepático de mayor captación de contraste endovenoso (Fig. 1), generado por la presencia de colaterales entre la vena cava superior (VCS) y la vena porta, debido a una obstrucción en el primer nivel mencionado. En 1989, fue inicialmente descripto por Yedlicka et al. en estudios de medicina nuclear con azufre-tecnecio99 como un área de mayor captación del trazador1.
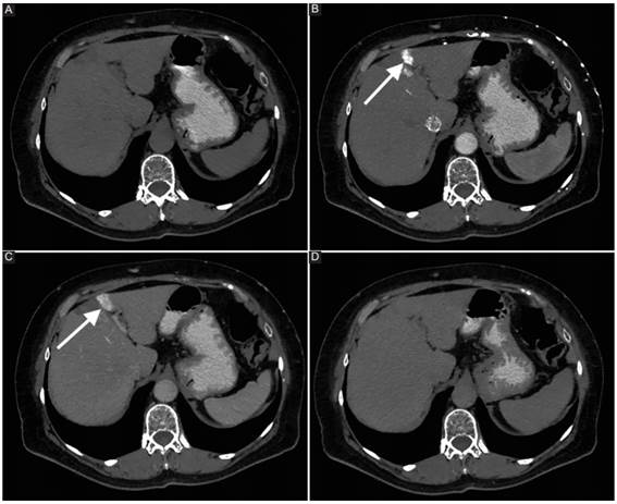
El área hipercaptante o hiperdensa se puede observar tanto en medicina nuclear como en tomografía computada (TC) con contraste endovenoso, y corresponde a un segmento hepático de mayor circulación debido a un mayor flujo sanguíneo a dicho nivel. La imagen en TC se describe como una zona de hiperdensidad en la fase arterial con forma de cuña, que lava parcialmente y se muestra levemente hiperdensa o isodensa en fase venosa (Fig. 2). Esto se explica por la generación de venas colaterales secundarias a la obstrucción del flujo venoso en la VCS con un shunt porto-sistémico. El sentido de dicho shunt generalmente se origina en la VCS, pasando por el sistema mamario interno hacia la vena umbilical recanalizada, y desde allí al sistema portal, generando el signo en cuestión2. De esta manera, se entiende que la hiperdensidad observada en la fase con contraste endovenoso se encuentra anatómicamente en el segmento correspondiente a la vena umbilical izquierda y las ramas izquierdas de la vena porta.


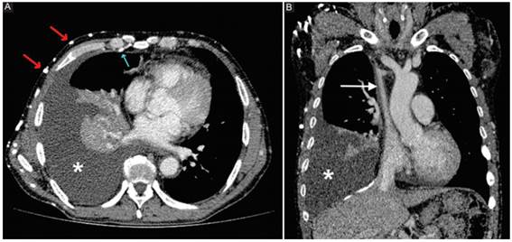
Es útil la visualización de las venas colaterales generadas en otros sectores, así como la comunicación existente entre el sistema de drenaje venoso superior y el sistema porta, a fin de descartar otras posibilidades diferentes a una obstrucción de la VCS (Fig. 3).
Las lesiones hepáticas hipervasculares podrían simular el signo del punto caliente; sin embargo, la presencia de vasos colaterales, la localización más frecuente en el segmento IV hepático y el realce característico en forma de cuña en las fases arterial y portal deben sugerir el diagnóstico de obstrucción venosa central3.
En un estudio retrospectivo, Baba et al. describen la visualización del signo del punto caliente en el 21% de los pacientes con síndrome de VCS estudiados por TC4. Si bien cualquier entidad que genere obstrucción de la VCS puede producir dicho signo, las causas más frecuentes incluyen: timoma invasivo, carcinoma broncogénico, linfoma y adenopatías metastásicas. Con menor frecuencia, debemos recordar al síndrome de Budd-Chiari, abscesos hepáticos, hemangiomas, aneurisma de aorta, hiperplasia nodular focal, hepatocarcinoma y trombosis venosa como posibles causas del mismo. Cabe mencionar que el primero manifiesta el signo del punto caliente en el lóbulo caudado5.

Resulta importante conocer el signo del punto caliente para no confundirlo con lesiones hipervasculares hepáticas. Además, es altamente especifico de obstrucción de la VCS, incluso en pacientes sin clínica sugestiva de la misma.
En ocasiones, el desarrollo de circulación colateral precede a los síntomas clínicos, siendo en estos casos su hallazgo fundamental para orientar el diagnóstico, especialmente en aquellos pacientes donde no se obtuvieron imágenes torácicas, sino solo abdominales.
A la doctora Jimena Mariano, médica de planta del Servicio de Diagnóstico por imágenes en el Hospital Interzonal General de Agudos San Martín de La Plata, por su colaboración en la realización del presente trabajo.
Confidencialidad de los datos. Los autores declaran que han seguido los protocolos de su centro de trabajo sobre la publicación de datos de pacientes.
Derecho a la privacidad y consentimiento informado. Los autores han obtenido el consentimiento informado de los pacientes y/o sujetos referidos en el artículo. Este documento obra en poder del autor de correspondencia.
Uso de inteligencia artificial para generar textos. Los autores declaran que no han utilizado ningún tipo de inteligencia artificial generativa en la redacción de este manuscrito ni para la creación de figuras, gráficos, tablas o sus correspondientes pies o leyendas.
*Correspondencia: Camila Cicchino E-mail: camicicchino@hotmail.com


