CARTA CIENTÍFICA
Received: 07 December 2022
Accepted: 11 March 2024
Published: 28 August 2024
Estimados Editores:
El antígeno de membrana específico de la próstata (PSMA), una glucoproteína transmembrana de tipo II, se sobreexpresa en la superficie de las células del adenocarcinoma prostático y tiene relevancia tanto diagnóstica como terapéutica. Por esto se ha establecido la tomografía con emisión de positrones (PET)-PSMA en la detección del cáncer de próstata metastásico, así como en regímenes de terapia con radioligandos basados en PSMA1.
Asimismo, otros tumores sólidos como el carcinoma de células renales mostraron una mayor captación de PSMA. En el adenocarcinoma de páncreas también se evidenció que la expresión aumentada de PSMA se asocia con una mayor agresividad tumoral en términos de proliferación de células y crecimiento tumorales2.
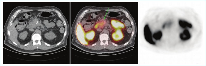
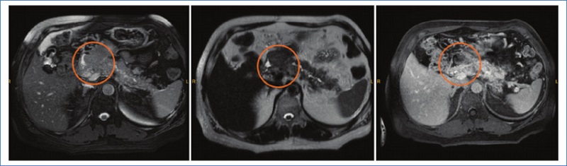
Se presenta el caso de un paciente de 62 años, con antecedente de alergia al contraste iodado, que consulta por ascenso paulatino de su antígeno prostático específico (PSA), presentando en el analítico sanguíneo un valor de 10,70 ng/ml. Se realizó una resonancia magnética (RM) multiparamétrica, la cual mostró una lesión PIRADS 4 de 15 mm localizada en el ápex derecho de la próstata en la región fibromuscular anterior. Se solicitó una biopsia de próstata que informó adenocarcinoma de próstata score de Gleason 6. Se estadificó enfermedad prostática con 18F-PET-PSMA-1007, cuyo informe reveló captación heterogénea del radio trazador con un SUVmáx de 4 en la región anterior de la próstata. Además, se observó una lesión en la porción cefálica de la glándula pancreática la cual mostró una moderada captación del trazador con un SUVmáx de 4,5 acompañada de dilatación del conducto pancreático principal (Fig. 1). Dado su antecedente de alergia al contraste iodado, se solicitó una RM de abdomen, donde se visualizó una formación en el páncreas, isointensa en secuencias ponderadas en T2 e hipoisointensa en secuencias ponderadas en T1, la cual se localizaba en la cabeza generando una compresión del conducto pancreático común (Fig. 2). Además, se constató elevación del marcador tumoral Ca 19.9, por lo cual se solicitó biopsia guiada por ecografía endoscópica, la cual informó la presencia de un adenocarcinoma moderadamente diferenciado de páncreas. Actualmente el paciente se encuentra en vigilancia activa por su adenocarcinoma de próstata y realizando quimioterapia neoadyuvante para una eventual duodenopancreatectomía.


El cáncer de páncreas tiene una incidencia aproximada de 53.000 casos por año, con más de la mitad de los pacientes con enfermedad metastásica en el momento del diagnóstico. La supervivencia a cinco años se estima en solo el 8%3.
Chang realizó un estudio comparando los perfiles inmunohistoquímicos de cinco anticuerpos monoclonales anti-PSMA, mostrando que estos anticuerpos no solo se sobreexpresaron en el adenocarcinoma de próstata, sino que también se expresaban fuertemente en la neovasculatura de las neoplasias malignas como el carcinoma renal de células claras, el carcinoma de células de transición de la vejiga urinaria, el adenocarcinoma de colon, el glioblastoma multiforme, melanoma, carcinoma de pulmón de células no pequeñas y adenocarcinoma ductal de páncreas4.
Ren identificó la distribución de PSMA en el cáncer de páncreas con prueba de inmunohistoquímica en muestras de adenocarcinoma pancreático y tejido pancreático normal, constatando que no hubo expresión de PSMA en las muestras de páncreas normales. Por el contrario, la expresión de PSMA fue alta en las muestras de adenocarcinoma pancreático. De las 147 muestras de adenocarcinoma pancreático detectadas, solo el 16% no expresaron PSMA2. Además, este autor analizó la relación entre la expresión de PSMA y el pronóstico, constatando una relación significativa entre la expresión de PSMA y la supervivencia general (p = 0,034). Asimismo, el tiempo de supervivencia general de los pacientes con adenocarcinoma pancreático con alta expresión de PSMA fue significativamente más corto que el paciente con expresión débil de PSMA (p = 0,01)2.
En los últimos años, se ha comprobado que el PSMA también se expresa en el endotelio de la neovasculatura asociada a tumores de cáncer de mama, pulmón, tiroides, urotelial y pancreático, donde su actividad enzimática puede estar implicada en la neoangiogénesis impulsada por la malignidad. De hecho, el PSMA podría formar parte de un bucle autorregulador que involucra la integrina β1 y la cinasa 1 activada por p21 (PAK1), facilitando la invasión de células endoteliales a través de la matriz extracelular (ECM) al interactuar con el citoesqueleto mediante la señalización de la integrina y la proteína de unión a actina filamina A5.
Actualmente la PET-FDG (con fluorodesoxiglucosa) no se utiliza en el diagnóstico inicial del adenocarcinoma pancreático, ya que este no permite diferenciar las enfermedades inflamatorias del páncreas de los procesos tumorales malignos y debido a esto la tomografía axial computada (TC) con protocolo pancreático de fase dual es la herramienta de imagen de elección en el diagnóstico de un tumor pancreático6. El uso de la PET-FDG se puede considerar luego del protocolo formal de TC pancreática en pacientes de riesgo alto (enfermedad resecable limítrofe, CA 19,9 marcadamente elevado, tumor primario grande, ganglios regionales grandes) y para la detección de metástasis extrapancreáticas7.
La RM, por otro lado, facilita la detección de tumores en una fase más temprana, proporcionando un análisis exhaustivo de los cambios morfológicos en el parénquima del páncreas y el conducto pancreático. Además, la RM es valiosa en pacientes con insuficiencia renal o sensibilidad al contraste yodado en el diagnóstico de formaciones pancreáticas8.
En este caso de reporte se presenta a un paciente con diagnóstico de adenocarcinoma de próstata en el cual en su estadificación con PET-PSMA incidentalmente se evidenció una lesión que fue compatible con un adenocarcinoma pancreático. Si bien esta modalidad aún no se utiliza sistemáticamente en el diagnóstico del adenocarcinoma pancreático, creemos que la presentación de este caso puede ser el punto de partida para investigaciones con un mejor diseño que valoren este novel ligando para el diagnóstico de los tumores pancreáticos.
Bibliografía
Bühler P, Wolf P, Elsässer-Beile U. Targeting the prostate-specific membrane antigen for prostate cancer therapy. Immunotherapy. 2009;1(3):471-81.
Ren H, Zhang H, Wang X, Liu J, Yuan Z, Hao J. Prostate-specific membrane antigen as a marker of pancreatic cancer cells. Med Oncol. 2014;31(3):857.
Salas Fragomeni RA, Amir T, Sheikhbahaei S, Harvey SC, Javadi MS, Solnes LB, et al. Imaging of nonprostate cancers using PSMA-targeted radiotracers:rationale, current state of the field, and a call to arms. J Nucl Med. 2018;59(6):871-7.
Chang SS, Reuter VE, Heston WD, Bander NH, Grauer LS, Gaudin PB. Five different anti-prostate-specific membrane antigen (PSMA) antibodies confirm PSMA expression in tumor-associated neovasculature. Cancer Res. 1999;59(13):3192-8.
Conway RE, Petrovic N, Li Z, Heston W, Wu D, Shapiro LH. Prostate-specific membrane antigen regulates angiogenesis by modulating integrin signal transduction. Mol Cell Biol. 2006;26(14):5310-24.
Tang S, Huang G, Liu J, Liu T, Treven L, Song S, et al. Usefulness of 18F-FDG PET, combined FDG-PET/CT and EUS in diagnosing primary pancreatic carcinoma:a meta-analysis. Eur J Radiol. 2011;78(1):142-50.
Ghidini M, Vuozzo M, Galassi B, Mapelli P, Ceccarossi V, Caccamo L, et al. The role of positron emission tomography/computed tomography (PET/CT) for staging and disease response assessment in localized and locally advanced pancreatic cancer. Cancers (Basel). 2021;13(16):4155.
Lee ES, Lee JM. Imaging diagnosis of pancreatic cancer:a state-of-the-art review. World J Gastroenterol. 2014;20(24):7864-77.
Financiamiento
Responsabilidades éticas
Author notes
*Correspondencia: Patricio Modina. E-mail: patricio.emodina@hotmail.com
Conflict of interest declaration