REVISIÓN DE TEMA
Características y hallazgos imagenológicos de la cefalea en el embarazo y el puerperio
Characteristics and imaging findings of headache in pregnancy and puerperium
Características y hallazgos imagenológicos de la cefalea en el embarazo y el puerperio
Revista argentina de radiología, vol. 88, no. 4, pp. 159-167, 2024
Sociedad Argentina de Radiología (SAR) y Federación Argentina de Diagnóstico por Imágenes y Terapia Radiante (FAARDIT)
Received: 25 March 2022
Accepted: 08 July 2024
Published: 25 September 2024
Resumen: La cefalea es un síntoma frecuente en el periodo de gestación y puerperio, que abarca un amplio espectro de posibilidades diagnósticas. Durante el embarazo se producen múltiples cambios fisiológicos, hemodinámicos, hormonales y vasculares, que sumados o no a condiciones preexistentes inducen a la existencia de este síntoma. Por tanto, la cefalea puede ser una manifestación de una condición relativamente autolimitada o de una afección potencialmente mortal, contemplando algunas condiciones patológicas como la trombosis venosa, la preeclampsia, la hemorragia subaracnoidea (HSA), el síndrome de encefalopatía posterior reversible (SEPR) y el accidente vascular cerebral, entre otras. El reconocimiento de los hallazgos imagenológicos característicos permite la exclusión de ciertas patologías e incluso lleva a los diagnósticos diferenciales más aproximados, evitando así retrasos terapéuticos.
Palabras clave: Cefalea, Gravidez, Período posparto, Resonancia magnética, Medios de contraste.
Abstract: The headache is a frequent symptom in the gestational and puerperium period, which encompasses a wide spectrum of diagnostic possibilities. During pregnancy, multiple physiological, hemodynamic, hormonal and vascular changes occur, which when compounded or not with pre-existing conditions, induce the existence of this symptom. Therefore, headache can be a manifestation of a relatively self-limited condition or that of a life-threatening condition, including some pathological conditions such as venous thrombosis, preeclampsia, subarachnoid hemorrhage, posterior reversible encephalopathy syndrome, and cerebrovascular accident, among others. Recognizing typical imaging findings makes it possible to exclude certain pathologies and even induce more accurate differential diagnoses, thereby avoiding therapeutic delays.
Keywords: Headache, Gravidity, Postpartum period, Magnetic resonance imaging, Contrast media.
Introducción
La cefalea es una manifestación neurológica frecuente durante la gestación y el puerperio, pudiendo ser de etiología primaria o secundaria. En esta última, los métodos de imagen desempeñan un papel central en el diagnóstico. Las causas a descartar pueden ser preeclampsia/eclampsia, síndrome de encefalopatía posterior reversible (SEPR), síndrome de vasoconstricción cerebral reversible, trombosis venosa cerebral y cefalea pospunción, entre las más frecuentes1,2. Debido al amplio espectro de patología y el solapamiento de la clínica, la utilización de las imágenes es fundamental para arribar a un diagnóstico en forma rápida y segura. Por lo general, en estas pacientes suele haber retrasos en el diagnóstico por la renuencia del personal médico para la utilización de métodos imagenológicos; sin embargo, se ha incrementado el uso de estos, y sumado a un adecuado enfoque clínico, permiten instaurar una propuesta terapéutica adecuada temprana, previniendo las complicaciones o el daño irreversible al binomio madre-feto3,4.
Diagnóstico diferencial de la cefalea en el embarazo y el posparto (tabla 1)
Cefaleas primarias

Constituyen la mayor parte de las consultas médicas ambulatorias por dolor de cabeza como síntoma principal. Su diagnóstico es clínico, aunque en algunos casos se recurre a exámenes de laboratorio y métodos de imagen para reducir los errores diagnósticos5.
Entre los diferentes tipos de cefaleas primarias se destacan cuatro: migraña, cefalea de tipo tensional, cefalea en racimos y otras cefaleas autonómicas trigeminales, y otras cefaleas primarias (no atribuidas a daño estructural). Las mismas deben cumplir con los siguientes criterios:
Son referidas por los pacientes como episodios de cefalea de duración variable, que se repiten cada cierto tiempo, sin otros síntomas de enfermedad.
Las características de cada episodio suelen ser uniformes.
Ausencia de enfermedades o circunstancias anómalas que expliquen el dolor5,6.
Cefaleas secundarias
Se deben a diferentes patologías. Silberstein7 plantea las siguientes pautas para el estudio de una cefalea durante el embarazo:
Cuando es la primera o peor cefalea en la vida de la paciente, especialmente si es de comienzo abrupto (cefalea en trueno).
Cambios en la frecuencia, la gravedad o los síntomas acompañantes de la cefalea.
Examen neurológico anormal.
Cefalea nueva, progresiva, persistente y diaria.
Síntomas neurológicos que no son los habituales en la migraña con aura.
Alteraciones neurológicas persistentes.
Evidencias en el electroencefalograma de lesión focal cerebral.
Ruidos o soplos, en el cráneo o en la órbita, sugerentes de malformación arteriovenosa.
Crisis epilépticas parciales nuevas.
A continuación, desarrollaremos las cefaleas secundarias, haciendo énfasis en su etiología más frecuente.
Síndrome de encefalopatía posterior reversible
El SEPR es una condición clínico-radiológica aguda, caracterizada por manifestaciones neurológicas variables asociadas a edema cerebral vasogénico cortico-subcortical no necesariamente delimitado en la región parieto-occipital bilateral, que en la mayoría de los casos es reversible en la neuroimagen8.
La fisiopatología de la enfermedad está asociada a una disfunción endotelial por alteración en la autorregulación cerebral9. En sujetos sanos, el flujo sanguíneo cerebral se mantiene estable en un rango amplio de presión arterial media, 150-160 mmHg. Si la presión sobrepasa el límite superior se producen vasodilatación e hiperperfusión, con incremento de la permeabilidad de la barrera hematoencefálica que determina edema vasogénico. Si la presión cae por debajo del límite inferior, hay hipoperfusión con daño isquémico. Ambas teorías son discutidas, dado que en el SEPR hay ausencia de hipertensión en el 20-40% de los casos4,8,9.
Las regiones del cerebro perfundidas por la circulación vertebrobasilar tienen menor inervación simpática adrenérgica, presentando una pérdida más temprana de la autorregulación cerebral, razón por la cual son más susceptibles al SEPR10,11.
Uno de los factores de riesgo asociados al SEPR que se debe destacar es la preeclampsia, la cual se considera un trastorno multisistémico de etiología desconocida, manifestada por lo general a partir de las 20 semanas de gestación con presión arterial > 140/90 mmHg,
asociada a daño de otro órgano diana (hígado, riñón, sistema nervioso central, placenta, corazón o pulmón). Cuando se suman episodios convulsivos se interpreta como eclampsia12,13,14. Este síndrome tiene mayor frecuencia en pacientes obesas, diabéticas, de mayor edad, afroamericanas, con antecedentes de embarazos múltiples o preeclampsia previa, entre otros1,3,11. Otros factores de riesgo asociados al SEPR son la glomerulonefritis aguda, el síndrome urémico hemolítico, la púrpura trombocitopénica trombótica, el lupus eritematoso sistémico, la toxicidad medicamentosa, la septicemia y la enfermedad de células falciformes15.
Clínica: suelen presentar cefalea aguda o subaguda que no cede a la analgesia, letargia, confusión, náuseas, hiperreflexia y trastornos visuales, siendo la convulsión el síntoma inicial más frecuente13,14.
Tomografía computada (TC): en fase aguda (< 24 h) los hallazgos suelen ser negativos, y a medida que transcurre el tiempo pueden visualizarse algunas áreas hipodensas cortico-subcorticales a nivel parieto-occipital unilateral o bilateral4,16.
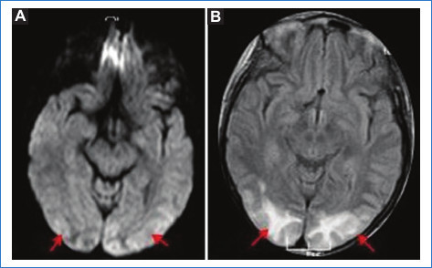
Resonancia magnética (RM): es el estudio más sensible.
Hallazgos típicos: áreas con edema vasogénico caracterizadas por hiperintensidad en T2 y FLAIR e hipointensidad en T1 a nivel parieto-occipital bilateral. La difusión suele ser negativa, ya que se debe a edema vasogénico (Fig. 1). Sin embargo, cuando no se realiza un diagnóstico precoz puede evolucionar a edema citotóxico (irreversible), en cuyo caso dichas áreas presentan restricción en difusión con caída de señal en el mapa de ADC, o puede asociarse a la existencia de hemorragia subaracnoidea (HSA)1,4.
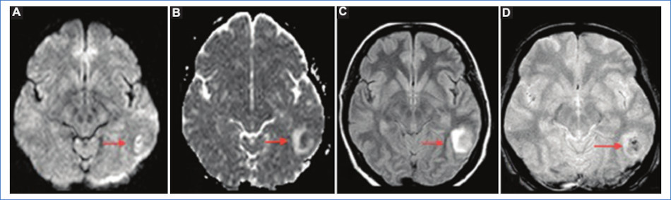
Hallazgos atípicos: es casi tan habitual como la clásica. Hay afectación de los lóbulos frontales, el tronco, el cerebelo y los ganglios basales. La mayoría de los casos remiten por completo. Las lesiones irreversibles (edema citotóxico) ocurren en el 15% de los casos y se caracterizan por restricción en difusión (Fig. 2)4.
Angiografía por RM (angio-RM) o por TC (angio-TC): se visualizan estrechamientos vasculares multifocales en las arterias cerebrales de mediano y gran calibre, en especial en el territorio posterior.
Síndrome de vasoconstricción cerebral reversible
Es una condición clínica y radiológica caracterizada por cefalea en estallido recurrente y vasoconstricción segmentaria y multifocal, acompañada o no de déficits neurológicos que se resuelven espontáneamente en uno a tres meses.
Se origina por vasoconstricción reversible segmentaria y multifocal de varios sitios vasculares cerebrales asociados o no con isquemia focal. Si bien su etiopatogenia permanece en estudio, suele observarse en el embarazo, el puerperio, la migraña, la porfiria, la actividad sexual y tras el uso de sustancias vasoactivas. En la paciente embarazada, y predominantemente en el puerperio, se considera factor de riesgo la hipersensibilidad catecolaminérgica inducida por el uso de uterotónicos y simpaticomiméticos en la hemorragia uterina, así como también la disminución en los niveles de progesterona, que actúa como vasodilatador durante el embarazo1,4,17.
Clínica: cefalea (94%) tipo “trueno”, acompañada de náuseas y vómito, con o sin déficit neurológico8.
TC: en fase subaguda pueden observarse sutiles áreas hipodensas segmentarias cortico-subcorticales bilaterales o una HSA. La angio-TC puede ser normal o mostrar un estrechamiento de las arterias de tamaño mediano y pequeño.
RM: puede haber áreas con edema vasogénico representadas por hiperintensidad en T2 e hipointensidad en T1. Puede haber áreas de HSA. La angio-RM o la angio-TC demuestran estrechamientos vasculares multifocales en forma difusa que se suelen resolver a los tres meses (Fig. 3)4.
Angiografía: se observan estenosis multifocales reversibles de los vasos de segundo y tercer orden de la circulación anterior y posterior. Puede persistir durante días y semanas, y en caso de progresar puede asociarse a estenosis de vasos más proximales (va de distal a proximal). Los estudios realizados en una fase temprana no suelen documentar alteraciones, dado que la máxima vasoconstricción de las ramas de la arteria cerebral media se documenta alrededor de los 16 días después del inicio clínico4,17.



Trombosis venosa cerebral
Es una enfermedad poco frecuente, pero de pronóstico potencialmente grave. Puede ocurrir en cualquier momento de la gestación, siendo el pico de incidencia durante las primeras dos semanas del puerperio18.
Entre los factores de riesgo se mencionan los estados de hipercoagulabilidad propios del embarazo, la trombofilia, la cesárea y el shock hemorrágico posparto. La importancia de su diagnóstico temprano radica en que aproximadamente un 6-10% de las muertes maternas están asociadas a esta patología4,18.
La sintomatología y la resolución de la trombosis venosa intracraneal dependen de la ubicación y del grado de oclusión, así como de la presencia de circulación colateral.
Clínica: el 80-90% de los casos se presentan con cefalea, que generalmente es subaguda, sin características específicas, asociada a déficit neurológico focal, convulsiones o alteraciones del estado de consciencia8.
TC sin contraste intravenoso:
TC con contraste intravenoso en fase venosa:
Signos directos: el más común es un defecto de repleción de contraste en cualquier seno venoso cerebral, el “Signo del delta vacío”, y alcanza una sensibilidad del 95%18,20.
Signos indirectos: la hiperemia dural y la circulación colateral generan realce de la duramadre, que puede involucrar la hoz del cerebro y el tentorio. Con menos frecuencia se observa el realce giral y focal asociado a la trombosis cortical18,19.
RM: es el método de elección y su sensibilidad es superior a la de la TC.
Signos directos: en los senos venosos se evidencian defectos de flujo que se traducen en alteración de la señal (Fig. 4). La intensidad de señal del trombo es similar a la evolución de la sangre en un hematoma18:
Trombo agudo (1-5 días): la desoxihemoglobina es la molécula dominante. El coágulo es isointenso en T1, hipointenso en T2 y marcadamente hipointenso en GRE (esto puede simular un vacío de flujo)18,19.
Trombo subagudo temprano (entre los días 6 y 15): se produce la oxidación de la molécula de desoxihemoglobina a metahemoglobina. El coágulo es hiperintenso en las secuencias T1 y T218,19.
Trombo subagudo tardío (> 15 días): continúa la desintegración de la molécula de hemoglobina. Esta etapa puede ser un reto, ya que la trombosis crónica muestra una recanalización parcial y la señal del coágulo es iso-hiperintensa en T2 e isointensa en T12,18.
Trombo crónico (> 30 días): el trombo es isointenso o hiperintenso en T2 e hipointenso en T1. Se ha observado que, luego del contraste, a veces, el seno presenta un realce similar al del seno normal, probablemente vinculado a la organización del trombo con signos de vascularización intrínseca18,19,20.
Signos indirectos: los hallazgos en la RM son los mismos que en la TC, aunque más sensibles y específicos. Comprenden el infarto venoso que coexiste con edema cerebral vasogénico o citotóxico con o sin hemorragia intraparenquimatosa (Fig. 5) 18,19,20.
RM con secuencias vasculares sin contraste: es útil no solo para la documentación del trombo, sino también para el seguimiento de la recanalización postratamiento. Esta técnica suele usarse en las gestantes y en pacientes con falla renal, para evitar la administración de contraste paramagnético. Se realiza usando la secuencia Phase contrast, la cual es sensible a los flujos lentos y permite obtener imágenes con mayor resolución18,19,20.
RM con secuencias vasculares con contraste: si tras la realización de las secuencias sin contraste persiste la duda diagnóstica, es necesario administrar contraste paramagnético para diferenciar la trombosis venosa de un flujo vascular lento. Al igual que en la TC, se visualizará un defecto de relleno a nivel del seno venoso afectado18,19,20.


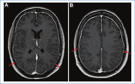
Cefalea pospunción o síndrome de hipovolemia del líquido cefalorraquídeo
Es una patología que se asocia a la hipotensión intracraneal, caracterizada por una presión < 60 mmH2O. El mecanismo fisiopatológico implicado es la fuga continua de líquido cefalorraquídeo a través del orificio que se produce con la aguja del espacio subaracnoideo al epidural. La pérdida es mayor que la producción, alterando la dinámica del líquido cefalorraquídeo, que pierde su elemento de amortiguamiento hídrico y el cerebro desciende de su posición habitual al ponerse de pie el paciente. Para compensar la deficiencia de líquido cefalorraquídeo hay una vasodilatación secundaria, por lo que los estímulos provocan que el dolor tenga una naturaleza pulsátil21,22.
Clínica: cefalea de características ortostáticas; se puede asociar a acúfenos, diplopía e inestabilidad, que aparece a las horas o días tras la punción9,23.
RM: es el método de elección. Se observan engrosamiento y realce difuso dural en el 85% de los casos (Fig. 6), que puede asociarse a colección subdural, descenso de las amígdalas cerebelosas y con menor frecuencia a signos de ingurgitación venosa4,11.

Por lo previamente mencionado, el diagnóstico de las diferentes patologías que cursan con cefalea en pacientes embarazadas requiere especial atención. El siguiente cuadro resume los tipos de cefaleas más comunes y los hallazgos radiológicos claves que orientan al médico radiólogo en su evaluación
(Tabla 2).

Conclusiones
La cefalea es un síntoma frecuente en las embarazadas y puérperas. Ante su persistencia, gravedad y asociación a otros focos neurológicos, es necesaria una correcta evaluación clínica y la complementación con estudios de imagen. La RM, en combinación con la angio-RM arterial y venosa, es el estudio de elección con el fin de evitar la exposición a la radiación de la TC. Sin embargo, en caso de alguna contraindicación absoluta, la TC con bajas dosis de radiación y adecuada protección se considera segura. Por tanto, un adecuado enfoque clínico y las imágenes proporcionan un diagnóstico precoz y acertado para evitar futuras complicaciones.
Bibliografía
Imad TZ, Harjot SD, Karl KK. Imaging of neurologic disorders associated with pregnancy and the postpartum period. RadioGraphics. 2007;27:95-108.
Sáez DM, Fuentes PS. Neurology and pregnancy, Rev Chil Neuro-Psiquiatr. 2010;48:279-91.
Guryildirim M, Kontzialis M, Ozen M, Kocak M. Acute headache in the emergency setting. RadioGraphics. 2019;39:1739-59.
Kanekar S, Bennett S. Imaging of neurologic conditions in pregnant patients. RadioGraphics. 2016;36:2102-22.
Deza Bringas L. La migraña. Acta Med Peru. 2010;27:129-36.
María Loreto Cid J. Cefaleas, evaluación y manejo inicial. Rev Med Clin Condes. 2014;25:651-7.
Silberstein SD. Evaluation and emergency treatment of headache. Headache. 1992;32:396-407.
Torre-León T, Miranda-Contreras A, Gómez-Secundino M, Nava-López J, Torre-León M, Olsen E. Encefalopatía posterior reversible durante el puerperio, secundaria a eclampsia. Reporte de dos casos. Ginecol Obstet Mex. 2018;86:815-22.
Hasbún HJ, Rodríguez GM, Miranda GG. Síndrome de encefalopatía posterior reversible (PRES) en dos casos clínicos de eclampsia. Rev Chil Neuro-Psiquiatr. 2012;50:35-41.
Martínez Montalbán M, Lacoma Latre E, Carro Alonso B. ¡Que no cunda el pánico! Embarazada y radiología, qué debemos saber. Seram. 2018. Disponible en: https://piper.espacio-seram.com/index.php/seram/article/view/981.
Patel SJ, Reede DL, Katz DS, Subramaniam R, Amorosa JK. Imaging the pregnant patient for nonobstetric conditions: algorithms and radiation dose considerations. RadioGraphics. 2007;27:1705-22.
Saniger A, Rodríguez Balaguer R, Arévalo Ortiz V. Síndrome de encefalopatía posterior reversible: no siempre reversible y no necesariamente confinada a las regiones posteriores del cerebro. Rev Mex Neuroci. 2012;11:373-7.
González-García N, Díaz de Terán J, López-Veloso AC, Mas-Sala N, Mínguez-Olaondo A, Ruiz-Piñero M, et al. Cefalea: embarazo y lactancia. Recomendaciones del Grupo de Estudio de Cefaleas de la Sociedad Española de Neurología (GECSEN). Neurologia. 2022;37:1-12.
Lacunza R, Pacheco Romero J. Implicancias neurológicas de la preclampsia, más que solo eclampsia. Rev Peru Ginecol Obstet. 2015;61: 407-16.
Schwartz RB, Feske SK, Polak JF, DeGirolami U, Iaia A, Beckner KM, et al. Preeclampsia-eclampsia: clinical and neuroradiographic correlates and insights into the pathogenesis of hypertensive encephalopathy. Radiology. 2000;217:371-6.
Ducros A. Reversible cerebral vasoconstriction syndrome. Lancet Neurol. 2012;11:906-17.
Serrano-Berrones MA, Centeno-Durán G. Síndrome de vasoconstricción cerebral reversible (Call-Fleming) en el puerperio: reporte de un caso. Ginecol Obstet Mex. 2019;87:213-6.
Dmytriw AA, Song JSA, Yu E, Poon CS. Cerebral venous thrombosis: state of the art diagnosis and management. Neuroradiology. 2018; 60:669-85.
Redondo P, Garzon-Ruiz J, Moral-Cano M, Bahamonde-Cabria S, Barragán-Tabares J, Simal-Fernandez J. Trombosis venosa cerebral: claves para el diagnóstico. Seram 2014/S-0242. Disponible en: https://dx.doi. org/10.1594/seram2014/S-0242
Rodríguez-Granillo G, Gómez E, Bastarrika G, Cademartini F. TC y RM cardiovascular. Fundamentos clínicos. Buenos Aires, Argentina: Ediciones Journal; 2019.
Sensakovic WF, Royall I, Hough M, Potrebko P, Grekoski V, Vicenti R. Fetal dosimetry at CT: a primer. RadioGraphics. 2020;40:1061-70.
Thabet A, Kalva SP, Liu B, Mueller PR, Lee SI. Interventional radiology in pregnancy complications: indications, technique, and methods for minimizing radiation exposure. RadioGraphics. 2012; 32:255-74.
Correa-Padilla JM. Cefalea pospunción dural en la paciente obstétrica. Rev Cubana Obstet Ginecol. 2012;38:256-68.
Notes
Author notes
*Correspondencia: Rosario E. Bastidas-Vivas. E-mail: rosario.bastidas89@gmail.com
Conflict of interest declaration