SIGNO RADIOLÓGICO
Signo de la Pokebola
Pokeball sign
Signo de la Pokebola
Revista argentina de radiología, vol. 87, núm. 4, pp. 179-181, 2023
Sociedad Argentina de Radiología (SAR) y Federación Argentina de Diagnóstico por Imágenes y Terapia Radiante (FAARDIT)
Recepción: 11 Enero 2023
Aprobación: 18 Septiembre 2023
Publicación: 28 Noviembre 2023
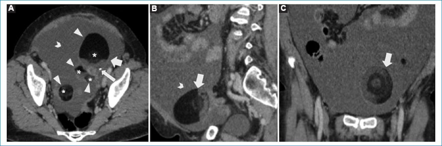
El signo de la Pokebola describe las características morfológicas que adopta el teratoma quístico maduro de ovario (TQMO) evocando la apariencia de este elemento en las imágenes por tomografía computada multidetector (TCMD) y resonancia magnética (RM). Este hallazgo es patognomónico de esta entidad; sin embargo, se debe tener en consideración su baja sensibilidad (20-30%), conformando solo una parte del espectro de sus características imagenológicas1.
El TQMO es el tipo más frecuente de los tumores de células germinales, la mayoría son de naturaleza benigna y predomina en mujeres de 20 a 30 años de edad. Está formado por derivados de al menos dos de las tres capas de células germinales (ectodermo, mesodermo y endodermo), por lo que en su composición podría encontrarse una variedad de estructuras (pelo, piel, grasa, hueso, tejido cartilaginoso y dientes), manifestando así sus características radiológicas. Generalmente son hallazgos incidentales y raramente podrían revelarse con un cuadro de abdomen agudo debido a su predisposición de complicarse con torsión y rotura2.
La Pokebola se menciona en la serie japonesa Pokémon®, se utiliza para capturar y transportar Pokémons. Este objeto tiene una configuración ovoide, separado en dos mitades de diferente color, una superior de color rojo y otra inferior de color blanco, generando un límite entre ambos correspondiente al nivel líquido-grasa del TQMO, en cuyo punto central se dispone un botón redondo de color blanco, equivalente al nódulo de Rokitansky que aparenta flotar dentro del quiste3.
La TCMD es una técnica de alta sensibilidad diagnóstica de esta forma de presentación, mostrando un quiste con interfaz líquido-grasa con una imagen central con densidad de partes blandas en relación con el nódulo de Rokitansky o tapón dermoide, y en algunos casos con calcificaciones intratumorales (Fig. 1). A su vez, la grasa contenida en estas lesiones puede ser visualizada en RM con aumento de señal en secuencias ponderadas en T1 y con caída de la señal en las secuencias con saturación grasa. Algunas veces pueden resultar de ayuda las secuencias GRE debido al bajo contenido lipídico intracelular4.

En 1991, es Muramatsu quien por primera vez realiza una analogía de esta forma de presentación, denominándola “signo de la bola flotante”. Posterior al estreno de la serie Pokémon, esta presentación también comienza a ser conocida como el “signo de la Pokebola”1,3 (Fig. 2).

Los diagnósticos diferenciales podrían plantearse ante imágenes ováricas con similar composición, debiendo distinguirse especialmente de un quiste hemorrágico con un coágulo de sangre en su interior, endometrioma ovárico, cistoadenoma seroso o mucinoso de ovario5.
Si bien el signo de la Pokebola presenta baja sensibilidad diagnóstica debido a las múltiples presentaciones del TQMO, su reconocimiento resulta de gran interés al ser patognomónico de esta entidad, contribuyendo a mejorar el índice diagnóstico y a diferenciarla de otras lesiones con similar composición, especialmente por su contenido adiposo.
Bibliografía
Giambelluca D, Caruana G, Cannella R. The PokéBall sign in mature ovarian cystic teratoma. Abdom Radiol (NY). 2021;46(1):396-7.
Saba L, Guerriero S, Sulcis R, Virgilio B, Melis G, Mallarini G. Mature and immature ovarian teratomas:CT, US and MR imaging characteristics. Eur J Radiol. 2009;72(3):454-63.
Sahin H, Akdogan AI, Ayaz D, Karadeniz T, Sanci M. Utility of the "floating ball sign"in diagnosis of ovarian cystic teratoma. Turk J Obstet Gynecol. 2019;16(2):118-23.
Outwater EK, Siegelman ES, Hunt JL. Ovarian teratomas:tumor types and imaging characteristics. Radiographics. 2001;21(2):475-90.
Pereira JM, Sirlin CB, Pinto PS, Casola G. CT and MR imaging of extrahepatic fatty masses of the abdomen and pelvis:techniques, diagnosis, differential diagnosis, and pitfalls. Radiographics. 2005;25(1):69-85.
Notas
Notas de autor
*Correspondencia: Daniel Uribe-Blanco. E-mail: daniuribe1995@gmail.com
Declaración de intereses