ARTÍCULO ORIGINAL
Received: 16 July 2023
Accepted: 28 June 2024
Published: 27 November 2024
DOI: https://doi.org/10.24875/RAR.23000041
Resumen
Introducción: La radiología, especialmente la ecografía, está ganando importancia en el campo de la medicina estética, facilitando la evaluación anatómica de los pacientes antes de procedimientos inyectables, ayudando en el diagnóstico de complicaciones y en la identificación de materiales de relleno. Existen variantes anatómicas que pueden aumentar el riesgo de complicaciones, además muchos pacientes no recuerdan qué materiales han sido inyectados previamente. Este trabajo busca evaluar la utilidad de la ecografía en la toma de decisiones terapéuticas y compartir la experiencia de los autores con pacientes entre 2021 y 2023.
Objetivo: Describir los hallazgos ecográficos de una serie de pacientes que se realizaron ecografía facial Doppler por indicación de su médico estético y evaluar cómo incide en la toma de decisión terapéutica.
Método: Este trabajo fue aprobado por el Comité de Ética. Estudio prospectivo descriptivo analítico de una cohorte de pacientes atendidos entre 2021 y 2023. Se incluyeron pacientes que se realizaron ecografía facial antes o después de un procedimiento inyectable. Se determinó cómo incidió la ecografía en la selección del tratamiento estético. Datos y variables se analizaron mediante Stata Statistical Software Release14 (College Station, TX: StataCorpLP).
Resultados: Se estudiaron 83 pacientes, 53 se realizaron ecografía para planificar un procedimiento (grupo 1) y 30 por complicaciones (grupo 2). Del grupo 1, 24 (45,2%) no presentaban rellenos previos, 15 (28,3%) ácido hialurónico y 14 (26,4%) rellenos permanentes. Doce presentaron variantes anatómicas. Del grupo 2, 14 sufrieron complicaciones agudas y 16 crónicas. El informe ecográfico condicionó un cambio en la terapéutica del médico estético en el 74% de los pacientes.
Conclusión: La ecografía facial otorgó información fundamental para la planificación de los tratamientos estéticos y condicionó un cambio en la conducta terapéutica en la mayor parte de la población estudiada.
Palabras clave: Ecografía, Facial, Estética.
Abstract
Introduction: Radiology, especially ultrasound, is gaining importance in the field of aesthetic medicine, facilitating the anatomical evaluation of patients prior to injectable procedures, assisting in the diagnosis of complications, and identifying filler materials.There are anatomical variations that can increase the risk of complications, and many patients do not remember which materials have been injected previously. This work aims to evaluate the utility of ultrasound in therapeutic decision-making and to share the authors’ experience with patients between 2021 and 2023.
Objective: To describe ultrasound findings in patients that had a facial Doppler ultrasound study referred by an aesthetic physician and to evaluate how it influenced the therapeutic decision.
Method: This study was approved by the institutional Ethics medical Committee. It is a prospective, descriptive, analytical study of a patient cohort assessed between 2021 and 2023.The study includes patients who had a facial ultrasound referred by their aesthetic physician, either before or after injectable treatments. The influence of ultrasound findings on treatment selections was considered. Data were analyzed using Stata Statistical Software Release 14 (College Station, TX: StataCorp LP).
Results: A total of 83 patients were studied. Fifty-three patients underwent a facial ultrasound before planning an injectable treatment (group 1), while 30 patients underwent facial ultrasound due to complications related to injectables (group 2). In group 1, 24 patients (45.2%) had no previous fillers, 15 (28.3%) had hyaluronic acid fillers, and 14 (26.4%) had permanent fillers. Twelve patients (22.6%) presented anatomical variations. In group 2, 14 patients (46.6%) had acute complications and 16 (53.3%) had chronic complications. Based on these results, ultrasound findings changed the therapeutic decision in 74% of the cases (62 patients).
Conclusion: Facial ultrasound provided crucial information for aesthetic treatment planning and altered the treatment approach in the majority of the patients studied.
Keywords: Ultrasound, Facial, Aesthetics.
Introducción
La radiología está cobrando cada vez más relevancia para la valoración de pacientes en el ámbito de la medicina estética, para darnos información de la anatomía individual de los pacientes en tiempo real, para la evaluación previa a la realización de procedimientos mínimamente invasivos, caracterizar materiales de relleno previamente inyectados, para la guía de procedimientos inyectables y para el diagnóstico de complicaciones1,2.
Se ha observado un incremento en el número de procedimientos inyectables en el campo de la estética en el último tiempo, y con ello el aumento de complicaciones3. Asimismo, los avances tecnológicos y académicos en este campo requieren que la radiología acompañe su evolución, brindando diagnósticos más certeros.
Los tratamientos estéticos inyectables se pueden distribuir en diferentes planos anatómicos, desde los más superficiales intradérmicos a los más profundos supraperiósticos, y entre ambos una infinidad de localizaciones, aún en continuo desarrollo y estudio. A su vez, existen diferentes formas de colocar un material de relleno, ya sea en bolo, en retroinyección, etc.4.
Las técnicas y planos de inyección de estos materiales se rigen bajo “normalidades” anatómicas que se han descrito en la mayor parte de la población5. Sin embargo, se encuentran variantes anatómicas que incrementan el riesgo de complicaciones, por aumentar el riesgo de una inyección intravascular del producto, por compresión vascular extrínseca, por obtener resultados subóptimos y hasta que podrían contraindicar una técnica específica.
Asimismo, la presencia de ciertos materiales de relleno inyectados con anterioridad en la región que se desea tratar podría contraindicar la inyección de nuevos materiales6. Este es el caso de los materiales no biodegradables (permanentes), incluyendo la silicona libre, que fuera ampliamente utilizada hace algunos años. Muchos pacientes no recuerdan o desconocen qué tipo de material tienen inyectado.
Generalmente, el diagnóstico de las complicaciones relacionadas con procedimientos estéticos suele realizarse mediante un examen físico, resultando en algunas ocasiones en tratamientos innecesarios o inespecíficos.
El objetivo de este trabajo es determinar la utilidad del aporte ecográfico en el área de la medicina estética, evaluar cómo incide en la toma de decisión terapéutica y describir la experiencia de los autores en una serie de pacientes atendidos entre los años 2021 y 2023.
Método
Este trabajo fue aprobado por el Comité de Ética médica institucional.
Se trata de un estudio prospectivo descriptivo analítico de una cohorte de pacientes atendidos entre diciembre de 2021 y febrero de 2023. Se incluyeron pacientes que se realizaron ecografía facial por indicación de su médico estético, ya fuera antes o después de un procedimiento inyectable.
Se utilizaron ecógrafos Philips, Wisonic y Clarius con transductores de alta frecuencia (mayor a 15 MHz), en todos los estudios se incluyó análisis Doppler; los estudios ecográficos fueron realizados por un médico especialista en Diagnóstico por Imágenes con más de 10 años de experiencia.
Criterios de inclusión: pacientes que concurrieron a realizarse ecografías faciales para la planificación de procedimientos estéticos inyectables o bien para la evaluación de sus complicaciones, mayores de 18 años, con o sin antecedentes quirúrgicos en la región o que se hubieran realizado otro tratamiento estético en el pasado.
Criterios de exclusión: pacientes de los que no se logró conocer el tratamiento seleccionado luego del estudio ecográfico y pacientes que no hubieran firmado el consentimiento informado.
Las variables que se analizaron fueron la presencia de rellenos previos o prótesis faciales, la presencia de variantes anatómicas, la presencia de complicaciones agudas o crónicas y si el informe ecográfico cambió la conducta médica habitual. Se determinó cómo incidió el hallazgo ecográfico en la selección del tratamiento estético mediante llamadas telefónicas a los médicos tratantes.
No se realizó cálculo del tamaño muestral debido a la naturaleza descriptiva del estudio y a que la subespecialidad en ecografía estética es relativamente reciente y por lo tanto el número de pacientes derivados no es muy grande.
Los datos demográficos y las variables estudiadas por ecografía se consignaron en una hoja del programa Microsoft Excel (2020), posteriormente fueron analizadas con el programa estadístico Stata Statistical Software Release 14 (College Station, TX: StataCorp LP) y fueron reportados con frecuencias, porcentajes y medidas de tendencia dependiendo el tipo de variable. Para comparar porcentajes se utilizó la prueba de chi cuadrada y para comparar medias la t de Student.
Resultados
Se realizaron 115 ecografías faciales Doppler en el lapso referido, solicitadas por el médico estético, se excluyeron 32 pacientes debido a la falta de información acerca del tratamiento realizado con posterioridad. De este modo, se analizaron en este estudio 83 exámenes de ecografía facial Doppler.
De los 83 pacientes estudiados, el 96,3% (80) fueron mujeres y el 3,6% (3) fueron hombres, la edad media fue 42,8 ± 11 años (rango: 22 a 68 años).
A modo de organización de los resultados, estos 83 pacientes se dividieron en dos grupos. Dentro del grupo 1 se incluyeron 53 (63,86%) pacientes a los que se les indicó la ecografía para planificar un procedimiento estético facial, sin complicaciones. En cambio, en el grupo 2 se incluyeron 30 (36,1%) pacientes que presentaron algún tipo de complicación relacionada con procedimientos estéticos previos.
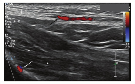
Del grupo 1 (n = 53, 63% del total de pacientes), 51 (96,2%) pacientes eran de sexo femenino y 2 (3,7%) de sexo masculino, 24 (45,2%) no presentaban rellenos previos, 15 (28,3%) presentaban ácido hialurónico (AH) y 14 (26,4%) tenían rellenos permanentes (biopolímeros, silicona y polimetilmetacrilato). Además, 12 (22,6%) pacientes de este grupo presentaron variantes anatómicas, de los cuales solo uno tenía un relleno previo de AH. Entre las variantes encontradas se mencionan arterias angulares, labiales, nasal dorsal y temporal profunda en sitios habituales de inyección de rellenos, glándulas parótidas prominentes y venas intercantales prominentes en sitios de inyección frecuentemente utilizados (Figs. 1, 2 y 3). En este grupo se presentaron 2 (3,7%) pacientes con prótesis faciales. Del total de pacientes que integraron este grupo, el informe ecográfico modificó la conducta del médico estético en el 60% (32) de ellos.



En el grupo 2 (n = 30, 36% del total de pacientes), 14 (46,6%) pacientes sufrieron complicaciones agudas y 16 (53%) presentaron complicaciones crónicas. Se consideraron agudas las complicaciones que surgieron dentro del mes del procedimiento estético.
Además, de los 14 pacientes que presentaron complicaciones agudas, cinco requirieron un tratamiento específico bajo guía ecográfica. Las complicaciones agudas estuvieron relacionadas con pacientes con compromiso vascular por inyección de material de relleno intraarterial (compromiso de arterias columelares, nasal dorsal y facial), sobre corrección por exceso de producto, irritación/trauma de nervios infraorbitarios, nódulos inflamatorios y edema difuso (Figs. 4 y 5). Con respecto a las complicaciones crónicas se encontraron nódulos tardíos, edema tardío intermitente y persistente (ETIP), infección subaguda/ tardía, y migración/redistribución de rellenos permanentes y no permanentes (Figs. 6, 7 y 8). Además, cabe señalar que el 97% (29) de los integrantes de este grupo presentaban rellenos previos (24 con AH y 5 con rellenos permanentes).





En relación con estos resultados, el informe ecográfico condicionó un cambio en la terapéutica del médico estético en el 74% (62) de los pacientes. Todos los pacientes del grupo 2 (con complicaciones), los pacientes con variantes anatómicas, con preexistencia de rellenos permanentes, prótesis faciales y la mayor parte de los casos con rellenos de AH fueron los integrantes de este resultado (Tabla 1).

En la tabla 2 se detallan los resultados de los hallazgos ecográficos y cómo incidieron en la conducta terapéutica habitual del médico estético.

Discusión
La radiología cumple un rol muy importante en la valoración de pacientes en el campo de la estética y la armonización orofacial. Se pueden realizar estudios radiológicos para la evaluación de un paciente previo a la realización de procedimientos inyectables con la finalidad de planificar un tratamiento estético. Asimismo, con los estudios de imágenes se pueden caracterizar materiales de relleno previamente colocados, guiar procedimientos invasivos, como así también diagnosticar complicaciones relacionadas7.
Las técnicas de inyección para la armonización orofacial se basan en “normalidades” anatómicas descritas en la mayor parte de la población. Sin embargo, existen múltiples variantes anatómicas que podrían incrementar el riesgo de complicaciones, ya sea por compromiso vascular (inyección intravascular del material de relleno, compresión vascular extrínseca, etc.), por obtener resultados subóptimos, y hasta que podrían contraindicar alguna técnica específica8. En nuestra población se encontraron 12 variantes anatómicas que condicionaron un cambio en la técnica y/o plano de inyección habitualmente empleado por el médico estético.
Entre estos pacientes hallamos una arteria angular supraperióstica en la fosa piriforme, localización infrecuente. El plano supraperióstico es el sitio de inyección recomendando en los consensos basados en la anatomía más comúnmente hallada; si el médico inyector utilizara esta técnica, tendría mayor riesgo de ocasionar una oclusión arterial8,9.
Con respecto a la topografía de las arterias labiales superior e inferior, se ha publicado que generalmente se encuentran en el plano submucoso (58,5%), seguido del plano intramuscular (36,2%) y menos frecuentemente subcutáneo (5,3%)9,10. En este sentido, un sitio habitualmente utilizado de inyección es el plano superficial subcutáneo para evitar un compromiso vascular.
En nuestro trabajo encontramos cinco pacientes con arterias subcutáneas (superficiales), hallazgo que condicionó un cambio en la conducta del médico inyector, si bien se mantuvo el plano superficial del relleno, se inyectó menor cantidad y más lento para reducir el riesgo de compromiso vascular.
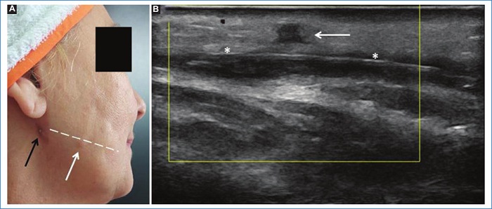
Un sitio comúnmente utilizado para el relleno en la fosa temporal es a 1 cm lateral y 1 cm por encima del final de la cola de la ceja, en plano supraperióstico. Lee et al.11 han descrito que hasta 1/3 de la población estudiada mediante ecografía Doppler incluida en su trabajo presentaba una arteria temporal profunda coincidente con ese punto habitual de inyección. En nuestro estudio, se evitó dicha técnica de relleno en un paciente que presentaba esta variante vascular.
La inyección de material de relleno en la región nasal, ampliamente conocida como “rinomodelación sin cirugía”, es uno de los procedimientos más riesgosos, ya que una inyección accidental intravascular de la arteria nasal dorsal podría condicionar compromiso de la arteria oftálmica con riesgo de ceguera permanente12. La técnica de inyección de rellenos mayormente utilizada es en el plano supraperióstico y siguiendo la línea media para evitar el compromiso de las arterias nasales dorsales8,13. En nuestro estudio, encontramos a un paciente que presentaba una variante anatómica de las arterias dorsales nasales, con doble arteria nasal dorsal izquierda, y otro paciente con venas intercantales prominentes y supraperiósticas; estas variantes incrementan el riesgo de eventos vasculares no deseados14.
Asimismo, se observaron dos pacientes con una glándula parótida de tamaño muy prominente como variante constitucional (sin signos inflamatorios), que condicionaron un cambio del plano de inyección de rellenos para evitar un depósito intraglandular inadvertido. El depósito de rellenos intraglandulares inadvertidos podría desencadenar posteriormente una inflamación glandular2,15.
La presencia de ciertos materiales de relleno inyectados con anterioridad en la región del rostro que se desea tratar podría contraindicar la inyección de nuevos materiales. En este estudio, 19 pacientes (14 del grupo 1 y 5 del grupo 2) presentaron materiales de relleno no biodegradable o permanente (silicona, biopolímeros y polimetilmetacrilato), contraindicando nuevos procedimientos en la región. Se recomienda que los pacientes que tengan rellenos permanentes en la región facial no sean inyectados con nuevos rellenos. Esto está basado en publicaciones de casos clínicos en los cuales una nueva inyección de rellenos desencadenó un proceso
inflamatorio facial en estos pacientes. Asimismo, se ha descrito que de un grupo de pacientes estudiados con complicaciones posprocedimientos estéticos, el 34% tenía preexistencia de rellenos permanentes3,7.
Además, la preexistencia de AH, material de relleno biodegradable, ampliamente utilizado en la actualidad, debería ser tomado como precaución ya que, si se coloca nuevo material, se podría condicionar una sobre corrección, con la consecuente deformación del rostro, o bien un edema regional (puesto que el AH atrae el agua). Cada caso debería ser valorado individualmente2,16. Además, regiones sensibles como la región nasal, que carece de tejido fácilmente distensible, podría sufrir eventos vasculares por compresión vascular extrínseca debido a la sola ocupación de espacio (especialmente la punta de la nariz).
En un paciente sin rellenos ni elementos protésicos en su rostro se necesitan aproximadamente 100.000 bacterias por gramo de tejido para desencadenar una infección. Este valor baja a 100 bacterias por gramo de tejido en caso de implantes17. En relación con esto, algunos médicos inyectores prefieren no realizar tratamientos mínimamente invasivos en la región que presente una prótesis subyacente ya que, si se desarrollara un proceso infeccioso en el implante, este debería ser retirado. En nuestra muestra tuvimos dos pacientes con elementos protésicos, uno en la región del mentón y otro malar, ninguno de los dos fue inyectado en dichos sitios. Con la ecografía se pudo delimitar el sitio exacto de la prótesis y dirigir el tratamiento estético a otras regiones faciales.
Habitualmente, las complicaciones relacionadas con procedimientos de medicina estética suelen ser tratadas solo con los hallazgos clínicos. Se evaluó ecográficamente a 30 pacientes que presentaron complicaciones relacionadas con procedimientos estéticos. Su diagnóstico resultó relevante en la toma de decisión terapéutica para todos los médicos estéticos, ya que se pudo seleccionar un tratamiento específico y más eficaz en cada caso.
Las complicaciones agudas se producen dentro de los 30 días de realizado el procedimiento inyectable. En nuestro trabajo encontramos nódulos inflamatorios y procesos infecciosos desencadenados luego de la inyección de rellenos y de la colocación de hilos de tracción, así como también casos de sobrecorrección por error en la técnica de aplicación. Asimismo, se diagnosticaron dos casos con irritación del nervio infraorbitario por la colocación de rellenos en la región del valle lagrimal que, si bien clínicamente era evidente, se pudo dirigir la inyección de hialuronidasa específicamente al sitio de interés para solucionar el inconveniente.
Además, dentro de las complicaciones agudas, encontramos todo el espectro relacionado con el compromiso vascular, ya sea por inyección intravascular inadvertida del material de relleno o por compresión extrínseca. Si no se resuelve a la brevedad, podrían desencadenar trastornos en la irrigación tisular con eventual necrosis. Este aspecto es sumamente importante dadas las grandes anastomosis entre el sistema carotídeo interno y externo, por ejemplo, un compromiso vascular del sistema carotídeo externo podría comprometer a la arteria oftálmica ocasionando ceguera y hasta eventos vasculares intracraneales. En nuestro trabajo, evidenciamos a un paciente con compromiso de la arteria nasal dorsal, a otro con obstrucción de arterias columelares y un tercero que presentó compromiso de la arteria facial a la altura del surco nasogeniano; todos ellos requirieron la resolución del cuadro mediante la inyección de hialuronidasa con guía ecográfica. En este tipo de complicaciones, sabemos que la ecografía Doppler facial proporciona información relevante para dirigir la inyección de hialuronidasa al lugar preciso de afectación, utilizando menor cantidad de enzimas y con una resolución más rápida18.
A las complicaciones que suelen desarrollarse luego del mes del procedimiento estético se las entiende como crónicas. Estas son frecuentes en pacientes con rellenos permanentes, debido a su redistribución/ migración con la consecuente deformación de la región del rostro. En nuestro trabajo, todos los pacientes con este tipo de rellenos tenían algún grado de deformación. Esto puede suceder, aunque menos frecuentemente, con rellenos de AH, quizás debido a errores en la técnica inicial; sin embargo; una vez diagnosticados, suelen revertirse fácilmente con la inyección de hialuronidasa19.
Los nódulos tardíos a los materiales de relleno consisten en la aparición de formaciones nodulares, abultadas y de consistencia firme en los sitios de inyección (en uno o múltiples sitios), habitualmente no inflamatorios ni infecciosos. Se cree que pueden estar relacionados con intercurrencias de eventos de estrés, vacunación, estados gripales, etc., así como también a la reología del producto inyectado. En relación con estos efectos inflamatorios tardíos, hay que considerar cada uno de los factores que pueden alterarse y cambiar con el paso del tiempo, ya sea por degradación del material de relleno o por el estado psicofísico del huésped20. En nuestro trabajo, observamos pacientes con nódulos de dichas características en la región labial, valle lagrimal y surcos nasogenianos. Los médicos estéticos pudieron seleccionar la terapéutica específica con hialuronidasa y algunos requirieron corticosteroides intralesionales. Conocer el sitio exacto de los nódulos fue de suma utilidad para inyectar específicamente el sitio de interés, esto permite usar menor cantidad de hialuronidasa. Además, en el caso de necesitar corticosteroide local, se debe precisar el sitio de inyección para evitar atrofia tisular adyacente21.
Con respecto al ETIP, descrito por primera vez por Cavallieri et al.22 en el año 2017, se caracteriza por edema local tardío, de carácter intermitente, desencadenado por cuestiones específicas (p. ej., enfermedad, vacunación) y que persiste mientras exista la presencia de AH localmente. En nuestro trabajo encontramos tres pacientes con este tipo de cuadro, todos en la región infraorbitaria. Gracias al aporte ecográfico, se pudo diagnosticar que el motivo del edema eran los depósitos de AH no degradados que estaban rodeados por edema de tejidos circundantes. Todos ellos se beneficiaron con la inyección de hialuronidasa.
Además, tuvimos un caso de infección subaguda de hilos de tracción que se desarrolló luego de tres meses del procedimiento. Clínicamente no era tan evidente la extensión del proceso, y ello subestimó el cuadro clínico. Luego del estudio ecográfico se evaluó correctamente el proceso infeccioso en el hilo en cuestión, advirtiendo similares hallazgos infecciosos en el resto de los hilos colocados. Estos últimos no tenían clínica evidenciable. Se decidió la toma de material para cultivo, resultando bacterias atípicas (micobacterias), lo que explicaría la evolución insidiosa del cuadro clínico.
Cabe aclarar que este trabajo no está destinado a evaluar la incidencia de complicaciones ni de variantes anatómicas, como así tampoco la relación entre rellenos degradables y permanentes en la sociedad. Se ha tomado solo una muestra sesgada (que no representa a la población general) para valorar específicamente cómo incide el hallazgo ecográfico en la decisión terapéutica del médico estético.
Consideramos que el aporte radiológico fue muy relevante en todos los casos estudiados, ya que brindó la posibilidad de que el médico estético supiera exactamente qué se encontraba “debajo” de la piel de su paciente. Si bien los hallazgos ecográficos implicaron un cambio en la conducta estética habitual en la mayor parte del grupo incluido en este trabajo, también fue sumamente útil para el resto de los pacientes, debido a que su médico pudo trabajar con seguridad con sus técnicas habituales sabiendo que su riesgo de complicaciones era bajo.
En relación con todos los aportes descritos, creemos que la radiología estética se convertirá en una nueva subespecialidad dentro del Diagnóstico por Imágenes.
Conclusión
La ecografía facial otorgó información fundamental para la planificación de los tratamientos estéticos y condicionó un cambio en la conducta terapéutica en la mayor parte de la población estudiada. El diagnóstico de complicaciones, descartar variantes anatómicas y rellenos preexistentes fueron sus principales aplicaciones.
Bibliografía
Schelke L, Farber N, Swift A. Ultrasound as an educational tool in facial aesthetic injections. Plast Reconstr Surg Glob Open. 2022;10(12):e4639.
Wortsman X. Aplicaciones frecuentes de la ecotomografía Doppler color en dermatología que permiten ayudar al diagnóstico y manejo. Rev Med Clin Las Condes. 2023;34(2):137-48.
Decates TS. The origin of foft tissue filler adverse events: past, present and future [Internet]. Erasmus University Rotterdam; 12 oct 2021. Disponible en: http://hdl.handle.net/1765/135721
Trévidic P, Kaufman-Janette J, Weinkle S, Wu R, Dhillon B, Antunes S, et al. Injection guidelines for treating midface volume deficiency with hyaluronic acid fillers: the ATP approach (Anatomy, Techniques, Products). Aesthet Surg J. 2022;42(8):920-34.
Isaac J, Walker L, Ali SR, Whitaker IS. An illustrated anatomical approach to reducing vascular risk during facial soft tissue filler administration a review. JPRAS Open. 2022;36:27-45.
DeLorenzi C. Complications of injectable fillers, part I. Aesthet Surg J. 2013;33(4):561-75.
Bader K, Makin I, Abramowicz J. Bioeffects Committee of the American Institute of Ultrasound in Medicine. Ultrasound for aesthetic applications: a review of biophysical mechanisms and safety. J Ultrasound Med. 2022;41(7):1597-607.
Khorasanizadeh F, Delazar S, Gheidari O, Daneshpazhooh M, Balighi K, Houshang Ehsani A, et al. Anatomic evaluation of the normal variants of the arteries of face using color Doppler ultrasonography: Implications for facial aesthetic procedures. J Cosmet Dermatol. 2023;22:1844-51.
Cotofana S, Lowrey N, Frank K, Ziebart R, Guertler A, Freytag L, et al. Vascular safe zones for facial soft tissue filler injections. Plast Aesthet Nurs (Phila). 2022;42(4):238-45.
Cotofana S, Alfertshofer M, Schenck TL, Bertucci V, Beleznay K, Ascher B, et al. Anatomy of the superior and inferior labial arteries revised: an ultrasound investigation and implication for lip volumization. Aesthet Surg J. 2020;40(12):1327-35.
Lee W, Moon HJ, Kim MS, Cheon GW, Yang EJ. Pre-injection ultrasound scanning for treating temporal hollowing. J Cosmet Dermatol. 2022;21(6):2420-5.
Beleznay K, Carruthers JDA, Humphrey S, Carruthers A, Jones D. Update on avoiding and treating blindness from fillers: a recent review of the world literature. Aesthet Surg J. 2019;39(6):662-74.
Alfertshofer MG, Frank K, Ehrl D, Freytag DL, Moellhoff N, Gotkin RH, et al. The layered anatomy of the nose: an ultrasound-based investigation. Aesthet Surg J. 2022;42(4):349-57.
Tansatit T, Apinuntrum P, Phetudom T. Facing the worst risk: confronting the dorsal nasal artery, implication for non-surgical procedures of nasal augmentation. Aesthetic Plast Surg. 2017;41(1):191-8.
Schelke L, Schoonen T, Velthuis PJ. Filler injections in the pre-auricular space: Be aware of the parotid gland. J Cosmet Dermatol. 2023;22(1):173-6.
Harris S. Alienization. Plast Reconstr Surg Glob Open. 2022;10(1):e4025.
Convery C, Davies E, Murray G, Walker L. Delayed-onset nodules (DONs) and considering their treatment following use of hyaluronic acid (HA) Fillers. J Clin Aesthet Dermatol. 2021;14(7):E59-E67.
Schelke LW, Decates TS, Cartier H, Cotofana S, Velthuis PJ. Investigating the anatomic location of soft tissue fillers in noninflammatory nodule formation: an ultrasound-imaging-based analysis. Dermatol Surg. 2023;49(6):588-95.
Schelke LW, Velthuis P, Kadouch J, Swift A. Early ultrasound for diagnosis and treatment of vascular adverse events with hyaluronic acid fillers. J Am Acad Dermatol. 2023;88(1):79-85.
Decates T, Kadouch J, Velthuis P, Rustemeyer T. Immediate nor delayed type hypersensitivity plays a role in late inflammatory reactions after hyaluronic acid filler injections. Clin Cosmet Investig Dermatol. 2021;14:581-9.
DeLorenzi C. Complications of injectable fillers, part I. Aesthet Surg J. 2013;33(4):561-75.
Cavallieri F, Balassiano L, Bastos J, Fontoura G, Almeida A. Edema tardio intermitente e persistente ETIP: reação adversa tardia ao preenchedor de ácido hialurônico. Surg Cosmet Dermatol. 2017;9(3):218-22.
Notes
Author notes
*Correspondencia: Carolina Mariluis E-mail: caromariluis@gmail.com
Conflict of interest declaration