Servicios
Descargas
Buscar
Idiomas
P. Completa
Vesícula biliar suprahepática. Reporte de caso
Karla S. Benavides-Lozano; Omar E. González-Vega
Karla S. Benavides-Lozano; Omar E. González-Vega
Vesícula biliar suprahepática. Reporte de caso
Suprahepatic gallbladder. Case report
Revista argentina de radiología, vol. 88, no. 3, pp. 128-130, 2024
Sociedad Argentina de Radiología (SAR) y Federación Argentina de Diagnóstico por Imágenes y Terapia Radiante (FAARDIT)
resúmenes
secciones
referencias
imágenes
Carátula del artículo

CARTA CIENTÍFICA

Vesícula biliar suprahepática. Reporte de caso

Suprahepatic gallbladder. Case report

Karla S. Benavides-Lozano
Hospital General Alfredo Pumarejo de H., Matamoros, México
Omar E. González-Vega
Hospital General Alfredo Pumarejo de H., Matamoros, México
Revista argentina de radiología, vol. 88, no. 3, pp. 128-130, 2024
Sociedad Argentina de Radiología (SAR) y Federación Argentina de Diagnóstico por Imágenes y Terapia Radiante (FAARDIT)

Received: 12 March 2023

Corrected: 28 August 2024

Accepted: 13 December 2023

Estimados Editores:

Presentamos el caso de un paciente con diagnóstico de cáncer de mama derecha triple negativo, para el cual se solicita estudio de extensión para estadificación. Se realizó tomografía (TC) de tórax y abdomen simple identificando la vesícula biliar de situación suprahepática (Figs. 1 y 2) asociado a hipoplasia del lóbulo derecho (Fig. 3), así como escaso líquido perivesicular (Fig. 4); no hay lesiones hepáticas que sugieran actividad metastásica. En el resto del estudio no se identificaron alteraciones, ni variantes anatómicas.


Figura 1
TC de abdomen simple en corte coronal a nivel hepático. Se identifica la posición suprahepática de la vesícula biliar.


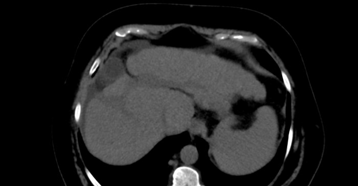
Figura 2
TC de abdomen simple en corte axial. Se observa la vesícula biliar ectópica asociada a escaso líquido libre perihepático.


Figura 3
TC de abdomen corte sagital. Se observa la hipoplasia hepática del lóbulo derecho.


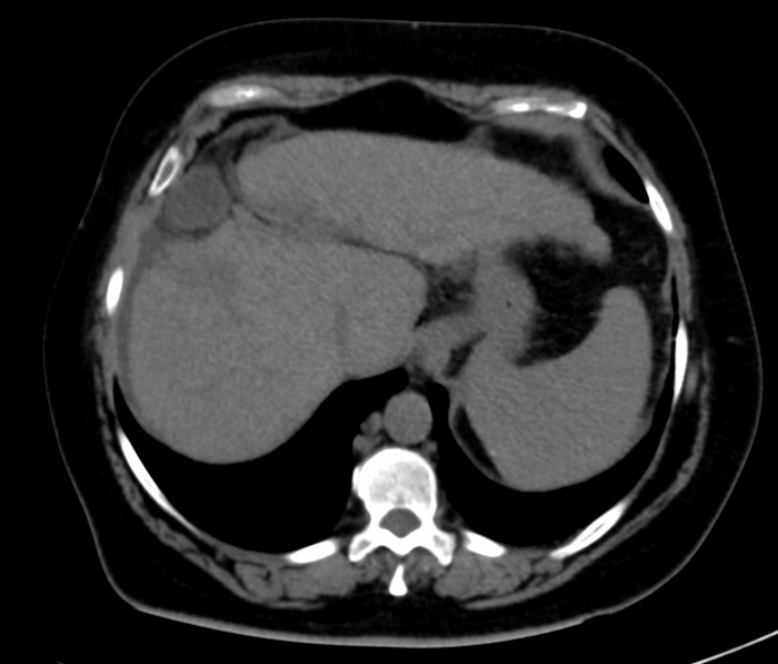
Figura 4
TC de abdomen simple en corte axial. Se observa la vesícula biliar ectópica y liquido perihepático.

Las anomalías congénitas de la vesícula biliar incluyen su ausencia completa, hipoplasia y atresia, duplicación (que incluye vesículas biliares septadas y bilobuladas) y ectopias (intrahepáticas, retrohepáticas y otras)1,2,3. La vesícula biliar suprahepática es un tipo muy inusual, encontrando muy pocos casos reportados en la literatura4,5,6,7.

Las ectopias vesiculares presentan una incidencia del 0,1-0,7%, se pueden localizar de lado izquierdo, posicionado transversalmente, retroperitoneal o flotante. La vesícula biliar ectópica también ha sido reportada en el epiplón menor, el área retroduodenal, ligamento falciforme, dentro de los músculos de la pared abdominal y dentro del tórax8,9.

La localización suprahepática es la más infrecuente de las ectopias vesiculares (0,026-0,7%) y se asocia con un desarrollo anormal del lóbulo hepático derecho como la agenesia, hipoplasia o atrofia10; esto debido a la estrecha conexión embriológica entre el mesenterio ventral (y el hígado) y el brote duodenal, que es el precursor de la vesícula biliar desde la séptima semana2.

En cuanto a las manifestaciones clínicas, se puede crear confusión; si está situado lejos del peritoneo, los signos típicos de la colecistitis aguda pueden estar ausentes. Una vesícula flotante suspendida de un mesenterio largo y libremente desde el lecho hepático, es susceptible a torsión y como consecuencia compromiso vascular. De igual forma los movimientos peristálticos de cámara gástrica, duodeno y el colon transverso pueden predisponer una torsión y/o hernia a través del foramen de Winslow, que es una de las complicaciones de una vesícula biliar flotante11,12.

Las modalidades de ultrasonografía, TC y resonancia magnética (RM) son los estudios de imagen que identifican una vesícula biliar ectópica13. En los casos que utilizaron TC, todas las vesículas biliares ectópicas fueron identificadas14,15,16,17.

Los hallazgos de TC que incluyen la elevación de la flexión cólica derecha y la vena cava inferior expuesta desde el lóbulo caudado en la unión de la vena hepática pueden sugerir vesícula biliar suprahepática18. La colangiorresonancia confirma el diagnóstico y caracteriza la anomalía19.

En relación con nuestro caso se identificaron características adicionales que sustentan el diagnóstico radiológico de vesícula biliar ectópica, como es la elevación de la flexura cólica derecha, hipoplasia de lóbulo derecho y exposición de la vena cava inferior desde el lóbulo caudado; dándonos como resultado una de las ectopias más inusuales que se presentan en la vesícula biliar. En cuanto al diagnóstico de base de nuestro caso, no se identificaron alteraciones en la función hepática, ni actividad metastásica hepática, ni a distancia.

Es fundamental mencionar que únicamente se logra diagnosticar estas anomalías de posición y variantes anatómicas por medio de los estudios de imagen como la TC y la RM, ya que presentan alta especificidad (en comparación con la ecografía) para el diagnóstico clínico.

Es imprescindible el conocimiento anatómico y radiológico para diagnosticar las anomalías y/o variantes anatómicas de nuestra fisionomía.

Supplementary material
Agradecimientos

Los autores agradecen a sus profesores por la enseñanza y tiempo dedicado, y al hospital por permitirles el desarrollo profesional.

Gross RE. Congenital anomalies of the gallbladder:Review of 148 cases, with report of double gallbladder. Arch Surg. 1936;32:131-62.
Flannery MG, Caster MP. Congenital abnormalities of the gallbladder:101 cases. Int Abstr Surg. 1956;103:439-57.
Hatfield PM, Wise RE. Development and variations of the gallbladder and bile ducts. En: Hatfield PM, Wise RE, editores. Radiology of the gallbladder and bile ducts. Baltimore, Williams &Wilkins;1976. pp:1-39.
Anderson RD, Connell TH, Lowman RM. Inversion of the liver and suprahepatic gallbladder associated with eventration of the diaphragm. Radiology. 1970;97:87-8.
Dever RC. Suprahepatic gallbladder with torsion and gangrene. J Fla Med Assoc. 1968;55:531.
Regen JF, Poindexter A. Suprahepatic position of the gallbladder:Report of an unusual case. Arch Surg. 1965;90:175-6.
Ferguson ED. Surgical malposition of the gallbladder. Am Med. 1901;2:992-3.
Meilstrup JW, Hopper KD, Hieme GA. Imaging of gall bladder variants. Am J Roentgenol. 1991;152:1205.
Haaga JR, Herbener TE. The gall bladder and biliary tract. CT and MR of Imaging of the whole body. 4th ed. Missouri: Mosby; 2003. pp. 1341-94.
Naganuma S. Sonographic findings of anomalous position of the gallbladder. Abdom Imaging. 1998;23(1):67-72.
Hessey JA, Halpin L, Simo KA. Suprahepatic gallbladder. J Gastrointest Surg. 2015;19:1382-4.
Blanton DE, Bream CA, Mandel SR. Gall bladder ectopia:A review of anomalies of position. Am J Roentgenol. 1974;121:396.
Rather TA. A rare case of suprahepatic gall bladder with phocomelia and pancytopenia:detected by tc-99 m mebrofenin scintigraphy. World J Nucl Med. 2013:12(1):41-4.
Hibbs H, Ahmad U. Inverted liver with suprahepatic, anteriorl displaced gallbladder. J La State Med Soc. 2010;162(3):150-2.
Leekam RN, Ilves R, Shankar L. Inversion of gallbladder secondary to traumatic herniation of liver:CT findings. J Comput Assist Tomogr. 1987;11(1):163-4.
Youngwirth LD, Peters JC, Perry MC. The suprahepatic gallbladder. An unusual anatomical variant. Radiology. 1983;149(1):57-8.
Hopper KD. Hepatic inversion with an epigastric gallbladder. Gastrointest Radiol. 1988;13(4):355-7.
Sheu BS. Suprahepatic gallbladder and right lobe anomaly of the liver in patients with biliary cancers. DigDis Sci. 1995;40(11):2411-6.
Singh A, Holmes RA, Witten DM. Scintigraphic demonstration of a gallbladder anomaly. AJR Am J Roentgenol. 1985;144(1):77-8.
Notes
Financiamiento
Los autores declaran no haber recibido financiamiento para este estudio.
Responsabilidades éticas
Protección de personas y animales. Los autores declaran que para esta investigación no se han realizado experimentos en seres humanos ni en animales.
Confidencialidad de los datos. Los autores declaran que en este artículo no aparecen datos de pacientes.
Derecho a la privacidad y consentimiento informado. Los autores han obtenido la aprobación del Comité de Ética para el análisis y publicación de datos clínicos obtenidos de forma rutinaria. El consentimiento informado de los pacientes no fue requerido por tratarse de un estudio observacional retrospectivo.
Uso de inteligencia artificial para generar textos. Los autores declaran que no han utilizado ningún tipo de inteligencia artificial generativa en la redacción de este manuscrito ni para la creación de figuras, gráficos, tablas o sus correspondientes pies o leyendas.
Conflict of interest declaration
Conflicto de intereses Los autores declaran no tener conflicto de intereses.
Author notes

*Correspondencia: Karla S. Benavides-Lozano. E-mail: lozano020890@hotmail.com


Figura 1
TC de abdomen simple en corte coronal a nivel hepático. Se identifica la posición suprahepática de la vesícula biliar.

Figura 2
TC de abdomen simple en corte axial. Se observa la vesícula biliar ectópica asociada a escaso líquido libre perihepático.

Figura 3
TC de abdomen corte sagital. Se observa la hipoplasia hepática del lóbulo derecho.

Figura 4
TC de abdomen simple en corte axial. Se observa la vesícula biliar ectópica y liquido perihepático.
Buscar:
Contexto
Descargar
Todas
Imágenes
Scientific article viewer generated from XML JATS by Redalyc